10-K 1 govx20171231_10k.htm FORM 10-K govx20171231_10k.htm
 

UNITED STATES SECURITIES AND EXCHANGE COMMISSION

Washington, D.C. 20549

 

FORM 10-K

 

ANNUAL REPORT PURSUANT TO SECTION 13 OR 15(d) OF THE SECURITIES EXCHANGE ACT OF 1934.

  For fiscal year ended December 31, 2017

 

TRANSITION REPORT PURSUANT TO SECTION 13 OR 15(d) OF THE SECURITIES EXCHANGE ACT OF 1934

 

Commission File No. 000-52091

GEOVAX LABS, INC.

(Exact name of Registrant as specified in its charter)

 

Delaware 87-0455038
(State or other jurisdiction of (IRS Employer

incorporation or organization)

Identification Number)

 

1900 Lake Park Drive, Suite 380  
Smyrna, GA 30080

(Address of principal executive offices)

(Zip Code)

 

(678) 384-7220

Registrant’s telephone number, including area code:

 

Securities registered pursuant to Section 12(b) of the Act:

None

 

Securities registered pursuant to Section 12(g) of the Act:

Common Stock $.001 par value

(Title of class)

 

Indicate by check mark if the registrant is a well-known seasoned issuer, as defined in Rule 405 of the Securities Act. Yes No

 

Indicate by check mark if the registrant is not required to file reports pursuant to Section 13 or Section 15(d) of the Act. Yes No

 

Indicate by check mark whether the Registrant (1) has filed all reports required to be filed by Section 13 or 15(d) of the Securities Exchange Act of 1934 during the preceding 12 months (or for such shorter period that the Registrant was required to file such reports), and (2) has been subject to such filing requirements for the past 90 days. Yes  No

 

Indicate by check mark whether the registrant has submitted electronically and posted on its corporate Website, if any, every Interactive Data File required to be submitted and posted pursuant to Rule 405 of Regulation S-T (§232.405 of this chapter) during the preceding 12 months (or for such shorter period that the registrant was required to submit and post such files). Yes No

 

Indicate by check mark if disclosure of delinquent filers pursuant to Item 405 of Regulation S-K (§ 229.405 of this chapter) is not contained herein, and will not be contained, to the best of registrant’s knowledge, in definitive proxy or information statements incorporated by reference in Part III of this Form 10-K or any amendment to this Form 10-K.

 

Indicate by check mark whether the registrant is a large accelerated filer, an accelerated filer, a non-accelerated filer, smaller reporting company, or an emerging growth company. See the definitions of “large accelerated filer,” “accelerated filer,” “smaller reporting company,” and “emerging growth company” in Rule 12b-2 of the Exchange Act.

 

Large accelerated filer         Accelerated filer                  Non-accelerated filer           Smaller reporting company ☑          Emerging growth company

 

If an emerging growth company, indicate by check mark if the registrant has elected not to use the extended transition period for complying with any new or revised financial accounting standards provided pursuant to Section 13(a) of the Exchange Act. 

 

Indicate by check mark whether the registrant is a shell company (as defined in Rule 12b-2 of the Act). Yes No

 

The aggregate market value of Common Stock held by non-affiliates of the registrant on June 30, 2017, based on the closing price on that date was $2,456,108.

 

Number of shares of Common Stock outstanding as of March 22, 2018: 131,736,810

 

 

DOCUMENTS INCORPORATED BY REFERENCE

 

Portions of the registrant’s definitive Proxy Statement with respect to its 2018 Annual Meeting of Stockholders are incorporated by reference in Part III

 

 

 
 

 

Table of Contents

 

PART I
 
Item 1 Business 1
Item 1A Risk Factors 13
Item 1B Unresolved Staff Comments 20
Item 2 Properties 20
Item 3 Legal Proceedings 20
Item 4 Mine Safety Disclosures 20
     
PART II
 
Item 5

Market for Registrant’s Common Equity, Related Stockholder Matters and Issuer Purchases of Equity Securities

21
Item 6 Selected Financial Data 22
Item 7 Management’s Discussion and Analysis of Financial Condition and Results of Operations 22
Item 7A Quantitative and Qualitative Disclosures about Market Risk 28
Item 8 Financial Statements and Supplementary Data 28
Item 9 Changes in and Disagreements with Accountants on Accounting and Financial Disclosure 28
Item 9A Controls and Procedures 28
Item 9B Other Information 29
     
PART III
 
Item 10 Directors, Executive Officers and Corporate Governance 29
Item 11 Executive Compensation 29
Item 12 Security Ownership of Certain Beneficial Owners and Management and Related Stockholder Matters 29
Item 13 Certain Relationships and Related Party Transactions, and Director Independence 29
Item 14 Principal Accounting Fees and Services 30
     
PART IV
 
Item 15 Exhibits and Financial Statement Schedules 30
Item 16 Form 10-K Summary 30
     
Signatures 31
     
Exhibit Index 32

 

ii

 
 

 

PART I

 

ITEM 1.     BUSINESS

 

This Annual Report (including the following section regarding Management’s Discussion and Analysis of Financial Condition and Results of Operations) contains forward-looking statements regarding our business, financial condition, results of operations and prospects. Words such as “expects,” “anticipates,” “intends,” “plans,” “believes,” “seeks,” “estimates” and similar expressions or variations of such words are intended to identify forward-looking statements, but are not the exclusive means of identifying forward-looking statements in this Annual Report. Additionally, statements concerning future matters, including statements regarding our business, our financial position, the research and development of our products and other statements regarding matters that are not historical are forward-looking statements.

 

Although forward-looking statements in this Annual Report reflect the good faith judgment of our management, such statements can only be based on facts and factors currently known by us. Consequently, forward-looking statements are inherently subject to risks and uncertainties and actual results and outcomes may differ materially from the results and outcomes discussed in or anticipated by the forward-looking statements. Factors that could cause or contribute to such differences in results and outcomes include without limitation those discussed under the heading “Risk Factors” below, as well as those discussed elsewhere in this Annual Report. Readers are urged not to place undue reliance on these forward-looking statements, which speak only as of the date of this Annual Report. We undertake no obligation to revise or update any forward-looking statements in order to reflect any event or circumstance that may arise after the date of this Annual Report. Readers are urged to carefully review and consider the various disclosures made in this Annual Report, which attempt to advise interested parties of the risks and factors that may affect our business, financial condition, results of operations and prospects.

 

Overview

 

GeoVax Labs, Inc. (“GeoVax” or the “Company”) is a clinical-stage biotechnology company developing human vaccines against infectious diseases and cancer using a novel patented Modified Vaccinia Ankara-Virus Like Particle (MVA-VLP) vaccine platform. In this platform, MVA, a large virus capable of carrying several vaccine antigens, expresses proteins that assemble into highly effective VLP immunogens in the person being vaccinated. The MVA-VLP virus replicates to high titers in approved avian cells for manufacturing but cannot productively replicate in mammalian cells. Therefore, the MVA-VLP derived vaccines elicit durable immune responses in the host similar to a live attenuated virus, while providing the safety characteristics of a replication-defective vector.

 

Our current development programs are focused on preventive vaccines against Human Immunodeficiency Virus (HIV), Zika Virus, hemorrhagic fever viruses (Ebola, Sudan, Marburg, and Lassa), and malaria, as well as therapeutic vaccines for chronic Hepatitis B infections and cancers. Our most advanced vaccine program is focused on the clade B subtype of HIV prevalent in the larger commercial markets of the Americas, Western Europe, Japan and Australia; this program is currently undergoing human clinical trials.

 

Our corporate strategy is to advance and protect our vaccine platform and use its unique capabilities to design and develop an array of products. We aim to advance products through to human clinical testing, and to seek partnership or licensing arrangements for commercialization. We will also leverage third party resources through collaborations and partnerships for preclinical and clinical testing. Our collaborators and partners include the National Institute of Allergy and Infectious Diseases (NIAID) of the National Institutes of Health (NIH), the HIV Vaccines Trial Network (HVTN), Centers for Disease Control and Prevention (CDC), United States Army Research Institute of Infectious Disease (USAMRIID), U.S. Naval Research Laboratory (USNRL), Emory University, University of Pittsburgh, Georgia State University Research Foundation (GSURF), Peking University, University of Texas Medical Branch (UTMB), the Institute of Human Virology (IHV) at the University of Maryland, the Scripps Research Institute (TSRI), the Burnet Institute in Australia, American Gene Technologies International, Inc. (AGT), ViaMune, Inc., Vaxeal Holding SA, and CaroGen Corporation.

 

We are incorporated in Delaware, and our offices and laboratory facilities are in Smyrna, Georgia (metropolitan Atlanta).

 

Our Technology

 

Vaccines typically contain agents (antigens) that resemble disease-causing microorganisms. Traditional vaccines are often made from weakened or killed forms of the virus or from its surface proteins. Many newer vaccines use recombinant DNA (deoxyribonucleic acid) technology to generate vaccine antigens in bacteria or cultured cells from specific portions of the DNA sequence of the target pathogen. The generated antigens are then purified and formulated for use in a vaccine. The most successful of these purified antigens have been non-infectious virus-like particles (VLPs) as exemplified by vaccines for hepatitis B (Merck's Recombivax® and GSK's Engerix®) and Papilloma viruses (GSK's Cervarix®, and Merck's Gardasil®). Our approach uses recombinant DNA and/or recombinant MVA to produce VLPs in the person being vaccinated (in vivo) reducing complexity and costs of manufacturing. In human clinical trials of our HIV vaccines, we have demonstrated that our VLPs, expressed from the cells of the person being vaccinated, can be safe, yet elicit both strong and durable humoral and cellular immune response.

 

1

 

 

VLPs can train the body's immune system to recognize and kill the authentic virus should it appear. VLPs can also train the immune system to recognize and kill virus-infected cells to control infection and reduce the length and severity of disease. One of the biggest challenges with VLP-based vaccines is to design the vaccines in such a way that the VLPs will be recognized by the immune system in the same way as the authentic virus would be. When VLPs for enveloped viruses like HIV, Ebola, Marburg or Lassa fever are produced in vivo (in the cells of the recipient), they include not only the protein antigens, but also an envelope consisting of membranes from the vaccinated individual's cells. In this way, they are highly similar to the virus generated in a person's body during a natural infection. VLPs produced in vitro (in a pharmaceutical plant), by contrast, have no envelope; or, envelopes from the cultured cells (typically hamster or insect cells) used to produce them. We believe our technology provides distinct advantages by producing VLPs that more closely resemble the authentic viruses. This feature of our immunogens allows the body's immune system to more readily recognize the virus. By producing VLPs in vivo, we also avoid potential purification issues associated with in vitro production of VLPs.

 

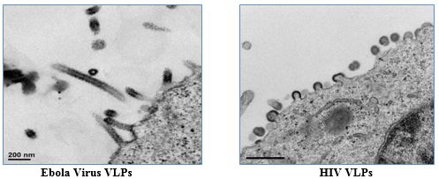
Examples of VLPs

 

Figure 1. Electron micrographs showing examples of VLPs produced by GeoVax vaccines in human cells. Note that the Ebola virus VLPs on the left self-assemble into the rod-like shape of the actual Ebola virus, while the HIV VLPs shown on the right take on the spherical shape of the actual HIV virus. While below the resolution of these micrographs, both types of VLPs display what we believe to be the native form of their respective viral envelope glycoproteins which we believe is key to generating an effective immune humoral response.

 

We selected MVA for use as the live viral component of our vaccines because of its well-established safety record and because of the ability of this vector to carry sufficient viral sequences to produce VLPs. MVA was originally developed as a safer smallpox vaccine for use in immune-compromised people. It was developed by attenuating the standard smallpox vaccine by making over 500 passages of the virus in chicken embryos or chicken embryo fibroblasts, which resulted in a virus with limited ability to replicate in human cells but did not compromise the ability of MVA to grow on avian cells, which are used for manufacturing the virus. The deletions also resulted in the loss of immune evasion genes which assist the spread of wild type smallpox infections, even in the presence of human immune responses.

 

Our MVA-VLP vaccine platform affords other unique advantages:

Safety: Our HIV vaccines have demonstrated outstanding safety in human clinical trials. Safety for MVA, generally, has been shown in more than 120,000 subjects in Europe, including immunocompromised individuals during the initial development of MVA and more recently with the development of MVA as a safer vaccine against smallpox.

Durability: Our technology raises highly durable (long-lasting) vaccine responses, the most durable in the field of vectored HIV vaccines. We hypothesize that elicitation of durable vaccine responses is conferred on responding B cells by the vaccinia parent of MVA, which raises highly durable responses for smallpox.

Limited pre-existing immunity to vector: Following the eradication of smallpox in 1980, smallpox vaccinations subsequently ended, leaving all but those born before 1980 and selected populations (such as vaccinated laboratory workers, first responders) unvaccinated and without pre-existing immunity.

No need for adjuvants: MVA stimulates strong innate immune responses and does not require the use of adjuvants.

Thermal stability: MVA is stable in both liquid and lyophilized formats (> 6 years of storage).

Genetic stability and manufacturability: If appropriately engineered, MVA is genetically stable and can reliably be manufactured in either the established Chick Embryo Fibroblast cell substrate, or novel continuous cell lines that support scalability as well as greater process consistency and efficiency.

 

2

 

 

Our Product Development Pipeline

 

The table below summarizes the status of our product development programs, which are discussed in greater detail in the following pages.

 

Program   Stage of Development   Collaborators / Funding Sponsor
HIV-Clade B Preventive Vaccine   Phase 2a completed   NIH/NIAID, HVTN, Emory University
HIV-Clade B Immunotherapy   Phase 1   AGT, Emory University
HIV-Clade C Preventive Vaccine    Preclinical   NIH/NIAID, Emory University
Hemorrhagic Fever Vaccines        
Ebola virus   Preclinical   NIH/NIAID, USAMRIID
Lassa fever   Preclinical   NIH/NIAID, UTMB, IHV, TSRI, USNRL
Sudan virus   Discovery    
Marburg virus   Discovery    
Zika Vaccine   Preclinical   NIH/NIAID, CDC
Malaria Vaccine   Preclinical   Burnet Institute
Cancer Immunotherapy   Preclinical    ViaMune, Vaxeal, University of Pittsburgh
Hepatitis B Immunotherapy   Preclinical   CaroGen, GSURF, Peking University

 

Our HIV/AIDS Vaccine Program

 

About HIV/AIDS. HIV/AIDS is considered by many in the scientific and medical community to be the most lethal infectious disease in the world. An estimated 37 million people are living with HIV worldwide, with approximately 2.5 million newly infected annually. Approximately 39 million people infected with HIV have died since the 1981 start of the HIV pandemic. The United States currently has an estimated 1.2 million HIV-infected individuals, with approximately 50,000 new infections per year, a number that has remained virtually the same for 20 years. Alarmingly the fastest growing demographic for acquiring an HIV infection in the US is the 13 – 24-year-old group which is expanding at roughly 10% per year and will soon become the group with the highest total number of infections. Moreover, 44% of new infections occur in African-Americans.

 

There are several AIDS-causing HIV virus subtypes, or clades, that are found in different regions of the world. These clades are identified as clade A, clade B and so on. The predominant clade found in Europe, North America, parts of South America, Japan and Australia is clade B, whereas the predominant clades in Africa are clades A and C. In India, the predominant clade is clade C. Genetic differences between the clades may mean that vaccines or treatments developed against HIV of one clade may only be partially effective or ineffective against HIV of other clades. Thus, there is often a geographical focus to designing and developing HIV vaccines.

 

At present, the standard approach to treating HIV infection is to inhibit viral replication through the use of combinations of drugs. Available drugs include reverse transcriptase inhibitors, protease inhibitors, integration inhibitors and inhibitors of cell entry. However, HIV is prone to genetic changes that can produce strains that are resistant to currently approved drugs. When HIV acquires resistance to one drug within a class, it can often become resistant to the entire class, meaning that it may be impossible to re-establish control of a genetically altered strain by substituting different drugs in the same class. Furthermore, these treatments continue to have significant limitations which include toxicity, patient non-adherence to the treatment regimens and cost. Thus, over time, viruses acquire drug-resistant mutations, and many patients develop intolerance to the medications or simply give up taking the medications due to cost, inconvenience or side effects.

 

Prevention of HIV infection remains a worldwide unmet medical need, even in the United States and other first world countries where effective antiretroviral therapies are available. There is no approved HIV vaccine. Current antiretroviral therapies (ART) do not eliminate HIV infection, requiring individuals to remain on such drugs for their entire lives. Uptake and successful long-term adherence to therapy is also limited. Only 30% of those infected with HIV in the US ultimately remain in HIV care with their viral load sufficiently suppressed to prevent spread of HIV. Furthermore, the financial burden to the U.S. taxpayer for HIV education, prevention, and treatment costs is borne through multiple federal agencies. The annual taxpayer cost of HIV in 2016 was $19 billion and is expected to grow to $26 billion by 2020, yet the overall infection rate has not changed in the last 20 years and not a single person has been cured of his/her HIV infection.

 

3

 

 

According to the International AIDS Vaccine Initiative (IAVI), the cost and complexity of new treatment advances for HIV/AIDS puts them out of reach for most people in the countries where treatment is most needed. In industrialized nations, where drugs are more readily available, side effects and increased rates of viral resistance have raised concerns about their long-term use. Vaccines are seen by many as the most promising way to end the HIV/AIDS pandemic. It is expected that vaccines, once developed, will be used universally and administered worldwide by organizations that provide healthcare services, including hospitals, medical clinics, the military, prisons and schools.

 

Our Preventive HIV Vaccine Program

 

Clade B Preventive HIV Vaccine Program. Our most clinically advanced vaccine is GOVX-B11, designed to protect against the clade B subtype of the HIV virus prevalent in the Americas, Western Europe, Japan and Australia. GOVX-B11 consists of a recombinant DNA vaccine used to prime immune responses and a recombinant MVA vaccine used to boost the primed responses. Both the DNA and MVA vaccines produce non-infectious VLPs in the cells of the vaccinated person.

 

Phase 1 and phase 2a clinical trials of GOVX-B11 have been conducted by the HVTN. In these trials, totaling approximately 500 participants, GOVX-B11 was tested at various doses and regimens and was extremely well tolerated. The HVTN is the largest worldwide clinical trials network dedicated to the development and testing of HIV/AIDS vaccines. Support for the HVTN comes from the NIAID, part of the NIH. The HVTN’s HIV Vaccine Trial Units are located at leading research institutions in 27 cities on four continents.

 

In January 2017 HVTN began the next human clinical trial (HVTN 114) in the path toward human efficacy trials. HVTN 114 enrolled individuals who previously participated in the HVTN 205 Phase 2a trial of the GOVX-B11 vaccine, which concluded in 2012. HVTN 114 tests the ability of late boosts (additional vaccinations) to increase the antibody responses elicited by the GeoVax vaccine regimen. These “late boosts” consist of the GeoVax MVA62B vaccine with or without a gp120 protein vaccine. The gp120 protein, AIDSVAX® B/E, is the same protein used to boost immune responses in the partially protective RV144 trial in Thailand and is being used in HVTN 114 to assess the effect of adding a protein vaccine to GOVX-B11. Participants in HVTN 114 receive either (a) another MVA62B boost, (b) a combined boost of MVA62B and AIDSVAX® B/E, or (c) AIDSVAX® B/E alone.

 

GeoVax, NIAID, HVTN, Duke University, Profectus BioSciences, and the University of Maryland’s Institute for Human Virology (IHV) are actively planning a Phase 1 clinical trial that will test GOVX-B11 with two novel protein vaccines, the B.63521∆11mutC gp120 vaccine developed by Duke and the IHV01 gp120 vaccine developed by IHV and Profectus. This trial will extend on the results from HVTN 114 and further elucidate the immunogenicity of GOVX-B11 in combination with protein vaccines. We expect the clinical trial to begin in late 2018.

 

Clade C Preventive HIV Vaccine Program. We also are developing DNA/MVA vaccines designed for use against the clade C subtype of HIV that predominate in South Africa and India. NIAID has awarded us Small Business Innovative Research (SBIR) grants in support of this effort.

 

Our HIV Immunotherapy Program

 

Finding a cure for HIV/AIDS remains an elusive goal. Current ART, though highly effective at suppressing HIV viral load, are unable to eliminate latent forms of HIV that are invisible to the immune system and inaccessible to antiretroviral drugs. Long-term use of ART can lead to loss of drug effectiveness and can come with severe side effects. The lifetime medical costs of treating an HIV-infected patient in the U.S. are estimated to exceed $500,000. Therefore, any new treatment regimen that allows patients to reduce, modify, or discontinue their antiretroviral therapy can offer measurable quality of life benefits to the patient and tremendous value to the marketplace.

