0001372299--12-312019FYfalse0.0167P1YP3YP3DP1YP5D00013722992019-01-012019-12-31iso4217:USD00013722992019-06-30xbrli:shares00013722992020-03-2000013722992019-12-3100013722992018-12-31iso4217:USDxbrli:shares00013722992018-01-012018-12-310001372299us-gaap:CommonStockMember2017-12-310001372299us-gaap:AdditionalPaidInCapitalMember2017-12-310001372299us-gaap:AccumulatedOtherComprehensiveIncomeMember2017-12-310001372299us-gaap:RetainedEarningsMember2017-12-3100013722992017-12-310001372299us-gaap:AccumulatedOtherComprehensiveIncomeMember2018-01-012018-12-310001372299us-gaap:AdditionalPaidInCapitalMember2018-01-012018-12-310001372299us-gaap:RetainedEarningsMember2018-01-012018-12-310001372299us-gaap:CommonStockMember2018-12-310001372299us-gaap:AdditionalPaidInCapitalMember2018-12-310001372299us-gaap:AccumulatedOtherComprehensiveIncomeMember2018-12-310001372299us-gaap:RetainedEarningsMember2018-12-310001372299us-gaap:CommonStockMember2019-01-012019-12-310001372299us-gaap:AdditionalPaidInCapitalMember2019-01-012019-12-310001372299us-gaap:WarrantMemberus-gaap:CommonStockMember2019-01-012019-12-310001372299us-gaap:TreasuryStockMember2019-01-012019-12-310001372299us-gaap:AccumulatedOtherComprehensiveIncomeMember2019-01-012019-12-310001372299us-gaap:RetainedEarningsMember2019-01-012019-12-310001372299us-gaap:CommonStockMember2019-12-310001372299us-gaap:TreasuryStockMember2019-12-310001372299us-gaap:AdditionalPaidInCapitalMember2019-12-310001372299us-gaap:RetainedEarningsMember2019-12-31xbrli:pure0001372299ocgn:HistogenicsCorporationMember2019-09-272019-09-270001372299us-gaap:EquipmentMember2019-01-012019-12-310001372299us-gaap:FurnitureAndFixturesMember2019-01-012019-12-310001372299ocgn:EquipmentAndFurnitureMember2019-12-310001372299ocgn:EquipmentAndFurnitureMember2018-12-310001372299srt:MinimumMember2019-01-012019-12-310001372299srt:MaximumMember2019-01-012019-12-310001372299us-gaap:EmployeeStockOptionMember2019-01-012019-12-31ocgn:segment0001372299us-gaap:AccountingStandardsUpdate201602Member2019-01-010001372299ocgn:SecuritiesPurchaseAgreementMember2019-06-300001372299ocgn:SecuritiesPurchaseAgreementMember2019-06-012019-06-3000013722992019-10-0400013722992019-10-042019-10-040001372299ocgn:SeniorSecuredConvertibleNotesMember2019-01-012019-12-310001372299ocgn:SecuritiesPurchaseAgreementMember2019-01-012019-12-310001372299ocgn:SeriesAWarrantsAndSeriesCWarrantsMember2019-01-012019-12-310001372299ocgn:SeriesBWarrantsMember2019-01-012019-12-310001372299ocgn:EquityHoldersOfOcugenIncPerMergerMemberocgn:HistogenicsCorporationMember2019-09-270001372299ocgn:EquityHoldersOfHistogenicsCorporationMemberocgn:HistogenicsCorporationMember2019-09-260001372299ocgn:HistogenicsCorporationMember2019-09-272019-09-270001372299ocgn:HistogenicsCorporationMember2019-09-270001372299ocgn:HistogenicsCorporationMember2019-05-082019-05-080001372299us-gaap:FairValueInputsLevel2Memberocgn:HistogenicsCorporationMember2019-12-310001372299ocgn:HistogenicsCorporationMember2019-10-042019-10-0400013722992019-12-312019-12-310001372299ocgn:NeocartMemberus-gaap:FairValueInputsLevel2Member2019-12-310001372299ocgn:HistogenicsCorporationMember2018-01-012018-01-310001372299us-gaap:StockOptionMember2019-01-012019-12-310001372299us-gaap:StockOptionMember2018-01-012018-12-310001372299us-gaap:WarrantMember2019-01-012019-12-310001372299us-gaap:WarrantMember2018-01-012018-12-310001372299ocgn:SeriesWarrantsMember2019-01-012019-12-310001372299ocgn:SeriesWarrantsMember2018-01-012018-12-310001372299ocgn:SeriesBWarrantsMember2019-01-012019-12-310001372299ocgn:SeriesBWarrantsMember2018-01-012018-12-310001372299ocgn:SeriesCWarrantsMember2019-01-012019-12-310001372299ocgn:SeriesCWarrantsMember2018-01-012018-12-310001372299ocgn:CollaborationAgreementWithCansinoBiologicsMember2019-09-272019-09-270001372299ocgn:SchepensEyeResearchInstituteMember2017-01-012017-12-310001372299ocgn:SchepensEyeResearchInstituteMember2019-01-012019-12-310001372299ocgn:SchepensEyeResearchInstituteMember2018-01-012018-12-310001372299ocgn:CollaborationAgreementWithUniversityOfIllinoisChicagoMember2016-01-012016-12-310001372299ocgn:CollaborationAgreementWithUniversityOfIllinoisChicagoMember2019-01-012019-12-310001372299srt:ScenarioForecastMemberocgn:CollaborationAgreementWithUniversityOfIllinoisChicagoMember2022-01-012022-12-310001372299ocgn:CollaborationAgreementWithUniversityOfIllinoisChicagoMember2018-01-012018-12-310001372299ocgn:CollaborationAgreementWithUniversityOfColoradoMember2014-01-012014-12-310001372299ocgn:CollaborationAgreementWithUniversityOfColoradoMember2017-01-012017-12-310001372299ocgn:EB5ProgramBorrowingsMemberus-gaap:LoansPayableMember2016-09-300001372299ocgn:EB5ProgramBorrowingsMemberus-gaap:LoansPayableMember2016-09-012016-12-310001372299ocgn:EB5ProgramBorrowingsMemberus-gaap:LoansPayableMember2016-12-310001372299ocgn:EB5ProgramBorrowingsMemberus-gaap:LoansPayableMember2016-01-012016-12-310001372299ocgn:EB5ProgramBorrowingsMemberus-gaap:LoansPayableMember2019-12-310001372299ocgn:EB5ProgramBorrowingsMemberus-gaap:LoansPayableMember2018-12-310001372299ocgn:ConvertibleNotesBoardOfDirectorsMembersrt:DirectorMemberus-gaap:ConvertibleDebtMember2018-12-310001372299ocgn:ConvertibleNotesBoardOfDirectorsMembersrt:DirectorMemberus-gaap:ConvertibleDebtMember2019-12-310001372299us-gaap:ConvertibleDebtMemberus-gaap:ConvertibleDebtMember2019-12-310001372299ocgn:ConvertibleDebtJanuary2018Member2018-01-310001372299ocgn:ConvertibleDebtJanuary2018Memberocgn:ConvertibleDebtConversionFeatureMember2018-01-310001372299ocgn:ConvertibleDebtJune2018Member2018-06-300001372299ocgn:ConvertibleDebtJune2018Memberocgn:ConvertibleDebtConversionFeatureMember2018-06-300001372299ocgn:ConvertibleDebtNovember2018Member2018-11-300001372299ocgn:ConvertibleDebtNovember2018Memberocgn:ConvertibleDebtConversionFeatureMember2018-11-300001372299ocgn:ConvertibleDebtDecember2018Member2018-12-310001372299ocgn:ConvertibleDebtDecember2018Memberocgn:ConvertibleDebtConversionFeatureMember2018-12-310001372299ocgn:ConvertibleDebtJanuary2019Member2019-01-310001372299ocgn:ConvertibleDebtJanuary2019Memberocgn:ConvertibleDebtConversionFeatureMember2019-01-310001372299ocgn:ConvertibleDebtFebruary2019Member2019-02-280001372299ocgn:ConvertibleDebtFebruary2019Memberocgn:ConvertibleDebtConversionFeatureMember2019-02-280001372299us-gaap:ConvertibleDebtMember2019-12-310001372299us-gaap:ConvertibleDebtMemberocgn:ConvertibleDebtConversionFeatureMember2019-12-310001372299ocgn:November2018AndDecember2018NotesMembersrt:MinimumMemberus-gaap:ConvertibleDebtMember2019-12-310001372299srt:MaximumMemberus-gaap:ConvertibleDebtMember2019-12-310001372299us-gaap:ConvertibleDebtMember2019-01-012019-12-310001372299us-gaap:ConvertibleDebtMember2018-01-012018-12-3100013722992019-04-050001372299srt:DirectorMember2019-04-050001372299ocgn:January2019AndFebruary2019NotesMemberus-gaap:ConvertibleDebtMember2019-12-310001372299us-gaap:ConvertibleDebtMember2019-04-050001372299us-gaap:ConvertibleDebtMember2019-04-052019-04-0500013722992019-04-052019-04-050001372299ocgn:ConvertiblePromissoryNotesMember2019-04-0400013722992019-05-162019-05-160001372299ocgn:SeniorSecuredConvertibleNotesMay2019Member2019-05-210001372299ocgn:SeniorSecuredConvertibleNotesJune2019Member2019-06-280001372299ocgn:SeniorSecuredConvertibleNotesMember2019-09-300001372299ocgn:SeniorSecuredConvertibleNotesMember2019-12-310001372299us-gaap:GeneralAndAdministrativeExpenseMember2019-01-012019-12-310001372299us-gaap:GeneralAndAdministrativeExpenseMember2018-01-012018-12-310001372299us-gaap:ResearchAndDevelopmentExpenseMember2019-01-012019-12-310001372299us-gaap:ResearchAndDevelopmentExpenseMember2018-01-012018-12-310001372299us-gaap:StockOptionMember2019-01-012019-12-310001372299ocgn:A2019PlanMember2019-12-310001372299us-gaap:EmployeeStockOptionMemberocgn:A2014PlanMember2019-01-012019-12-310001372299us-gaap:EmployeeStockOptionMemberocgn:A2019PlanMember2019-01-012019-12-310001372299us-gaap:EmployeeStockOptionMember2019-12-310001372299us-gaap:EmployeeStockOptionMember2018-12-310001372299srt:MinimumMemberus-gaap:EmployeeStockOptionMember2018-01-012018-12-310001372299srt:MaximumMemberus-gaap:EmployeeStockOptionMember2018-01-012018-12-310001372299us-gaap:EmployeeStockOptionMember2018-01-012018-12-310001372299srt:MinimumMemberus-gaap:EmployeeStockOptionMember2019-01-012019-12-310001372299srt:MaximumMemberus-gaap:EmployeeStockOptionMember2019-01-012019-12-310001372299ocgn:A2019PlanMember2018-12-310001372299ocgn:A2019PlanMember2018-01-012018-12-310001372299ocgn:A2019PlanMember2019-01-012019-12-310001372299srt:MinimumMember2019-12-310001372299srt:MaximumMember2019-12-3100013722992019-09-272019-12-310001372299ocgn:SeriesWarrantsMember2019-12-310001372299ocgn:SeriesWarrantsMember2019-11-052019-12-310001372299ocgn:SeriesBWarrantsMember2019-12-310001372299ocgn:SeriesBWarrantsMember2019-11-052019-12-310001372299ocgn:SeriesBWarrantsMember2019-11-202019-11-210001372299ocgn:SeriesBWarrantsMember2019-01-012019-12-310001372299ocgn:SeriesCWarrantsMember2019-12-310001372299ocgn:SeriesCWarrantsMember2019-11-040001372299srt:MaximumMemberocgn:SeriesCWarrantsMember2019-11-050001372299srt:MaximumMemberocgn:SeriesCWarrantsMember2019-11-040001372299ocgn:SeriesCWarrantsMember2019-11-052019-11-050001372299ocgn:SeriesCWarrantsMember2019-11-052019-12-310001372299ocgn:SeriesCWarrantsMember2019-01-012019-12-310001372299ocgn:SeriesWarrantsMember2018-12-310001372299ocgn:SeriesBWarrantsMember2018-12-310001372299ocgn:SeriesCWarrantsMember2018-12-310001372299ocgn:SeriesWarrantsMember2019-01-012019-12-310001372299ocgn:SeriesBWarrantsMember2019-09-272019-12-31ocgn:measurementInput0001372299us-gaap:MeasurementInputPriceVolatilityMember2019-12-310001372299ocgn:FormerOcugenWarrantsMember2018-12-310001372299ocgn:FormerOcugenWarrantsMember2019-12-310001372299us-gaap:DomesticCountryMember2019-12-310001372299us-gaap:DomesticCountryMember2018-12-310001372299us-gaap:StateAndLocalJurisdictionMember2019-12-310001372299us-gaap:StateAndLocalJurisdictionMember2018-12-310001372299us-gaap:SubsequentEventMemberocgn:EB5ProgramBorrowingsMemberus-gaap:LoansPayableMember2020-03-262020-03-260001372299us-gaap:SubsequentEventMemberocgn:EB5ProgramBorrowingsMemberus-gaap:LoansPayableMember2020-03-26
UNITED STATES
SECURITIES AND EXCHANGE COMMISSION
Washington, D.C. 20549
___________________________________________________________
FORM 10-K
___________________________________________________________
(Mark One)
| | | | | |
| ☒ | ANNUAL REPORT PURSUANT TO SECTION 13 OR 15(d) OF THE SECURITIES EXCHANGE ACT OF 1934 |
For the fiscal year ended December 31, 2019
OR
| | | | | |
| ☐ | TRANSITION REPORT PURSUANT TO SECTION 13 OR 15(d) OF THE SECURITIES EXCHANGE ACT OF 1934 |
Commission File Number 001-36751
___________________________________________________________
OCUGEN, INC.
(Exact Name of Registrant as Specified in its Charter)
___________________________________________________________
| | | | | |
| Delaware | 04-3522315 |
(State or other jurisdiction of incorporation or organization) | (I.R.S. Employer Identification No.) |
5 Great Valley Parkway, Suite 160
Malvern, Pennsylvania 19355
(Address of principal executive offices, including zip code)
(484) 328-4701
(Registrant’s telephone number, including area code)
___________________________________________________________
Securities registered pursuant to Section 12(b) of the Act
| | | | | | | | | | | | | | |
| Title of each class | | Trading symbol(s) | | Name of each exchange on which registered |
| Common Stock | | OCGN | | The Nasdaq Stock Market |
Indicate by check mark if the registrant is a well-known seasoned issuer, as defined in Rule 405 of the Securities Act
Yes o No x
Indicate by check mark if the registrant is not required to file reports pursuant to Section 13 or Section 15(d) of the Act
Yes o No x
Indicate by check mark whether the registrant (1) has filed all reports required to be filed by Section 13 or 15(d) of the Securities Exchange Act of 1934 during the preceding 12 months (or for such shorter period that the registrant was required to file such reports), and (2) has been subject to such filing requirements for the past 90 days. Yes x No o
Indicate by check mark whether the registrant has submitted electronically every Interactive Data File required to be submitted pursuant to Rule 405 of Regulation S-T during the preceding 12 months (or for such shorter period that the registrant was required to submit such files). Yes x No o
Indicate by check mark whether the registrant is a large accelerated filer, an accelerated filer, a non-accelerated filer, smaller reporting company, or an emerging growth company. See the definitions of “large accelerated filer,” “accelerated filer,” “smaller reporting company,” and “emerging growth company” in Rule 12b-2 of the Exchange Act
| | | | | | | | | | | |
| Large accelerated filer | o | Accelerated filer | o |
| Non-accelerated filer | x | Smaller reporting company | ☒ |
| | Emerging growth company | ☐ |
If an emerging growth company, indicate by check mark if the registrant has elected not to use the extended transition period for complying with any new or revised financial accounting standards provided pursuant to Section 7(a)(2)(B) of the Securities Act. o
Indicate by check mark whether the registrant is a shell company (as defined in Rule 12b-2 of the Exchange Act). Yes ☐ No x
As of June 30, 2019, the last day of the registrant's most recently completed second fiscal quarter, the aggregate market value of the common stock held by non-affiliates of the registrant was approximately $18.1 million, based upon the closing price of the registrant's common stock on June 30, 2019.