 

In March 2017, we entered into collaboration with AGT whereby AGT intends to conduct a Phase 1 human clinical trial with our combined technologies during the second half of 2018. The GeoVax vaccine will be used to stimulate virus-specific CD4 T cells in vivo, which will then be harvested from the patient, genetically modified ex vivo using AGT’s technology, and reinfused to the patient. The primary objectives of the trial will be to assess the safety and efficacy of the therapy, with secondary objectives to assess the immune responses as a measure of efficacy. The overall goal of the program will be to develop a functional cure for HIV infection. In a previous phase 1 clinical trial (GV-TH-01), we demonstrated that our vaccine can stimulate production of CD4+ T cells in HIV infected patients– the intended use of the MVA-VLP HIV vaccine in the proposed AGT study.

 

4

 

 

Our Hemorrhagic Fever Vaccine Programs

 

About Ebola, Sudan, Marburg and Lassa fever viruses. Ebola (EBOV, formerly designated as Zaire ebolavirus), Sudan (SUDV), and Marburg viruses (MARV) are the current most virulent species of the Filoviridae family. They can cause up to a 90% fatality rate in humans and are epizootic in Central and West Africa with 28 outbreaks since 1976. The 2013-16 Ebola outbreak caused 28,616 cases and 11,310 deaths (40% fatal). Additional outbreaks are certain due to indigenous reservoirs of the virus (e.g. fruit bats).

 

Lassa fever virus (LASV), a member of the Arenaviridae family, also causes severe and often fatal hemorrhagic illnesses in an overlapping region with Ebola. In contrast to the unpredictable epidemics of filoviruses, LASV is endemic in West Africa with an annual incidence of >300,000 infections, resulting in 5,000-10,000 deaths. Data from a recent study suggest that the number of annual LASV cases may be much higher, reaching three million infections and 67,000 deaths, putting as many as 200 million persons at risk.

 

Although the timing of the next filovirus outbreak cannot be predicted, it is certain that one will occur due to multiple factors such as: the zoonotic nature of the virus, weak health systems, high population mobility, cultural beliefs and burial practices, and endemic infectious diseases such as malaria and Lassa fever that mimic early Ebola symptoms in those at natural risk; and for those not at natural risk, the risk of intentional release by a bioterrorist.

 

We believe an ideal vaccine against major filoviruses and LASV must activate both humoral and cellular arms of the immune system. It should include the induction of antibodies to slow the initial rate of infection and a cellular immune response to help clear the infection. Moreover, it should address strain variations by providing broad coverage against potential epizootic filovirus strains, and it should be safe not only in healthy individuals (e.g. travelers or health care workers), but also in immunocompromised persons (e.g., HIV infected) and those with other underlying health concerns.

 

Despite significant progress being made with some experimental vaccines in clinical trials, none have been fully tested for both safety and efficacy. The replication competent rVSV-ZEBOV showed safety concerns in Phase 1 trials and by virtue of being replication competent could pose threats to immunocompromised individuals, such as those infected with HIV living in West Africa where recent Ebola epidemics started. The less advanced adeno-vectored vaccine candidates may require relatively cumbersome heterologous prime/boost regimens, for example with MVA, to elicit durable protective immunity. The use of Ad5 vectors also has been associated with concerns over increased susceptibility to HIV infection in areas with high HIV incidence. Even with rVSV-ZEBOV showing promise in the 2013-2015 epidemic, the world would benefit by being prepared with a safer and effective vaccine, to prevent or alleviate the effects of the next epidemic.

 

Our Vaccines. To address the unmet need for a product that can respond to future filovirus epidemics and potentially end LASV infections in West Africa, we are developing innovative vaccines utilizing our MVA-VLP platform. We are addressing strain variations, and induction of broad humoral and cellular response through development of four monovalent vaccines, which we may also investigate blending together as a single tetravalent vaccine (TV) to provide broad coverage, potentially with a single dose. The MVA vector is considered safe, having originally been developed for use in immunocompromised individuals as a smallpox vaccine.

 

Our vaccines are expected to not only protect at-risk individuals against EBOV, SUDV, MARV, and LASV, but also potentially reduce or modify the severity of other re-emerging filovirus pathogens such as Bundibugyo, Ivory Coast, and Reston viruses, based on antigenic cross reactivity and the elicitation of T cells to the more conserved matrix proteins (e.g. VP40 or Z) in addition to standard GP proteins used by us and other manufacturers. Thus, the GeoVax MVA-VLP approach offers a unique combination of advantages to achieve breadth and safety of a pan-filo/LASV vaccine. In addition to protecting people in Africa, it is intended to prevent the spread of disease to the US, and for preparedness against terrorist release of any of bio-threat pathogens. The initial markets for our vaccines are both NGOs such as the GAVI vaccine alliance and the Bill & Melinda Gates Foundation, as well as US and foreign governments.

 

Our initial preclinical studies in rodents and nonhuman primates for our first vaccine candidate (for EBOV) have shown 100% protection against a lethal dose of Ebola virus upon a single immunization. Preclinical studies in rodents for our second vaccine candidate (for LASV) showed similarly impressive results (100% single-dose protection).

 

5

 

 

Our Zika Virus Vaccine Program

 

About Zika Virus. Zika disease is a rapidly spreading emerging infection caused by the Zika virus (ZIKV) and has been linked to an increase in microcephaly in infants and Guillain-Barre syndrome (a neurodegenerative disease) in adults. ZIKV is a member of the Flaviviridae family, which includes medically important pathogens such as dengue fever, yellow fever, Japanese encephalitis, tick-borne encephalitis, and West Nile viruses. ZIKV, which was first discovered in 1947 in the Zika forest of Uganda, was considered only a minor public health concern for 60 years. Recently, with its appearance and rapid spread in the Americas, it has emerged as a serious threat with pandemic potential. Symptoms of Zika infection have historically been mild. In the recent epidemic, however, an alarming association between ZIKV infection and fetal brain abnormalities including microcephaly has been observed. No approved preventive or therapeutic products are currently available to fight the Zika epidemic. Public health officials recommend avoiding exposure to ZIKV, delaying pregnancy, and following basic supportive care (fluids, rest, and acetaminophen) after infection. A vaccine is urgently needed to prevent a Zika pandemic.

 

Our Vaccine. To address the unmet need for a ZIKV vaccine, we are developing novel vaccine candidates constructed in our MVA live vector platform, which has already shown great promise in our HIV and Ebola vaccines. We believe that, unlike other vaccines in development, the GeoVax vaccine combines a highly potent, yet safe, replication deficient viral vector (MVA) to deliver novel antigens of ZIKV to develop a single-dose vaccine. MVA has an outstanding safety record, which is particularly important given the need to include women of child-bearing age and newborns among those being vaccinated. Our Zika vaccine does not appear to induce Antibody Dependent Enhancement (ADE) of infection. ADE is a serious side effect induced when a vaccinated individual is bitten a second time by a mosquito carrying a second flavivirus such as dengue, resulting in a more virulent reaction. We expect these features to yield a safe and highly effective vaccine that is well suited to provide potent and durable immunity against ZIKV infection.

 

We collaborated with the US Centers for Disease Control (CDC) to develop a lethal challenge model in mice to test our vaccine candidates. We have demonstrated 100% protection in mice against a lethal challenge after a single dose vaccination. ZIKV and reagents are supplied by UTMB.

 

Our Malaria Vaccine Program

 

About Malaria. Malaria is a mosquito-borne disease caused by Plasmodium parasites. Symptoms are fever, chills, sweating, vomiting and flu-like illness. If untreated, severe complications (severe anemia, cerebral malaria and organ failure) will lead to death. Over 3 billion people in 106 countries and territories live at risk of malaria infection. According to the latest estimates from the World Health Organization (WHO), 214 million new cases of malaria were recorded worldwide in 2015, resulting in 438,000 deaths. There are 1,500 cases in the US each year (travelers returning home). Children under five years of age are particularly susceptible to malaria illness, infection, and death. In 2015, malaria killed an estimated 306,000 children. Current treatments include bed net distributions, drug treatment and mosquito spraying. Malaria parasites develop resistance to drugs and insecticides. Even though vaccines have shown to be the most cost-effective ways to fight and eliminate infectious diseases (Smallpox, polio, etc.), and after many decades of research and development, there is no commercial malaria vaccine at the present time. Even a vaccine with efficacy of 30-50% will prevent hundreds of thousands of deaths annually. Current vaccine candidates generally consist of subunit proteins, are poorly immunogenic, based on limited number of antigens (generally 4-5 antigens), do not target multiple stages of parasite life cycle, and do not induce strong durable functional antibodies and T cell responses. Therefore, identification of appropriate antigens and vaccine technologies is critical for development of an effective malaria vaccine.

 

Our Vaccine Approach. An ideal malaria vaccine candidate should contain antigens from multiple stages of the malaria life cycle, and should induce both functional antibodies (predominantly IgG1 and IgG3 subtypes shown to be associated with protection) and strong cell mediated immunity (e.g. Th1 biased CD4+ ad CD8+) to reduce parasitemia by clearing infected cells (liver cells or erythrocytes). We have shown (in animal models and humans) that MVA-VLP vaccines can induce a Th1 biased response with both durable functional antibodies (IgG1 and IgG3) and CD4+ and CD8+ T cell responses both of which are hallmarks of an ideal malaria vaccine.

 

We have established a collaboration with the Burnet Institute, a leading infectious diseases research institute in Australia, for the development of a vaccine to prevent malaria infection. The project includes the design, construction, and characterization of multiple malaria vaccine candidates using GeoVax’s MVA-VLP vaccine platform combined with malaria Plasmodium falciparum and Plasmodium vivax sequences identified by the Burnet Institute. The vaccine design, construction, and characterization will be performed at GeoVax with further characterization and immunogenicity studies in animal models conducted at Burnet Institute using their unique functional assays that provide key information on vaccine efficacy.

 

6

 

 

Our Hepatitis B Vaccine Program

 

About Hepatitis B Disease. Hepatitis B is a contagious liver disease caused by the Hepatitis B virus (HBV). It is transmitted person-to-person by blood, semen, or other bodily fluids. This can happen through sexual contact, needle sharing, or mother to infant transmission during birth. For some people, Hepatitis B is an acute (or short-term) illness; but for others, it can become a long-term, chronic infection that may lead to serious health issues like cirrhosis or liver cancer. The risk of chronic infection is related to age at infection. Approximately 90% of infected infants will develop chronic infections. As a child gets older, the risk decreases. Approximately 25%–50% of children infected between the ages of 1 and 5 years will develop chronic hepatitis. The risk drops to 6%–10% when a person is infected at over 5 years of age. Worldwide, most people with chronic Hepatitis B were infected at birth or during early childhood.

 

The CDC estimates that between 700,000 to 1.4 million people in the United States have chronic HBV infections, with an estimated 20,000 new infections every year. Many people are unaware that they are infected or may not show any symptoms. Therefore, they never seek the attention of medical or public health officials. Globally, chronic Hepatitis B affects more than 240 million people and contributes to nearly 686,000 deaths worldwide each year. Even though a preventive HBV vaccine is available, less than 5% of chronic HBV infections are cured through currently available therapies.

 

Our Hepatitis B Vaccine Approach. There is a clear medical need to treat chronic HBV infections, which affect hundreds of millions of people around the world, many of whom die due to complications of HBV including cirrhosis and cancer. Multiple vaccines exist to protect against HBV infection, but they cannot help patients already diagnosed with the disease. Although chronic HBV can be treated with drugs, the treatments do not cure 95% of patients; they cannot induce strong neutralizing antibodies and cellular responses needed to break tolerance to HBV antigens and clear infections, but only suppress the replication of the virus. Therefore, most people who start treatments must continue with them for life. Moreover, diagnosis and treatment options are very limited in resource/low income-constrained populations, which leads to many patients succumbing within months of diagnosis.

 

Our combination therapeutic vaccine strategy is comprised of multivalent vaccine antigens delivered by DNA and MVA-VLP in combination with the standard-of-care treatment to induce functional antibodies and CD4+, CD8+ T cell responses to clear infection and break tolerance needed toward a functional cure. Our goal is to significantly increase the current cure rate of HBV infections while reducing the duration of drug therapy, overall treatment costs, side effects, and potential drug resistance.

 

Given the challenges and difficulties of developing an effective therapy for chronic HBV infections, our strategy is to engage with multiple collaborators for combination therapies to increase our chances of success. We initially began collaborating in 2017 with Georgia State University Research Foundation (GSU) on a project that includes the design, construction, characterization and animal testing of multiple vaccine candidates using our MVA-VLP vaccine platform. Vaccine antigens include both GeoVax and GSU’s proprietary designed sequences. In February 2018, we expanded our collaborative efforts to include CaroGen Corporation to evaluate our MVA-VLP-HBV vaccine candidates in combination with CaroGen’s HBV virus-like vesicles (VSV) vaccine candidate.

 

Our Cancer Immunotherapy Program

 

About Cancer Immunotherapy. Cancer is the second most common cause of death in the US, exceeded only by heart disease. Its global burden is expected to rise to 22 million new cases per year by 2030. Currently, there is only one FDA approved cancer vaccine, PROVENGE® (sipuleucel-T). PROVENGE® is a personalized therapy for prostate cancer patients, which prolongs survival times by about 4 months. However, the field of immuno-oncology has received new momentum with the discovery and initial launch of monoclonal antibodies (Mabs) called immune checkpoint inhibitors (ICIs). Tumors hijack the body’s natural immune checkpoints by over expressing immune checkpoint ligands (proteins that bind to and activate the inhibitory activity of immune checkpoints), as a mechanism of immune resistance, especially against the T cells that are specific for tumor antigens and can kill cancer cells. ICIs block the interaction of Immune checkpoints with their ligands on tumor cells, allowing poorly functional T cells to resume proliferation, cytokine production and killing of tumor cells.

 

Unlike conventional therapies (e.g. radiation, chemotherapy, antibody, etc.), cancer vaccines have the potential to induce responses that not only result in the control and even clearance of tumors but also establish immunological memory that can suppress and prevent tumor recurrence. Convenience, safety, and low toxicity of cancer vaccines could make them invaluable tools to be included in future immunotherapy approaches for treating tumors. Currently, there are only a few vectored cancer vaccines being tested in combination with ICIs, all of which are in early clinical stages.

 

7

 

 

Our Immuno-Oncology Development Efforts. GeoVax has established a collaboration with Dr. Olivera Finn, a leading expert in cancer immunotherapy at the University of Pittsburgh. Dr. Finn was the first to show that many tumors express an abnormal form of cell surface-associated Mucin 1 (MUC1) protein that is recognized by the immune system as foreign. Given this, we are developing our MVA-VLP vaccine platform to deliver abnormal forms of MUC1 with the goal of raising protective anti-tumor antibodies and T cell responses in cancer patients.

 

We are also collaborating with ViaMune, Inc., which has developed a fully synthetic MUC1 vaccine candidate (MTI). The collaboration will assess each companies’ vaccine platform, separately, and in combination, with the goal of developing a tumor MUC1 vaccine that can produce a broad spectrum of anti-tumor antibody and T cell responses. The resulting MUC1 vaccine will be combined with ICIs as a novel vaccination strategy for cancer patients with advanced MUC1+ tumors. We have produced an MVA-VLP-MUC1 vaccine candidate, demonstrated VLP production by electron microscopy using MUC1 immunogold staining, and showed that the VLPs express a hypo-glycosylated form of MUC1 in human cell lines. Preclinical studies of the combined MTI and MVA-VLP-MUC1 vaccines conducted at the University of North Carolina at Charlotte have shown encouraging results and we are currently planning the next stage of preclinical testing.

 

In January 2018, we began an additional collaboration with Vaxeal Holding SA, in Switzerland to investigate a combination approach with another tumor-associated antigen (Cyclin B1). The collaboration between GeoVax and Vaxeal will include the design, construction, characterization and animal testing of vaccine candidates using our MVA-VLP vaccine platform in combination with Vaxeal’s proprietary designed antigen sequences.

 

Support from the United States Government

 

Grants and Contracts. We have been the recipient of multiple federal grants and contracts in support of our vaccine development programs. Our most recent awards are as follows:

 

SBIR Grant No. 1R43AI134200-01. In June 2017, NIAID awarded us a Small Business Innovation Research (SBIR) grant entitled “Advanced Preclinical Testing of a Novel Recombinant Vaccine Against Zika Virus.” The initial grant award was $300,000 for the first year of a two-year project period beginning June 24, 2017, with a total project budget of $600,000.

 

Staged Vaccine Development Contract. In August 2016, NIAID awarded us a Staged Vaccine Development contract to produce our preventive HIV vaccine for use in future clinical trials. The award included a base contract of $199,442 for the initial period from August 1, 2016 to December 31, 2017 (the “base period”) to support process development, as well as $7.6 million in additional development options that can be exercised by NIAID. Prior to the end of the base period NIAID notified us that it did not plan to exercise the additional development option under the contract due to funds availability and NIAID’s programmatic needs. We do not expect this to have an impact on the human clinical trials of our preventive HIV vaccine currently being conducted by the HVTN, or future trials being planned.

 

SBIR Grant No. 2R44AI106422-03. In April 2016, NIAID awarded us an SBIR grant entitled “Enhancing Protective Antibody Responses for a DNA/MVA HIV Vaccine.” The initial grant award was $740,456 for the first year of a two-year project period beginning April 15, 2016, with a total project budget of $1,398,615. In March 2017, NIAID awarded us $658,159 for the second year of the project period to test the effects of adding two proteins to our vaccine regimen.

 

SBIR Grant No. 1R43AI120887-01/02. In June 2015, NIAID awarded us an SBIR grant entitled “Directed Lineage Immunizations for Eliciting Broadly Neutralizing Antibody.” The initial grant award was $299,585 for the first year of a two-year project period beginning July 1, 2015. In June 2016, NIAID awarded us $294,038 for the second year of the project period to develop a clade C HIV vaccine. Clade C is the most prevalent subtype of HIV in eastern South American, sub-Saharan Africa and India

 

Clinical Trial Support. All our human clinical trials to date for our preventive HIV vaccines, including the recently initiated HVTN 114 trial, have been conducted by the HVTN and funded by NIAID. This financial support has been provided by NIAID directly to the HVTN, so has not been recognized in our financial statements, and we do not know the cost of these trials.

 

Other Federal Support. We have been the recipient of additional in-kind federal support through collaborative and intramural arrangements with CDC for our Zika vaccine program, the Rocky Mountain Laboratory facility of NIAID for our hemorrhagic fever virus vaccine program, and the United States Army Medical Research Institute of Infectious Diseases (USAMRIID) for our hemorrhagic fever virus vaccine program. This support generally has been for the conduct or support of preclinical animal studies on our behalf.

 

8

 

 

Government Regulations

 

Regulation by governmental authorities in the United States and other countries is a significant factor in our ongoing research and development activities and in the manufacture of our products. Complying with these regulations involves considerable expertise, time and expense.

 

In the United States, drugs and biologics are subject to rigorous federal and state regulation. Our products are regulated under the Federal Food, Drug and Cosmetic Act, the Public Health Service Act, and the regulations promulgated under these statutes, and other federal and state statutes and regulations. These laws govern, among other things, the testing, manufacture, safety, efficacy, labeling, storage, record keeping, approval, advertising and promotion of medications and medical devices. Product development and approval within this regulatory framework is difficult to predict, takes several years and involves great expense. The steps required before a human vaccine may be marketed in the United States include:

 

Preclinical laboratory tests, in vivo preclinical studies and formulation studies;

Manufacturing and testing of the product under strict compliance with current Good Manufacturing Practice (cGMP) regulations;

Submission to the FDA of an Investigational New Drug application for human clinical testing which must become effective before human clinical trials can commence;

Adequate and well-controlled human clinical trials to establish the safety and efficacy of the product;

The submission of a Biologics License Application to the FDA, along with the required user fees; and

FDA approval of the BLA prior to any commercial sale or shipment of the product

 

Before marketing any drug or biologic for human use in the United States, the product sponsor must obtain FDA approval. In addition, each manufacturing establishment must be registered with the FDA and must pass a pre-approval inspection before introducing any new drug or biologic into commercial distribution.

 

Because GeoVax does not manufacture vaccines for human use within our own facilities, we must ensure compliance both in our own operations and in the outsourced manufacturing operations. All FDA-regulated manufacturing establishments (both domestic establishments and foreign establishments that export products to the United States) are subject to inspections by the FDA and must comply with the FDA’s cGMP regulations for products, drugs and devices.

 

FDA determines compliance with applicable statutes and regulations through documentation review, investigations, and inspections. Several enforcement mechanisms are available to FDA, ranging from a simple demand to correct a minor deficiency to mandatory recalls, closure of facilities, and even criminal charges for the most serious violations.

 

 

Even if FDA regulatory clearances are obtained, a marketed product is subject to continual review, and later discovery of previously unknown problems or failure to comply with the applicable regulatory requirements may result in restrictions on the marketing of a product or withdrawal of the product from the market as well as possible civil or criminal sanctions.

 

Whether or not the FDA has approved the drug, approval of a product by regulatory authorities in foreign countries must be obtained prior to the commencement of commercial sales of the drug in such countries. The requirements governing the conduct of clinical trials and drug approvals vary widely from country to country, and the time required for approval may be longer or shorter than that required for FDA approval.

 

We also are subject to various federal, state and local laws, regulations, and recommendations relating to safe working conditions, laboratory and manufacturing practices, the experimental use of animals, and the use and disposal of hazardous or potentially hazardous substances used in connection with our research. The extent of government regulation that might result from any future legislation or administrative action cannot be accurately predicted.

 

Manufacturing

 

We do not have the facilities or expertise to manufacture any of the clinical or commercial supplies of any of our products. To be successful, our products must be manufactured in commercial quantities in compliance with regulatory requirements and at an acceptable cost. To date, we have not commercialized any products, nor have we demonstrated that we can manufacture commercial quantities of our product candidates in accordance with regulatory requirements. If we cannot manufacture products in suitable quantities and in accordance with regulatory standards, either on our own or through contracts with third parties, it may delay clinical trials, regulatory approvals and marketing efforts for such products. Such delays could adversely affect our competitive position and our chances of achieving profitability. We cannot be sure that we can manufacture, either on our own or through contracts with third parties, such products at a cost or in quantities that are commercially viable.

 

9

 

 

We currently rely and intend to continue to rely on third-party contract manufacturers to produce vaccines needed for research and clinical trials. We have arrangements with third party manufacturers for the supply of our DNA and MVA vaccines for use in our planned clinical trials. These suppliers operate under the FDA’s Good Manufacturing Practices and (in the case of European manufacturers) similar regulations of the European Medicines Agency. We anticipate that these suppliers will be able to provide sufficient vaccine supplies to complete our currently planned clinical trials. Various contractors are generally available in the United States and Europe for manufacture of vaccines for clinical trial evaluation, however, it may be difficult to replace existing contractors for certain manufacturing and testing activities and costs for contracted services may increase substantially if we switch to other contractors.

 

Competition

 

The biotechnology and pharmaceutical industries are highly competitive. There are many pharmaceutical companies, biotechnology companies, public and private universities and research organizations actively engaged in the research and development of products that may be competitive with our products. There are several multinational pharmaceutical companies and large biotechnology companies currently marketing or pursuing the development of products or product candidates targeting the same indications as our product candidates. The number of companies seeking to develop products and therapies for the treatment of unmet needs in these indications is likely to increase. Some of these competitive products and therapies are based on scientific approaches that are similar to our approaches, and others are based on entirely different approaches.

 

Many of our competitors, either alone or with their strategic partners, have substantially greater financial, technical and human resources than we do and significantly greater experience in the discovery and development of product candidates, obtaining FDA and other regulatory approvals of products and the commercialization of those products. Our competitors’ products may be more effective, or more effectively marketed and sold, than any drug we may commercialize and may render our product candidates obsolete or non-competitive. We anticipate that we will face intense and increasing competition as new drugs enter the market and advanced technologies become available. We expect any products that we develop and commercialize to compete based on, among other things, efficacy, safety, convenience of administration and delivery, price, the level of generic competition and the availability of reimbursement from government and other third-party payers.

 

There are currently no FDA licensed and commercialized HIV vaccines, Zika vaccines, or hemorrhagic fever virus vaccines available in the world market. We are aware of several development-stage and established enterprises, including major pharmaceutical and biotechnology firms, which are actively engaged in vaccine research and development in these areas. For hemorrhagic fever viruses, these include NewLink Genetics and Merck, Johnson & Johnson, Novavax, Profectus Biosciences, Protein Sciences, Inovio and GlaxoSmithKline. For HIV, these include Sanofi, GlaxoSmithKline, and Johnson & Johnson. Other HIV vaccines are in varying stages of research, testing and clinical trials including those supported by the NIH Vaccine Research Center, the U.S. Military, IAVI, the European Vaccine Initiative, and the South African AIDS Vaccine Initiative. For Zika, these include NewLink Genetics, Inovio, Merck, Butantan Institute and NIH (NIAID).

 

There are numerous FDA-approved treatments for HIV, primarily antiretroviral therapies, marketed by large pharmaceutical companies. Currently, there are no approved therapies for the eradication of HIV. We expect that major pharmaceutical companies that currently market antiretroviral therapy products or other companies that are developing HIV product candidates may seek to develop products for the eradication of HIV.

 

There are currently no commercialized vaccines to treat chronic HBV infection. Multiple vaccines exist to protect against HBV infection, but they cannot help patients already diagnosed with the disease. Although chronic HBV can be treated with drugs, the treatments do not cure 95% of patients; they cannot induce strong neutralizing antibodies and cellular responses needed to break tolerance to HBV antigens and clear infections, but only suppress the replication of the virus.

 

There are currently no commercialized vaccines to prevent malaria infection. A first generation infection-blocking malaria vaccine, RTS,S, is under regulatory review. It requires 4 doses and has been recommended by the WHO for pilot implementation studies. Since this vaccine is based on a single antigen and has modest efficacy (30-40%, depending on the age of subjects), the WHO has defined a Road Map for developing and licensing of next generation malaria vaccines. These vaccines are expected to contain multiple antigens designed to block both infection and transmission of malaria with at least a 75% efficacy rate.

 

10

 

 

A number of companies are developing various types of therapeutic vaccines or other immunotherapy approaches to treat cancer including Advaxis, Immune Design, Oncothyreon, Bavarian Nordic, Roche Pharmaceuticals, Merck & Co, Bristol Myers Squibb, AstraZeneca plc, and Medimmune, LLC.

 

Our Intellectual Property

 

We will be able to protect our proprietary rights from unauthorized use by third parties only to the extent that our proprietary rights are described by valid and enforceable patents or are effectively maintained as trade secrets. Accordingly, we are pursuing and will continue to pursue patent protection for our proprietary technologies obtained or developed through our collaborations or developed by us alone. Our patent portfolio includes applications directed to DNA and MVA based HIV vaccines, their genetic inserts expressing multiple HIV protein components, composition, structure, claim of immunization against multiple subtypes of HIV, routes of administration, safety and other related factors and methods of therapeutic and prophylactic use thereof including administration regimes. Also included are applications directed to preventive vaccines against hemorrhagic fever viruses (Ebola, Sudan, Marburg and Lassa), Zika virus and malaria, and use thereof; immuno-oncology vaccine compositions and methods of use thereof; and therapeutic vaccines against HBV and use thereof. We are the licensee of at least nine issued or allowed U.S. patents and at least twenty-three issued or allowed non-U.S. patents. We are actively pursuing two U.S. provisional applications, two non-U.S. and two international patent applications as the owner of record, in addition to at least two non-U.S. patent applications under license.

 

We are the exclusive, worldwide licensee of several patents and patent applications, which we refer to as the Emory Technology, owned, licensed or otherwise controlled by Emory University for HIV or smallpox vaccines pursuant to a license agreement originally entered into on August 23, 2002 and restated on June 23, 2004 (the “Emory License”). Through the Emory License we are also a non-exclusive licensee of four issued United States patents owned by the NIH related to the ability of our MVA vector vaccine to operate as a vehicle to deliver HIV virus antigens, and to induce an immune response in humans.

 

We are not a party to any litigation, opposition, interference, or other potentially adverse proceeding with regard to our patent positions. However, if we become involved in litigation, interference proceedings, oppositions or other intellectual property proceedings, for example as a result of an alleged infringement or a third-party alleging an earlier date of invention, we may have to spend significant amounts of money and time and, in the event of an adverse ruling, we could be subject to liability for damages, invalidation of our intellectual property and injunctive relief that could prevent us from using technologies or developing products, any of which could have a significant adverse effect on our business, financial conditions or results of operations. In addition, any claims relating to the infringement of third-party proprietary rights, or earlier date of invention, even if not meritorious, could result in costly litigation, lengthy governmental proceedings, divert management’s attention and resources and require us to enter royalty or license agreements which are not advantageous if available at all.

 

In addition to patent protection, we also attempt to protect our proprietary products, processes and other information by relying on trade secrets and non-disclosure agreements with our employees, consultants and certain other persons who have access to such products, processes and information. Under these agreements, all inventions conceived by employees are our exclusive property. Nevertheless, there can be no assurance that these agreements will afford significant protection against misappropriation or unauthorized disclosure of our trade secrets and confidential information.

 

We cannot be certain that any of the current pending patent applications we have licensed, or any new patent applications we may file or license, will ever be issued in the United States or any other country. Even if issued, there can be no assurance that those patents will be sufficiently broad to prevent others from using our products or processes. Furthermore, our patents, as well as those we have licensed or may license in the future, may be held invalid or unenforceable by a court, or third parties could obtain patents that we would need to either license or to design around, which we may be unable to do. Current and future competitors may have licensed or filed patent applications or received patents and may acquire additional patents or proprietary rights relating to products or processes competitive to ours. In addition, any claims relating to the infringement of third-party proprietary rights, or earlier date of invention, even if not meritorious, could result in costly litigation, lengthy governmental proceedings, divert management’s attention and resources and require us to enter royalty or license agreements which are not advantageous to us, if available at all.

 

Research and Development

 

Our expenditures for research and development activities were $2,017,350, $1,970,859, and $1,693,102 during the years ended December 31, 2017, 2016 and 2015, respectively. As our vaccines continue to go through the process to obtain regulatory approval, we expect our research and development costs to increase. We have not yet formulated any plans for marketing and sales of any vaccine candidate we may successfully develop. Compliance with environmental protection laws and regulations has not had a material effect on our capital expenditures, earnings or competitive position to date.

 

11

 

 

Scientific Advisors

 

We seek advice from our Scientific Advisory Board, which consists of a number of leading scientists, on scientific and medical matters. The current members of our Scientific Advisory Board are:

 

Name   Position/Institutional Affiliation
Thomas P. Monath, MD   Managing Partner and Chief Scientific Officer at Crozet Biopharma
Stanley A. Plotkin, MD   Professor Emeritus, University of Pennsylvania Adjunct Professor, Johns Hopkins University
Barney S. Graham, MD, PhD   Senior Investigator, Vaccine Research Center, NIAID
Scott C. Weaver, PhD   Director, University of Texas Medical Branch Institute for Human Infections and Immunity Scientific Director, Galveston National Laboratory
Olivera J. Finn, PhD   Distinguished Professor of Immunology and Surgery, University of Pittsburgh

 

Properties and Employees

 

We lease approximately 8,400 square feet of office and laboratory space located at 1900 Lake Park Drive, Suite 380, Smyrna, Georgia under a lease agreement which expires on December 31, 2018. We believe this space is adequate for our current needs and we expect to renew the lease on a short-term basis. We may experience an adverse impact on our business if we are unable to access suitable facilities for our offices and laboratories. As of March 20, 2018, we had seven full-time and two part-time employees. None of our employees are covered by collective bargaining agreements and we believe that our employee relations are good.

 

Corporate Background

 

Our primary business is conducted by our wholly-owned subsidiary, GeoVax, Inc., which was incorporated under the laws of Georgia in June 2001. The predecessor of our parent company, GeoVax Labs, Inc. (the reporting entity) was originally incorporated in June 1988 under the laws of Illinois as Dauphin Technology, Inc. (“Dauphin”). In September 2006, Dauphin completed a merger with GeoVax, Inc. As a result of the merger, GeoVax, Inc. became a wholly-owned subsidiary of Dauphin, and Dauphin changed its name to GeoVax Labs, Inc. In June 2008, the Company was reincorporated under the laws of Delaware. We currently do not conduct any business other than GeoVax, Inc.’s business of developing new products for the treatment or prevention of human diseases. Our principal offices are in Smyrna, Georgia (metropolitan Atlanta). 

 

Available Information

 

Our website address is www.geovax.com. We make available on this website under “Investors – SEC Reports,” free of charge, our proxy statements, annual reports on Form 10-K, quarterly reports on Form 10-Q, current reports on Form 8-K and amendments to those reports as soon as reasonably practicable after we electronically file or furnish such materials to the SEC. We also make available our Code of Ethics on this website under the heading “Investors – Corporate Governance”. Information contained on our website is not incorporated into this Annual Report.  

 

12

 

 

ITEM 1A.     RISK FACTORS

 

Investing in our securities involves a high degree of risk. You should carefully review and consider the risks, uncertainties and other factors described below before you decide whether to purchase our securities. Any of these factors could materially and adversely affect our business, financial condition, operating results and prospects and could negatively impact the market price of our common stock, and you may lose some or all of your investment. The risks and uncertainties described below are not the only ones facing our Company. Additional risks and uncertainties that we are unaware of, or that we currently deem immaterial, may also impair our business operations. You should also refer to the information contained in this Form 10-K, including our financial statements and the related notes.

 

Risks Related to Our Business

 

We have a history of operating losses, and we expect losses to continue for the foreseeable future.

 

We have had no product revenue to date and there can be no assurance that we will ever generate any product revenue. We have experienced operating losses since we began operations in 2001. As of December 31, 2017, we had an accumulated deficit of approximately $37.9 million. We expect to incur additional operating losses and expect cumulative losses to increase as our research and development, pre-clinical, clinical, manufacturing and marketing efforts expand. Our ability to generate revenue and achieve profitability depends on our ability to successfully complete the development of our product candidates, conduct pre-clinical tests and clinical trials, obtain the necessary regulatory approvals, and manufacture and market the resulting products. Unless we are able to successfully meet these challenges, we will not be profitable and may not remain in business.

 

We have received a going concern opinion from our auditors.

 

We have received a "going concern" opinion from our independent registered public accounting firm, reflecting substantial doubt about our ability to continue as a going concern. Our consolidated financial statements contemplate that we will continue as a going concern and do not contain any adjustments that might result if we were unable to continue as a going concern. Our ability to continue as a going concern is dependent upon our ability to raise additional capital and implement our business plan. If we are unable to achieve or sustain profitability or to secure additional financing on acceptable terms, we may not be able to meet our obligations as they come due, raising substantial doubts as to our ability to continue as a going concern. Any such inability to continue as a going concern may result in our stockholders losing their entire investment. There is no guarantee that we will become profitable or secure additional financing on acceptable terms.

 

Our business will require continued funding. If we do not receive adequate funding, we will not be able to continue our operations.

 

To date, we have financed our operations principally through the sale of our equity securities and through NIAID grants and clinical trial support. We will require substantial additional financing at various intervals for our operations, including clinical trials, operating expenses, intellectual property protection and enforcement, for pursuit of regulatory approvals, and for establishing or contracting out manufacturing, marketing and sales functions. There is no assurance that such additional funding will be available on terms acceptable to us or at all. If we are not able to secure the significant funding that is required to maintain and continue our operations at current levels, or at levels that may be required in the future, we may be required to delay clinical studies or clinical trials, curtail operations, or obtain funds through collaborative arrangements that may require us to relinquish rights to some of our products or potential markets.

 

The costs of conducting all of our human clinical trials to date for our preventive HIV vaccine have been borne by the HIV Vaccine Trials Network (HVTN), with funding by NIAID, and we expect NIAID support for additional clinical trials. GeoVax incurs costs associated with manufacturing the clinical vaccine supplies and other study support. We cannot predict the level of support we will receive from the HVTN or NIAID for any additional clinical trials of our HIV vaccines.

 

Our operations are also partially supported by the NIAID grants awarded to us to support our HIV and Zika vaccine programs. As of December 31, 2017, there was $481,695 of unused grant funds remaining and available for use during 2018. We are pursuing additional support from the federal government for our vaccine programs. However, as we progress to the later stages of our vaccine development activities, government financial support may be more difficult to obtain, or may not be available at all. Furthermore, there is some risk that actual funding for grants could be delayed, cut back, or eliminated due to government budget constraints. Therefore, it will be necessary for us to look to other sources of funding to finance our development activities.

 

13

 

 

We expect that our current working capital, combined with proceeds from the grants awarded to us from NIAID will be sufficient to support our planned level of operations into the third quarter of 2018. We will need to raise additional funds to significantly advance our vaccine development programs and to continue our operations. In order to meet our operating cash flow needs we plan to seek sources of non-dilutive capital through government grant programs and clinical trial support. We may also plan additional offerings of our equity securities, debt, or convertible debt instruments. Should the financing we require to sustain our working capital needs be unavailable or prohibitively expensive when we require it, the consequences could have a material adverse effect on our business, operating results, financial condition and prospects.

 

Risks Related to Development and Commercialization of Product Candidates and Dependence on Third Parties

 

Our products are still being developed and are unproven. These products may not be successful.

 

To become profitable, we must generate revenue through sales of our products. However, our products are in varying stages of development and testing. Our products have not been proven in human clinical trials and have not been approved by any government agency for sale. If we cannot successfully develop and prove our products and processes, or if we do not develop other sources of revenue, we will not become profitable and at some point we would discontinue operations.

 

Whether we are successful will be dependent, in part, upon the leadership provided by our management. If we were to lose the services of any of these individuals, our business and operations may be adversely affected.

 

Whether our business will be successful will be dependent, in part, upon the leadership provided by our officers, particularly our President and Chief Executive Officer and our Chief Scientific Officer. The loss of the services of these individuals may have an adverse effect on our operations. Further, our employees, including our executive officers and directors, are not subject to any covenants not to compete against the Company, and our business could be adversely affected if any of our employees or directors engaged in an enterprise competitive with the Company.

 

Regulatory and legal uncertainties could result in significant costs or otherwise harm our business.

 

To manufacture and sell our products, we must comply with extensive domestic and international regulation. In order to sell our products in the United States, approval from the FDA is required. Satisfaction of regulatory requirements, including FDA requirements, typically takes many years, and if approval is obtained at all, it is dependent upon the type, complexity and novelty of the product, and requires the expenditure of substantial resources. We cannot predict whether our products will be approved by the FDA. Even if they are approved, we cannot predict the time frame for approval. Foreign regulatory requirements differ from jurisdiction to jurisdiction and may, in some cases, be more stringent or difficult to meet than FDA requirements. As with the FDA, we cannot predict if or when we may obtain these regulatory approvals. If we cannot demonstrate that our products can be used safely and successfully in a broad segment of the patient population on a long-term basis, our products would likely be denied approval by the FDA and the regulatory agencies of foreign governments.

 

We face intense competition and rapid technological change that could result in products that are superior to the products we will be commercializing or developing.

 

The market for vaccines that protect against or treat human infectious diseases is intensely competitive and is subject to rapid and significant technological change. We have numerous competitors in the United States and abroad, including, among others, large companies with substantially greater resources than us. If any of our competitors develop products with efficacy or safety profiles significantly better than our products, we may not be able to commercialize our products, and sales of any of our commercialized products could be harmed. Some of our competitors and potential competitors have substantially greater product development capabilities and financial, scientific, marketing and human resources than we do. Competitors may develop products earlier, obtain FDA approvals for products more rapidly, or develop products that are more effective than those under development by us. We will seek to expand our technological capabilities to remain competitive; however, research and development by others may render our technologies or products obsolete or noncompetitive, or result in treatments or cures superior to ours.

 

Our product candidates are based on new medical technology and, consequently, are inherently risky. Concerns about the safety and efficacy of our products could limit our future success.

 

We are subject to the risks of failure inherent in the development of product candidates based on new medical technologies. These risks include the possibility that the products we create will not be effective, that our product candidates will be unsafe or otherwise fail to receive the necessary regulatory approvals, and that our product candidates will be hard to manufacture on a large scale or will be uneconomical to market.

 

14

 

 

Many pharmaceutical products cause multiple potential complications and side effects, not all of which can be predicted with accuracy and many of which may vary from patient to patient. Long term follow-up data may reveal previously unidentified complications associated with our products. The responses of potential physicians and others to information about complications could materially affect the market acceptance of our products, which in turn would materially harm our business.