As of March 20, 2020, there were 52,625,228 outstanding shares of the registrant’s common stock, $0.01 par value per share.
DOCUMENTS INCORPORATED BY REFERENCE
Part III of this Annual Report on Form 10-K incorporates certain information by reference from the registrant’s proxy statement for the 2020 annual meeting of stockholders to be filed no later than 120 days after the end of the registrant’s fiscal year ended December 31, 2019.
As previously announced, on September 27, 2019, Ocugen, Inc. (formerly known as Histogenics Corporation) (referred to herein as "Ocugen" or the "Company", completed its reverse merger with Ocugen Opco, Inc. (formerly known as Ocugen, Inc.) (“Former Ocugen”), in accordance with the terms of the Agreement and Plan of Merger and Reorganization, dated as of April 5, 2019 by and among Ocugen, Former Ocugen and a wholly owned subsidiary of Ocugen (“Merger Sub”), as amended (the “Merger Agreement”), pursuant to which Merger Sub merged with and into Former Ocugen, with Former Ocugen surviving as a wholly owned subsidiary of Ocugen (the “Merger”).
For accounting purposes, the Merger is treated as a “reverse asset acquisition” under generally acceptable accounting principles in the United States (“U.S. GAAP”) and Former Ocugen is considered the accounting acquirer. Accordingly, Former Ocugen’s historical results of operations will replace the Company’s historical results of operations for all periods prior to the Merger and, for all periods following the Merger, the results of operations of the combined company will be included in the Company’s financial statements.
This Annual Report on Form 10-K relates to the Company’s fiscal year ended December 31, 2019, which includes the date of the completion of the Merger and is therefore the Company’s first annual report that includes results of operations for the combined company, including Former Ocugen.
Unless the context otherwise requires, references to the “Company,” the “combined company” “we,” “our” or “us” in this report refer to Ocugen, Inc. (formerly known as Histogenics Corporation) and its subsidiaries, references to “Ocugen” refer to the Company following the completion of the Merger, references to “Histogenics” refer to the Company prior to the completion of the Merger and references to “OpCo” refer to Ocugen OpCo, Inc., the Company’s wholly owned subsidiary following the Merger.
FORWARD-LOOKING STATEMENTS
This Annual Report on Form 10-K and the documents incorporated by reference herein contain forward-looking statements that involve substantial risks and uncertainties. All statements, other than statements of historical facts contained in this Annual Report on Form 10-K or the documents incorporated by reference herein regarding our strategy, future operations, future financial position, future revenues, projected costs, prospects, plans and objectives of management are forward-looking statements. These statements involve known and unknown risks, uncertainties and other important factors that may cause our actual results, performance or achievements to be materially different from any future results, performance or achievements expressed or implied by the forward-looking statements. The words “anticipate,” “believe,” “estimate,” “expect,” “intend,” “may,” “plan,” “predict,” “project,” “will,” “would” or the negative of such terms and similar expressions are intended to identify forward-looking statements, although not all forward-looking statements contain these identifying words. Such statements are based on assumptions and expectations that may not be realized and are inherently subject to risks, uncertainties and other factors, many of which cannot be predicted with accuracy and some of which might not even be anticipated.
The forward-looking statements in this Annual Report on Form 10-K and the documents incorporated herein by reference include, among other things, statements about:
•our estimates regarding expenses, future revenue, capital requirements and timing and availability of and the need for additional financing;
•our ability to obtain sufficient additional capital to continue to advance these product candidates and its preclinical programs;
•our ability to realize any value from product candidates and preclinical programs being developed and anticipated to be developed in light of inherent risks and difficulties involved in successfully bringing product candidates to market and the risk that products will not achieve broad market acceptance;
•uncertainties in obtaining successful clinical results for product candidates and unexpected costs that may result therefrom;
•our ability to comply with regulatory schemes applicable to our business and other regulatory developments in the United States and foreign countries;
•our ability to operate under increased leverage and associated lending covenants;
•the uncertainties associated with the clinical development and regulatory approval of product candidates, including potential delays in the commencement, enrollment and completion of clinical trials;
•the performance of third-parties upon which we depend, including third-party contract research organizations (“CROs”), and third-party suppliers, manufacturers, group purchasing organizations, distributors and logistics providers;
•our ability to obtain and maintain patent protection and defend our intellectual property rights against third-parties;
•our ability to maintain our relationships, profitability and contracts with our key commercial partners;
•our ability to recruit or retain key scientific, technical, commercial, and management personnel or to retain our executive officers; and
•our ability to comply with stringent U.S. and foreign government regulation in the manufacture of pharmaceutical products, including Good Manufacturing Practice (“cGMP”) compliance and U.S. Drug Enforcement Agency compliance and other relevant regulatory authorities.
We may not actually achieve the plans, intentions or expectations disclosed in our forward-looking statements, and you should not place undue reliance on our forward-looking statements. Actual results or events could differ materially from the plans, intentions and expectations disclosed in the forward-looking statements we make. We have included important factors in the cautionary statements included in this Annual Report on Form 10-K, particularly under “Risk Factors,” that we believe could cause actual results or events to differ materially from the forward-looking statements that we make. Our forward-looking statements do not reflect the potential impact of any future acquisitions, mergers, dispositions, joint ventures, collaborations or investments we may make.
You should read this Annual Report on Form 10-K and the documents that we incorporate by reference herein and have filed as exhibits to this Form 10-K, completely and with the understanding that our actual future results may be materially different from what we expect. We do not assume any obligation to update any forward-looking statements.
In addition, statements that “we believe” and similar statements reflect our beliefs and opinions on the relevant subject. These statements are based upon information available to us as of the date of this Form 10-K, and while we believe such information forms a reasonable basis for such statements, such information may be limited or incomplete, and our statements should not be read to indicate that we have conducted an exhaustive inquiry into, or review of, all relevant information. These statements are inherently uncertain and investors are cautioned not to unduly rely upon these statements.
Solely for convenience, tradenames referred to in this Annual Report on Form 10-K appear without the ® symbol, but those references are not intended to indicate, in any way, that we will not assert, to the fullest extent under applicable law, our rights or that the applicable owner will not assert its rights, to these tradenames. All trademarks, service marks and tradenames included or incorporated by reference in this Annual Report on Form 10-K are the property of their respective owners.
PART I
Item 1. Business
OVERVIEW
We are a clinical-stage biopharmaceutical company focused on discovering, developing and commercializing transformative therapies to treat the whole eye.
We are focused on three waves of technological innovations that target the back and front of the eye:
Potential therapies that target the back of the eye:
•Modifier Gene Therapy Platform—Based on nuclear hormone receptors, we believe our gene therapy platform has the potential to address many retinal diseases including retinitis pigmentosa ("RP") with one product.
•Novel Biologic Therapies for Retinal Diseases—We are developing OCU200, which is being developed to treat diabetic macular edema (“DME”), diabetic retinopathy (“DR”) and wet age-related macular degeneration (“AMD”).
Potential therapy that targets the front of the eye:
•Small Molecule Phase 3 Rare Disease Asset—Our OCU300 product candidate is in Phase 3 clinical development for the treatment of symptoms associated with ocular graft-versus-host disease (“oGVHD”).
Modifier Gene Therapy Platform
We are developing a modifier gene therapy platform to generate therapies designed to fulfill unmet medical needs in the area of retinal diseases, including inherited retinal diseases (“IRDs”). Our modifier gene therapy platform is based on nuclear hormone receptors (“NHRs”), which have the potential to restore homeostasis, the basic biological processes in the retina. Unlike single-gene replacement therapies, which only target one genetic mutation, we believe that our gene therapy platform, through its use of NHRs, represents a novel approach in that it may address multiple retinal diseases with one product. IRDs such as RP affect over 1.5 million people worldwide. Over 150 gene mutations have been associated with RP and this number represents only 60% of the RP population. The remaining 40% of RP patients cannot be genetically diagnosed, making it difficult to develop individual treatments. OCU400 has the potential to eliminate the need for developing more than 150 individual products and provide one treatment option for all RP patients. Our first gene therapy candidate, OCU400, received two orphan drug designations ("ODDs") from the U.S. Food and Drug Administration ("FDA"), one for the treatment of nuclear receptor subfamily 2 group E member 3 ("NR2E3") mutation-associated retinal diseases and the other for the treatment of centrosomal protein 290 ("CEP290") mutation-associated retinal diseases. We are planning to initiate a Phase 1/2a clinical trial for OCU400 in 2021. Our second gene therapy candidate, OCU410, is being developed to utilize the nuclear receptor genes RAR-related orphan receptor A (“RORA”) for the treatment of dry AMD. This candidate is currently in preclinical development.
Novel Biologic Therapies for Retinal Diseases
We are in preclinical development for a novel biologic product candidate, OCU200. OCU200 is a novel fusion protein designed to treat DME, DR and wet AMD. We expect to initiate a Phase 1/2 clinical trial for OCU200 within the next two years. We plan to expand the therapeutic applications of OCU200 beyond DME, DR and wet AMD to potentially include macular edema following retinal vein occlusion (“RVO”) and myopic choroidal neovascularization (“mCNV”).
Small Molecule Phase 3 Rare Disease Asset
We are also developing OCU300, which is a small molecule therapeutic currently in Phase 3 clinical development for patients with oGVHD. OCU300 is a brimonidine tartrate eye drop formulated as a topical nanoemulsion. As of March 20, 2020, we had completed over 95% of planned enrollment of our Phase 3 clinical trial for OCU300. OCU300 has received ODD from the FDA, and it is the first and only product candidate to receive that designation for the treatment of symptoms associated with oGVHD. oGVHD, a severe chronic autoimmune disease that occurs in up to 60% of patients receiving hematopoietic stem cell transplantation (“HSCT”) from donors, referred to as allogeneic HSCT, can result in light sensitivity, excessive ocular redness, severe ocular pain and, ultimately, vision impairment. We estimate the current prevalence of patients suffering from oGVHD in the United States to be approximately 63,000. OCU300 is formulated using our proprietary nanoemulsion technology, OcuNanoE—Ocugen’s ONE Platform™ (“OcuNanoE™”), which we believe represents an effective drug delivery mechanism
to treat ocular surface disorders. We believe that OcuNanoE™ provides additional protection to the ocular surface and the potential for enhanced efficacy compared to traditional formulations. OcuNanoE™ nanoemulsion was developed to decrease the drainage rate, prolong precorneal residence time and increase the drug concentration in the lacrimal gland, which is critical for tear film production. We are the first and only company to use nanoemulsion technology in the ophthalmology space.
We are headquartered in Malvern, Pennsylvania, and our common stock trades on The NASDAQ Capital Market (“Nasdaq”) under the symbol “OCGN.” On September 27, 2019, we completed our reverse merger with Ocugen OpCo Inc. (formerly known as Ocugen, Inc. (“Former Ocugen”)) in accordance with the terms of the Agreement and Plan of Merger and Reorganization, dated as of April 5, 2019, by and among Histogenics, Former Ocugen and Restore Merger Sub, Inc., a wholly owned subsidiary of Histogenics (“Merger Sub”), as amended (the “Merger Agreement”), pursuant to which Merger Sub merged with and into Former Ocugen, with Former Ocugen surviving as a wholly owned subsidiary of Histogenics (the “Merger”). Immediately after completion of the Merger, Histogenics changed its name to Ocugen, Inc. and the business conducted by Ocugen, Inc. became the business conducted by Former Ocugen.
OUR STRATEGY
Our product candidates have the potential to address unmet medical needs in both retinal and ocular surface diseases. We are committed to developing these product candidates and bringing them to market to serve patients. Key elements of the strategy we employ to accomplish this objective include:
•Establishing our modifier gene therapy platform and advancing OCU400 and OCU410 into clinical development. We intend to advance OCU400 and OCU410 into and through clinical development for the treatment of multiple IRDs and for the treatment of dry AMD, respectively. In addition to OCU400 and OCU410, we will also explore additional NHR-based product candidates for multiple eye disease indications.
•Advancing the development of OCU300 to approval. We have initiated Phase 3 registration trials using OCU300 as a first-in-class treatment for ocular redness and discomfort in patients with oGVHD. While the clinical trials are progressing and successful completion of such trials is a prerequisite for the submission of a New Drug Application (“NDA”) to the FDA, we have concurrently begun development of chemistry, manufacturing and controls (“CMC”) for OCU300, including process validation and stability studies of registration batches. OCU300 has been granted ODD, and accordingly it may be eligible for seven-year market exclusivity.
•Exploring potential partnerships with leading pharmaceutical and biotechnology companies to maximize patient access, global reach and the value of its product candidates. We currently plan to explore licensing the commercialization rights to our product candidates or other forms of collaboration with qualified potential partners in certain key markets outside of the United States, including Europe, Japan and emerging markets, including potentially partnering commercialization rights for OCU300. During 2019, we entered into a co-development commercialization agreement with CanSino Biologics Inc. ("CanSinoBIO") with respect to the development and commercialization of our initial gene therapy product candidate, OCU400.
•Advancing preclinical biological programs into clinical development. Within the next two years, we intend to advance OCU200, our product candidate targeting DME, DR and wet AMD into clinical development. This candidate is currently in preclinical development.
COMPETITIVE STRENGTHS
Our key competitive strengths include:
•Gene Therapy Manufacturing. We have established a strategic partnership with CanSinoBIO for CMC development and manufacturing of clinical supplies for our gene therapy candidate, OCU400. The partnership secures hard-to-find manufacturing capacity and expertise for gene therapy product development. This will help with the development timeline and significant reduction in associated costs.
•Intellectual Property Portfolio. We hold the worldwide commercial rights for our current product candidates. Our intellectual property portfolio contains patents and pending patent applications related to composition of matter, pharmaceutical compositions and methods of use for our product candidates, which have been licensed from leading institutions. We strive to protect the proprietary technology that we believe is important to our business, including seeking and maintaining patents for our product candidates and OcuNanoE™ platform. We have patent protection for OCU300 in the United States through at least 2036.
We seek to protect our proprietary and intellectual property positions by filing U.S. and foreign applications for our clinical program, OCU300, preclinical development programs, OCU400, and OCU200, as well as technology
platforms critical to the development and implementation of our business strategy. We have built a strong global patent portfolio with 34 U.S. or foreign issued patents and 30 patent applications, including patents licensed from The Schepens Eye Research Institute ("SERI"), the University of Colorado ("CU"), and the University of Illinois at Chicago ("UIC"). As of March 2020, we had exclusive rights or owned rights to: (i) three issued patents and 11 pending U.S. and foreign patent applications related to OCU300; (ii) one issued patent and four pending applications related to OCU400; and (iii) 25 issued U.S. and foreign patents and three pending patent applications related to OCU200.
•Licensing Arrangements with Leading Institutions. We have three licensing agreements with leading academic and medical institutions that cover our four product candidates. In December 2017, we entered into an exclusive worldwide license agreement with SERI, an affiliate of Harvard Medical School, pursuant to which we acquired patent rights for NHRs, including those used in our OCU400 and OCU410 programs. In March 2014, we entered into an exclusive worldwide license agreement with the CU pursuant to which we acquired rights to the transferrin-tumstatin fusion protein technology used in OCU200 as well as other technology. In February 2016, we entered into an exclusive worldwide license agreement with UIC pursuant to which we acquired rights develop brimonidine tartrate for the treatment of ocular surface diseases, which is the compound used in our OCU300 program.
•Experienced Management Team. Our management team has a combined experience of over 200 years with a proven track record of success in developing, launching and managing the life cycle of many biopharmaceuticals at leading pharmaceutical companies (including Pfizer and Merck) and biotechnology companies. We believe that the experience of our management team and our broad network of relationships with leaders within the industry and the medical community provides us with insight into product development and identification of product opportunities to address underserved eye diseases.