 

We may experience delays in our clinical trials that could adversely affect our financial results and our commercial prospects.

 

We do not know whether planned clinical trials will begin on time or whether we will complete any of our clinical trials on schedule, if at all. Product development costs will increase if we have delays in testing or approvals or if we need to perform more or larger clinical trials than planned. Significant delays may adversely affect our financial results and the commercial prospects for our products and delay our ability to become profitable.

 

We rely heavily on the HVTN, independent clinical investigators, vaccine manufacturers, and other third-party service providers for successful execution of our clinical trials, but do not control many aspects of their activities. We are responsible for ensuring that each of our clinical trials is conducted in accordance with the general investigational plan and protocols for the trial. Moreover, the FDA requires us to comply with standards, commonly referred to as Good Clinical Practices, for conducting, recording, and reporting the results of clinical trials to assure that data and reported results are credible and accurate and that the rights, integrity and confidentiality of trial participants are protected. Our reliance on third parties that we do not control does not relieve us of these responsibilities and requirements. Third parties may not complete activities on schedule or may not conduct our clinical trials in accordance with regulatory requirements or our stated protocols. The failure of these third parties to carry out their obligations could delay or prevent the development, approval and commercialization of our product candidates. There is also a risk of changes in clinical trial strategy and timelines due to the HVTN and NIAID altering their trial strategy.

 

Failure to obtain timely regulatory approvals required to exploit the commercial potential of our products could increase our future development costs or impair our future sales.

 

None of our vaccines are approved by the FDA for sale in the United States or by other regulatory authorities for sale in foreign countries. To exploit the commercial potential of our technologies, we are conducting and planning to conduct additional pre-clinical studies and clinical trials. This process is expensive and can require a significant amount of time. Failure can occur at any stage of testing, even if the results are favorable. Failure to adequately demonstrate safety and efficacy in clinical trials could delay or preclude regulatory approval and restrict our ability to commercialize our technology or products. Any such failure may severely harm our business. In addition, any approvals we obtain may not cover all of the clinical indications for which approval is sought or may contain significant limitations in the form of narrow indications, warnings, precautions or contraindications with respect to conditions of use, or in the form of onerous risk management plans, restrictions on distribution, or post-approval study requirements.

 

State pharmaceutical marketing compliance and reporting requirements may expose us to regulatory and legal action by state governments or other government authorities.

 

Several states have enacted legislation requiring pharmaceutical companies to establish marketing compliance programs and file periodic reports on sales, marketing, pricing and other activities. Similar legislation is being considered in other states. Many of these requirements are new and uncertain, and available guidance is limited. Unless we are in full compliance with these laws, we could face enforcement action, fines, and other penalties and could receive adverse publicity, all of which could harm our business.

 

Changes in healthcare law and implementing regulations, as well as changes in healthcare policy, may impact our business in ways that we cannot currently predict, and may have a significant adverse effect on our business and results of operations.

 

In the United States and some foreign jurisdictions, there have been, and continue to be, several legislative and regulatory changes and proposed changes regarding the healthcare system that could prevent or delay marketing approval of product candidates, restrict or regulate post-approval activities, and affect our ability to profitably sell any product candidates for which we obtain marketing approval. Among policy makers and payors in the United States and elsewhere, including in the European Union, there is significant interest in promoting changes in healthcare systems with the stated goals of containing healthcare costs, improving quality and/or expanding access. In the United States, the pharmaceutical industry has been a particular focus of these efforts and has been significantly affected by major legislative initiatives.

 

15

 

 

The Patient Protection and Affordable Care Act, as amended by the Health Care and Education Reconciliation Act of 2010, or collectively the Affordable Care Act, substantially changed the way healthcare is financed by both the government and private insurers, and significantly impacts the U.S. pharmaceutical industry. The Affordable Care Act, includes a number of provisions that are intended to lower healthcare costs, including prescription drug prices and government spending on medical products.

 

Since its enactment, there have also been judicial and Congressional challenges to certain aspects of the Affordable Care Act, as well as recent efforts by the Trump administration to repeal or replace certain aspects of the statute. We continue to evaluate the effect that the Affordable Care Act and subsequent changes to the statute has on our business. It is uncertain the extent to which any such changes may impact our business or financial condition.

 

There has also been heightened governmental scrutiny recently over the manner in which drug manufacturers set prices for their marketed products. There have been several Congressional inquiries and proposed bills, as well as state efforts, designed to, among other things, bring more transparency to product pricing, review the relationship between pricing and manufacturer patient programs, and reform government program reimbursement methodologies for drug products. In June 2017, FDA issued a Drug Competition Action plan intended to lower prescription drug prices by encouraging competition from generic versions of existing products. The Agency announced that it will issue a similar plan intended to promote competition to prescription biologics from biosimilars later this year.

 

Individual states in the United States have also become increasingly aggressive in passing legislation and implementing regulations designed to control pharmaceutical and biological product pricing, including price or patient reimbursement constraints, discounts, restrictions on certain product access and marketing cost disclosure and transparency measures. For example, in September 2017, the California State Assembly approved SB17, which requires pharmaceutical companies to notify health insurers and government health plans at least 60 days before any scheduled increases in the prices of their products if they exceed 16% over a two-year period, and further requiring pharmaceutical companies to explain the reasons for such increase. Effective in 2016, Vermont passed a law requiring certain manufacturer identified by the state to justify their price increases.

 

We expect that these and other healthcare reform measures that may be adopted in the future, may result in more rigorous coverage criteria and lower reimbursement, and in additional downward pressure on the price that we receive for any approved product. Any reduction in reimbursement from Medicare or other government-funded programs may result in a similar reduction in payments from private payors. The implementation of cost containment measures or other healthcare reforms may prevent us from being able to generate revenue, attain profitability or commercialize our drugs, once marketing approval is obtained.

 

We may not be successful in establishing collaborations for product candidates we seek to commercialize, which could adversely affect our ability to discover, develop, and commercialize products.

 

We expect to seek collaborations for the development and commercialization of product candidates in the future. The timing and terms of any collaboration will depend on the evaluation by prospective collaborators of the clinical trial results and other aspects of our vaccine’s safety and efficacy profile. If we are unable to reach agreements with suitable collaborators for any product candidate, we will be forced to fund the entire development and commercialization of such product candidates, ourselves, and we may not have the resources to do so. If resource constraints require us to enter into a collaboration agreement early in the development of a product candidate, we may be forced to accept a more limited share of any revenues this product may eventually generate. We face significant competition in seeking appropriate collaborators. Moreover, these collaboration arrangements are complex and time-consuming to negotiate and document. We may not be successful in our efforts to establish collaborations or other alternative arrangements for any product candidate. Even if we are successful in establishing collaborations, we may not be able to ensure fulfillment by collaborators of their obligations or our expectations.

 

We do not have manufacturing, sales or marketing experience.

 

We do not have experience in manufacturing, selling, or marketing vaccines. To obtain the expertise necessary to successfully manufacture, market, and sell our vaccines, we will require the development of our own commercial infrastructure and/or collaborative commercial arrangements and partnerships. Our ability to execute our current operating plan is dependent on numerous factors, including, the performance of third party collaborators with whom we may contract.

 

16

 

 

Our vaccines under development may not gain market acceptance.

 

Our vaccines may not gain market acceptance among physicians, patients, healthcare payers and the medical community. Significant factors in determining whether we will be able to compete successfully include:

the efficacy and safety of our vaccines;

the time and scope of regulatory approval;

reimbursement coverage from insurance companies and others;

the price and cost-effectiveness of our products; and

the ability to maintain patent protection.

 

We may be required to defend lawsuits or pay damages for product liability claims.

 

Product liability is a major risk in testing and marketing biotechnology and pharmaceutical products. We may face substantial product liability exposure in human clinical trials and for products that we sell after regulatory approval. We carry product liability insurance and we expect to continue such policies. However, product liability claims, regardless of their merits, could exceed policy limits, divert management’s attention, and adversely affect our reputation and the demand for our products.

 

Reimbursement decisions by third-party payors may have an adverse effect on pricing and market acceptance. If there is not sufficient reimbursement for our vaccines, it is less likely that they will be widely used.

 

Market acceptance of vaccines we develop, if approved, will depend on reimbursement policies and may be affected by, among other things, future healthcare reform measures. Government authorities and third-party payors, such as private health insurers and health maintenance organizations, decide which drugs they will cover and establish payment levels. We cannot be certain that reimbursement will be available for or any vaccines that we may develop. Also, we cannot be certain that reimbursement policies will not reduce the demand for, or the price paid for our vaccines. If reimbursement is not available or is available on a limited basis, we may not be able to successfully commercialize vaccines that we develop.

 

Risks Related to Our Intellectual Property

 

We could lose our license rights to our important intellectual property if we do not fulfill our contractual obligations to our licensors.

 

Our rights to significant parts of the technology we use in our vaccines are licensed from third parties and are subject to termination if we do not fulfill our contractual obligations to our licensors. Termination of intellectual property rights under any of our license agreements could adversely impact our ability to produce or protect our vaccines. Our obligations under our license agreements include requirements that we make milestone payments to our licensors upon the achievement of clinical development and regulatory approval milestones, royalties as we sell commercial products, and reimbursement of patent filing and maintenance expenses. Should we become bankrupt or otherwise unable to fulfill our contractual obligations, our licensors could terminate our rights to critical technology that we rely upon.

 

Other parties may claim that we infringe their intellectual property or proprietary rights, which could cause us to incur significant expenses or prevent us from selling products.

 

Our success will depend in part on our ability to operate without infringing the patents and proprietary rights of third parties. The manufacture, use and sale of new products have been subject to substantial patent rights litigation in the pharmaceutical industry. These lawsuits generally relate to the validity and infringement of patents or proprietary rights of third parties. Infringement litigation is prevalent with respect to generic versions of products for which the patent covering the brand name product is expiring, particularly since many companies that market generic products focus their development efforts on products with expiring patents. Pharmaceutical companies, biotechnology companies, universities, research institutions or other third parties may have filed patent applications or may have been granted patents that cover aspects of our products or our licensors’ products, product candidates or other technologies.

 

Future or existing patents issued to third parties may contain patent claims that conflict with our products. We expect to be subject to infringement claims from time to time in the ordinary course of business, and third parties could assert infringement claims against us in the future with respect to our current products or with respect to products that we may develop or license. Litigation or interference proceedings could force us to:

stop or delay selling, manufacturing or using products that incorporate, or are made using the challenged intellectual property;

pay damages; or

enter into licensing or royalty agreements that may not be available on acceptable terms, if at all.

 

17

 

 

Any litigation or interference proceedings, regardless of their outcome, would likely delay the regulatory approval process, be costly and require significant time and attention of our key management and technical personnel.

 

Any inability to protect intellectual property rights in the United States and foreign countries could limit our ability to manufacture or sell products.

 

We will rely on trade secrets, unpatented proprietary know-how, continuing technological innovation and, in some cases, patent protection to preserve our competitive position. Our patents and licensed patent rights may be challenged, invalidated, infringed or circumvented, and the rights granted in those patents may not provide proprietary protection or competitive advantages to us. We and our licensors may not be able to develop patentable products. Even if patent claims are allowed, the claims may not issue, or in the event of issuance, may not be sufficient to protect the technology owned by or licensed to us. If patents containing competitive or conflicting claims are issued to third parties, we may be prevented from commercializing the products covered by such patents, or may be required to obtain or develop alternate technology. In addition, other parties may duplicate, design around or independently develop similar or alternative technologies.

 

We may not be able to prevent third parties from infringing or using our intellectual property, and the parties from whom we may license intellectual property may not be able to prevent third parties from infringing or using the licensed intellectual property. We generally will attempt to control and limit access to, and the distribution of, our product documentation and other proprietary information. Despite efforts to protect this proprietary information, unauthorized parties may obtain and use information that we may regard as proprietary. Other parties may independently develop similar know-how or may even obtain access to these technologies.

 

The laws of some foreign countries do not protect proprietary information to the same extent as the laws of the United States, and many companies have encountered significant problems and costs in protecting their proprietary information in these foreign countries.

 

Neither the U.S. Patent and Trademark Office nor the courts have established a consistent policy regarding the breadth of claims allowed in pharmaceutical patents. The allowance of broader claims may increase the incidence and cost of patent interference proceedings and the risk of infringement litigation. On the other hand, the allowance of narrower claims may limit the value of our proprietary rights.

 

Risks Related To Our Common Stock

 

The market price of our common stock is highly volatile.

 

The market price of our common stock has been, and is expected to continue to be, highly volatile. Certain factors, including announcements of new developments by us or other companies, regulatory matters, new or existing medicines or procedures, concerns about our financial position, operating results, litigation, government regulation, developments or disputes relating to agreements, patents or proprietary rights, may have a significant impact on the market price of our stock. In addition, potential dilutive effects of future sales of shares of common stock by us, and subsequent sales of common stock by the holders of warrants and options could have an adverse effect on the market price of our shares.

 

Our common stock does not have a vigorous trading market and investors may not be able to sell their securities when desired.

 

We have a limited active public market for our common shares. A more active public market, allowing investors to buy and sell large quantities of our common stock, may never develop. Consequently, investors may not be able to liquidate their investments in the event of an emergency or for any other reason.

 

We have never paid dividends and have no plans to do so.

 

Holders of shares of our common stock are entitled to receive such dividends as may be declared by our Board of Directors. To date, we have paid no cash dividends on our shares of common stock and we do not expect to pay cash dividends on our common stock in the foreseeable future. We intend to retain future earnings, if any, to provide funds for operations of our business. Therefore, any potential return investors may have in our common stock will be in the form of appreciation, if any, in the market value of their shares of common stock.

 

18

 

 

If we fail to maintain an effective system of internal controls, we may not be able to accurately report our financial results or prevent fraud.

 

We are subject to reporting obligations under the United States securities laws. The Securities and Exchange Commission (SEC) as required by the Sarbanes-Oxley Act of 2002, adopted rules requiring every public company to include a management report on such company’s internal controls over financial reporting in its annual report. Effective internal controls are necessary for us to produce reliable financial reports and are important to help prevent fraud. As a result, our failure to achieve and maintain effective internal controls over financial reporting could result in the loss of investor confidence in the reliability of our financial statements, which in turn could negatively impact the trading price of our stock.

 

If we fail to remain current in our reporting requirements, our securities could be removed from the OTC Market, which would limit the ability of broker-dealers to sell our securities and the ability of stockholders to sell their securities in the secondary market.

 

United States companies trading on the OTC Market must be reporting issuers under Section 12 of the Exchange Act, and must be current in their reports under Section 13 of the Exchange Act. If we fail to remain current on our reporting requirements, we could be removed from the OTC Market. As a result, the market liquidity for our securities could be severely adversely affected by limiting the ability of broker-dealers to sell our securities and the ability of stockholders to sell their securities in the secondary market.

 

We need additional capital, and the sale of additional shares or other equity securities could result in additional dilution to our stockholders.

 

In order to meet our operating cash flow needs we plan additional offerings of our equity securities, debt, or convertible debt instruments. The sale of additional equity securities could result in additional dilution to our stockholders. Certain equity securities, such as convertible preferred stock or warrants, may contain anti-dilution provisions which could result in the issuance of additional shares at lower prices if we sell other shares below specified prices. The incurrence of indebtedness would result in debt service obligations and could result in operating and financing covenants that would restrict our operations. We cannot assure investors that financing will be available in amounts or on terms acceptable to us, if at all.

 

The exercise of options or warrants or conversion of our Series B, Series C, Series D or Series E Preferred Stock may depress our stock price and may result in significant dilution to our common stockholders.

 

There are a significant number of outstanding options and warrants to purchase our common stock and we have issued Series B, Series C, Series D and Series E Convertible Preferred Stock that is convertible into our common stock. If the market price of our common stock exceeds the conversion prices of the preferred shares, holders of those securities may be likely to convert their preferred shares and sell the common stock acquired upon conversion of such securities in the open market. Sales of a substantial number of shares of our common stock in the public market by holders of preferred shares may depress the prevailing market price for our common stock and could impair our ability to raise capital through the future sale of our equity securities. Additionally, if the holders of outstanding preferred shares convert those preferred shares, our common stockholders will incur dilution in their relative percentage ownership. The prospect of this possible dilution may also impact the price of our common stock.

 

Our common stock is and likely will remain subject to the SEC’s “penny stock” rules, which make it more difficult to sell.

 

Our common stock is currently and may remain classified as a “penny stock.” The SEC rules regarding penny stocks may have the effect of reducing trading activity in our shares, making it more difficult for investors to sell. Under these rules, broker-dealers who recommend such securities to persons other than institutional accredited investors must:

make a special written suitability determination for the purchaser;

receive the purchaser’s written agreement to a transaction prior to sale;

provide the purchaser with risk disclosure documents which identify certain risks associated with investing in “penny stocks” and which describe the market for these “penny stocks” as well as a purchaser’s legal remedies;

obtain a signed and dated acknowledgment from the purchaser demonstrating that the purchaser has received the required risk disclosure document before a transaction in a “penny stock” can be completed; and

give bid and offer quotations and broker and salesperson compensation information to the customer orally or in writing before or with the confirmation.

 

19

 

 

These rules make it more difficult for broker-dealers to effectuate customer transactions and trading activity in our securities and may result in a lower trading volume of our common stock and lower trading prices.

 

Certain provisions of our certificate of incorporation which authorize the issuance of additional shares of preferred stock may make it more difficult for a third party to effect a change in control.

 

Our certificate of incorporation authorizes our Board of Directors to issue up to 10,000,000 shares of preferred stock. We have issued, and there are outstanding, 100 shares of Series B Convertible Preferred Stock, 2,570 shares of our Series C Convertible Preferred Stock, 700 shares of our Series D Convertible Preferred Stock, and 600 shares of our Series E Convertible Preferred Stock. We believe the terms of these preferred shares would not have a substantial impact on the ability of a third party to effect a change in control. The remaining shares of preferred stock may be issued in one or more series, the terms of which may be determine at the time of issuance by our Board of Directors without further action by the stockholders. These terms may include voting rights including the right to vote as a series on particular matters, preferences as to dividends and liquidation, conversion rights, redemption rights and sinking fund provisions. The issuance of any preferred stock could diminish the rights of holders of our common stock, and therefore could reduce the value of our common stock. In addition, specific rights granted to future holders of preferred stock could be used to restrict our ability to merge with, or sell assets to, a third party. The ability of our Board of Directors to issue preferred stock could make it more difficult, delay, discourage, prevent or make it costlier to acquire or effect a change-in-control, which in turn could prevent the stockholders from recognizing a gain in the event that a favorable offer is extended and could materially and negatively affect the market price of our common stock.

 

ITEM 1B.

UNRESOLVED STAFF COMMENTS

 

None

 

ITEM 2.

PROPERTIES

 

We lease approximately 8,400 square feet of office and laboratory space located at 1900 Lake Park Drive, Suite 380, Smyrna, Georgia under a lease agreement which expires on December 31, 2018. We believe this space is adequate for our current needs.

 

ITEM 3.

LEGAL PROCEEDINGS

 

We are not currently a party to any material legal proceedings. We may from time to time become involved in various legal proceedings arising in the ordinary course of business.

 

ITEM 4.

MINE SAFETY DISCLOSURES

 

Not applicable.

  

20

 

 

PART II

 

ITEM 5.

MARKET FOR REGISTRANT’S COMMON EQUITY, RELATED STOCKHOLDER MATTERS AND ISSUER PURCHASES OF EQUITY SECURITIES

 

Market Information

 

Our common stock is currently traded on the OTCQB Market under the symbol “GOVX”. The following table sets forth the high and low bid prices for our common stock for the periods indicated. The prices represent quotations between dealers and do not include retail mark-up, markdown, or commission, and do not necessarily represent actual transactions. On March 20, 2018, the last reported sale price for our common stock as reported in the OTCQB Market was $0.04 per share.

 

   

High

   

Low

 

2018

               

First Quarter (through March 20, 2018)

  $ 0.06     $ 0.04  

2017

               

Fourth Quarter

  $ 0.10     $ 0.03  

Third Quarter

  $ 0.04     $ 0.03  

Second Quarter

  $ 0.07     $ 0.03  

First Quarter

  $ 0.07     $ 0.04  

2016

               

Fourth Quarter

  $ 0.08     $ 0.05  

Third Quarter

  $ 0.11     $ 0.07  

Second Quarter

  $ 0.09     $ 0.06  

First Quarter

  $ 0.14     $ 0.05  

 

Holders

 

On March 20, 2018, there were approximately 540 holders of record of our common stock. Because many of our shares of common stock are held by brokers and other institutions on behalf of stockholders, we are unable to estimate the total number of stockholders represented by these record holders.

 

Dividends

 

We have not paid any dividends since our inception and do not contemplate paying dividends in the foreseeable future. The certificates of designation for our outstanding preferred stock would prohibit the payment of dividends on our common stock if there were any dividends due but unpaid on our preferred stock. Any future determination as to the declaration and payment of dividends, if any, will be at the discretion of our Board of Directors and will depend on then existing conditions, including our financial condition, operating results, contractual restrictions, capital requirements, business prospects and other factors our Board of Directors may deem relevant.

 

Recent Sales of Unregistered Securities

 

There were no sales of unregistered securities during the period covered by this report that have not previously been reported on Form 10-Q or Form 8-K.

 

Issuer Purchases of Equity Securities

 

We did not repurchase any of our equity securities during the fourth quarter of 2017.

 

21

 

 

Securities Authorized for Issuance Under Equity Compensation Plans

 

The following table sets forth certain information as of December 31, 2017 with respect to compensation plans under which our equity securities are authorized for issuance.

 

Plan Category

 

Number of securities to be

issued upon exercise of

outstanding options,

warrants and rights
(a)

   

Weighted-average exercise

price of outstanding options,

warrants and

rights
(b)

   

Number of securities

remaining available for

future issuance under

equity compensation plans

(excluding securities

reflected in column (a))

(c)

 

Equity compensation plans approved by stockholders

    3,720,000       $0.48       -0-  

Equity compensation plans not approved by stockholders

    3,304,275       $0.07       526,025  

 

A description of our equity compensation plans can be found in footnotes 2 and 9 to our 2017 consolidated financial statements.

 

 

ITEM 6.     SELECTED FINANCIAL DATA

 

The following selected financial data as of and for each of the five years ended December 31, 2017 are derived from our audited consolidated financial statements. The historical results presented below are not necessarily indicative of the results to be expected for any future period. The information set forth below should be read in conjunction with the information contained in “Management’s Discussion and Analysis of Financial Condition and Results of Operations”, and our consolidated financial statements and the related notes, beginning on page F-1.

 

   

Years Ended December 31,

 
   

2017

   

2016

   

2015

   

2014

   

2013

 

Statement of Operations Data:

                                       

Total revenues

  $ 1,075,270     $ 828,918     $ 428,081     $ 882,956     $ 2,417,550  

Net loss

    (2,170,162 )     (3,271,701 )     (2,689,287 )     (2,733,555 )     (2,284,943 )

Basic and diluted net loss per common share

    (0.03 )     (0.08 )     (0.08 )     (0.10 )     (0.11 )

 

   

As of December 31,

 
   

2017

   

2016

   

2015

   

2014

   

2013

 

Balance Sheet Data:

                                       

Total assets

    490,235       610,217       1,331,593       1,333,198       2,839,576  

Total stockholders’ equity (deficiency)

    (321,057 )     240,370       1,204,603       1,146,175       2,527,227  

 

 

ITEM 7.     MANAGEMENT’S DISCUSSION AND ANALYSIS OF FINANCIAL CONDITION AND RESULTS OF OPERATIONS

 

The following discussion and analysis of our financial condition and results of operations should be read together with “Selected Financial Data” and our consolidated financial statements and the related notes beginning on page F-1. This discussion contains forward-looking statements that involve risks and uncertainties because they are based on current expectations and relate to future events and our future financial performance. Our actual results may differ materially from those anticipated in these forward-looking statements because of many important factors, including those set forth under “Risk Factors” and elsewhere in this Annual Report.

 

Overview

 

GeoVax is a clinical-stage biotechnology company developing human vaccines against infectious diseases and cancer using a novel patented Modified Vaccinia Ankara-Virus Like Particle (MVA-VLP) vaccine platform. In this platform, MVA, a large virus capable of carrying several vaccine antigens, expresses proteins that assemble into highly effective VLP immunogens in the person being vaccinated. The MVA-VLP derived vaccines elicit durable immune responses in the host similar to a live-attenuated virus, while providing the safety characteristics of a replication-defective vector.

 

22

 

 

Our current development programs are focused on preventive vaccines against Human Immunodeficiency Virus (HIV), Zika Virus, hemorrhagic fever viruses (Ebola, Sudan, Marburg, and Lassa), and malaria, as well as therapeutic vaccines for chronic Hepatitis B infections and cancers. Our most advanced vaccine program is focused on the clade B subtype of HIV prevalent in the larger commercial markets of the Americas, Western Europe, Japan and Australia; this program is currently undergoing human clinical trials.

 

Our corporate strategy is to advance and protect our vaccine platform and use its unique capabilities to design and develop an array of products. We aim to advance products through to human clinical testing, and to seek partnership or licensing arrangements for commercialization. We will also leverage third party resources through collaborations and partnerships for preclinical and clinical testing. Our collaborators and partners include the National Institute of Allergy and Infectious Diseases (NIAID) of the National Institutes of Health (NIH), the HIV Vaccines Trial Network (HVTN), Centers for Disease Control and Prevention (CDC), United States Army Research Institute of Infectious Disease (USAMRIID), U.S. Naval Research Laboratory (USNRL), Emory University, University of Pittsburgh, Georgia State University Research Foundation, Peking University, University of Texas Medical Branch (UTMB), the Institute of Human Virology (IHV) at the University of Maryland, the Scripps Research Institute (TSRI), Burnet Institute in Australia, American Gene Technologies, Inc. (AGT), ViaMune, Inc., Vaxeal Holding SA, and CaroGen Corporation.

 

We have not generated any revenues from the sale of any such products, and we do not expect to generate any such revenues for at least the next several years. Our product candidates will require significant additional research and development efforts, including extensive preclinical and clinical testing. All product candidates that we advance to clinical testing will require regulatory approval prior to commercial use and will require significant costs for commercialization. We may not be successful in our research and development efforts, and we may never generate sufficient product revenue to be profitable.

 

Critical Accounting Policies and Estimates

 

This discussion and analysis of our financial condition and results of operations is based on our consolidated financial statements, which have been prepared in accordance with accounting principles generally accepted in the United States. The preparation of these financial statements requires management to make estimates and judgments that affect the reported amounts of assets, liabilities, revenues and expenses and related disclosure of contingent assets and liabilities. On an ongoing basis, management evaluates its estimates and adjusts the estimates as necessary. We base our estimates on historical experience and on various other assumptions that are believed to be reasonable under the circumstances, the results of which form the basis for making judgments about the carrying values of assets and liabilities that are not readily apparent from other sources. Actual results may differ materially from these estimates under different assumptions or conditions.

 

Our significant accounting policies are summarized in Note 2 to our consolidated financial statements for the year ended December 31, 2017. We believe the following critical accounting policies affect our more significant judgments and estimates used in the preparation of our consolidated financial statements:

 

Revenue Recognition

 

During the years ended December 31, 2017, 2016 and 2015, we recognized revenue in accordance with U.S. Securities and Exchange Commission (SEC) Staff Accounting Bulletin No. 101, Revenue Recognition in Financial Statements, as amended by Staff Accounting Bulletin No. 104, Revenue Recognition, (SAB 104). SAB 104 provides guidance in applying GAAP to revenue recognition issues, and specifically addresses revenue recognition for upfront, nonrefundable fees received in connection with research collaboration agreements. During 2017, 2016 and 2015, our revenue consisted primarily of grant and contract funding received from the NIH. Revenue from these arrangements is approximately equal to the costs incurred and is recorded as income as the related costs are incurred.

 

In May 2014, the FASB issued Accounting Standards Update 2014-09, Revenue from Contracts with Customers (ASU 2014-09), which creates a new Topic, Accounting Standards Codification Topic 606. The standard is principle-based and provides a five-step model to determine when and how revenue is recognized. The core principle is that an entity should recognize revenue when it transfers promised goods or services to customers in an amount that reflects the consideration to which the entity expects to be entitled in exchange for those goods or services. ASU 2014-09 is effective for the Company beginning January 1, 2018. We do not believe the adoption of ASU 2014-09 will have a material impact on our financial statements.

 

23

 

 

Stock-Based Compensation

 

We account for stock-based transactions in which the Company receives services from employees, directors or others in exchange for equity instruments based on the fair value of the award at the grant date. Compensation cost for awards of common stock is estimated based on the price of the underlying common stock on the date of issuance. Compensation cost for stock options or warrants is estimated at the grant date based on each instrument’s fair value as calculated by the Black-Scholes option pricing model. We recognize stock-based compensation cost as expense ratably on a straight-line basis over the requisite service period for the award.

 

In March 2016, the FASB issued Accounting Standards Update 2016-09, Improvements to Employee Share-Based Payment Accounting (“ASU 2016-09”), which amends Accounting Standards Codification Topic 718, Compensation – Stock Compensation. ASU 2016-09 is an attempt to simplify several aspects of the accounting for stock-based payment transactions, including the income tax consequences, classification of awards as either equity or liabilities, and classification on the statement of cash flows. We adopted ASU 2016-09 effective January 1, 2017; such adoption had no material impact on our financial statements.

 

In May 2017, the FASB issued Accounting Standards Update 2017-09, Scope of Modification Accounting (“ASU 2017-09”), which amends Accounting Standards Codification Topic 718, Compensation – Stock Compensation. ASU 2017-09 is an attempt to provide clarity and reduce both (1) diversity in practice and (2) cost and complexity when applying the guidance in Topic 718 Compensation – Stock Compensation, to a change to the terms or conditions of a share-based payment award. ASU 2017-09 is effective for the Company beginning January 1, 2018. We do not believe the adoption of ASU 2017-09 will have a material impact on our financial statements.

 

Liquidity and Capital Resources

 

Our principal uses of cash are to finance our research and development activities. Since inception, we have funded these activities primarily from government grants and clinical trial assistance, and from sales of our equity securities. At December 31, 2017, we had cash and cash equivalents of $312,727 and total assets of $490,235, as compared to $454,030 and $610,217, respectively, at December 31, 2016. At December 31, 2017, we had a working capital deficit of $363,218, compared to positive working capital of $174,532 at December 31, 2016. Our current liabilities at December 31, 2017 and 2016 include $715,235 and $279,240, respectively, of accrued management salaries and director fees, payment of which will continue to be deferred as discussed further below.

 

Net cash used in operating activities was $1,688,464, $1,946,119, and $2,705,263 for the years ended December 31, 2017, 2016 and 2015, respectively. Generally, the variances between periods are due to fluctuations in our net losses, offset by non-cash charges such as depreciation and stock-based compensation expense, and by net changes in our assets and liabilities. Our net losses generally fluctuate based on expenditures for our research activities, partially offset by government grant revenues. As of December 31, 2017, there is $481,695 in remaining grant funds available for use during 2018. See the table with further details under “Results of Operations – Grant and Collaboration Revenues” below.

 

During 2016 and 2017 members of our executive management team and our board of directors agreed to defer portions of their salaries and fees in order to help conserve the Company’s cash resources. As of December 31, 2017 and 2016, the accumulated deferrals totaled $715,235 and $279,240, respectively. The ongoing deferrals of approximately $30,200 per month for the management salaries and approximately $28,000 per quarter for the board of director fees will continue until such time as a significant financing event (as determined by the board of directors) is consummated.

 

NIAID has funded the costs of conducting all of our human clinical trials (Phase 1 and Phase 2a) to date for our preventive HIV vaccines, with GeoVax incurring certain costs associated with manufacturing the clinical vaccine supplies and other study support. NIAID is also currently funding the cost of an ongoing Phase 1 trial (HVTN 114), which is investigating the effect of adding a “protein boost” component to our vaccine. Concurrently, a preclinical study in non-human primates (funded by a NIAID grant) is evaluating two additional proteins specifically chosen as boosting agents for GOVX-B11, and planning is underway for a Phase 1 trial to evaluate the safety and immunogenicity of these proteins in humans, which we expect to begin in the second half of 2018. Based on the results from these studies, we expect NIAID may then be ready to support a large phase 2b efficacy trial.

 

Net cash used in investing activities was $4,350, $ -0-, and $15,850 for the years ended December 31, 2017, 2016 and 2015, respectively. Our investing activities have consisted predominantly of capital expenditures.

 

Net cash provided by financing activities was $1,551,511, $1,339,801, and $2,679,810 for the years ended December 31, 2017, 2016 and 2015, respectively. During 2015, we sold 3,000 shares of Series C convertible preferred stock for net proceeds of $2,679,810; as part of this transaction, we also issued several series of stock purchase warrants. During 2016, warrants to purchase 21,884,420 shares of common stock were exercised for total net proceeds to the Company of $1,339,801. In May 2017, we sold shares of our Series D convertible preferred stock for net proceeds of $980,000. During 2017, warrants to purchase an aggregate of 31,639,577 shares of common stock were exercised for total net proceeds of $571,511.

 

24

 

 

On February 28, 2018, we entered into a Senior Note Purchase Agreement with Georgia Research Alliance, Inc. (GRA) pursuant to which we issued a five-year Senior Promissory Note (the “Note”) in exchange for $50,000. The Note bears an annual interest rate of 5%, payable monthly, with principal repayments beginning in the second year. In connection with the Note, we also issued to the GRA a five-year warrant to purchase 178,571 shares of our common stock at a purchase price of $0.042 per share.

 

On March 5, 2018, we sold shares of our Series E convertible preferred stock to certain institutional investors for an aggregate purchase price of $600,000. The preferred stock is convertible at any time into shares of our common stock at $0.08 per share (7,500,000 shares in the aggregate), subject to possible adjustment as provided in the certificate of designation.

 

As of December 31, 2017, we had an accumulated deficit of $37.9 million. We expect for the foreseeable future we will continue to operate at a loss. The amount of the accumulated deficit will continue to increase, as it will be expensive to continue our research and development efforts. We will continue to require substantial funds to continue our activities and cannot predict the outcome of our efforts. We believe that our existing cash resources, combined with funding from existing NIH grants and clinical trial support will be sufficient to fund our planned operations into the third quarter of 2018. We will require additional funds to continue our planned operations beyond that date. We are currently seeking sources of capital through additional government grant programs and clinical trial support, and we may also conduct additional offerings of our equity securities. However, additional funding may not be available on favorable terms or at all and if we fail to obtain additional capital when needed, we may be required to delay, scale back, or eliminate some or all of our research and development programs as well as reduce our general and administrative expenses.

 

Contractual Obligations

 

Contractual obligations represent future cash commitments and liabilities under agreements with third parties and exclude contingent liabilities for which we cannot reasonably predict future payment. Additionally, the expected timing of payment of the obligations presented below is estimated based on current information. Timing of payments and actual amounts paid may be different depending on the timing of receipt of goods or services or changes to agreed-upon terms or amounts for some obligations.

 

The following table represents our contractual obligations as of December 31, 2017, aggregated by type (in thousands):

 

   

Payments Due by Period

 

Contractual

Obligations

 

 

Total

   

Less than

1 Year

   

1-3

Years

   

4-5

Years

   

More than

5 years

 

Operating Lease Obligations (1)

  $ 156     $ 156     $ --     $ --     $ --  

Firm Purchase Commitments (2)

    79       79       --       --       --  

Emory University – License Agreement (3)

    --       --       --       --       --  

Total

  $ 235     $ 235     $ --     $ --     $ --  

 

 

(1)

Our operating lease obligations relate to the facility lease for our 8,430 square foot facility in Smyrna, Georgia, which houses our laboratory operations and our administrative offices. The current term of our lease expires on December 31, 2018.

 

(2)

Firm purchase commitments relate to contracts for research activities related to NIH grants.

 

(3)

Pursuant to the Emory License, we have committed to make potential future milestone and royalty payments which are contingent upon the occurrence of future events. Such events include development milestones, regulatory approvals and product sales. Because the achievement of these milestones is currently neither probable nor reasonably estimable, the contingent payments have not been included in the table above or recorded on our Consolidated Balance Sheets. The aggregate total of all potential milestone payments included in the Emory License (excluding royalties on net sales) is approximately $3.5 million.

 

As of December 31, 2017, except as disclosed in the table above, we had no other material firm purchase obligations or commitments for capital expenditures and no committed lines of credit or other committed funding or long-term debt. We have employment agreements with our executive officers, each of which may be terminated with no more than 90 days’ advance written notice.

 

25

 

 

Net Operating Loss Carryforwards

 

At December 31, 2017, we had consolidated net operating loss carryforwards for income tax purposes of $70.9 million, which will expire in 2019 through 2037 if not utilized. We also have research and development tax credits of approximately $949,000 available to reduce income taxes, if any, which will expire in 2022 through 2037 if not utilized. The amount of net operating loss carryforwards and research tax credits available to reduce income taxes in any year may be limited in certain circumstances.

 

Off-Balance Sheet Arrangements

 

We have no off-balance sheet arrangements that are likely or reasonably likely to have a material effect on our financial condition or results of operations, other than operating leases.

 

Results of Operations

 

We recorded net losses of $2,170,162, $3,271,701, and $2,689,287 for the years ended December 31, 2017, 2016 and 2015, respectively. Our operating results typically fluctuate due to the timing of activities and related costs associated with our research and development activities and our general and administrative costs, as described below.

 

Grant and Collaboration Revenues

 

We recorded grant and collaboration revenues of $1,075,270, $828,918, and $428,081 for the years ended December 31, 2017, 2016 and 2015, respectively. Our grant revenues relate to grants and contracts from NIAID in support of our vaccine development activities. We record revenue associated with these grants as the related costs and expenses are incurred. The difference in our grant revenues from period to period is dependent upon our expenditures for activities supported by the grants and fluctuates based on the timing of the expenditures. Additional detail concerning our grant revenues and the remaining funds available for use as of December 31, 2017 is presented in the table below.

   

 

 

Grant Revenue Recorded During

Year Ended December 31,

   

Remaining Funds Available at December 31,

 

Grant/Contract No.

 

2017

   

2016

   

2015

   

2017

 

Staged Vaccine Development Contract

  $ 142,240     $ 55,521     $ -     $ -  

SBIR Grant No. R43AI120887

    158,972       235,535       199,116       -  

SBIR Grant No. R44AI106422

    604,703       537,862       -       256,050  

SBIR Grant No. R43AI106422

    -       -       153,501       -  

SBIR Grant No. R43AI134200

    74,355       -       -       225,645  

IPCAVD Grant

    -       -       75,464       -  

Total

  $ 980,270     $ 828,918     $ 428,081     $ 481,695  

 

In March 2017, we entered into a collaboration with American Gene Technologies International, Inc. (AGT) whereby AGT intends to conduct a Phase 1 human clinical trial with our combined technologies, with the goal of developing a functional cure for HIV infection. The cost of the clinical trial will be borne by AGT. The primary objectives of the trial will be to assess the safety and efficacy of the therapy, with secondary objectives to assess the immune responses as a measure of efficacy. In exchange for use of our vaccine product in the clinical trial, AGT paid us a fee of $95,000 which we recorded as revenue during 2017. No commercial rights or licenses have yet been granted to AGT.

 

Research and Development Expenses

 

Our research and development expenses were $2,017,350, $1,970,859, and $1,693,102 for the years ended December 31, 2017, 2016 and 2015, respectively. Research and development expense for these periods includes stock-based compensation expense of $25,953, $23,614, and $22,083 for 2017, 2016 and 2015, respectively (see discussion under “Stock-Based Compensation Expense” below).

 

26

 

 

Our research and development expenses can fluctuate considerably on a period-to-period basis, depending on our need for vaccine manufacturing by third parties, the timing of expenditures related to our grants from NIAID, the timing of costs associated with any clinical trials being funding directly by us, and other factors. The overall increase in research and development expense from 2015 to 2017 is primarily attributable to increasing expenditures related to the activities supported by our grants from NIAID. Our research and development costs do not include costs incurred by the HVTN in conducting clinical trials of our preventive HIV vaccines; those costs are funded directly to the HVTN by NIAID.

 

We do not disclose our research and development expenses by project, since our employees’ time is spread across multiple programs and our laboratory facility is used for multiple vaccine candidates. We track the direct cost of research and development expenses related to government grant revenue by the percentage of assigned employees’ time spent on each grant and other direct costs associated with each grant. Indirect costs associated with grants are not tracked separately but are applied based on a contracted overhead rate negotiated with the NIH. Therefore, the recorded revenues associated with government grants approximates the costs incurred.