OUR PRODUCT CANDIDATE PIPELINE
Our current product pipeline candidates are summarized in the following chart:
PRODUCT CANDIDATE FOR THE TREATMENT OF OCULAR SURFACE DISEASES
OCU300 for the Treatment of Ocular Redness and Discomfort in Patients with oGVHD
OCU300 is a late-stage product candidate for which we have initiated a randomized, double-masked, placebo-controlled, Phase 3 trial for the treatment of ocular redness and discomfort in patients with oGVHD. There currently are no FDA-approved products for oGVHD. oGVHD is a severe chronic autoimmune disease that occurs in up to 60% of allogeneic HSCT recipients and represents a critical unmet medical need.
OCU300 is a twice-daily eye drop of brimonidine tartrate (0.18%) OcuNanoE™ nanoemulsion. OCU300 is sterile-filtered, preservative-free, and steroid-free, and it has been designed as such to avoid certain side effects. In addition to the existing ODD for oGVHD, we are eligible to utilize the streamlined Section 505(b)(2) regulatory pathway for the approval of OCU300 in the United States. We believe that the Section 505(b)(2) regulatory pathway provides us with a potential path to market by allowing us to rely on certain information from studies conducted by third parties. As of March 20, 2020, we have enrolled over 95% of the planned sample size into the first pivotal, Phase 3 trial of OCU300.
oGVHD is a disease driven by the invasion of HSCT-derived leukocytes onto the ocular surface, resulting in fibrosis and excessive production of extracellular matrix (“ECM”) proteins. The donor leukocytes subsequently launch an autoimmune assault on the tear-producing glands, cornea, conjunctiva and eyelid of the recipient. oGVHD can cause irreparable damage to these ocular tissues, thereby decreasing the secretion and stability of tear film. Prolonged inflammation can result in ocular pain and discomfort, corneal ulceration, cicatricial conjunctivitis, blepharitis, and vision loss.
In order to treat oGVHD, a viable product must have the ability to interrupt the pathological process of the disease, which can involve the local infiltration of inflammatory cells, the activation of leukocytes, fibrosis, the production of ECM proteins and the disruption of tear production. Brimonidine tartrate, which is approved for other ophthalmic indications, is an imidazoline compound that acts as a specific α2-adrenergic agonist. It has 1,000 times higher selectivity for α2-adrenergic receptors than α-1 adrenergic receptors. We believe brimonidine tartrate can treat oGVHD in the following ways:
•Reducing ocular surface blood flow,
•Disrupting leukocyte extravasation to the ocular tissue,
•Suppressing leukocyte activation,
•Providing analgesic properties, and
•Reducing fibrosis and suppressing excessive ECM protein formation.
By potentially attenuating autoimmune activity and inflammation, brimonidine tartrate may allow the ocular surface and tear film producing glands to avoid further atrophy and to heal from damage sustained during the HSCT pre-conditioning regimen. In addition, brimonidine tartrate may alleviate heightened ocular pain through its antinociceptive and anti-inflammatory properties, which in turn, may potentially make the drug more tolerable and more effective. Brimonidine tartrate is approved for other indications by the FDA and has demonstrated a favorable safety profile via topical ocular delivery.
Overview of Ocular Graft-versus-Host Disease
oGVHD, which occurs exclusively in allogeneic HSCT recipients, is recognized by the National Institutes of Health ("NIH") and clinical experts as a distinct organ manifestation of chronic graft-versus-host disease. oGVHD is driven by an autoimmune mechanism and initiates immediately after bone marrow transplant completion with the encroachment of autoimmune cells onto the ocular surface. HSCT-derived leukocytes (i.e., T lymphocytes and neutrophils) invade the ocular surface of allogeneic HSCT recipients, resulting in excessive production of ECM proteins, and fibrosis. The donor leukocytes subsequently launch an autoimmune assault on the recipient eye’s tear producing glands, cornea, conjunctiva, and eyelid. The disease typically affects all major ocular surface tear film glands (i.e., the lacrimal gland, conjunctiva, and meibomian gland), as well as the cornea.
If left untreated, oGVHD can cause irreparable ocular surface damage and significant vision loss, leading to an overall decrease in their quality of life. The disease is most commonly associated with severe dry eye signs and symptoms, including visual hazing, reduction in visual acuity, light sensitivity (referred to as photophobia), excessive ocular redness, foreign body sensation and heightened ocular pain. Of the clinical symptoms reported with oGVHD, ocular pain is the one that most severely impacts the quality of life. In fact, the pain scores in oGVHD patients are comparable to those of patients suffering from ocular chemical burns. In severe cases, oGVHD can cause lens opacification, significant corneal epithelium degeneration and melting, including the development of corneal ulcers and corneal perforation, and may require multiple corneal grafts or surgeries to improve visual acuity. Furthermore, patients with oGVHD have difficulties in performing both near-vision activities and distance-vision activities, both centrally and peripherally, and suffer from cases of vision-related mental health decline.
The majority of patients with oGVHD become disabled and are unable to work and have reduced social functioning. As a result, the disease is associated with a significant economic impact on both patients and society. It has been estimated that the combined direct medical costs (e.g., prescription therapy, procedures, physician visits) and indirect costs (e.g., lost wages/productivity) resulting from oGVHD in the United States aggregate to approximately $18,000 per patient per year.
Absence of Approved Treatments for oGVHD Provides a Market Opportunity
Up to 60% of patients that receive allogeneic HSCT in the United States are expected to develop oGVHD. We estimate the current prevalence of patients suffering from oGVHD in the United States to be approximately 63,000, which is anticipated to grow to approximately 140,000 patients by 2030. There are currently no FDA-approved drug products for the treatment of oGVHD.
Ongoing OCU300 Phase 3 Clinical Trials
As of March 20, 2020, we have enrolled over 95% of the planned sample size into the first registration trial for OCU300. We plan to conduct two identical trials. These studies will test OCU300 brimonidine tartrate (0.18%) OcuNanoE™ Ophthalmic Solution against placebo (ophthalmic buffered saline) for safety and efficacy in patients with oGVHD after 84 days of treatment. The study has two primary endpoints, ocular redness and ocular discomfort.
The pivotal trials have a planned sample size of approximately 60 patients in each study, randomized 2:1 (active: placebo). Subjects will be permitted to continue their existing ocular treatments. The trials are designed to measure the efficacy of OCU300 compared to placebo, dosed twice daily for approximately three months. After a baseline visit, patients will be observed during three additional visits, at Day 28, Day 56, and Day 84.
The co-primary endpoints of the Phase 3 trials are:
•Ocular redness based on a 100-point Validated Bulbar Redness scale measuring change in appearance from baseline to Day 84; and
•Ocular discomfort based on a 10-point Visual Analog Scale measuring change in intensity from baseline to Day 84. This scale is designed to capture the type of severe discomfort or pain often seen with oGVHD patients and has been validated as an assessment of pain intensity in multiple populations. Moreover, it has been recommended as the primary endpoint for use in clinical trials for chronic pain.
Severe ocular inflammation is a key factor in the pathogenesis oGVHD. Ocular inflammation, in turn, contributes to ocular redness and discomfort. As a result, ocular redness and discomfort are markers of inflammation in patients with oGVHD. By choosing ocular redness and ocular discomfort as co-primary endpoints, we are indirectly assessing brimonidine tartrate’s anti-inflammatory properties. In addition to its potential overall anti-inflammatory properties, brimonidine tartrate may have a direct effect on both ocular redness and discomfort. First, as an α2-adrenergic agonist, brimonidine tartrate may cause significant vasoconstriction leading to the reduction of blood flow to the ocular surface and thereby reducing redness. Second, brimonidine tartrate may act as an ocular analgesic by interrupting pain pathways. Brimonidine tartrate has been shown to significantly suppress the stimulation of pain receptors in the murine cerebral cortex by antagonizing the effects of norepinephrine and phenylephrine. Nociceptive neuron activation in ocular surface tissue is linked to elevated ocular pain, photophobia and ocular discomfort. Accordingly, we believe that a treatment that can reduce ocular redness (and hence inflammation) while relieving ocular discomfort would significantly enhance the quality of life for patients suffering from oGVHD.
We expect to have top-line data available from the first trial in the second half of 2020. We will meet with the FDA to discuss top-line results and finalize our regulatory strategy for approval. We will conduct a pharmacokinetics study on OCU300 before submitting an NDA to the FDA for product candidate approval.
Our Proprietary OcuNanoE—Ocugen’s ONE Platform™
We have core capabilities in ophthalmic drug delivery and plan to leverage our proprietary OcuNanoE™ nanoemulsion formulation to deliver drugs more efficiently to relevant ocular tissues. We believe that our proprietary drug delivery system is suitable for the delivery of drugs to the target tissues of the anterior segment of the eye for the treatment of ocular surface diseases such as oGVHD and dry eye disease ("DED"). OcuNanoE™ is also designed to provide protection to the ocular surface. Our proprietary OcuNanoE™ nanoemulsion formulation has shown positive results in preclinical studies and enhanced lacrimal gland drug distribution. It is manufactured as a sterile-filtered, preservative-free and steroid-free product, which is designed to avoid the side effects related to the use of steroids and preservatives.
We have applied this technology to create a nanoemulsion formulation of brimonidine tartrate, resulting in the development of OCU300. Data from a preclinical study suggests that brimonidine formulated with OcuNanoE™ may enhance drug distribution and penetration into the lacrimal gland, which is critical for tear film production. We believe this is significant given that approximately 90% of topical drugs applied to the anterior segment of the eye, such as eye drops, are lost into systemic
circulation. We also believe our technology may be leveraged to formulate additional active molecules and to treat additional ocular surface disorders.
We believe that our proprietary OcuNanoE™ formulation has the following attributes:
•Oil in water nanoemulsion;
•Capable of formulating water-soluble drug molecules in the aqueous portion of the nanoemulsion;
•Capable of formulating water insoluble (lipiphilic) drug molecules in the oil portion of the nanoemulsion;
•Capable of delivering drug molecules to ocular tissues based upon a preclinical study;
•Defined narrow range globules with average diameter of less than 100 nanometers;
•Capable of filter sterilization without having to use non-scalable processes and/or preservatives; and
•Suitable for commercial scale manufacturing.
As illustrated in Figure 1 below, tear film is composed of the inner mucin layer, the middle aqueous component and the outer lipid layer. The mucin layer is derived from goblet cells from the conjunctiva and lacrimal glands; the aqueous layer is derived from the lacrimal glands; and the lipid layer is derived from the meibomian glands. Since 90% of topical drugs applied to the anterior segment of the eye is lost into systemic circulation, the rest of the drug must reach a minimum threshold concentration in the target tissues, such as the lacrimal glands, conjunctiva and cornea, in order to exert the functional characteristics of the therapeutic. Therefore, treatment of diseases associated with the front of the eye, such as oGVHD, requires the stabilization of tear film and targeting the drug molecule at sufficient concentrations to the lacrimal functional unit which is primarily responsible for the tear film production and stability.
Figure 1 Tear film in Human Eye
Given the structure of tear film and the human eye, we believe that our formulation has several novel properties, which may enable it to improve drug distribution and penetration:
•it contains lipid components that may act as the lipid layer of the tear film both in its functional characteristics and its charge distribution;
•it may mimic the charge characteristics of mucin and glycocalyx components present in the inner mucin layer, thus, potentially allowing the drug molecules to be carried to the site of action without binding to the mucin layer; and
•it is a reproducible nanosized (less than 100 nanometers) emulsion which may enable the drug molecules to be transported through the interstitial cells to reach the specific target tissues.
In a DED mouse model study, we demonstrated that our nanoemulsion technology significantly reduced corneal epitheliopathy using brimonidine tartrate formulated with OcuNanoE™ as compared to brimonidine formulated without OcuNanoE™. While a significant portion of conventionally formulated ophthalmic drugs are rapidly eliminated via the tear film, we believe that our nanoemulsion technology is capable of achieving higher concentration on the surface of the eye, thereby potentially enabling the active drug substance to reach cells in the underlying ocular tissue at higher therapeutic levels.
As shown in Figure 2 below, the protective effect of OCU300 against corneal epithelial damage in comparison to brimonidine tartrate 0.2% is demonstrated in a mouse DED model. OCU300 showed statistically significant protection against corneal
epithelial cell damage in comparison to a commercial brimonidine tartrate solution (p<0.01). These results indicate that OCU300 may provide significantly better protection for corneal epithelial damage than placebo (vehicle) and a commercial brimonidine tartrate. The difference between OCU300 and brimonidine tartrate 0.2% provides support for the potential importance of its nanoemulsion formulation in contributing to the treatment of oGVHD. In addition, OCU300 significantly reduced the lacrimal gland pathology compared to the untreated control group (p<0.01). Goblet cell data, though not statistically significantly, showed a numerical improvement trend compared to the untreated control group.
Figure 2 Effect of OCU300 OcuNanoE™ against corneal epithelial damage in comparison to a commercial brimonidine tartrate using a mouse DED model. **P<0.01
In 2018, we completed a preclinical ocular distribution study in dutch-belted rabbits that analyzed the distribution of brimonidine tartrate after the topical treatment with OCU300 in comparison to a brimonidine tartrate 0.2% solution.
Figure 3 indicates brimonidine tartrate concentration in the lacrimal gland following a single dose with OCU300 versus brimonidine tartrate 0.2% solution. Dutch-belted rabbits were dosed with either OCU300 or a brimonidine tartrate 0.2% solution and the lacrimal glands were removed at various intervals of time and analyzed for the content of brimonidine tartrate. Results are represented as ng/g in the Y-axis. The preclinical study showed that, after a single dose, brimonidine tartrate levels in the dutch-belted rabbits were numerically higher for up to six hours in the group treated with OCU300 compared to brimonidine tartrate levels in the group treated with brimonidine tartrate 0.2% solution, which provides support for the relative increased distribution of OCU300 in the lacrimal gland.
Figure 3 Brimonidine tartrate content (ng/g) in the lacrimal gland after a single dose
administration of OCU300 versus brimonidine tartrate 0.2%
In summary, our data reported in the preclinical study supports the thesis that OCU300 distributes brimonidine tartrate to the lacrimal gland to a greater extent than a formulation without OcuNanoE™.
OCU310 for Dry Eye Disease
We were developing OCU310 for patients with DED, which is also formulated using OcuNanoE™. We completed a Phase 3 clinical trial for OCU310 in 2019. Although the trial showed that OCU310 is safe and well-tolerated, it did not meet its co-primary endpoints for symptom and sign. However, a pre-specified exploratory efficacy endpoint of reduction in redness (sign) from the baseline visit, measured by Validated Bulbar Redness score, was statistically significantly better for OCU310 relative to placebo at both Day 14 and Day 28. This is consistent with the mechanism of action of brimonidine tartrate as an α2-agonist with anti-inflammatory properties. We are no longer pursuing the development of this product candidate.
OUR MODIFIER GENE THERAPY PLATFORM AND GENE THERAPY PRODUCT CANDIDATES
We are developing OCU400, which has received ODD for both the treatment of NR2E3 mutation-associated retinal diseases and CEP290 mutation-associated retinal diseases. We plan to initiate a Phase 1/2a clinical trial of OCU400 for the treatment of NR2E3 mutation-associated retinal degenerative disease in 2021. OCU400 is the first product candidate being developed by us with our modifier gene therapy platform utilizing NHRs. We are also utilizing our modifier gene therapy platform for the development of OCU410, a product candidate designed to treat dry AMD.
Breakthrough Platform Therapy Based on Nuclear Hormone Receptors
NHRs have long been known to play a critical role in modulating cellular homeostasis by regulating basic biological processes including development, metabolism, circadian cycle, and energy homeostasis. Our modifier gene therapy platform is being designed to target NHRs, which have the potential to restore homeostasis to the retina and accordingly to provide therapeutic benefit to patients suffering from IRDs. Moreover, unlike single-gene replacement therapies, which only target one genetic mutation, we believe that our NHR-based approach represents a breakthrough modifier gene therapy platform that has the potential to restore retinal integrity and function across a range of genetically diverse IRDs and other degenerative retinal diseases, leading to multiple potential product opportunities. This approach has shown potential to rescue many genetic defects and may lead to vision-sparing therapies for rare IRDs including a broad spectrum of RP, as well as other forms of retinal and macular degeneration, providing us with significant potential long-term value.
NHR-based gene therapy platform encompasses the targeted delivery and expression of certain NHRs that are expressed naturally in retinal tissue. Preclinical studies conducted by Dr. Neena Haider and others have shown that NR2E3, a member of the NHR family, is a dual activator/repressor and that, with other transcription factors, modulates cell fate and differentiation of rod and cone photoreceptor cells in the eye (Figure 4). The delivery of Nr2e3 in a mouse, lacking a functional Nr2e3 gene, restored the retina structure and function. We believe that NR2E3 may partially or fully rescue photoreceptors, which are responsible for light detection in the retina, from degeneration in patients with IRDs and improve patients' vision.
Figure 4 Schematic representation of the potential mechanism
impacting NR2E3 retinal degeneration.
coR/coA—corepressor or coactivator; ESCS—Enhanced S-cone syndrome; GFS—Goldman Favre syndrome; adRP—autosomal dominant retinitis pigmentosa; rod photoreceptors in grey and cone photoreceptors are in blue, green, and red.
Dr. Haider’s lab at SERI, an affiliate of Harvard Medical School, and others have shown the preclinical phenotypic outcome results from a mutational load on a biological system that includes the primary mutation and other factors such as modifier alleles impacting the normal homeostatic state. The use of genetic modifiers represents a broadened means of potentially treating a variety of retinal degenerative diseases, as compared to single-gene replacement therapy. While single-gene
replacement therapies have shown tremendous promise in rare retinal diseases, they are highly specific and cannot improve a multitude of disease-causing genetic defects. On the other hand, NHRs play a vital role in regulating retinal cell development, maturation, metabolism, visual cycle function and survival (Figure 5).
Figure 5 Interacting NR2E3 and RORA Associated Gene Networks.
(a) IPA analysis of E18 targets identified nine gene networks with seven biological classifications. (b) IPA analysis of P30 targets identified nine gene networks with six biological classifications. Venn Diagrams show unique and overlapping gene targets of NR2E3 and RORA at E18 and P30. Comparisons of RORA E18/P30 or NR2E3 E18/P30 show less overlap than RORA/NR2E3 at E18 or RORA/NR2E3 at P30.
Disease outcome is a result of a primary mutation as well as modifier alleles. NR2E3 is a master regulator of several key pathways in retinal development and function. NR2E3 potentially prevents and reduces disease by resetting the homeostatic state of key gene networks in the presence of a primary mutation (Figure 6).
Figure 6 Schematic representation of potential NR2E3 mediated therapy.
NR2E3 potentially resets key gene networks that contribute to retinal degeneration in RP. RP—retinitis pigmentosa; PR—photoreceptor cells; Gene networks: M—Metabolism; I—Inflammation; O—oxidative stress; P—photoreceptor genes; S—cell survival.
In summary, NR2E3 regulates multiple transcriptional networks, such as cell survival, metabolism, inflammation and phototransduction, that impact retinal diseases, such as RP. It was also demonstrated preclinically that RORA offers a protective allele in AMD where loss of photoreceptor cells leads to blindness. NR2E3 regulates the expression of both NR1D1 and RORA. Thus, the nuclear receptors work in overlapping networks to modulate normal retinal development and function. These receptors impact gene expression of hundreds of genes and numerous networks and, as such, may be potent modifiers of retinal disease and degeneration.
NR2E3 Modifier Gene Therapy Demonstrated Efficacy in many IRD models
Efficacy of Nr2e3 was evaluated in five RP models: FVB-Pde6ß rd1/NJ (rd1), Rhodopsin null allele (Rho−/−), B6.129S6(Cg)-Rhotm1.1Kpal/J (RhoP23H), BXD24/TyJ-Cep290rd16/J (rd16) and Nr2e3rd7/J (rd7) following subretinal delivery. These models represent a heterogeneous group of RP diseases in humans and are relevant in establishing the modifier role of NR2E3. The effect of Nr2e3 gene therapy was evaluated at both early and late disease states in these animal models.
These animals were dosed with AAV8-Nr2e3 in the subretinal space at post-natal day 0 (P0) and evaluated at P30 (B6 and rd1) or P90-P120 (Rho−/−, RhoP23H, rd16, and rd7 ) using fundus imaging, electroretinogram ("ERG"), histology, and immunostaining of retinal layers. Considerable improvement was observed in the clinical phenotype for RhoP23H, rd16, and rd7 mice in fundus imaging, though not all models have a contrasting clinical phenotype (Figure 7). Further histological analyses of retinal sections demonstrated improvement in the integrity of the retinal layers, and overall anatomy and morphology of the retina in all of these models (Figure 8). Immunohistochemistry analyses of retina showed that Nr2e3 delivery enhanced the expression of opsin proteins (blue and green) in treated mice in all the models except rd7. In the rd7 model, the disease phenotype starts with a higher number of S-cone and a higher expression of opsin proteins. In this model, Nr2e3 treatments restored the physiological level of opsin proteins in photoreceptors (Figure 9) needed for normal vision. Similarly, treated animals showed improvement in retinal ERG signal, both in photopic (light-adapted) and scotopic (dark-adapted) conditions (Figure 10).
Figure 7: AAV8-Nr2e3 rescues clinical phenotype in multiple mouse models of RP. Fundus of P0 injected AAV8-Nr2e3 treated and untreated animals evaluated at P30 (B6 and rd1) or P90-P120 (Rho−/−, RhoP23H, rd16, and rd7). N = 7.
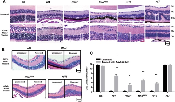
Figure 8: AAV8-Nr2e3 treatment preserves retinal morphology and retinal integrity in RP models. B6, rd1, Rho−/−, RhoP23H, rd16, and rd7 animals injected at P0, evaluated at P30 (B6 and rd1) or P90-P120 (Rho−/−, RhoP23H, rd16, and rd7). (a) Hematoxylin/eosin staining of AAV8-Nr2e3 treated and untreated retinas with white boxes indicating location of cell count. (b) Rescued and un-rescued regions in retinas treated with AAV8-Nr2e3. (c) Cell layer numbers of outer nuclear layer ("ONL") from AAV8-Nr2e3 treated and untreated animals in different RP models. Results are mean ± SEM. N = 7.

Figure 9: AAV8-Nr2e3 preserves cone and rod opsin expression in multiple mouse models of RP. Immunohistochemistry of P0 injected AAV8-Nr2e3 treated and untreated retinas labeled with green opsin, blue opsin and rhodopsin evaluated at P30 (rd1) or P90-P120 (Rho−/−, RhoP23H, rd16, and rd7) and B6 control (Left panel). Semiquantitative analysis of cell counts of blue and green opsin-positive photoreceptor cells per 100 μm (Right panels). Results are mean SEM. N = 7.
Figure 10: Improved ERG responses in AAV8-Nr2e3 treated RP retinas. (a) Scotopic and photopic ERG B-wave amplitudes were evaluated at P30 (rd1) or P90-P120 (Rho−/−, RhoP23H, and rd16) AAV8-Nr2e3 treated and untreated animals; B6 control ERGs shown. (b) Percent increase in ERG B-wave responses in the treated RP models. Results are mean ± SEM. N = 7.

The efficacy of Nr2e3 was also evaluated in these animal models at a late disease stage. AAV8-Nr2e3 was injected subretinally at P21 and evaluated 2–3 months post injection in Rho−/−, RhoP23H, rd16, and rd7 mice. Fundus imaging and histological analyses indicated a reduction in retinal degeneration in these models (Figure 11). The improvement in the rescue of retinal layers were between approximately 30% to 80% of the retina, depending on the delivery location and distribution of Nr2e3 following dosing. Approximately 3-5 layers of ONL cells were preserved in Nr2e3 treated animals compared with 0-1 layer for untreated animals. These ONL photoreceptors induce phototransduction in the retina and thereby initiate the vision process. Immunohistochemistry labeling showed enhanced expression of blue and green cone opsins and rhodopsin in photoreceptors of treated groups compared to untreated groups (Figure 12) suggesting preservation of photoreceptors with light absorbing opsins.
Figure 11: AAV8-Nr2e3 rescues RP degeneration after disease onset. Animals injected with AAV8-Nr2e3 at P21 and evaluated at 2–3 months post injection. (a) Fundus of Rho−/−, RhoP23H, rd16, and rd7. (b) Hematoxylin/eosin staining shows partial preservation of photoreceptor cells in treated mutant animals. (c) Cell layer numbers of ONL were compared between AAV8-Nr2e3 treated and untreated animals in the four RP models and B6 control. Results are mean SEM. N = 7.
Figure 12: AAV8-Nr2e3 rescues rod and cone opsin expression after disease onset. Animals were injected with AAV8-Nr2e3 at P21 and evaluated at 2–3 months after injection. Immunohistochemistry of green opsin, blue opsin and rhodopsin of treated and untreated animals in Rho−/−, RhoP23H, rd16, and rd7 (left panel). Semiquantitative analysis of cell counts of blue and green opsin-positive photoreceptor cells per 50 μm of the retina (right panels). Results are mean ± SEM. N = 7.
Safety of NR2E3 in Rodent Model
Safety of Nr2e3 was evaluated in healthy mice following subretinal administration. C57BL6/J (B6) mice were treated with AAV8-Nr2e3-GFP fusion construct at P0 and evaluated after seven days and one month for any toxic effect as well as expression of Nr2e3-GFP fusion protein in the retina. The expression of the Nr2e3 protein in a mouse retina did not show any detrimental effect on retinal cells, including photoreceptors (Figure 13). Also, there was no difference in retinal anatomy (as indicated by fundus), histology (cell layers), expression of opsin and rhodopsin proteins (immunohistochemistry) and retinal function (as indicated by ERG recording) between treated and untreated mice (Figure 13). Expression of EGFP-Nr2e3 fusion protein was observed at P30 in treated animals. These results confirm that overexpression of the Nr2e3 protein following subretinal injection of AAV8-Nr2e3 was well-tolerated and safe to the retina.
Figure 13: Overexpression of AAV8-Nr2e3 has no detrimental effects on the retina. B6 control AAV8-Nr2e3 treated animals show no abnormalities in a. Fundus, hematoxylin/eosin histology staining, and blue, green, and rhodopsin labeling of photoreceptor cells; and b ERG response of control B6 treated and untreated. Animals injected at P0, tissue collected at P30. c GFP label of AAV8-Nr2e3-GFP injected at P0, GFP expression assessed at P7 and P30. N = 5.
Overview of Inherited Retinal Diseases and Current Treatment Options
IRDs are caused by genetic mutations that are passed down within families and lead to progressive disease, severe visual impairment and blindness. Treating these conditions has been a significant challenge due to the sheer volume of potential therapeutic gene targets. Gene replacement therapy is a promising approach to provide a sustained restoration effect of normal retinal function for a mutated gene, but such therapies can only address one gene at a time, limiting their effectiveness. Developing a custom gene therapy for genetic defects in each of the more than 150 known gene defects linked to RP would not only be expensive but also may not be possible due to size, class, or localization that will impact delivery of the gene. Not all genes and disease expressions are amenable to gene therapy, and for the approximately 40% of patients whose genetic mutations remain unknown, there are few or no therapeutic options. Modifier gene therapy to ameliorate multiple forms of RP without requiring knowledge of the mutated gene, may provide a robust and feasible treatment for RP.
RP is a group of heterogeneous, pleiotropic IRDs that affect approximately one in every 4,000 individuals. It is associated with over 150 gene mutations that affect over 1.5 million individuals worldwide. Currently, there is no cure for RP and over 40% of RP cannot be genetically diagnosed. RP is heterogeneous and varies greatly in age of onset, rate of progression, and even genetic etiology, yet a common pathology of photoreceptor cell degeneration develops.
There is currently no approved treatment which slows or stops the progression of multiple forms of RP. Proposed treatments for RP include gene-replacement therapy, retinal implant devices, retinal transplantation, stem cells, vitamin therapy, and other pharmacological treatments. Gene-replacement therapies are promising but are limited to treating just a single mutation and therefore cannot address the multiple mutations implicated by RP. In addition, while gene therapies may provide a new functional gene, they do not necessarily eliminate the underlying genetic defect which may still cause stress and toxic effects. Therefore, the development of gene specific replacement therapy is highly challenging, especially when multiple and unknown genes are involved.
In addition to RP, no effective treatments are available for a large number of other retinal degenerative diseases including treatments specifically for dry AMD. AMD is a degeneration of the macula of the retina that leads to impairment and loss of central vision. AMD is characterized by thickening and loss of normal architecture within Bruch’s membrane, lipofuscin accumulation in the retinal pigment epithelium ("RPE"), and drusen formation beneath the RPE in Bruch’s membrane. These deposits consist of complement components, other inflammatory molecules, lipids, lipoproteins B and E, and glycoproteins. Dry AMD involves the slow deterioration of the retina with submacular drusen, atrophy, loss of macular function and central vision impairment.
As a result, there remains a significant unmet medical need for a treatment with application across multiple genetic forms of RP as well as other ocular degenerative diseases, such as dry AMD.
OCU400 for the Treatment of Retinitis Pigmentosa
OCU400 is the first product candidate being developed with our gene therapy platform. OCU400 is comprised of NR2E3, an NHR gene expressed in adeno-associated viral vector that has the potential to be used as a gene therapeutic not only for the treatment of retinal diseases associated with mutation in genes such as NR2E3, RHO, CEP290, and PDE6ß, but also other gene mutations associated with IRDs, including RP. To date, OCU400 has received ODD from the FDA for both the NR2E3 and CEP290 mutation-associated retinal disease indications.
We completed the preclinical studies in multiple animal models of RP using mouse NHR. Currently, human NHRs are being evaluated in these animal models representing various forms of human RP diseases using an adeno-associated viral vectors for subretinal delivery. In parallel, we have initiated the cGMP for production of drug product to commence Investigational New Drug Application ("IND") enabling non-clinical studies and clinical supplies to initiate a Phase1/2a clinical trial.
We had a pre-IND meeting with the FDA in February 2019 and received guidance on IND-enabling preclinical studies to support the Phase 1/2a study. We plan to initiate a Phase 1/2a clinical trial targeting NR2E3 mutation-associated retinal disease in 2021.
OCU410 for the Treatment of Dry Age-Related Macular Degeneration
We are developing OCU410 for the treatment of dry AMD, which is the second product candidate being developed with our modifier gene therapy platform using NHRs. This candidate is currently in preclinical development.
OCU410 utilizes an AAV vector for retinal delivery of RORA gene. Various genes associated with AMD are regulated by RORA. The RORA protein plays an important role in lipid metabolism and demonstrates an anti-inflammatory role, which we believe could be a potential therapeutic candidate for dry AMD. Dry AMD affects approximately nine to ten million patients in the United States and there is currently no approved treatment for the disease.
NOVEL BIOLOGIC PRODUCT CANDIDATE FOR RETINAL DISEASES
We have a biological preclinical program, OCU200 for the treatment of DME, DR and wet AMD. We have exclusively in-licensed a broad range of rights for this preclinical program.
OCU200 for the Treatment of Diabetic Macular Edema, Diabetic Retinopathy and Wet Age-Related Macular Degeneration
OCU200 is a biologic product candidate in preclinical development for treating severely sight-threatening diseases like DME, DR and wet AMD. Patients affected by these diseases share common symptoms, such as blurriness in vision and progressive vision loss. The formation of fragile and leaky new blood vessels leads to fluid accumulation in and around the retina, causing damage to vision. OCU200 is a novel fusion protein consisting of two human proteins, tumstatin and transferrin, that are already present normally in retinal tissues. OCU200 possesses unique features which enable it to (a) efficiently target leaky blood vessels, (b) regress the existing abnormal blood vessels, and (c) inhibit the growth of new blood vessels in the retina and choroid. Tumstatin, which acts as an anti-vascular endothelial growth factor ("VEGF"), anti-inflammatory and anti-oxidative agent, is the active component of OCU200. It binds to integrin receptors, which play a crucial role in disease pathogenesis. Transferrin facilitates the targeted delivery of tumstatin into the retina and choroid and potentially helps increase the interaction between tumstatin and integrin receptors.