 

We do not provide forward-looking estimates of costs and time to complete our research programs due to the many uncertainties associated with vaccine development. Due to these uncertainties, our future expenditures are likely to be highly volatile in future periods depending on the outcomes of the trials and studies. As we obtain data from pre-clinical studies and clinical trials, we may elect to discontinue or delay vaccine development programs to focus our resources on more promising vaccine candidates. Completion of preclinical studies and human clinical trials may take several years or more, but the length of time can vary substantially depending upon several factors. The duration and the cost of future clinical trials may vary significantly over the life of the project because of differences arising during development of the human clinical trial protocols, including the number of patients that ultimately participate in the clinical trial; the duration of patient follow-up that seems appropriate in view of the results; the number of clinical sites included in the clinical trials; and the length of time required to enroll suitable patient subjects.

 

General and Administrative Expenses

 

Our general and administrative expenses were $1,232,368, $2,131,426, and $1,429,731 for the years ended December 31, 2017, 2016 and 2015, respectively. General and administrative costs include officers’ salaries, legal and accounting costs, patent costs, and other general corporate expenses. General and administrative expense includes stock-based compensation expense of $31,271, $944,053, and $45,822 for 2017, 2016 and 2015, respectively (see discussion under “Stock-Based Compensation Expense” below). Excluding stock-based compensation expense, general and administrative expenses were $1,201,097, $1,187,373, and $1,383,909 for 2017, 2016 and 2015, respectively. The decrease in general and administrative expense from 2015 to 2016 is primarily attributable to general reductions in general and administrative costs as part of overall cost containment measures which continued into 2017. We expect that our general and administrative costs may increase in the future in support of expanded research and development activities and other general corporate activities.

 

Stock-Based Compensation Expense

 

For the three years ended December 31, 2017, the components of stock-based compensation expense were as follows:

 

   

2017

   

2016

   

2015

 

Stock option expense

  $ 57,224     $ 54,805     $ 67,905  

Warrant modification expense

    -       912,862       -  

Total stock-based compensation expense

  $ 57,224     $ 967,667     $ 67,905  

 

In general, stock-based compensation expense is allocated to research and development expense or general and administrative expense according to the classification of cash compensation paid to the employee, consultant or director to whom the stock compensation was granted. For the three years ended December 31, 2017, stock-based compensation expense was allocated as follows:

 

   

2017

   

2016

   

2015

 

General and administrative expense

  $ 31,271     $ 944,053     $ 45,822  

Research and development expense

    25,953       23,614       22,083  

Total stock-based compensation expense

  $ 57,224     $ 967,667     $ 67,905  

 

27

 

 

Interest Income

 

Interest income was $4,286, $1,666, and $5,465 for the years ended December 31, 2017, 2016 and 2015, respectively. The variances between years are primarily attributable to the cash available for investment and to interest rate fluctuations.

 

Impact of Inflation

 

For the three-year period ended December 31, 2017, we do not believe that inflation and changing prices had a material impact on our operations or on our financial results.

 

 

ITEM 7A.

QUANTITATIVE AND QUALITATIVE DISCLOSURES ABOUT MARKET RISK

 

Our exposure to market risk is limited primarily to interest income sensitivity, which is affected by changes in the general level of United States interest rates, particularly because a significant portion of our investments are in institutional money market funds. The primary objective of our investment activities is to preserve principal while at the same time maximizing the income received without significantly increasing risk. Due to the nature of our short-term investments, we believe that we are not subject to any material market risk exposure. We do not have any derivative financial instruments or foreign currency instruments.

 

ITEM 8.

FINANCIAL STATEMENTS AND SUPPLEMENTARY DATA

 

Our consolidated financial statements and supplemental schedule and notes thereto as of December 31, 2017 and 2016 and for each of the three years ended December 31, 2017, 2016 and 2015 together with the independent registered public accounting firm’s report thereon, are set forth on pages F-1 to F-16 of this Annual Report on Form 10-K.

 

ITEM 9.

Changes in and Disagreements with Accountants on Accounting AND Financial Disclosure

 

There were no disagreements with our accountants on matters of accounting or financial disclosure, or other reportable events requiring disclosure under this Item 9.

 

ITEM 9A.

Controls and Procedures

 

Evaluation of Disclosure Controls and Procedures

 

We maintain disclosure controls and procedures designed to ensure that financial information required to be disclosed in our reports filed under the Securities Exchange Act of 1934, as amended (the Exchange Act), is recorded, processed, summarized, and reported within the required time periods, and that such information is accumulated and communicated to our management, including our Chief Executive Officer and Chief Financial Officer, as appropriate, to allow for timely decisions regarding disclosure.

 

An evaluation was performed by our Chief Executive Officer and Chief Financial Officer of the effectiveness of the design and operation of our disclosure controls and procedures as of December 31, 2017. Based on that evaluation, our Chief Executive Officer and Chief Financial Officer have concluded that our disclosure controls and procedures were effective as of December 31, 2017 to provide reasonable assurance that information required to be disclosed by us in reports that we file or submit under the Exchange Act is recorded, processed, summarized and reported within the time periods specified in the SEC rules and forms.

 

Management’s Report on Internal Control Over Financial Reporting

 

Management is responsible for establishing and maintaining adequate internal control over financial reporting, as defined in Rule 13a-15(f) of the Exchange Act. Management has assessed the effectiveness of our internal control over financial reporting as of December 31, 2017 based on criteria established in Internal Control - Integrated Framework (2013), issued by the Committee of Sponsoring Organizations of the Treadway Commission (COSO). As a result of this assessment, management concluded that, as of December 31, 2017, our internal control over financial reporting was effective in providing reasonable assurance regarding the reliability of financial reporting and the preparation of financial statements for external purposes in accordance with generally accepted accounting principles.

 

28

 

 

Changes in Internal Control Over Financial Reporting

 

There were no changes in our internal control over financial reporting that occurred during our most recent fiscal quarter that have materially affected, or are reasonably likely to materially affect, our internal control over financial reporting.

 

Limitations on Controls

 

Management does not expect that our disclosure controls and procedures or our internal control over financial reporting will prevent or detect all error and fraud. Any control system, no matter how well designed and operated, is based upon certain assumptions and can provide only reasonable, not absolute, assurance that its objectives will be met. Further, no evaluation of controls can provide absolute assurance that misstatements due to error or fraud will not occur or that all control issues and instances of fraud, if any, within the Company have been detected.

 

ITEM 9B.

Other Information

 

None.

 

PART III

 

ITEM 10.

Directors, Executive Officers and Corporate Governance

 

Information required by this Item is included in our definitive proxy statement for our 2018 meeting of shareholders to be filed with the SEC under the captions “Directors and Executive Officers” and “Corporate Governance” and is incorporated herein by this reference.

 

Code of Ethics

 

We have adopted a Code of Ethics in compliance with the applicable rules of the SEC that applies to our principal executive officer, our principal financial officer and our principal accounting officer, or persons performing similar functions. A copy of this policy is available on our website at www.geovax.com under the heading “Investors – Corporate Governance” and is also available free of charge upon written request to the attention of our Corporate Secretary by regular mail, e-mail to mreynolds@geovax.com, or facsimile at (678) 384-7281. We intend to disclose any amendment to, or a waiver from, a provision of our code of ethics that applies to our principal executive officer, principal financial officer, principal accounting officer or controller, or persons performing similar functions and that relates to any element of the code of ethics enumerated in applicable rules of the SEC. Such disclosures will be made on our website at www.geovax.com.

 

ITEM 11.

Executive Compensation

 

The information required by this Item is included in our definitive proxy statement for our 2018 meeting of shareholders to be filed with the SEC under the captions “Corporate Governance” and “Compensation Discussion and Analysis” and is incorporated herein by this reference.

 

ITEM 12.

Security Ownership of Certain Beneficial Owners and Managementand Related Stockholder Matters

 

The information required by this Item is included in our definitive proxy statement for our 2018 meeting of shareholders to be filed with the SEC under the captions “Security Ownership of Principal Stockholders, Directors and Executive Officers” and “Securities Authorized for Issuance under Equity Compensation Plans” and is incorporated herein by this reference.

 

ITEM 13.

Certain Relationships and Related Party Transactions, and Director Independence

 

The information required by this Item is included in our definitive proxy statement for our 2018 meeting of shareholders to be filed with the SEC under the captions “Corporate Governance” and “Certain Relationships and Related Party Transactions” and is incorporated herein by this reference.

 

29

 

 

Item 14.     Principal AccountING Fees and Services

 

The information required by this Item is included in our definitive proxy statement for our 2018 meeting of stockholders to be filed with the SEC under the caption “Ratification of Appointment of the Independent Registered Public Accounting Firm” and is incorporated herein by this reference.

 

 

PART IV

 

Item 15.     Exhibits and Financial Statement Schedules

 

(a) Documents filed as part of this report:

 

(1) Financial Statements Page
  Report of Independent Registered Public Accounting Firm F-2
 

Consolidated Balance Sheets as of December 31, 2017 and 2016  

F-3
  Consolidated Statements of Operations for the years ended December 31, 2017, 2016 and 2015   F-4
  Consolidated Statements of Stockholders’ Equity for the years ended December 31, 2017, 2016 and 2015 F-5
  Consolidated Statements of Cash Flows for the years ended December 31, 2017, 2016 and 2015   F-6
  Notes to Consolidated Financial Statements F-7

 

(2)

Financial Statement Schedules

  The following financial statement schedule is set forth on page F-16 of this Annual Report on Form 10-K:
  Schedule II—Valuation and Qualifying Accounts for the years ended December 31, 2017, 2016 and 2015

 

 

  All other financial statement schedules have been omitted because they are not applicable or not required or because the information is included elsewhere in the Consolidated Financial Statements or the Notes thereto.

 

(3)

Exhibits Required by Item 601 of Regulation S-K

  The exhibits filed with this report are set forth on the exhibit index following the signature page and are incorporated by reference in their entirety into this item.

 

ITEM 16.     FORM 10-K SUMMARY

 

None.

 

[Signatures on Following Page]

 

30

 

 

Signatures

 

Pursuant to the requirements of Section 13 or 15(d) of the Securities Exchange Act of 1934, the registrant has duly caused this report to be signed on its behalf by the undersigned, thereunto duly authorized.

 

 

GEOVAX LABS, INC.

 

BY: /s/ Robert T. McNally          

Robert T. McNally

President and Chief Executive Officer

(Principal Executive Officer)

 

Date: March 23, 2018

 

 

Pursuant to the requirements of the Securities Exchange Act of 1934, this report has been duly signed below by the following persons on behalf of the Registrant and in the capacities and on the dates indicated.

 

Signature / Name   Title   Date
         
/s/ Robert T. McNally        Director   March 23, 2018
Robert T. McNally   President and Chief Executive Officer    
    (Principal Executive Officer)    
         
         
/s/ Mark W. Reynolds        Chief Financial Officer     March 23, 2018
Mark W. Reynolds   (Principal Financial and Accounting Officer)    
         
         
/s/ Randal D. Chase   Director   March 23, 2018
Randal D. Chase        
         
         
/s/ David A. Dodd   Director   March 23, 2018
David A. Dodd        
         
         
/s/ Dean G. Kollintzas   Director   March 23, 2018
Dean G. Kollintzas        
         
         
/s/ Robert T. McNally   Director   March 23, 2018
Robert T. McNally        
         
         
/s/ Harriet L. Robinson   Director   March 23, 2018
Harriet L. Robinson        
         
         
/s/ John N. Spencer, Jr.   Director   March 23, 2018
John N. Spencer, Jr.        

 

31

 

 

EXHIBIT INDEX

 

Exhibit

Number 

Description

3.1

Certificate of Incorporation (4)

3.1.1

Certificate of Amendment to the Certificate of Incorporation of GeoVax Labs, Inc. filed April 13, 2010 (8)

3.1.2

Certificate of Amendment to the Certificate of Incorporation of GeoVax Labs, Inc. filed April 27, 2010 (9)

3.1.3

Certificate of Amendment to the Certificate of Incorporation of GeoVax Labs, Inc. filed August 2, 2013 (10)

3.1.4

Certificate of Amendment to the Certificate of Incorporation of GeoVax Labs, Inc. filed May 13, 2015 (15)

3.1.5

Certificate of Amendment to the Certificate of Incorporation of GeoVax Labs, Inc. filed June 14, 2016 (17)

3.1.6

Certificate of Amendment to the Certificate of Incorporation of GeoVax Labs, Inc. filed August 4, 2017 (22)

3.2

Bylaws (4)

4.1.1

Certificate of Designation of Preferences, Rights and Limitations of Series B Convertible Preferred Stock filed December 13, 2013 (12)

4.1.2

Form of Stock Certificate for the Series B Convertible Preferred Stock (12)

4.2.1

Certificate of Designation of Preferences, Rights and Limitations of Series C Convertible Preferred Stock filed February 27, 2015 (13)

4.2.2

Form of Stock Certificate for the Series C Convertible Preferred Stock (13)

4.3.1

Certificate of Designation of Preferences, Rights and Limitations of Series D Convertible Preferred Stock filed May 9, 2017 (21)

4.3.2

Form of Stock Certificate for the Series D Convertible Preferred Stock (21)

4.4.1

Certificate of Designation of Preferences, Rights and Limitations of Series E Convertible Preferred Stock filed May 9, 2017 (23)

4.4.2

Form of Stock Certificate for the Series E Convertible Preferred Stock (23)

10.1 **

Employment Agreement between GeoVax Labs, Inc. and Robert T. McNally effective as of April 1, 2008 (5)

10.1.1 **

Amendment No. 1 to Employment Agreement between GeoVax Labs, Inc. and Robert T. McNally dated October 22, 2013 (11)

10.1.2 *,**

Salary Deferral Agreement between GeoVax, Inc. and Robert T. McNally

10.1.3 *,**

Amendment to Salary Deferral Agreement between GeoVax, Inc. and Robert T. McNally

10.2 **

Employment Agreement between GeoVax, Inc. and Mark W. Reynolds Amended and Restated effective as of January 1, 2010 (7)

10.2.1 **

Amendment No. 1 to Employment Agreement between GeoVax Labs, Inc. and Mark W. Reynolds dated October 22, 2013 (11)

10.2.2 *,**

Salary Deferral Agreement between GeoVax, Inc. and Mark W. Reynolds

10.2.3 *,**

Amendment to Salary Deferral Agreement between GeoVax, Inc. and Mark W. Reynolds

10.3 **

Employment Agreement between GeoVax, Inc. and Harriet Robinson effective as of November 19, 2007 (7)

10.3.1 **

Amendment No. 1 to Employment Agreement between GeoVax Labs, Inc. and Harriet Robinson dated October 22, 2013 (11)

10.3.2 *,**

Salary Deferral Agreement between GeoVax, Inc. and Harriet Robinson

10.3.3 *,**

Amendment to Salary Deferral Agreement between GeoVax, Inc. and Harriet Robinson

10.4 **

Employment Agreement between GeoVax, Inc. and Farshad Guirakhoo dated October 19, 2015 (16)

10.4.1 **

Amendment No. 1 to Employment Agreement between GeoVax Labs, Inc. and Farshad Guirakhoo dated December 15, 2015 (18)

10.4.2 *,**

Salary Deferral Agreement between GeoVax, Inc. and Farshad Guirakhoo

10.5 **

GeoVax Labs, Inc. 2006 Equity Incentive Plan (2)

10.5.1 **

GeoVax Labs, Inc. 2016 Stock Incentive Plan (19)

10.5.2 **

Form of Employee Stock Option Agreement (20)

10.5.3 **

Form of Non-Qualified Stock Option Agreement (20)

10.6

License Agreement (as amended and restated) between GeoVax, Inc. and Emory University, dated August 23, 2002 (1)

10.7

Office and Laboratory Lease between UCB, Inc. and GeoVax, Inc. (6)

10.7.1

Amendment to Lease Agreement between UCB, Inc. and GeoVax, Inc. (14)

10.7.2 *

Second Amendment to Lease Agreement between UCB, Inc. and GeoVax, Inc.

10.8

Summary of the GeoVax Labs, Inc. Director Compensation Plan (7)

10.9

Form of Securities Purchase Agreement dated December 11, 2013 (12)

10.10

Form of Registration Rights Agreement dated December 11, 2013 (12)

10.11

Form of Securities Purchase Agreement dated February 25, 2015 (13)

10.12

Form of Registration Rights Agreement dated February 25, 2015 (13)

10.13

Form of Securities Purchase Agreement dated May 8, 2017 (21)

 

32

 

 

10.14

Form of Registration Rights Agreement dated May 8, 2017 (21)

10.15

Form of Securities Purchase Agreement dated March 5, 2018 (23)

10.16 *

Senior Note Purchase Agreement between Georgia Research Alliance, Inc. and GeoVax Labs, Inc., dated February 28, 2018

10.17 *

Common Stock Purchase Warrant dated February 28, 2018

10.18 *

Agreement with Maxim Group LLC dated February 14, 2018

14.1

Code of Ethics (3)

21.1

Subsidiaries of the Registrant (3)

31.1 *

Certification pursuant to Rule 13a-14(a) or 15d-14(a) of the Securities Exchange Act of 1934

31.2 *

Certification pursuant to Rule 13a-14(a) or 15d-14(a) of the Securities Exchange Act of 1934

32.1 *

Certification pursuant to 18 U.S.C. Section 1350, as adopted by Section 906 of the Sarbanes-Oxley Act of 2002

32.2 *

Certification pursuant to 18 U.S.C. Section 1350, as adopted by Section 906 of the Sarbanes-Oxley Act of 2002

101 *,***

The following financial information from GeoVax Labs, Inc. Annual Report on Form 10-K for the year ended December 31, 2017, formatted in Extensible Business Reporting Langue (XBRL): (i) Consolidated Balance Sheets as of December 31, 2017 and December 31, 2016, (ii) Consolidated Statements of Operations for the years ended December 31, 2017, 2016 and 2015, (iii) Consolidated Statements of Stockholders' Equity for the years ended December 31, 2017, 2016 and 2015, (iv) Consolidated Statements of Cash Flows for the years ended December 31, 2017, 2016 and 2015, and (v) Notes to Condensed Consolidated Financial Statements.

___________________

* Filed herewith.
** Indicates a management contract or compensatory plan or arrangement.

***

Pursuant to Rule 406T of Regulation S-T, the Interactive Data Files in Exhibit 101 hereto are deemed not filed or part of a registration statement or prospectus for purposes of Section 11 or 12 of the Securities Act of 1933, as amended, are deemed not filed for purposes of Section 18 of the Securities and Exchange Act of 1934, as amended and otherwise are not subject to liability under those sections.

 

(1)

Incorporated by reference from the registrant’s Current Report on Form 8-K filed October 4, 2006.

(2)

Incorporated by reference from the registrant’s definitive Information Statement (Schedule 14C) filed August 18, 2006.

(3)

Incorporated by reference from the registrant’s Annual Report on Form 10-K filed March 28, 2007.

(4)

Incorporated by reference from the registrant’s Current Report on Form 8-K filed June 23, 2008.

(5)

Incorporated by reference from the registrant’s Current Report on Form 8-K filed March 24, 2008.

(6)

Incorporated by reference from the registrant’s Quarterly Report on Form 10-Q filed November 6, 2009.

(7)

Incorporated by reference from the registrant’s Annual Report on Form 10-K filed March 8, 2010.

(8)

Incorporated by reference from the registrant’s Current Report on Form 8-K filed April 14, 2010.

(9)

Incorporated by reference from the registrant’s Current Report on Form 8-K filed April 28, 2010.

(10)

Incorporated by reference from the registrant’s Current Report on Form 8-K filed August 2, 2013.

(11)

Incorporated by reference from the registrant’s Current Report on Form 8-K filed October 23, 2013.

(12)

Incorporated by reference from the registrant’s Current Report on Form 8-K filed December 17, 2013.

(13)

Incorporated by reference from the registrant’s Current Report on Form 8-K filed March 2, 2015.

(14)

Incorporated by reference from the registrant’s Annual Report on Form 10-K filed March 20, 2015.

(15)

Incorporated by reference from the registrant’s Current Report on Form 8-K filed May 14, 2015.

(16)

Incorporated by reference from the registrant’s Quarterly Report on Form 10-Q filed November 12, 2015.

(17)

Incorporated by reference from the registrant’s Current Report on Form 8-K filed June 16, 2016.