OCU200 demonstrated efficacy in an in-vitro cell culture model where it inhibited in new vessel formation. In an animal model for DME and DR (Oxygen-induced retinopathy in mice), OCU200 demonstrated comparable efficacy at a significantly lower dose (10 µg/eye) compared to existing approved therapy (Evlea®, 40 µg/eye) in preventing disease manifestation and progression (Figure 14). In animal models for wet AMD (laser induced CNV in mice and rats), OCU200 demonstrated comparable or slightly better activity compared to anti-VEGF control groups in preventing the formation and growth of new leaky blood vessels and subsequent disease symptoms (Figure 14).
Figure 14 OCU200 Demonstrated Efficacy in Animal Models for DME, DR, and Wet-AMD.
OCU200 is currently in preclinical development for the treatment of DME, DR, and wet AMD and we plan to initiate a Phase 1/2 clinical trial within the next two years.
Overview of Diabetic Macular Edema, Diabetic Retinopathy, and Wet Age-Related Macular Degeneration, and Current Treatment Options
Diabetic macular edema and diabetic retinopathy are the most common vision threatening diseases occurring in diabetic patients. Excess blood sugar (glucose) in these patients causes damage to blood vessels in the retina and promotes the formation of leaky blood vessels. These leaky blood vessels secrete fluids in the retina and can cause retinal detachment, and vitreous hemorrhage leading to blindness. When this fluid accumulates in the macula region of the retina, the region primarily responsible for central and color vision, it can cause DME. Approximately 7.7 million people are affected with DR and approximately 0.7 million with DME in the United States. These numbers are expected to further increase as the number of diabetic patients increases, due to poor disease management and lifestyle-related changes.
Currently there are limited treatment options available for DR and DME patients and a significant unmet need for the development of safe and effective therapies. Current first-line treatments for DR and DME include laser photocoagulation, use of anti-VEGFs, and steroids which are sub-optimally active in these patients. Anti-VEGF therapy does not work effectively in approximately 50% of DME patients. Current therapies target only one pathway associated with DR and DME, either angiogenesis with anti-VEGF therapy or inflammation in case of steroid therapy. The development of a therapeutic which targets multiple causative pathways of DR and DME, such as angiogenesis, oxidation and inflammation, would offer the best treatment option for all of these patients. We believe that OCU200 possess unique characteristics to target these pathways and has the potential to offer better treatment options for all patients.
OCU200 also has the potential to represent a superior treatment option for patients suffering from wet-AMD. AMD is a degeneration of the macula of the retina that leads to impairment and loss of central vision. Wet AMD involves the growth of abnormal blood vessels under the retina and macula, resulting in edema, tissue damage and rapid loss of central vision. If untreated, neovascularization in wet AMD patients typically results in significant vision loss and the formation of a scar under the macular region of the retina. Most cases begin as dry AMD and may progress to wet AMD.
Wet AMD is a leading cause of blindness in people over the age of 55 in the United States and the European Union. The incidence of wet AMD increases substantially with age, and we expect that the number of cases of wet AMD will increase with the growth of the elderly population in the United States. It has been estimated that approximately 11.0 million patients in the United States have some form of AMD of which, approximately 1.1 million, or 10 percent, suffer from wet AMD. Approximately 200,000 new cases of wet AMD are diagnosed each year in the United States.
Current therapies for wet AMD focus on reducing new blood vessel formation (neovascularization) through the inhibition of a single key regulator, VEGF. Current FDA-approved therapeutics for wet AMD include intravitreal injection of either Lucentis® or Eylea®, which target VEGF. Bevacizumab (Avastin™), the parent antibody from which ranibizumab was derived, is also used as an off-label treatment. Though these products have been effective in mitigating the disease symptoms, they have substantial limitations as demonstrated in clinical studies. For example, a significant percentage of patients do not respond to
therapy and experience continuous deterioration of vision; long-term repeated dosing results in reduced effectiveness; and there remains a persistence of fluid in the subretinal space of 30-50% patients even after 1-2 years of treatment.
Given the above limitations of these existing treatments, we believe that a substantial unmet medical need still exists in these areas. OCU200 is designed to address the limitations of current therapies by targeting multiple mechanisms associated with ocular neovascularization and inflammation.
We may expand the therapeutic applications of OCU200 beyond DME, DR, and wet AMD, potentially to include macular edema following RVO and mCNV. These patients suffer from retinal/choroidal complications in the back of the eye which may have a sudden and debilitating impact on visual acuity, eventually leading to blindness. Although anti-VEGF therapeutics have been recently approved for the treatment of these retinal disorders, we believe that, similar to its application to DME, DR, and wet AMD, OCU200 has the potential to fill a significant unmet need for the treatment of RVO and mCNV.
COMPETITION
The biopharmaceutical industry, including gene therapy, is characterized by rapidly advancing technologies, intense competition and a strong emphasis on intellectual property. We face competition from many different sources, including large and specialty pharmaceutical and biotechnology companies, academic institutions, governmental agencies and public and private research institutions.
Competitors may include established, emerging, and growing companies. We are aware of several companies focusing on gene therapies for various indications, including Editas Medicine, Allergan, Inc., Adverum Biotechnologies, MeiraGTx, IVERIC bio, Inc., Applied Genetic Technologies Corporation and the Roche Group, which acquired Spark Therapeutics, Inc. Luxturna™ (Spark Therapeutics) is currently the only gene therapy approved for an IRD in the United States addressing only one out of 150 known mutations of the RPE65 gene. Companies that may compete with our OCU200 product candidate include the Roche Group, Regeneron Pharmaceuticals, Inc., and Novartis AG, which have marketed anti-VEGF products. We are also aware of other companies that are working on therapies for the whole eye, including Santen, Inc. and Ocular Therapeutix.
Many of our competitors, either alone or with strategic partners, will have significantly greater financial resources to support research and development, manufacturing, preclinical testing, and clinical trials, as well as regulatory and marketing efforts. These organizations also compete with us in recruiting and retaining qualified scientific and management personnel, establishing clinical trial sites, patient registration for clinical trials, and in acquiring technologies necessary for our programs. Smaller or early stage companies may also prove to be significant competitors, particularly through collaborative arrangements with large and established companies. Mergers and acquisitions in the pharmaceutical and biotechnology industries may result in even more resources being concentrated among a smaller number of our competitors.
We believe that the key competitive factors that will affect the development and commercial success of our product candidates are efficacy, safety and tolerability profile, convenience in dosing, product labeling, cost effectiveness, price, the level of generic competition and the availability of reimbursement from the government and other third-parties. Our commercial opportunity could be reduced or eliminated if our competitors develop and commercialize products that are safer, more effective, have fewer or less severe side effects, are more convenient or are less expensive than any products that we may develop. Our competitors may also obtain FDA or other regulatory approval for their products more rapidly than us. In addition, our ability to compete may be affected as insurers or other third-party payers seek to encourage the use of more cost-effective products.
MANUFACTURING
We utilize our in-house expertise and know-how to develop and scale up its manufacturing processes before these processes are transferred to third-party contract manufacturers and testing labs to understand and establish controls of critical process parameters and critical quality attributes. We also have personnel with deep product development experience who actively manage the third-party contract manufacturers producing OCU300, and other products that are in the development pipeline.
Our OCU300 product candidate (using our proprietary OcuNanoE™ nanoemulsion formulation) are currently manufactured at an established contract manufacturing facility located in the United States. The drug substance containing nanoemulsion is sterilized by 0.2-micron filtration and is filled into sterile single-use vials. The final process has been successfully scaled up to support commercial manufacturing. Labeling and packaging of vials also occurs at the same third-party manufacturer. Our third-party manufacturers and testing labs are subject to FDA inspections from time to time.
Commercial Supply Agreements for OCU300
We are currently working with third parties to finalize our commercial supply agreements and have negotiated an arrangement with a third-party manufacturer to supply brimonidine tartrate (drug substance). We intend to use the current third-party contract manufacturing organization to supply the commercial drug products, and to perform labeling and packaging activities for us. Similarly, we will continue to use current third-party testing labs for release and stability testing of our commercial products.
Clinical Supply Agreement for OCU400
On September 27, 2019, we entered into a co-development and commercialization agreement (the “CanSinoBIO Agreement”) with CanSinoBIO with respect to the development and commercialization of the gene therapy product candidate, OCU400, with respect to certain disease indications (the “Field”). The CanSinoBIO Agreement also grants CanSinoBIO an exclusive option (the “Option”) to obtain a non-exclusive license from us to manufacture Products (defined below) in the Field for commercial sale by us, subject to the terms of a supply agreement to be negotiated by us and CanSinoBIO upon CanSinoBIO’s exercise of the Option. CanSinoBIO will have an exclusive license under our intellectual property and intellectual property jointly developed by CanSinoBIO and us (the “Joint IP”) to develop, manufacture and commercialize products containing OCU400 (“Products”) in the Field in and for China, Hong Kong, Macau, and Taiwan (the “CanSinoBIO Territory”) and we will maintain exclusive development, manufacturing and commercialization rights under our intellectual property and have an exclusive license under the Joint IP with respect to Products in the Field in and for any global location outside the CanSinoBIO Territory (the “Ocugen Territory”). CanSino will be responsible for all costs for chemistry, manufacturing and control development and manufacture of clinical supplies of OCU400 for all territories. CanSinoBIO will be solely responsible for all costs and expenses of its development activities in the CanSinoBIO Territory and we will be responsible for all costs and expenses of its development activities in the Ocugen Territory. CanSinoBIO will pay us an annual royalty between mid to high single digits based on net sales of Products in the CanSinoBIO Territory, and we will pay to CanSinoBIO an annual royalty between low to mid-single digits based on net sales of Products in the Ocugen Territory.
LICENSE AGREEMENTS
We are a party to license agreements under which we licenses patents, patent applications, technical information and other intellectual property for OCU400, OCU410, OCU300 and OCU200. Certain diligence and financial obligations are tied to these agreements. We consider the following agreements to be material to our business.
License Agreement with University of Colorado
In March 2014, Former Ocugen entered into an exclusive license agreement with CU, which was amended in January 2017 and clarified by a letter of understanding in November 2017 (as so amended and clarified the “CU Agreement”). The CU Agreement gives us an exclusive, worldwide, sublicensable license to patents for OCU200 to make, have made, use, import, offer to sell, sell, have sold, and practice the licensed products in all therapeutic applications. Under the CU Agreement, we must use commercially reasonable efforts to develop, manufacture, sublicense, market and sell the licensed products.
Pursuant to the terms of the CU Agreement, we paid CU an initial fee of $26,179 and issued 0.1 million shares of common stock. Commencing in 2017, we pay CU an annual royalty payment. The CU Agreement also requires the payment of certain regulatory milestones, aggregating $1.5 million, and low single-digit percentage earned royalties on net sales and royalties in the mid-teens on sublicense income of OCU200.
The CU Agreement will expire on the later of the expiration date of the last to expire licensed patent or the end of any relevant statutory or regulatory exclusivity period. We may terminate the CU Agreement upon 60 days’ prior written notice. CU may terminate the CU Agreement upon 60 days’ notice if we fail to make payments within 60 days of such payment’s due date, breach and do not cure any diligence obligation, provide any materially false report or otherwise materially breach and do not cure any material provision of the CU Agreement.
License Agreement with University of Illinois at Chicago
In February 2016, Former Ocugen entered into an exclusive license agreement (the “UIC Agreement”) with UIC. This agreement gives us an exclusive, worldwide, non-transferable, sublicensable license to patents and patent rights for OCU300 to make, have made, use, import, sell, and offer for sale products claimed by and/or incorporating or derived from the licensed patents. Under this agreement, we must use commercially reasonable efforts to develop and bring products to market. Pursuant to the terms of the UIC Agreement, we paid UIC a signing fee of $15,000. Commencing in 2019, we also pay UIC an annual
minimum payment and reimburses UIC for reasonable documented patent costs and expenses. The UIC Agreement also requires the payment of certain regulatory and commercial milestones, aggregating $1.3 million and low single digits to low teens percentage royalties on annual net sales and sublicense revenues from products that fall under the licensed patent rights.
The UIC Agreement will expire on the later of the expiration date of the last to expire licensed patents, when we provide notice to UIC that use of the technical information has ceased or the end of any relevant statutory or regulatory exclusivity period. We may terminate the license upon 90 days’ prior written notice. UIC may terminate the UIC Agreement if we fail to make payments within thirty days of receiving a written notice of missed payment, breach any provision of the UIC Agreement and do not cure such breach within 30 days, breach any obligation under any other agreement between us and UIC and do not cure such breach within 45 days, make any materially false report, become bankrupt or insolvent, or take any action that causes a lien or encumbrance to be placed on the licensed patent rights or technical information.
License Agreement with The Schepens Eye Research Institute, Inc.
In December 2017, Former Ocugen entered into an exclusive license agreement (the “SERI Agreement”) with SERI. The SERI Agreement gives us an exclusive, worldwide, sublicensable license to patent rights, biological materials and technical information for nuclear hormone receptor genes NR1D1, NR2E3 (OCU400), RORA (OCU410), NUPR1, and NR2C1. Under the SERI Agreement, we may make, have made, use, offer to sell, sell and import licensed products.
Under this agreement, we must use commercially reasonable efforts to bring one or more licensed products to market as soon as reasonably practicable.
Pursuant to the terms of the SERI Agreement, we paid SERI an upfront fee of $39,681 to reimburse SERI for patent expenses prior to the effective date of the SERI Agreement and an initial license fee of $0.1 million. The SERI Agreement requires us to pay an annual license maintenance fee. The SERI Agreement also requires the payment of certain regulatory and commercial milestones, aggregating $16.1 million and low single-digit percentage royalties on annual net sales of products that fall under the licensed patent rights.
SERI maintains control of patent preparation, filing, prosecution and maintenance. After the first anniversary of the execution date of the SERI Agreement, we have the right, but not the obligation, to assume responsibility for and control of the prosecution and maintenance of the licensed patent rights, at our sole cost and expense. If we do not exercise this option, we must pay SERI’s out-of-pocket expenses related to the filing, prosecution and maintenance of the licensed patent rights. In the event that SERI decides to discontinue the prosecution or maintenance of the licensed patent rights, we have the right, but not the obligation, to file for, or continue to prosecute, maintain or enforce such licensed patent rights.
The SERI Agreement will expire on the expiration date of the last to expire licensed patents right. We may terminate the license upon 180 days’ prior written notice. SERI may immediately terminate the SERI Agreement if we cease to carry on our business with respect to the licensed patent rights, fail to make payments within thirty days of receiving a written notice of missed payment, fail to comply with our diligence obligations, default on our obligation to procure and maintain insurance, one of our officers is convicted of felony related to the licensed products, we breach any material obligation of the agreement and do not cure such breach within 90 days or if we become bankrupt or insolvent.
INTELLECTUAL PROPERTY
We have obtained patent protection for all of our product candidates. We intend to maintain and defend our patent rights to protect our technology, inventions, processes and improvements that are commercially important to the development of our business. We cannot be sure that any of our existing patents or patents that we obtain in the future will be commercially useful in protecting our technology, or that patents will be issued for any pending patent applications or patent applications that we file in the future. Our commercial success also depends in part on our non-infringement of the patents and proprietary rights of third parties.
As of March 2020, our patent portfolio included 34 U.S. or foreign issued patents and 30 patent applications, including those licensed from CU, UIC and SERI. Our intellectual property consists of issued patents and pending patent applications for compositions of matter and methods of use, as well as for product candidates and other proprietary technology, including our OcuNanoE™ technology. As of March 2020, we had exclusive rights or owned rights to: (i) three issued patents and 11 pending U.S. and foreign patent applications related to OCU300; (ii) one issued patent and four pending applications related to OCU400; and (iii) 25 issued U.S. and foreign patents and three pending patent applications related to OCU200.
In addition to patents, we may rely, in some circumstances, on trade secrets to protect our technology. However, trade secrets can be difficult to protect. We seek to protect our proprietary technology and processes, and obtain and maintain ownership of certain technologies, in part, by confidentiality and invention assignment agreements with its employees, consultants, scientific advisors and contractors. We also seek to preserve the integrity and confidentiality of our data and trade secrets by maintaining physical security of our premises and physical and electronic security of our information technology systems.
HISTORICAL HISTOGENICS ASSETS (NEOCART®)
Histogenics historically focused on the development of restorative cell therapies (“RCTs”), which term referred to a new class of products designed to offer patients rapid-onset pain relief and restored function through the repair of damaged or worn tissue. Histogenics’ product, NeoCart®, is an innovative cell therapy that utilizes various aspects of its RCT platform to treat tissue injury in the field of orthopedics, specifically cartilage damage in the knee. In December 2018, after receiving feedback from the FDA regarding the need for an additional clinical trial prior to submission of a Biologic License Application (“BLA”), Histogenics discontinued the development of NeoCart®.
License and Commercialization Agreement with MEDINET Co., Ltd.
In December 2017, Histogenics entered into the License and Commercialization Agreement with MEDINET Co., Ltd. (“MEDINET”) to grant MEDINET a license under certain patents, patent applications, know-how, and technology to develop and commercialize certain therapeutic products related to the NeoCart® program. As consideration for the granting of the license, MEDINET agreed to pay Histogenics a non-refundable upfront cash payment of $10.0 million which was received in January 2018. Based on the results of the NeoCart® research, Histogenics suspended the NeoCart® program. Subsequently, since MEDINET relied on the NeoCart® product to supply clinical trial patients, MEDINET suspended the development of its clinical trial. As of December 31, 2019, the contract with MEDINET was wholly unperformed. As a result of the expected sale of the NeoCart® asset, we do not expect to retain any future obligations related to the MEDINET agreement.
Medavate Asset Purchase Agreement
In connection with the Merger, on May 8, 2019, Histogenics entered into an asset purchase agreement (the “Asset Purchase Agreement”) with Medavate Corp., a Colorado corporation (“Medavate”), pursuant to which Histogenics agreed to sell substantially all of its assets relating to its NeoCart® program, including, without limitation, intellectual property, business and license agreements and clinical trial data in return for a cash payment of $6.5 million. On September 26, 2019, the parties entered into an amendment to the Asset Purchase Agreement whereby the closing date was amended to October 4, 2019. On October 4, 2019, the parties entered into a second amendment (the “Second Amendment”) to the Asset Purchase Agreement whereby the purchase price was increased to $7.0 million under the Asset Purchase Agreement and the closing date of the Asset Purchase Agreement was revised from October 4, 2019 to two business days after Medavate obtains financing in an amount no less than the purchase price (the “Closing Date”). The Second Amendment further provides that if the Closing Date does not occur on or prior to October 31, 2019, we may choose to terminate the Asset Purchase Agreement without recourse and, if we do not terminate the Asset Purchase Agreement, the purchase price shall increase 10% per month (or any portion thereof) between October 31, 2019 and the Closing Date. The Closing Date did not occur as of October 31, 2019 and we did not terminate the agreement. As of March 1, 2020, the purchase price has increased to $11.3 million.
NeoCart® Intellectual Property
As of March 2020, our intellectual property portfolio related to NeoCart® was composed of 18 issued patents and six patent applications in the United States that we own, and eight issued patents and one patent application in the United States that we license from academic institutions and business entities. We also have approximately 70 counterpart patent and patent applications owned or licensed in certain foreign jurisdictions.
GOVERNMENT REGULATION AND PRODUCT APPROVAL
Government authorities in the United States, at the federal, state, and local level, and in other countries, extensively regulate, among other things, the research, development, testing, approval, manufacture, packaging, storage, recordkeeping, labeling, advertising, promotion, distribution, marketing, sales, import, and export of biopharmaceutical and drug products such as those we are developing. In addition, labelers of biopharmaceutical and drug products (the entity owning the National Drug Code listed for a product) participating in Medicaid and Medicare are required to comply with mandatory price reporting, discount, rebate and other requirements. The processes for obtaining regulatory approvals in the United States and in foreign countries, along with compliance with applicable statutes and regulations, require the expenditure of substantial time and financial resources.
FDA Regulation
In the United States, the FDA regulates drug products under the Federal Food, Drug, and Cosmetic Act (“FDCA”) and its implementing regulations. In addition to the FDCA and its implementing regulations, biologic products are regulated under the Public Health Service Act (“PHSA”) and its implementing regulations. The process required by the FDA before product candidates may be marketed in the United States generally involves the following:
•completion of preclinical laboratory tests, animal studies, and formulation studies in compliance with the FDA’s Good Laboratory Practice (“GLP”) regulations;
•submission to the FDA of an IND, which must become effective before human clinical trials may begin at United States clinical trial sites;
•approval by an Institutional Review Board (“IRB”) for each clinical site, or centrally, before each trial may be initiated;
•adequate and well-controlled human clinical trials to establish the safety and efficacy, in the case of a drug product candidate, or safety, purity, and potency, in the case of a biologic product candidate for its intended use, performed in accordance with Good Clinical Practices (“GCPs”);
•development of manufacturing processes to ensure the product candidate’s identity, strength, quality, purity, and potency;
•submission to the FDA of a NDA, in the case of a drug product candidate, or BLA, in the case of a biologic product candidate;
•satisfactory completion of an FDA advisory committee review, if applicable;
•satisfactory completion of an FDA inspection of the manufacturing facility or facilities at which the products are produced to assess compliance with cGMPs, and to assure that the facilities, methods, and controls are adequate to preserve the therapeutics’ identity, strength, quality, purity, and potency as well as satisfactory completion of an FDA inspection of selected clinical sites, selected clinical investigators to determine GCP compliance; and payment of user fees and
•FDA review and approval of the NDA or BLA to permit commercial marketing for particular indications for use.
Preclinical Studies and IND Submission
The testing and approval process of product candidates requires substantial time, effort, and financial resources. Satisfaction of FDA pre-market approval requirements typically takes many years and the actual time required may vary substantially based upon the type, complexity, and novelty of the product or disease. Preclinical studies include laboratory evaluation of chemistry, pharmacology, toxicity, and product formulation, as well as animal studies to assess potential safety and efficacy. Such studies must generally be conducted in accordance with the FDA’s GLPs. Prior to commencing the first clinical trial at a United States investigational site with a product candidate, an IND sponsor must submit the results of the preclinical tests and preclinical literature, together with manufacturing information, analytical data, any available clinical data or literature, and proposed clinical study protocols among other things, to the FDA as part of an IND. In the case of drug product candidates for which the sponsor will seek marketing approval via a 505(b)(2) NDA application, some of the above information may be abbreviated or omitted.
An IND automatically becomes effective 30 days after receipt by the FDA, unless the FDA, within the 30-day time period, notifies the applicant of safety concerns or questions related to one or more proposed clinical trials and places the trial on a clinical hold. In such a case, the IND sponsor and the FDA must resolve any outstanding concerns before the clinical trial can begin. As a result, submission of an IND may not result in FDA authorization to commence a clinical trial. A separate submission to an existing IND must also be made for each successive clinical trial conducted during product development.
Clinical Trials
Clinical trials involve the administration of the investigational product to human subjects under the supervision of qualified investigators in accordance with federal regulations and GCP requirements, which include the requirements that all research subjects provide their informed consent in writing for their participation in any clinical trial, as well as review and approval of the study by an IRB. Investigators must also provide certain information to the clinical trial sponsors to allow the sponsors to make certain financial disclosures to the FDA. Clinical trials are conducted under protocols detailing, among other things, the objectives of the trial, the trial procedures, the parameters to be used in monitoring safety, the effectiveness criteria to be
evaluated, and a statistical analysis plan. A protocol for each clinical trial, and any subsequent protocol amendments, must be submitted to the FDA as part of the IND. If a product candidate is being investigated for multiple intended indications, separate INDs may also be required. In addition, an IRB at each study site participating in the clinical trial and/or a central IRB must review and approve the plan for any clinical trial, informed consent forms, and communications to study subjects before a study commences at that site. An IRB considers, among other things, whether the risks to individuals participating in the trials are minimized and are reasonable in relation to anticipated benefits, and whether the planned human subject protections are adequate. The IRB must continue to oversee the clinical trial while it is being conducted. Progress reports detailing the results of the clinical trials must also be submitted at least annually to the FDA and the IRB and more frequently if serious adverse events or other significant safety information is found.
The FDA may order the temporary, or permanent, discontinuation of a clinical trial at any time, or impose other sanctions, if it believes that the clinical trial either is not being conducted in accordance with FDA requirements or presents an unacceptable risk to the clinical trial patients. An IRB may also require the clinical trial at the site to be halted, either temporarily or permanently, for failure to comply with the IRB’s requirements or if the trial poses an unexpected serious harm to subjects. The FDA or an IRB may also impose conditions on the conduct of a clinical trial. Clinical trial sponsors may also choose to discontinue clinical trials as a result of risks to subjects, a lack of favorable results, or changing business priorities.
Information about certain clinical trials, including a description of the study and study results, must be submitted within specific timeframes to the NIH for public dissemination on their clinicaltrials.gov website. Sponsors or distributors of investigational products for the diagnosis, monitoring, or treatment of one or more serious diseases or conditions must also have a publicly available policy on evaluating and responding to requests for expanded access requests.
The manufacture of investigational drugs and biologics for the conduct of human clinical trials is subject to cGMP requirements. Investigational drugs and biologics and active ingredients and therapeutic substances imported into the United States are also subject to regulation by the FDA. Further, the export of investigational products outside of the United States is subject to regulatory requirements of the receiving country, as well as U.S. export requirements under the FDCA.
In general, for purposes of NDA and BLA approval, human clinical trials are typically conducted in three sequential phases, which may overlap or be combined.
•Phase 1—Studies are initially conducted in healthy human volunteers or subjects with the target disease or condition to test the product candidate for safety, dosage tolerance, structure-activity relationships, mechanism of action, absorption, metabolism, distribution, and excretion. If possible, Phase 1 trials may also be used to gain an initial indication of product effectiveness.
•Phase 2—Controlled studies are conducted in limited subject populations with a specified disease or condition to evaluate preliminary efficacy, identify optimal dosages, dosage tolerance and schedule, possible adverse effects and safety risks, and expanded evidence of safety.
•Phase 3—These adequate and well-controlled clinical trials are undertaken in expanded subject populations, generally at geographically dispersed clinical trial sites, to generate enough data to provide statistically significant evidence of clinical efficacy and safety of the product candidate for approval, to establish the overall risk-benefit profile of the product candidate, and to provide adequate information for the labeling of the product candidate. Typically, two Phase 3 trials are required by the FDA for product approval. Under some limited circumstances, however, the FDA may approve an NDA or BLA based upon a single Phase 3 clinical study.
Moreover, in the case of 505(b)(2) NDAs, the above studies may be abbreviated. Additional kinds of data may also help to support a BLA or NDA, such as patient experience data and real world evidence. Real world evidence may also be used to assist in clinical trial design or to support an NDA for already approved products. For genetically targeted products and variant protein targeted products intended to address an unmet medical need in one or more patient subgroups with a serious or life threatening rare disease or condition, the FDA may allow a sponsor to rely upon data and information previously developed by the sponsor or for which the sponsor has a right of reference, that was previously submitted to support an approved application for a product that incorporates or utilizes the same or similar genetically targeted technology or a product that is the same or utilizes the same variant protein targeted drug as the product that is the subject of the application.
The FDA may also require, or companies may conduct, additional clinical trials for the same indication after a product is approved. These so-called Phase 4 studies may be made a condition to be satisfied after approval. The results of Phase 4 studies can confirm or refute the effectiveness of a product candidate, and can provide important safety information.
Concurrent with clinical trials, companies usually complete additional animal studies and must also develop additional information about the chemistry and physical characteristics of the product candidate as well as finalize a process for manufacturing the product in commercial quantities in accordance with cGMP requirements. The manufacturing process must be capable of consistently producing quality batches of the product candidate and, among other things, manufacturers must develop methods for testing the identity, strength, quality, potency, and purity of the final product. Additionally, appropriate packaging must be selected and tested, and stability studies must be conducted to demonstrate that the product candidate does not undergo unacceptable deterioration over its shelf life.
There are also various laws and regulations regarding laboratory practices, the experimental use of animals, and the use and disposal of hazardous or potentially hazardous substances in connection with our research. In each of these areas, the FDA and other regulatory authorities have broad regulatory and enforcement powers, including the ability to levy fines and civil penalties, suspend or delay issuance of approvals, seize or recall products, and withdraw approvals.
Marketing Application Submission, Review by the FDA, and Marketing Approval
Assuming successful completion of the required clinical and preclinical testing, the results of product development, including chemistry, manufacture, and controls, non-clinical studies, and clinical trial results, including negative or ambiguous results, as well as positive findings, are all submitted to the FDA, along with the proposed labeling, as part of an NDA, in the case of a drug, or BLA, in the case of a biologic, requesting approval to market the product for one or more indications. In most cases, the submission of a marketing application is subject to a substantial application user fee. These user fees must be paid at the time of the first submission of the application, even if the application is being submitted on a rolling basis. Fee waivers or reductions are available in certain circumstances. One basis for a waiver of the application user fee is if the applicant employs fewer than 500 employees, including employees of affiliates, the applicant does not have an approved marketing application for a product that has been introduced or delivered for introduction into interstate commerce, and the applicant, including its affiliates, is submitting its first marketing application. Product candidates that are designated as orphan products, which are further described below, are also not subject to application user fees unless the application includes an indication other than the orphan indication.
In addition, under the Pediatric Research Equity Act ("PREA"), a BLA or NDA or supplement to a BLA or NDA for a new active ingredient, indication, dosage form, dosage regimen, or route of administration, must contain data that are adequate to assess the safety and effectiveness of the product for the claimed indications in all relevant pediatric subpopulations, and to support dosing and administration for each pediatric subpopulation for which the product is safe and effective. The FDA may, on its own initiative or at the request of the applicant, grant deferrals for submission of some or all pediatric data until after approval of the product for use in adults, or full or partial waivers from the pediatric data requirements. Orphan products are also exempt from the PREA requirements.
The FDA also may require submission of a risk evaluation and mitigation strategy (“REMS”) to ensure that the benefits of the product candidate outweigh the risks. The REMS plan could include medication guides, physician communication plans, and elements to assure safe use, such as restricted distribution methods, patient registries, or other risk minimization tools. An assessment of the REMS must also be conducted at set intervals. Following product approval, a REMS may also be required by the FDA if new safety information is discovered and the FDA determines that a REMS is necessary to ensure that the benefits of the product continue to outweigh the risks.
Once the FDA receives an application, it has 60 days to review the NDA or BLA to determine if it is substantially complete to permit a substantive review, before it accepts the application for filing. The FDA may request additional information. In this event, the application must be resubmitted with the additional information. The resubmitted application is also subject to review before the FDA accepts it for filing. Once the submission is accepted for filing, the FDA begins an in-depth substantive review.
Under the goals and policies agreed to by the FDA under the Prescription Drug User Fee Act (“PDUFA”), the FDA has set the review goal of completing its review of 90% of all applications for new molecular entities within ten months of the 60-day filing date. The FDA also has the review goal of completing its review of 90% of non-new molecular entity marketing applications within ten months of the agency’s receipt of the application. These review goals are referred to as the PDUFA date. The PDUFA date is only a goal, thus, the FDA does not always meet its PDUFA dates. The review process and the PDUFA date may also be extended if the FDA requests or the sponsor otherwise provides substantial additional information or clarification regarding the submission.
The FDA may also refer certain applications to an advisory committee. Before approving a product candidate for which no active ingredient (including any ester or salt of an active ingredients) has previously been approved by the FDA, the FDA must either refer that product candidate to an external advisory committee or provide in an action letter, a summary of the reasons
why the FDA did not refer the product candidate to an advisory committee. The FDA may also refer other product candidates to an advisory committee if FDA believes that the advisory committee’s expertise would be beneficial. An advisory committee is typically a panel that includes clinicians and other experts, which review, evaluate, and make a recommendation as to whether the application should be approved and under what conditions. The FDA is not bound by the recommendations of an advisory committee, but it considers such recommendations carefully when making decisions.