(18)

Incorporated by reference from the registrant’s Annual Report on Form 10-K filed March 16, 2016.

(19)

Incorporated by reference from the registrant’s definitive Proxy Statement filed April 29, 2016.

(20)

Incorporated by reference from the registrant’s Quarterly Report on Form 10-Q filed August 5, 2016.

(21)

Incorporated by reference from the registrant’s Current Report on Form 8-K filed May 9, 2017.

(22)

Incorporated by reference from the registrant’s Current Report on Form 8-K filed August 4, 2017.

(23)

Incorporated by reference from the registrant’s Current Report on Form 8-K filed March 6, 2018.

 

33

 

 

GEOVAX LABS, INC.

INDEX TO 2017 CONSOLIDATED FINANCIAL STATEMENTS

 

 

 

 

Report of Independent Registered Public Accounting Firm

F-2

 

 

Consolidated Balance Sheets as of December 31, 2017 and 2016

F-3

 

 

Consolidated Statements of Operations for the years ended December 31, 2017, 2016 and 2015

F-4

 

 

Consolidated Statements of Stockholders’ Equity for the years ended December 31, 2017, 2016 and 2015

F-5

 

 

Consolidated Statements of Cash Flows for the years ended December 31, 2017, 2016 and 2015

F-6

 

 

Notes to Consolidated Financial Statements

F-7

 

 

Financial Statement Schedule:

 

Schedule II – Valuation and Qualifying Accounts for the years ended

 

December 31, 2017, 2016 and 2015

F-16

 

F-1

 

 

 

REPORT OF INDEPENDENT REGISTERED PUBLIC ACCOUNTING FIRM

 

To the Stockholders and the Board of Directors of GeoVax Labs, Inc.

 

Opinion on the Consolidated Financial Statements

We have audited the accompanying consolidated balance sheets of GeoVax Labs, Inc. and subsidiary (the “Company”) as of December 31, 2017 and 2016, the related consolidated statements of operations, stockholders’ equity and cash flows for each of the three years in the period ended December 31, 2017, and the related notes to the consolidated financial statements and schedule (collectively, the consolidated financial statements). In our opinion, the consolidated financial statements present fairly, in all material respects, the financial position of the Company as of December 31, 2017 and 2016, and the results of their operations and their cash flows for each of the years in the three-year period ended December 31, 2017, in conformity with accounting principles generally accepted in the United States of America.

 

The accompanying consolidated financial statements have been prepared assuming that the Company will continue as a going concern. As discussed in Note 2 to the consolidated financial statements, the Company has suffered recurring losses from operations and its total liabilities exceed its total assets. This raises substantial doubt about the Company’s ability to continue as a going concern. Management’s plans in regard to these matters also are described in Note 2 to the consolidated financial statements. The consolidated financial statements do not include any adjustments that might result from the outcome of this uncertainty.

 

Basis for Opinion

These consolidated financial statements are the responsibility of the Company’s management. Our responsibility is to express an opinion on the Company’s consolidated financial statements based on our audits. We are a public accounting firm registered with the Public Company Accounting Oversight Board (United States) (PCAOB) and are required to be independent with respect to the Company in accordance with U.S. federal securities laws and the applicable rules and regulations of the Securities and Exchange Commission and the PCAOB.

 

We conducted our audits in accordance with the standards of the PCAOB. Those standards require that we plan and perform the audit to obtain reasonable assurance about whether the consolidated financial statements are free of material misstatement, whether due to error or fraud. The Company is not required to have, nor were we engaged to perform, an audit of its internal control over financial reporting. As part of our audits we are required to obtain an understanding of internal control over financial reporting but not for the purpose of expressing an opinion on the effectiveness on the Company’s internal control over financial reporting. Accordingly, we express no such opinion.

 

Our audits included performing procedures to assess the risks of material misstatement of the consolidated financial statements, whether due to error or fraud, and performing procedures that respond to those risks. Such procedures included examining, on a test basis, evidence regarding the amounts and disclosures in the consolidated financial statements. Our audits also included evaluating the accounting principles used and significant estimates made by management, as well as evaluating the overall presentation of the consolidated financial statements. We believe that our audits provide a reasonable basis for our opinion.

We have served as the Company’s auditor since 2005.

 

Atlanta, Georgia

March 23, 2018

 

 

235 Peachtree Street NE | Suite 1800 | Atlanta, Georgia 30303 | Phone 404.588.4200 | Fax 404.588.4222

A member of Allinial Global

 

F-2

 

 

 

GEOVAX LABS, INC.

CONSOLIDATED BALANCE SHEETS

 

   

December 31,

 
   

2017

   

2016

 

ASSETS

               

Current assets:

               

Cash and cash equivalents

  $ 312,727     $ 454,030  

Grant funds receivable

    59,758       28,074  

Prepaid expenses and other current assets

    75,589       62,275  
                 

Total current assets

    448,074       544,379  
                 

Property and equipment, net

    31,151       54,828  
                 

Deposits

    11,010       11,010  
                 

Total assets

  $ 490,235     $ 610,217  
                 
                 

LIABILITIES AND STOCKHOLDERS’ EQUITY

               

Current liabilities:

               

Accounts payable

  $ 77,581     $ 75,607  

Accrued expenses (Note 4)

    733,711       294,240  
                 

Total current liabilities

    811,292       369,847  
                 

Commitments (Note 6)

               
                 

Stockholders’ equity (deficiency):

               

Preferred stock, $.01 par value:

               

Authorized shares – 10,000,000

               

Series B convertible preferred stock, $1,000 stated value; 100 shares issued and outstanding at December 31, 2017 and 2016, respectively

    76,095       76,095  

Series C convertible preferred stock, $1,000 stated value; 2,570 and 2,868 shares issued and outstanding at December 31, 2017 and 2016, respectively

    842,990       940,705  

Series D convertible preferred stock, $1,000 stated value; 1,000 and -0- shares issued and outstanding at December 31, 2017 and 2016, respectively

    980,000       -  

Common stock, $.001 par value:

               
Authorized shares – 600,000,000 and 300,000,000 at December 31, 2017 and 2016, respectively                

Issued and outstanding shares – 106,736,810 and 55,235,233 at December 31, 2017 and 2016, respectively

    106,737       55,235  

Additional paid-in capital

    35,589,911       34,914,963  

Accumulated deficit

    (37,916,790 )     (35,746,628 )
                 

Total stockholders’ equity (deficiency)

    (321,057 )     240,370  
                 

Total liabilities and stockholders’ equity

  $ 490,235     $ 610,217  

 

See accompanying notes to consolidated financial statements.

 

F-3

 
 

 

GEOVAX LABS. INC.

CONSOLIDATED STATEMENTS OF OPERATIONS

 

   

Years Ended December 31,

 
   

2017

   

2016

   

2015

 

Grant and collaboration revenue

  $ 1,075,270     $ 828,918     $ 428,081  
                         

Operating expenses:

                       

Research and development

    2,017,350       1,970,859       1,693,102  

General and administrative

    1,232,368       2,131,426       1,429,731  

Total operating expenses

    3,249,718       4,102,285       3,122,833  
                         

Loss from operations

    (2,174,448 )     (3,273,367 )     (2,694,752 )
                         

Other income:

                       

Interest income

    4,286       1,666       5,465  

Total other income

    4,286       1,666       5,465  
                         

Net loss

  $ (2,170,162 )   $ (3,271,701 )   $ (2,689,287 )
                         

Basic and diluted:

                       

Loss per common share

  $ (0.03 )   $ (0.08 )   $ (0.08 )

Weighted average shares outstanding

    68,605,817       41,516,514       31,950,813  

 

See accompanying notes to consolidated financial statements.

 

F-4

 
 

 

GEOVAX LABS, INC.

CONSOLIDATED STATEMENTS OF STOCKHOLDERS’ EQUITY

 

   

Series B Convertible

Preferred Stock

   

Series C Convertible

Preferred Stock

   

Series D Convertible

Preferred Stock

   

 

Common Stock

   

 

Additional

   

 

 

   

Total

 
   

Shares

   

Amount

   

Shares

   

Amount

   

Shares

   

Amount

   

Shares

   

Amount

   

Paid-in

Capital

   

Accumulated

Deficit

   

Stockholders

Equity

 

Balance at December 31, 2014

    100     $ 76,095       -     $ -       -     $ -       31,950,813     $ 31,951     $ 30,823,769     $ (29,785,640 )   $ 1,146,175  

Sale of convertible preferred stock for cash

    -       -       3,000       983,941       -       -       -       -       1,695,869       -       2,679,810  

Stock-based compensation expense

    -       -       -       -       -       -       -       -       67,905       -       67,905  

Net loss for the year ended December 31, 2015

    -       -       -       -       -       -       -       -       -       (2,689,287 )     (2,689,287 )

Balance at December 31, 2015

    100       76,095       3,000       983,941       -       -       31,950,813       31,951       32,587,543       (32,474,927 )     1,204,603  

Conversion of preferred stock to common stock

    -       -       (132 )     (43,236 )     -       -       1,400,000       1,400       41,836       -       -  

Sale of common stock for cash upon warrant exercise

    -       -       -       -       -       -       21,884,420       21,884       1,317,917       -       1,339,801  

Stock-based compensation expense

    -       -       -       -       -       -       -       -       967,667       -       967,667  

Net loss for the year ended December 31, 2016

    -       -       -       -       -       -       -       -       -       (3,271,701 )     (3,271,701 )

Balance at December 31, 2016

    100       76,095       2,868       940,705       -       -       55,235,233       55,235       34,914,963       (35,746,628 )     240,370  

Sale of convertible preferred stock for cash

    -       -       -       -       1,000       980,000       -       -       -       -       980,000  

Conversion of preferred stock to common stock

    -       -       (298 )     (97,715 )     -       -       19,862,000       19,862       77,853       -       -  

Sale of common stock for cash upon warrant exercise

    -       -       -       -       -       -       31,639,577       31,640       539,871       -       571,511  

Stock-based compensation expense

    -       -       -       -       -       -       -       -       57,224       -       57,224  

Net loss for the year ended December 31, 2017

    -       -       -       -       -       -       -       -       -       (2,170,162 )     (2,170,162 )

Balance at December 31, 2017

    100     $ 76,095       2,570     $ 842,990       1,000     $ 980,000       106,736,810     $ 106,737     $ 35,589,911     $ (37,916,790 )   $ (321,057 )

 

F-5

 
 

 

GEOVAX LABS. INC.

CONSOLIDATED STATEMENTS OF CASH FLOWS

 

   

Years Ended December 31,

 
   

2017

   

2016

   

2015

 

Cash flows from operating activities:

                       

Net loss

  $ (2,170,162 )   $ (3,271,701 )   $ (2,689,287 )

Adjustments to reconcile net loss to net cash used in operating activities:

                       

Depreciation and amortization

    28,027       28,780       28,935  

Stock-based compensation expense

    57,224       967,667       67,905  

Changes in assets and liabilities:

                       

Grant funds receivable

    (31,684 )     91,904       (40,637 )

Prepaid expenses and other current assets

    (13,314 )     (5,626 )     (12,146 )

Accounts payable and accrued expenses

    441,445       242,857       (60,033 )

Total adjustments

    481,698       1,325,582       (15,976 )

Net cash used in operating activities

    (1,688,464 )     (1,946,119 )     (2,705,263 )
                         

Cash flows from investing activities:

                       

Purchase of property and equipment

    (4,350 )     -       (15,850 )

Net cash used in investing activities

    (4,350 )     -       (15,850 )
                         

Cash flows from financing activities:

                       

Net proceeds from sale of preferred stock

    980,000       -       2,679,810  

Net proceeds from sale of common stock

    571,511       1,339,801       -  

Net cash provided in financing activities

    1,551,511       1,339,801       2,679,810  
                         

Net decrease in cash and cash equivalents

    (141,303 )     (606,318 )     (41,303 )

Cash and cash equivalents at beginning of period

    454,030       1,060,348       1,101,651  
                         

Cash and cash equivalents at end of period

  $ 312,727     $ 454,030     $ 1,060,348  

 

Supplemental disclosure of non-cash financing activities:

As discussed in Note 7, during the year ended December 31, 2017, 298 shares of Series C Convertible Preferred Stock were converted into 19,862,000 shares of common stock and during the year ended December 31, 2016, 132 shares of Series C Convertible Preferred Stock were converted into 1,400,000 shares of common stock.

 

See accompanying notes to consolidated financial statements.

 

F-6

 

 

GEOVAX LABS, INC.

NOTES TO CONSOLIDATED FINANCIAL STATEMENTS

 

Years Ended December 31, 2017, 2016 and 2015

 

 

 

1.

Description of Business

 

GeoVax Labs, Inc. (“GeoVax” or the “Company”), is a clinical-stage biotechnology company developing human vaccines using our novel vaccine platform. Our current development programs are focused on preventive vaccines against Human Immunodeficiency Virus (HIV), Zika Virus, hemorrhagic fever viruses (Ebola, Sudan, Marburg, Lassa), and malaria, as well as therapeutic vaccines for chronic Hepatitis B infections and cancers. We believe our technology and vaccine development expertise are well-suited for a variety of human infectious diseases and we intend to pursue further expansion of our product pipeline.

 

Certain of our vaccine development activities have been, and continue to be, financially supported by the U.S. government. This support has been both in the form of research grants and contracts awarded directly to us, as well as indirect support for the conduct of preclinical animal studies and human clinical trials.

 

We operate in a highly regulated and competitive environment. The manufacturing and marketing of pharmaceutical products require approval from, and are subject to, ongoing oversight by the Food and Drug Administration (FDA) in the United States, by the European Medicines Agency (EMA) in the European Union, and by comparable agencies in other countries. Obtaining approval for a new pharmaceutical product is never certain, may take many years and often involves expenditure of substantial resources. Our goal is to build a profitable company by generating income from products we develop and commercialize, either alone or with one or more potential strategic partners.

 

GeoVax is incorporated under the laws of the State of Delaware and our principal offices are located in Smyrna, Georgia (metropolitan Atlanta area).  

 

 

2.

Summary of Significant Accounting Policies

 

Principles of Consolidation

 

The accompanying consolidated financial statements include the accounts of GeoVax Labs, Inc. together with those of our wholly-owned subsidiary, GeoVax, Inc. All intercompany transactions have been eliminated in consolidation.

 

Basis of Presentation

 

The accompanying consolidated financial statements have been prepared assuming that we will continue as a going concern, which contemplates realization of assets and the satisfaction of liabilities in the normal course of business for the twelve-month period following the date of these consolidated financial statements. We are devoting substantially all of our present efforts to research and development. We have funded our activities to date from government grants and clinical trial assistance, and from sales of our equity securities. We will continue to require substantial funds to continue our research and development activities.

 

We believe that our existing cash resources and government funding commitments will be sufficient to continue our planned operations into the third quarter of 2018. Due to our history of operating losses and our continuing need for capital to conduct our research and development activities, there is substantial doubt concerning our ability to operate as a going concern beyond that date. We are currently exploring sources of capital through additional government grants and contracts. We also intend to secure additional funds through sales of our equity securities or by other means. Management believes that we will be successful in securing the additional capital required to continue the Company’s planned operations, but that our plans do not fully alleviate the substantial doubt about the Company’s ability to operate as a going concern. Additional funding may not be available on favorable terms or at all. If we fail to obtain additional capital when needed, we will be required to delay, scale back, or eliminate some or all of our research and development programs as well as reduce our general and administrative expenses.

 

F-7

 

 

Use of Estimates

 

The preparation of financial statements in conformity with GAAP requires us to make estimates and assumptions that affect the reported amounts of assets and liabilities and disclosure of contingent assets and liabilities at the date of the financial statements and the reported amounts of revenues and expenses during the reporting period. Actual results may differ from those estimates.

 

Cash and Cash Equivalents

 

We consider all highly liquid investments with a maturity of three months or less when purchased to be cash equivalents. Our cash and cash equivalents consist primarily of bank deposits and money market accounts. The recorded values approximate fair market values due to the short maturities.

 

Fair Value of Financial Instruments and Concentration of Credit Risk

 

Financial instruments that subject us to concentration of credit risk consist primarily of cash and cash equivalents, which are maintained by a high credit quality financial institution. The carrying values reported in the balance sheets for cash and cash equivalents approximate fair values.

 

Property and Equipment

 

Property and equipment are stated at cost, less accumulated depreciation and amortization. Expenditures for maintenance and repairs are charged to operations as incurred, while additions and improvements are capitalized. We calculate depreciation using the straight-line method over the estimated useful lives of the assets which range from three to five years. We amortize leasehold improvements using the straight-line method over the term of the related lease.

 

In February 2016, the Financial Accounting Standards Board (FASB) issued Accounting Standards Update No. 2016-02, Leases (ASU 2016-02). ASU 2016-02 requires lessees to recognize the assets and liabilities on their balance sheet for the rights and obligations created by most leases and continue to recognize expenses on their income statements over the lease term. It will also require disclosures designed to give financial statement users information on the amount, timing, and uncertainty of cash flows arising from leases. The guidance is effective for annual reporting periods beginning after December 15, 2018, and interim periods within those years. Early adoption is permitted. We do not currently know the impact ASU 2016-02 will have on our financial statements, which will be dependent upon the nature of any lease obligations we may have at the time of our adoption of ASU 2016-02.

 

Impairment of Long-Lived Assets

 

We review long-lived assets for impairment whenever events or changes in circumstances indicate that the carrying amount of an asset may not be recoverable. Recoverability of assets to be held and used is measured by a comparison of the carrying amount of the assets to the future net cash flows expected to be generated by such assets. If we consider such assets to be impaired, the impairment to be recognized is measured by the amount by which the carrying amount of the assets exceeds the expected future net cash flows from the assets.

 

Accrued Expenses

 

As part of the process of preparing our financial statements, we estimate expenses that we believe we have incurred, but have not yet been billed by our third-party vendors. This process involves identifying services and activities that have been performed by such vendors on our behalf and estimating the level to which they have been performed and the associated cost incurred for such service as of each balance sheet date.

 

Net Loss Per Share

 

Basic and diluted loss per common share are computed based on the weighted average number of common shares outstanding. Common share equivalents consist of common shares issuable upon conversion of convertible preferred stock, and upon exercise of stock options and stock purchase warrants. All common share equivalents are excluded from the computation of diluted loss per share since the effect would be anti-dilutive. Common share equivalents which could potentially dilute basic earnings per share in the future, and which were excluded from the computation of diluted loss per share, totaled approximately 245.3 million, 93.9 million, and 90.3 million at December 31, 2017, 2016 and 2015, respectively.

 

F-8

 

 

Revenue Recognition

 

During the years ended December 31, 2017, 2016 and 2015, we recognized revenue in accordance with U.S. Securities and Exchange Commission (SEC) Staff Accounting Bulletin No. 101, Revenue Recognition in Financial Statements, as amended by Staff Accounting Bulletin No. 104, Revenue Recognition, (SAB 104). SAB 104 provides guidance in applying GAAP to revenue recognition issues, and specifically addresses revenue recognition for upfront, nonrefundable fees received in connection with research collaboration agreements. During 2017, 2016 and 2015, our revenue consisted primarily of grant and contract funding received from the NIH (see Note 5). Revenue from these arrangements is approximately equal to the costs incurred and is recorded as income as the related costs are incurred.

 

In May 2014, the FASB issued Accounting Standards Update 2014-09, Revenue from Contracts with Customers (ASU 2014-09), which creates a new Topic, Accounting Standards Codification Topic 606. The standard is principle-based and provides a five-step model to determine when and how revenue is recognized. The core principle is that an entity should recognize revenue when it transfers promised goods or services to customers in an amount that reflects the consideration to which the entity expects to be entitled in exchange for those goods or services. ASU 2014-09 is effective for the Company beginning January 1, 2018. We do not believe the adoption of ASU 2014-09 will have a material impact on our financial statements.

 

Research and Development Expense

 

Research and development expense primarily consists of costs incurred in the discovery, development, testing and manufacturing of our product candidates. These expenses consist primarily of (i) salaries, benefits, and stock-based compensation for personnel, (ii) laboratory supplies and facility-related expenses to conduct development, (iii) fees paid to third-party service providers to perform, monitor and accumulate data related to our preclinical studies and clinical trials, (iv) costs related to sponsored research agreements, and (v) the costs to procure and manufacture materials used in clinical trials. These costs are charged to expense as incurred.

 

Patent Costs

 

Our expenditures relating to obtaining and protecting patents are charged to expense when incurred and are included in general and administrative expense. 