The FDA reviews applications to determine, among other things, whether a product candidate meets the agency’s approval standards and whether the manufacturing methods and controls are adequate to assure and preserve the product’s identity, strength, quality, potency, and purity. Before approving a marketing application, the FDA typically will inspect the facility or facilities where the product is manufactured, referred to as a Pre-Approval Inspection. The FDA will not approve an application unless it determines that the manufacturing processes and facilities, including contract manufacturers and subcontractors, are in compliance with cGMP requirements and adequate to assure consistent production of the product within required specifications. Additionally, before approving a marketing application the FDA will inspect one or more clinical trial sites to assure compliance with GCPs.
After evaluating the marketing application and all related information, including the advisory committee recommendation, if any, and inspection reports regarding the manufacturing facilities and clinical trial sites, the FDA may issue an approval letter, or, in some cases, a Complete Response Letter (“CRL”). A CRL indicates that the review cycle for the application is complete and the application is not ready for approval. It also describes all of the specific deficiencies that the FDA identified. A CRL generally contains a statement of specific conditions that must be met in order to secure final approval of the marketing application, and may require additional clinical or preclinical testing in order for the FDA to reconsider the application. The deficiencies identified may be minor, for example, requiring labeling changes; or major, for example, requiring additional clinical trials. If a CRL is issued, the applicant may either: resubmit the marketing application, addressing all of the deficiencies identified in the letter; withdraw the application; or request an opportunity for a hearing. The FDA has the goal of reviewing 90% of application resubmissions following a CRL in either two or six months of the resubmission date, depending on the kind of resubmission. Even with submission of this additional information, the FDA ultimately may decide that the application does not satisfy the regulatory criteria for approval. If and when those conditions have been met to the FDA’s satisfaction, the FDA may issue an approval letter. An approval letter authorizes commercial marketing of the product with specific prescribing information for specific indications.
Even if the FDA approves a product, it may limit the approved indications or populations for use of the product, require that contraindications, warnings, or precautions be included in the product labeling, including a boxed warning, require that post-approval studies, including Phase 4 clinical trials, be conducted to further assess a product’s safety and efficacy after approval, require testing and surveillance programs to monitor the product after commercialization, or impose other conditions, including distribution restrictions or other risk management mechanisms under a REMS which can materially affect the potential market and profitability of the product. The FDA may also not approve label statements that are necessary for successful commercialization and marketing.
After approval, some types of changes to the approved product, such as adding new indications, manufacturing changes, and additional labeling claims, are subject to further testing requirements and FDA review and approval. The FDA may also withdraw the product approval if compliance with the pre- and post-marketing regulatory standards are not maintained or if problems occur after the product reaches the marketplace. Further, should new safety information arise, additional testing, product labeling changes, or FDA notification may be required.
505(b)(2) New Drug Applications and the Hatch-Waxman Act
Section 505 of the FDCA describes three types of marketing applications that may be submitted to the FDA to request marketing authorization for a new drug. A Section 505(b)(1) NDA is an application that contains full reports of investigations of safety and efficacy. A 505(b)(2) NDA is an application that contains full reports of investigations of safety and efficacy but where at least some of the information required for approval comes from investigations that were not conducted by or for the applicant and for which the applicant has not obtained a right of reference or use. This regulatory pathway enables the applicant to rely, in part, on the FDA’s prior findings of safety and efficacy for an existing product, or published literature, in support of its application. Section 505(j) establishes an abbreviated approval process for a generic version of approved drug products through the submission of an Abbreviated New Drug Application (“ANDA”). An ANDA provides for marketing of a generic drug product that has the same active ingredients, dosage form, strength, route of administration, labeling, performance characteristics and intended use to a previously approved product. ANDAs are termed “abbreviated” because they are generally not required to include preclinical (animal) and clinical (human) data to establish safety and efficacy. Instead, generic applicants must scientifically demonstrate that their product is bioequivalent to, or performs in the same manner as, the innovator drug through in vitro, in vivo, or other testing. The generic version must deliver the same amount of active ingredients to the site of
action in the same amount of time as the innovator drug and can often be substituted by pharmacists under prescriptions written for the reference listed drug.
In seeking approval for a drug through an NDA, applicants are required to list with the FDA each patent with claims that cover the applicant’s drug or a method of using the drug, as reflected in the NDA. Upon approval of a drug, each of the patents listed in the application for the drug is published in the FDA’s list of Approved Drug Products with Therapeutic Equivalence Evaluations, commonly known as the Orange Book. Drugs listed in the Orange Book can, in turn, be cited by potential competitors in support of approval of an ANDA or 505(b)(2) NDA.
Upon submission of an ANDA or a 505(b)(2) NDA, an applicant must certify to the FDA that (1) no patent information has been submitted to the FDA; (2) such patent has expired; (3) the date on which such patent expires; or (4) such patent is invalid or will not be infringed upon by the manufacture, use or sale of the drug product for which the application is submitted. Generally, the ANDA or 505(b)(2) NDA cannot be approved until all listed patents have expired, except where the ANDA or 505(b)(2) NDA applicant challenges a listed patent through the last type of certification, also known as a paragraph IV certification. If the applicant does not challenge the listed patents or does not indicate that it is not seeking approval of a patented method of use, the ANDA or 505(b)(2) NDA application approval will not be made effective until all of the listed patents claiming the referenced product have expired.
If the ANDA or 505(b)(2) NDA applicant has provided a paragraph IV certification to the FDA, the applicant must send notice of the certification to the NDA and patent holders. The NDA and patent holders may then initiate a patent infringement lawsuit in response to the notice of the paragraph IV certification, in which case the FDA may not make an approval effective until the earlier of 30 months from the patent or application owner’s receipt of the notice of the paragraph IV certification, the expiration of the patent, when the infringement case concerning each such patent is favorably decided in the applicant’s favor or settled, or such shorter or longer period as may be ordered by a court. This prohibition is generally referred to as the 30-month stay. In instances where an ANDA or 505(b)(2) NDA applicant files a paragraph IV certification, the NDA holder or patent owner(s) regularly take action to trigger the 30-month stay. Thus, approval of an ANDA or 505(b)(2) NDA could be delayed for a significant period of time depending on the patent certification the applicant makes and the reference drug sponsor’s decision to initiate patent litigation.
The Hatch-Waxman Act establishes periods of regulatory exclusivity for certain approved drug products, during which the FDA cannot accept an ANDA or 505(b)(2) application that relies on the branded reference drug or make an approval of such a product effective. For example, the holder of an NDA, including a 505(b)(2) NDA, may obtain five years of exclusivity upon approval of a new drug containing new chemical entities that have not been previously approved by the FDA. A drug is a new chemical entity if the FDA has not previously approved any other new drug containing the same active moiety, which is the molecule or ion, excluding appended portions that cause the drug to be an ester, salt, or other noncovalent derivative, responsible for the therapeutic activity of the drug substance. During the exclusivity period, the FDA may not accept for review an ANDA or a 505(b)(2) NDA submitted by another company that contains the previously approved active moiety. However, an ANDA or 505(b)(2) NDA may be submitted after four years if it contains a certification of patent invalidity or non-infringement.
The Hatch-Waxman Act also provides three years of marketing exclusivity to the holder of an NDA (including a 505(b)(2) NDA) for a particular condition of approval, or change to a marketed product, such as a new indication or formulation for a previously approved product, if one or more new clinical studies (other than bioavailability or bioequivalence studies) was essential to the approval of the application and was conducted/sponsored by the applicant. This three-year exclusivity period protects against the FDA making an ANDA and 505(b)(2) NDA approval effective for the condition of the new drug’s approval. As a general matter, the three-year exclusivity does not prohibit the FDA from approving ANDAs or 505(b)(2) NDAs for generic or modified versions of the original, unmodified drug product. Five-year and three-year exclusivity will not delay the submission or approval of a full NDA; however, an applicant submitting a full NDA would be required to conduct or obtain a right of reference to all of the preclinical studies and adequate and well-controlled clinical trials necessary to demonstrate safety and efficacy.
Biosimilars and Exclusivity
The Biologics Price Competition and Innovation Act of 2009 creates an abbreviated approval pathway for biological products shown to be highly similar to or interchangeable with an FDA-licensed reference biological product. Biosimilarity sufficient to reference a prior FDA-approved product requires a high similarity to the reference product notwithstanding minor differences in clinically inactive components, and no clinically meaningful differences between the biological product and the reference product in terms of safety, purity, and potency. Biosimilarity must be shown through analytical studies, animal studies, and at least one clinical trial, absent a waiver by the FDA. There must be no difference between the reference product and a biosimilar
in mechanism of action, conditions of use, route of administration, dosage form, and strength. A biosimilar product may be deemed interchangeable with a prior approved product if it meets the higher hurdle of demonstrating that it can be expected to produce the same clinical results as the reference product and, for products administered multiple times, the biologic and the reference biologic may be switched after one has been previously administered without increasing safety risks or risks of diminished efficacy relative to exclusive use of the reference biologic.
A reference biologic is granted 12 years of exclusivity from the time of first licensure, and no application for a biosimilar can be submitted for four years from the date of licensure. However, certain changes and supplements to an approved BLA, and subsequent applications filed by the same sponsor, manufacturer, licensor, predecessor in interest, or other related entity do not qualify for the twelve-year exclusivity period. The PHSA also includes provisions to protect reference products that have patent protection. The biosimilar product sponsor and reference product sponsor may exchange certain patent and product information for the purpose of determining whether there should be a legal patent challenge. Based on the outcome of negotiations surrounding the exchanged information, the reference product sponsor may bring a patent infringement suit and injunction proceedings against the biosimilar product sponsor. The biosimilar applicant may also be able to bring an action for declaratory judgment concerning the patent.
Pediatric Exclusivity
Pediatric exclusivity is another type of non-patent marketing exclusivity in the United States and, if granted, provides for the attachment of an additional six months of marketing protection to the term of any existing regulatory exclusivity for both drugs and biologics, and also Orange Book listed patents in the case of drugs. Conditions for exclusivity include the FDA's determination that information relating to the use of a new drug in the pediatric population may produce health benefits in that population, the FDA making a written request for pediatric studies, and the applicant agreeing to perform and reporting on the requested studies within the statutory timeframe.
Orphan Products
The Orphan Drug Act provides incentives for the development of products for rare diseases or conditions. Specifically, sponsors may apply for and receive ODD if a product candidate is intended to treat rare diseases or conditions, which generally are diseases or conditions affecting less than 200,000 individuals in the United States, or affecting more than 200,000 in the United States and for which there is no reasonable expectation that the cost of developing and making the product available in the United States will be recovered from United States sales. ODD must be requested before submitting an NDA. Additionally, sponsors must present a plausible hypothesis for clinical superiority to obtain ODD if there is a product already approved by the FDA that that is considered by the FDA to be the same as the already approved product and is intended for the same indication. This hypothesis must be demonstrated to obtain orphan exclusivity. If granted, prior to product approval, ODD entitles a party to financial incentives such as opportunities for grant funding towards clinical study costs, tax advantages, and certain user-fee waivers. The tax advantages, however, were limited in the 2017 Tax Cuts and Jobs Act. In addition, if a product candidate receives FDA approval for the indication for which it has ODD, the product is generally entitled to orphan exclusivity, which means the FDA may not approve any other application to market the same product for the same indication for a period of seven years, except in limited circumstances, such as a showing of clinical superiority over the product with orphan exclusivity. After the FDA grants ODD, the generic identity of the drug and its potential orphan use are disclosed publicly by the FDA. ODD does not convey any advantage in, or shorten the duration of, the regulatory review and approval process. The first NDA applicant to receive FDA approval for a particular active moiety to treat a particular disease with FDA Orphan Drug designation is entitled to a seven-year exclusive marketing period in the U.S. for that product, for that indication. During the seven-year exclusivity period, the FDA may not approve any other applications to market the same drug for the same disease, except in limited circumstances, such as a showing of clinical superiority to the product with Orphan Drug exclusivity by means of greater effectiveness, greater safety, or providing a major contribution to patient care. Orphan drug exclusivity does not prevent the FDA from approving a different drug for the same disease or condition, or the same drug for a different disease or condition. Among the other benefits of ODD are tax credits for certain research and a waiver of the NDA application user fee.
Patent Term Restoration
If approved, drug and biologic products may also be eligible for periods of U.S. patent term restoration. If granted, patent term restoration extends the patent life of a single unexpired patent, that has not previously been extended, for a maximum of five years. The total patent life of the product with the extension also cannot exceed fourteen years from the product’ approval date. Subject to the prior limitations, the period of the extension is calculated by adding half of the time from the effective date of an IND to the initial submission of a marketing application, and all of the time between the submission of the marketing application and its approval. This period may also be reduced by any time that the applicant did not act with due diligence.
Special FDA Expedited Review and Approval Programs
The FDA has various programs that are intended to expedite or simplify the process for the development and FDA review of certain products that are intended for the treatment of serious or life threatening diseases or conditions, and demonstrate the potential to address unmet medical needs or present a significant improvement over existing therapy. The purpose of these programs is to provide important new therapeutics to patients earlier than under standard FDA review procedures.
To be eligible for a Fast Track designation, the FDA must determine, based on the request of a sponsor, that a product candidate is intended to treat a serious or life threatening disease or condition and demonstrates the potential to address an unmet medical need. If Fast Track designation is obtained, sponsors may be eligible for more frequent development meetings and correspondence with the FDA. In addition, the FDA may initiate review of sections of an application before the application is complete. This “rolling review” is available if the applicant provides and the FDA approves a schedule for the remaining information. Whether FDA is able to commence its review of portions of an application, however, before receipt of the complete submission, depends on a number of factors. In some cases, a Fast Track product may be eligible for accelerated approval or priority review.
The FDA may give a priority review designation to product candidates that are intended to treat serious conditions and, if approved, would provide significant improvements in the safety or effectiveness of the treatment, diagnosis, or prevention of the serious condition. A priority review means that the goal for the FDA is to review an application within six months, rather than the standard review of ten months under current PDUFA guidelines.
Drug or biological products studied for their safety and effectiveness in treating serious or life-threatening illnesses and that provide meaningful therapeutic benefit over existing treatments may receive accelerated approval, which means the FDA may approve the product based upon a surrogate endpoint that is reasonably likely to predict clinical benefit, or on a clinical endpoint that can be measured earlier than irreversible morbidity or mortality, that is reasonably likely to predict an effect on irreversible morbidity or mortality or other clinical benefit, taking into account the severity, rarity, or prevalence of the condition and the availability or lack of alternative treatments. A drug or biologic candidate approved on this basis is subject to rigorous post-marketing compliance requirements, including the completion of Phase 4 or post-approval clinical trials to confirm the effect of the product. Failure to conduct required post-approval studies, or confirm a clinical benefit during post-marketing studies, will allow the FDA to withdraw the drug or biologic from the market on an expedited basis. All promotional materials for drug or biologic candidates approved under accelerated regulations are subject to prior review by the FDA.
Under the provisions of the Food and Drug Administration Safety and Innovation Act, enacted in 2012, a sponsor can request designation of a product candidate as a “breakthrough therapy.” A breakthrough therapy is defined as a product that is intended, alone or in combination with one or more other products, to treat a serious or life-threatening disease or condition, and preliminary clinical evidence indicates that the product may demonstrate substantial improvement over existing therapies on one or more clinically significant endpoints, such as substantial treatment effects observed early in clinical development. Products designated as breakthrough therapies are eligible for intensive guidance on an efficient development program beginning as early as Phase 1 trials, a commitment from the FDA to involve senior managers and experienced review staff in a proactive collaborative and cross-disciplinary review, rolling review, and the facilitation of cross-disciplinary review.
Even if a product qualifies for one or more of these programs, the FDA may later decide that the product no longer meets the conditions for qualification or decide that the time period for FDA review or approval will not be shortened.
Post-approval Requirements
Any products manufactured or distributed pursuant to FDA approvals are subject to pervasive and continuing regulation by the FDA, including, among other things, requirements related to manufacturing, recordkeeping, and reporting, including adverse experience reporting, deviation reporting, shortage reporting, and periodic reporting, product sampling and distribution, advertising, marketing, promotion, certain electronic records and signatures, and post-approval obligations imposed as a condition of approval, such as Phase 4 clinical trials, REMS, and surveillance to assess safety and effectiveness after commercialization.