 

Period to Period Comparisons

 

Our operating results are expected to fluctuate for the foreseeable future. Therefore, period-to-period comparisons should not be relied upon as predictive of the results for future periods. 

 

Income Taxes

 

We account for income taxes using the liability method. Under this method, deferred tax assets and liabilities are recognized for the estimated future tax consequences attributable to differences between the financial statement carrying amounts of existing assets and liabilities and their respective tax bases. Deferred tax assets and liabilities are measured using enacted rates in effect for the year in which temporary differences are expected to be recovered or settled. Deferred tax assets are reduced by a valuation allowance unless, in the opinion of management, it is more likely than not that some portion or all of the deferred tax assets will be realized.

 

Stock-Based Compensation

 

We account for stock-based transactions in which the Company receives services from employees, directors or others in exchange for equity instruments based on the fair value of the award at the grant date. Compensation cost for awards of common stock is estimated based on the price of the underlying common stock on the date of issuance. Compensation cost for stock options or warrants is estimated at the grant date based on each instrument’s fair value as calculated by the Black-Scholes option pricing model. We recognize stock-based compensation cost as expense ratably on a straight-line basis over the requisite service period for the award. See Note 9 for additional stock-based compensation information.

 

F-9

 

 

In March 2016, the FASB issued Accounting Standards Update 2016-09, Improvements to Employee Share-Based Payment Accounting (“ASU 2016-09”), which amends Accounting Standards Codification Topic 718, Compensation – Stock Compensation. ASU 2016-09 is an attempt to simplify several aspects of the accounting for stock-based payment transactions, including the income tax consequences, classification of awards as either equity or liabilities, and classification on the statement of cash flows. We adopted ASU 2016-09 effective January 1, 2017; such adoption had no material impact on our financial statements.

 

In May 2017, the FASB issued Accounting Standards Update 2017-09, Scope of Modification Accounting (“ASU 2017-09”), which amends Accounting Standards Codification Topic 718, Compensation – Stock Compensation. ASU 2017-09 is an attempt to provide clarity and reduce both (1) diversity in practice and (2) cost and complexity when applying the guidance in Topic 718 Compensation – Stock Compensation, to a change to the terms or conditions of a share-based payment award. ASU 2017-09 is effective for the Company beginning January 1, 2018. We do not believe the adoption of ASU 2017-09 will have a material impact on our financial statements.

 

Other Recent Accounting Pronouncements

 

In July 2017, the FASB issued Accounting Standards Update 2017-11, (Part I) Accounting for Certain Financial Instruments with Down Round Features, (Part II) Replacement of the Indefinite Deferral for Mandatorily Redeemable Financial Instruments of Certain Nonpublic Entities and Certain Mandatorily Redeemable Noncontrolling Interests with a Scope Exception (“ASU 2017-11”), which amends Accounting Standards Codification Topic 260, Earnings Per Share, Topic 480, Distinguishing Liabilities from Equity, and Topic 815, Derivatives and Hedging. ASU 2017-11 changes the classification of certain equity-linked financial instruments (or embedded features) with down round features and clarifies existing disclosure requirements for equity-classified instruments. ASU 2017-11 is effective for the Company beginning January 1, 2019. We are currently evaluating the impact of the adoption of ASU 2017-11 on our financial statements.

 

Except as discussed above, there have been no recent accounting pronouncements or changes in accounting pronouncements which we expect to have a material impact on our financial statements, nor do we believe that any recently issued, but not yet effective, accounting standards if currently adopted would have a material effect on our financial statements.

 

 

3.

Property and Equipment

 

Property and equipment as shown on the accompanying Consolidated Balance Sheets is composed of the following as of December 31, 2017 and 2016:

 

   

2017

   

2016

 

Laboratory equipment

  $ 530,306     $ 525,956  

Leasehold improvements

    115,605       115,605  

Other furniture, fixtures & equipment

    28,685       28,685  

Total property and equipment

    674,596       670,246  

Accumulated depreciation and amortization

    (643,445 )     (615,418 )

Property and equipment, net

  $ 31,151     $ 54,828  

 

Depreciation and leasehold amortization expense was $28,027, $28,780, and $28,935 during the years ended December 31, 2017, 2016 and 2015, respectively.

 

 

4.

Accrued Expenses

 

Accrued expenses as shown on the accompanying Consolidated Balance Sheets is composed of the following as of December 31, 2017 and 2016:

 

   

2017

   

2016

 

Accrued management salaries

  $ 532,615     $ 201,170  

Accrued directors’ fees

    182,620       78,070  

Other accrued expenses

    18,476       15,000  

Total accrued expenses

  $ 733,711     $ 294,240  

 

F-10

 

 

 

5.

Grants and Collaboration Revenue

 

Government Grants and Contracts

 

We receive payments from government entities under our grants and contracts with the National Institute of Allergy and Infectious Diseases in support of certain of our vaccine research and development efforts. We record revenue associated with government grants and contracts as the reimbursable costs are incurred. During 2017, 2016, and 2015, we recorded $980,270, $828,918, and $428,081, respectively, of revenue associated with these grants and contracts. As of December 31, 2017, there is an aggregate of $481,695 in remaining grant funds available for use during 2018.

 

Collaboration Revenue

 

In March 2017, we entered into a clinical trial collaboration agreement with American Gene Technologies International, Inc. (“AGT”) whereby AGT intends to conduct a phase 1 human clinical trial investigating our combined technologies as a functional cure for HIV infection. In connection with the agreement, AGT paid to us a non-refundable fee of $95,000, which we recorded as collaboration revenue during 2017.

 

 

6.

Commitments

 

Lease Agreement

 

We lease approximately 8,400 square feet of office and laboratory space pursuant to an operating lease which expires on December 31, 2018. Rent expense for the years ended December 31, 2017, 2016 and 2015 was $151,748, $149,288, and $146,092, respectively. Future minimum lease payments total $156,545 in 2018.

 

Other Commitments

 

In the normal course of business, we may enter into various firm purchase commitments related to production and testing of our vaccine material, conduct of clinical trials, and other research-related activities. As of December 31, 2017, we had approximately $79,000 of unrecorded outstanding purchase commitments to our vendors and subcontractors, all of which we expect will be due in 2018. We expect this entire amount to be reimbursable to us pursuant to currently outstanding government grants.

 

 

7.

Preferred Stock

 

Series B Convertible Preferred Stock

 

Our Series B Convertible Preferred Stock, $1,000 stated value (“Series B Preferred Stock”), has rights and privileges as set forth in the pertinent Certificate of Designation of Preferences, Rights and Limitations, including a liquidation preference equal to the stated value per share. The Series B Preferred Stock has no voting rights and is not entitled to a dividend. As of December 31, 2017, there were 100 shares of Series B Preferred Stock outstanding, convertible at any time at the option of the holder into 285,714 shares of common stock.

 

Series C Convertible Preferred Stock

 

In February 2015, we issued 3,000 shares of our Series C Convertible Preferred Stock, $1,000 stated value (“Series C Preferred Stock”) and warrants to purchase up to an aggregate of 51,333,331 shares of our common stock for total net proceeds of $2,679,810. We allocated $1,695,869 of the purchase price to the fair value of the warrants issued in the transaction (recorded to Additional Paid-in Capital) and recorded the net amount of $983,941 as the initial carrying value of the Series C Preferred Stock.

 

The Series C Preferred Stock has rights and privileges as set forth in the pertinent Certificate of Designation of Preferences, Rights and Limitations, including a liquidation preference equal to the stated value per share. The Series C Preferred Stock has no voting rights and is not entitled to a dividend. The Series C Preferred Stock is convertible at any time at the option of the holders into shares of our common stock, and contains price adjustment provisions which may, under certain circumstances, reduce the conversion price if we sell, or grant options to purchase, our common stock at a price lower than the then conversion price of the Series C Preferred Stock. During 2016, 132 shares of Series C Preferred Stock were converted into 1,400,000 shares of common stock. During 2017, 298 shares of Series C Preferred Stock were converted into 19,862,000 shares of common stock. In May 2017, in connection with the issuance of our Series D Convertible Preferred Stock discussed below, the conversion price of our Series C Preferred Stock was automatically reduced from $0.05 per share to $0.015 per share. As of December 31, 2017, there were 2,570 shares of Series C Preferred Stock outstanding, convertible into 171,349,733 shares of common stock.

 

F-11

 

 

Series D Convertible Preferred Stock

 

In May 2017, we issued 1,000 shares of our Series D Convertible Preferred Stock, $1,000 stated value (“Series D Preferred Stock”), for gross proceeds of $1.0 million. Net proceeds, after deduction of certain expenses, were $980,000.

 

Each share of Series D Preferred Stock is entitled to a liquidation preference equal to the initial purchase price, has no voting rights, and is not entitled to a dividend. The Series D Preferred Stock is convertible at any time at the option of the holders into shares of our common stock, with an initial conversion price of $0.015 per share. The Series D Preferred Shares contains price adjustment provisions, which may, under certain circumstances, reduce the conversion price on future dates according to a formula based on the then-current market price for our common stock.

 

We assessed the Series D Preferred Stock under ASC Topic 480,Distinguishing Liabilities from Equity” (“ASC 480”), ASC Topic 815,Derivatives and Hedging” (“ASC 815”), and ASC Topic 470,Debt” (“ASC 470”). The Series D Preferred Stock contains an embedded feature allowing an optional conversion by the holder into common stock which meets the definition of a derivative. However, we determined that the preferred stock is an “equity host” (as described by ASC 815) for purposes of assessing the embedded derivative for potential bifurcation and that the optional conversion feature is clearly and closely associated to the preferred stock host; therefore, the embedded derivative does not require bifurcation and separate recognition under ASC 815. We determined there to be a beneficial conversion feature (“BCF”) requiring recognition at its intrinsic value. Since the conversion option of the preferred stock was immediately exercisable, the amount allocated to the BCF was immediately accreted to preferred dividends, resulting in an increase in the carrying value of the preferred stock.

 

 

8.

Common Stock

 

Increase in Authorized Shares of Common Stock

 

At a special meeting of our stockholders held on August 4, 2017, our stockholders approved an amendment to our certificate of incorporation to increase our authorized shares of common stock from 300,000,000 to 600,000,000 shares. The amendment to our certificate of incorporation was filed with the Delaware Secretary of State on August 4, 2017.

 

Common Stock Transactions

 

During 2017 and 2016, we issued 19,862,000 and 1,400,000 shares of our common stock, respectively, pursuant to the conversion of our Series C Preferred Stock (see Note 7).

 

During 2017, we issued 31,639,577 shares of our common stock related to the exercise of stock purchase warrants, resulting in net proceeds to us of $571,511. During 2016, we issued 21,884,420 shares of our common stock related to the exercise of stock purchase warrants, resulting in net proceeds of $1,339,801.

 

Stock Option Plans

 

In 2006 we adopted the GeoVax Labs, Inc. 2006 Equity Incentive Plan (the “2006 Plan”) and during 2016, our stockholders approved the GeoVax Labs, Inc. 2016 Stock Incentive Plan (the “2016 Plan”) which provides our Board of Directors broad discretion in creating equity incentives for employees, officers, directors and consultants. We have reserved 1,550,300 shares of our common stock for currently outstanding stock options under the 2006 Plan, and 6,000,000 shares for outstanding stock options and future issuances under the 2016 Plan. The 2016 Plan replaces the 2006 Plan, which expired September 28, 2016, and no further grants may be made under the 2006 Plan. As such, the 2016 Plan will serve as the sole equity incentive compensation plan for the Company. The exercise price for any option granted may not be less than fair value (110% of fair value for ISO’s granted to certain employees). Options have a maximum ten-year term and generally vest over three years.

 

F-12

 

 

Certain information concerning our stock option plans as of December 31, 2017, and a summary of activity during the year then ended is presented below:

 

   

 

 

 

Number

of Shares

   

 

Weighted-

Average

Exercise

Price

   

Weighted-

Average

Remaining

Contractual

Term (yrs)

   

 

 

Aggregate

Intrinsic

Value

 

Outstanding at December 31, 2016

    3,499,475     $ 1.21                  

Granted

    3,680,000       0.05                  

Exercised

    -       -                  

Forfeited or expired

    (155,200 )     15.25                  

Outstanding at December 31, 2017

    7,024,275     $ 0.29       8.8     $ -0-  

Exercisable at December 31, 2017

    1,951,484     $ 0.90       6.6     $ -0-  

 

Stock Purchase Warrants

 

The following table presents a summary of stock purchase warrant activity during the year ended December 31, 2017:

 

   

 

Number of Shares

   

Weighted Average

Exercise Price

 

Outstanding at December 31, 2016

    32,751,578     $ 0.07  

Issued

    -       -  

Exercised

    (31,639,577 )     0.02  

Forfeited or expired

    (1,112,001 )     0.57  

Outstanding and exercisable at December 31, 2017

    -0-     $ -  

 

Common Stock Reserved

 

A summary of common stock reserved for future issuance as of December 31, 2017 is as follows:

 

Stock Option Plans

    7,550,300  

Series B Convertible Preferred Stock

    285,714  

Series C Convertible Preferred Stock

    171,349,733  

Series D Convertible Preferred Stock

    66,666,666  

Total

    245,852,413  

 

 

9.

Stock-Based Compensation

 

Stock Option Plans

 

We use the Black-Scholes model for determining the grant date fair value of our stock option grants. This model utilizes certain information, such as the interest rate on a risk-free security with a term generally equivalent to the expected life of the option being valued and requires certain other assumptions, such as the expected amount of time an option will be outstanding until it is exercised or expired, to calculate the fair value of stock options granted. The significant assumptions we used in our fair value calculations were as follows:

   

2017

   

2016

   

2015

 

Weighted average risk-free interest rates

    2.40 %     2.26 %     1.99 %

Expected dividend yield

    0.0 %     0.0 %     0.0 %

Expected life of option (yrs)

 

7.0

    7.0     7.0  

Expected volatility

    89.73 %     88.72 %     91.43 %

 

Stock-based compensation expense related to our stock option plans was $57,224, $54,805, and $67,905 during the years ended December 31, 2017, 2016 and 2015, respectively. Stock option expense is allocated to research and development expense or to general and administrative expense based on the nature of the services provided by the related individuals. For the three years ended December 31, 2017, stock option expense was allocated as follows:

 

F-13

 

 

   

2017

   

2016

   

2015

 

General and administrative expense

  $ 31,271     $ 31,191     $ 45,822  

Research and development expense

    25,953       23,614       22,083  

Total stock option expense

  $ 57,224     $ 54,805     $ 67,905  

 

As of December 31, 2017, there was $218,280 of unrecognized compensation expense related to stock-based compensation arrangements pursuant to our stock option plans. The unrecognized compensation expense is expected to be recognized over a weighted average remaining period of 2.6 years.

 

Additional information concerning our stock options for the years ended December 31, 2017, 2016 and 2015 is as follows:

 

   

2017

   

2016

   

2015

 

Weighted average fair value of options granted

  $ 0.04     $ 0.05     $ 0.09  

Intrinsic value of options exercised

    -       -       -  

Total fair value of options vested

    58,337       54,757       66,622  

 

Other Non-Employee Stock-Based Compensation

 

We recorded general and administrative expense of $-0-, $912,862 and $-0- during the years ended December 31, 2017, 2016 and 2015, respectively, related to modifications made to certain stock purchase warrants.

 

 

10.

Retirement Plan

 

We participate in a multi-employer defined contribution retirement plan (the “401k Plan”) administered by a third-party service provider, and the Company contributes to the 401k Plan on behalf of its employees based upon a matching formula. During the years ended December 31, 2017, 2016 and 2015 our contributions to the 401k Plan were $29,265, $33,871, and $40,296, respectively.

 

 

11.

Income Taxes

 

At December 31, 2017, we have a consolidated federal net operating loss (“NOL”) carryforward of approximately $70.9 million, available to offset against future taxable income which expires in varying amounts in 2019 through 2037. Additionally, we have approximately $949,000 in research and development (“R&D”) tax credits that expire in 2022 through 2037 unless utilized earlier. No income taxes have been paid to date. Section 382 of the Internal Revenue Code contains provisions that may limit our utilization of our NOL and R&D tax credit carryforwards in any given year as a result of significant changes in ownership interests that have occurred in past periods or may occur in future periods.

 

On December 22, 2017, the Tax Cuts and Jobs Act (the “Tax Act”) was enacted into law in the United States. The Tax Act makes broad changes to the U.S. tax code, including, but not limited to, reducing the U.S. federal corporate tax rate from 35% to 21%. With regard to the Tax Act impact to the Company for the year ended December 31, 2017, we have recognized the impact of tax reform related to the revaluation of deferred tax assets and liabilities based on the rates we expect them to reverse in the future, which is generally 21%. The amount recorded as tax expense related to the remeasurement of the deferred tax balance was approximately $10.1 million, which was fully offset by a reduction in the valuation allowance.

 

F-14

 

 

Deferred income taxes reflect the net effect of temporary differences between the carrying amounts of assets and liabilities for financial reporting purposes and the amounts used for income tax purposes. Significant components of our deferred tax assets and liabilities included the following at December 31, 2017 and 2016:

 

   

2017

   

2016

 

Deferred tax assets:

               

Net operating loss carryforward

  $ 16,273,259     $ 24,689,298  

Research and development tax credit carryforward

    949,340       892,231  

Stock-based compensation expense

    1,709,867       2,748,899  

Accrued salaries and directors’ fees

    185,961       -  

Depreciation

    5,532       1,331  

Total deferred tax assets

    19,123,959       28,331,759  
                 

Deferred tax liabilities

    -       -  
                 

Net deferred tax assets

    19,123,959       28,331,759  

Valuation allowance

    (19,123,959 )     (28,331,759 )
Net deferred tax asset after reduction for valuation allowance   $ -0-     $ -0-  

 

We have established a full valuation allowance equal to the amount of our net deferred tax assets due to uncertainties with respect to our ability to generate sufficient taxable income to realize these assets in the future. A reconciliation of the income tax benefit on losses at the U.S. federal statutory rate to the reported income tax expense is as follows:

 

   

2017

   

2016

   

2015

 

U.S. federal statutory rate applied to pretax loss

  $ (737,855 )   $ (1,112,378 )   $ (936,936 )

Permanent differences

    436       2,012       2,914  

Research and development credits

    57,109       59,087       67,901  

Impact of Tax Act

    10,086,795       -       -  

Change in valuation allowance

    (9,406,485 )     1,051,279       866,121  

Reported income tax expense

  $ -0-     $ -0-     $ -0-  

 

 

12.     Subsequent Events

 

During January and February 2018, 300 shares of Series D Preferred Stock were converted into 20,000,000 shares of common stock.

 

During February 2018, we issued 5,000,000 shares of our common stock in connection with entering into a financial advisory and investment banking agreement.

 

On February 28, 2018, we entered into a Senior Note Purchase Agreement with Georgia Research Alliance, Inc. (GRA) pursuant to which we issued a five-year Senior Promissory Note (the “Note”) in exchange for $50,000. The Note bears an annual interest rate of 5%, payable monthly, with principal repayments beginning in the second year. In connection with the Note, we also issued to the GRA a five-year warrant to purchase 178,571 shares of our common stock at a purchase price of $0.042 per share.

 

On March 5, 2018, we sold shares of our Series E convertible preferred stock to certain institutional investors for an aggregate purchase price of $600,000. The preferred stock is convertible at any time into shares of our common stock at $0.08 per share (7,500,000 shares in the aggregate), subject to possible adjustment as provided in the certificate of designation.

 

F-15

 

 

 

GEOVAX LABS, INC.

SCHEDULE II – VALUATION AND QUALIFYING ACCOUNTS

 

For the Years Ended December 31, 2017, 2016 and 2015

 

 

           

Additions

                 

 

 

Description

 

Balance at

Beginning

Of Period

   

Charged to

Costs and

Expenses

   

Charged to

Other

Accounts

   

 

 

Deductions

   

Balance at

End

Of Period

 

Reserve Deducted in the Balance Sheet From the Asset to Which it Applies:

                                       
                                         

Allowance for Deferred Tax Assets

                                       

Year ended December 31, 2017

  $ 28,331,759     $ 9,207,800     $ -0-     $ -0-     $ 19,123,959  

Year ended December 31, 2016

    27,131,034       1,200,725       -0-       -0-       28,331,759  

Year ended December 31, 2015

    26,021,943       1,109,094       -0-       -0-       27,131,034  

 

F-16