After approval, most changes to the approved product, such as adding new indications or other labeling claims are subject to prior FDA review and approval. There also are continuing annual program user fee requirements for approved products, excluding orphan products. In addition, manufacturers and other entities involved in the manufacture and distribution of approved therapeutics are required to register their establishments with the FDA and certain state agencies, list their products, and are subject to periodic announced and unannounced inspections by the FDA and these state agencies for compliance with cGMP and other requirements. Manufacturers must continue to expend time, money, and effort in the areas of production and
quality-control to maintain compliance with cGMPs. Regulatory authorities may undertake regulatory enforcement action, withdraw product approvals, require label modifications, or request product recalls, among other actions, if a company fails to comply with regulatory standards, if it encounters problems following initial marketing, or if previously unrecognized problems are subsequently discovered.
Changes to the manufacturing process are strictly regulated and often require prior FDA approval or notification before being implemented. FDA regulations also require investigation and correction of any deviations from cGMP and specifications, and impose reporting and documentation requirements upon the sponsor and any third-party manufacturers that the sponsor may decide to use. Accordingly, manufacturers must continue to expend time, money, and effort in the area of production and quality control to maintain cGMP compliance.
The FDA also strictly regulates marketing, labeling, advertising, and promotion of products that are placed on the market. A company can make only those claims relating to a product that are approved by the FDA. Physicians, in their independent professional medical judgment, may prescribe legally available products for unapproved indications that are not described in the product’s labeling and that differ from those tested and approved by the FDA. Biopharmaceutical companies, however, are required to promote their products only for the approved indications and in accordance with the provisions of the approved label. The FDA and other agencies actively enforce the laws and regulations prohibiting the promotion of off-label uses, and a company that is found to have improperly promoted off-label uses may be subject to significant liability, including, but not limited to, criminal and civil penalties under the FDCA and False Claims Act ("FCA"), exclusion from participation in federal healthcare programs, mandatory compliance programs under corporate integrity agreements, suspension and debarment from government contracts, and refusal of orders under existing government contracts.
In addition, the distribution of prescription biopharmaceutical samples is subject to the Prescription Drug Marketing Act, (“PDMA”), which regulates the distribution of samples at the federal level. Both the PDMA and state laws limit the distribution of prescription biopharmaceutical product samples and impose requirements to ensure accountability in distribution. Free trial or starter prescriptions provided through pharmacies are also subject to regulations under the Medicaid Drug Rebate Program and potential liability under anti-kickback and false claims laws.
Moreover, the enacted Drug Quality and Security Act imposes obligations on sponsors of biopharmaceutical products related to product tracking and tracing. Among the requirements of this legislation, sponsors are required to provide certain information regarding the products to individuals and entities to which product ownership is transferred, are required to label products with a product identifier, and are required to keep certain records regarding the product. The transfer of information to subsequent product owners by sponsors is also required to be done electronically. Sponsors must also verify that purchasers of the sponsors’ products are appropriately licensed. Further, under this legislation, manufactures have product investigation, quarantine, disposition, and notification responsibilities related to counterfeit, diverted, stolen, and intentionally adulterated products that would result in serious adverse health consequences or death to humans, as well as products that are the subject of fraudulent transactions or which are otherwise unfit for distribution such that they would be reasonably likely to result in serious health consequences or death. Similar requirements additionally are and will be imposed through this legislation on other companies within the biopharmaceutical product supply chain, such as distributors and dispensers, as well as certain sponsor licensees and affiliates.
Later discovery of previously unknown problems with a product, including adverse events of unanticipated severity or frequency, or with manufacturing processes, or failure to comply with regulatory requirements, may result in significant regulatory actions. Such actions may include refusal to approve pending applications, license or approval suspension or revocation, imposition of a clinical hold or termination of clinical trials, warning letters, untitled letters, cyber letters, modification of promotional materials or labeling, provision of corrective information, imposition of post-market requirements including the need for additional testing, imposition of distribution or other restrictions under a REMS, product recalls, product seizures or detentions, refusal to allow imports or exports, total or partial suspension of production or distribution, FDA debarment, injunctions, fines, consent decrees, corporate integrity agreements, suspension and debarment from government contracts, and refusal of orders under existing government contracts, exclusion from participation in federal and state healthcare programs, restitution, disgorgement, or civil or criminal penalties, including fines and imprisonment, and adverse publicity, among other adverse consequences.
Additional controls for biologics
To help reduce the increased risk of the introduction of adventitious agents, the PHSA emphasizes the importance of manufacturing controls for products whose attributes cannot be precisely defined. The PHSA also provides authority to the FDA to immediately suspend licenses in situations where there exists a danger to public health, to prepare or procure products
in the event of shortages and critical public health needs, and to authorize the creation and enforcement of regulations to prevent the introduction or spread of communicable diseases in the United States and between states.
After a BLA is approved, the product may also be subject to official lot release as a condition of approval. As part of the manufacturing process, the manufacturer is required to perform certain tests on each lot of the product before it is released for distribution. If the product is subject to official release by the FDA, the manufacturer submits samples of each lot of product to the FDA together with a release protocol showing the results of all of the manufacturer’s tests performed on the lot. The FDA may also perform certain confirmatory tests on lots of some products before releasing the lots for distribution by the manufacturer.
In addition, the FDA conducts laboratory research related to the regulatory standards on the safety, purity, potency, and effectiveness of biological products.
Gene therapy products are also subject to the NIH Guidelines for Research Involving Recombinant or Synthetic Nucleic Acid Molecules, which require, among other things, that trials involving recombinant or synthetic nucleic acid molecules be reviewed by an Institutional Biosafety Committee (“IBC”). The IBC reviews, approves, and supervises research involving recombinant or synthetic nucleic acid molecules.
In addition to the regulations discussed above, there are a number of additional standards that apply to clinical trials involving the use of gene therapy. The FDA has issued various guidance documents regarding gene therapies, which outline additional factors that the FDA will consider during product development. By example, the FDA recommends that sponsors observe subjects for potential gene therapy-related delayed adverse events for a prolonged period of time.
Fraud and Abuse, Data Privacy and Security, and Transparency Laws and Regulations
Our business activities, including but not limited to, research, marketing, sales, promotion, distribution, medical education, and other activities following product approval will be subject to regulation by numerous federal and state regulatory and law enforcement authorities in the United States in addition to the FDA, including potentially the Department of Justice, the Department of Health and Human Services and its various divisions, including the Centers for Medicare and Medicaid Services (“CMS”) and the Health Resources and Services Administration, the Department of Veterans Affairs, the Department of Defense, and state and local governments. Our business activities must comply with numerous healthcare laws, including but not limited to, anti-kickback and false claims laws and regulations as well as data privacy and security laws and regulations, which are described below, as well as state and federal consumer protection and unfair competition laws. Moreover, to the extent that we license the right to sell its product candidates, if approved, to another entity under that entity’s labeler code, the licensee would have regulatory responsibilities, including healthcare, reimbursement, pricing, and reporting regulatory responsibilities.
The federal Anti-Kickback Statute, which regulates, among other things, marketing practices, educational programs, pricing policies, and relationships with healthcare providers or other entities, prohibits, among other things, any person or entity, from knowingly and willfully offering, paying, soliciting, or receiving any remuneration, directly or indirectly, overtly or covertly, in cash or in kind, to induce or in return for purchasing, leasing, ordering, or arranging for or recommending the purchase, lease, or order, or the referral to another for the furnishing or arranging for the furnishing of any item or service reimbursable under Medicare, Medicaid, or other federal healthcare programs, in whole or in part. The term “remuneration” has been interpreted broadly to include anything of value. The Anti-Kickback Statute has been interpreted to apply to arrangements between biopharmaceutical industry members on one hand and prescribers, purchasers, formulary managers, and beneficiaries on the other. There are certain statutory exceptions and regulatory safe harbors protecting some common activities from prosecution. The exceptions and safe harbors are drawn narrowly, and practices that involve remuneration that may be alleged to be intended to induce prescribing, purchases, or recommendations may be subject to scrutiny if they do not qualify for an exception or safe harbor. Failure to meet all of the requirements of a particular applicable statutory exception or regulatory safe harbor does not make the conduct per se illegal under the Anti-Kickback Statute. Instead, the legality of the arrangement will be evaluated on a case-by-case basis based on a cumulative review of all of its facts and circumstances. Several courts have interpreted the statute’s intent requirement to mean that if any one purpose of an arrangement involving remuneration is to induce referrals of federal healthcare covered business, including purchases of products paid by federal healthcare programs, the statute has been violated. The Patient Protection and Affordable Care Act of 2010, as amended (the “ACA”), modified the intent requirement under the Anti-Kickback Statute to a stricter standard, such that a person or entity no longer needs to have actual knowledge of the statute or specific intent to violate it in order to have committed a violation. In addition, the ACA also provided that a violation of the federal Anti-Kickback Statute is grounds for the government or a whistleblower to assert that a claim for payment of items or services resulting from such violation constitutes a false or fraudulent claim for purposes of the federal civil FCA.
The federal civil FCA prohibits, among other things, any person or entity from knowingly presenting, or causing to be presented, a false or fraudulent claim for payment to, or approval by, the federal government, knowingly making, using, or causing to be made or used a false record or statement material to a false or fraudulent claim to the federal government, or avoiding, decreasing, or concealing an obligation to pay money to the federal government. A claim includes “any request or demand” for money or property presented to the U.S. government. The civil FCA has been used to assert liability on the basis of kickbacks and other improper referrals, improperly reported government pricing metrics such as Best Price or Average Manufacturer Price, improper use of Medicare provider or supplier numbers when detailing a provider of services, improper promotion of off-label uses not expressly approved by the FDA in a product’s label, and allegations as to misrepresentations with respect to products, contract requirements, and services rendered. In addition, private payers have been filing follow-on lawsuits alleging fraudulent misrepresentation, although establishing liability and damages in these cases is more difficult than under the FCA. Intent to deceive is not required to establish liability under the civil FCA. Civil FCA actions may be brought by the government or may be brought by private individuals on behalf of the government, called “qui tam” actions. If the government decides to intervene in a qui tam action and prevails in the lawsuit, the individual will share in the proceeds from any fines or settlement funds. If the government declines to intervene, the individual may pursue the case alone. The civil FCA provides for treble damages and a civil penalty for each false claim, such as an invoice or pharmacy claim for reimbursement, which can aggregate into millions of dollars. For these reasons, since 2004, FCA lawsuits against biopharmaceutical companies have increased significantly in volume and breadth, leading to several substantial civil and criminal settlements, as much as $3.0 billion, regarding certain sales practices and promoting off label uses. Civil FCA liability may further be imposed for known Medicare or Medicaid overpayments, for example, overpayments caused by understated rebate amounts, that are not refunded within 60 days of discovering the overpayment, even if the overpayment was not caused by a false or fraudulent act. In addition, conviction or civil judgment for violating the FCA may result in exclusion from federal health care programs, and suspension and debarment from government contracts, and refusal of orders under existing government contracts.
The government may further prosecute conduct constituting a false claim under the criminal FCA. The criminal FCA prohibits the making or presenting of a claim to the government knowing such claim to be false, fictitious, or fraudulent and, unlike the civil FCA, requires proof of intent to submit a false claim.
The civil monetary penalties statute is another potential statute under which biopharmaceutical companies may be subject to enforcement. Among other things, the civil monetary penalties statue imposes fines against any person who is determined to have knowingly presented, or caused to be presented, claims to a federal healthcare program that the person knows, or should know, is for an item or service that was not provided as claimed or is false or fraudulent.
Payment or reimbursement of prescription therapeutics by Medicaid or Medicare requires the product’s labeler to submit certified pricing information to CMS. The Medicaid Drug Rebate statute requires labelers, as a condition of payment by Medicaid, to calculate and report price points, which are used to determine Medicaid rebate payments shared between the states and the federal government and Medicaid payment rates for certain therapeutics, to pay quarterly rebates on prescriptions paid by Medicaid, and to provide a discount based on the Medicaid rebate percentage to certain hospitals and clinics under the 340B program. For most therapeutics paid under Medicare Part B, labelers must also calculate and report their Average Sales Price ("ASP"), which is used to determine the Medicare Part B payment rate. In addition, therapeutics covered by Medicaid are subject to an additional inflation penalty which can substantially increase rebate payments. For products approved under a BLA (including biosimilars) or an NDA, the Veterans Health Care Act (“VHCA”) requires labelers, as a condition of payment by Medicaid, to calculate and report to the Veterans Administration (“VA”) a different price called the Non-Federal Average Manufacturing Price, which is used to determine the maximum price that can be charged to certain federal agencies, referred to as the Federal Ceiling Price ("FCP"). Like the Medicaid rebate amount, the FCP includes an inflation penalty. A Department of Defense statute and regulation requires labelers to provide this discount on therapeutics dispensed by retail pharmacies when paid by the TRICARE Program. All of these price reporting requirements create risk of submitting false information to the government, and potential FCA liability.
The VHCA also requires labelers of covered therapeutics participating in the Medicaid program to enter into Federal Supply Schedule contracts with the VA through which their covered therapeutics must be sold to certain federal agencies at FCP. This necessitates compliance with applicable federal procurement laws and regulations, including submission of commercial sales and pricing information, and subjects us to contractual remedies as well as administrative, civil, and criminal sanctions. In addition, the VHCA requires labelers participating in Medicaid to agree to provide different mandatory discounts to certain Public Health Service grantees and other safety net hospitals and clinics under the 340B program based on the labelers’s reported Medicaid pricing information. The 340B program has its own regulatory authority to impose sanctions for non-compliance and adjudicate overcharge claims against labelers by the purchasing entities.
The federal Health Insurance Portability and Accountability Act of 1996 (“HIPAA”) also created federal criminal statutes that prohibit, among other actions, knowingly and willfully executing, or attempting to execute, a scheme to defraud or to obtain, by
means of false or fraudulent pretenses, representations or promises, any of the money or property owned by, or under the custody or control of, a healthcare benefit program, regardless of whether the payor is public or private, in connection with the delivery or payment for health care benefits, knowingly and willfully embezzling or stealing from a health care benefit program, willfully obstructing a criminal investigation of a health care offense and knowingly and willfully falsifying, concealing, or covering up by any trick or device a material fact or making any materially false statements in connection with the delivery of, or payment for, healthcare benefits, items, or services relating to healthcare matters. Additionally, the ACA amended the intent requirement of certain of these criminal statutes under HIPAA so that a person or entity no longer needs to have actual knowledge of the statute, or the specific intent to violate it, to have committed a violation.
The ACA further created new federal requirements for reporting, by applicable drug manufacturers of covered therapeutics, payments and other transfers of value to physicians and teaching hospitals, and ownership and investment interests held by physicians and other healthcare providers and their immediate family members, including the Physician Payments Sunshine Act.
Further, we may be subject to data privacy and security regulation by both the federal government and the states in which we conduct our business. HIPAA, as amended by the Health Information Technology for Economic and Clinical Health Act (“HITECH”) and its respective implementing regulations imposes certain requirements on covered entities relating to the privacy, security, and transmission of certain individually identifiable health information, known as protected health information. Among other things, HITECH, through its implementing regulations, makes HIPAA’s security standards and certain privacy standards directly applicable to business associates, defined as a person or organization, other than a member of a covered entity’s workforce, that creates, receives, maintains, or transmits protected health information on behalf of a covered entity for a function or activity regulated by HIPAA. HITECH also strengthened the civil and criminal penalties that may be imposed against covered entities, business associates, and individuals, and gave state attorneys general new authority to file civil actions for damages or injunctions in federal courts to enforce the federal HIPAA laws and seek attorneys’ fees and costs associated with pursuing federal civil actions. In addition, other federal and state laws may govern the privacy and security of health and other information in certain circumstances, many of which differ from each other in significant ways and may not be preempted by HIPAA, thus complicating compliance efforts.
Many states have also adopted laws similar to each of the above federal laws, which may be broader in scope and apply to items or services reimbursed by any third-party payor, including commercial insurers. Certain state laws also regulate sponsors’ use of prescriber-identifiable data. Certain states also require implementation of commercial compliance programs and compliance with the pharmaceutical industry’s voluntary compliance guidelines and the applicable compliance guidance promulgated by the federal government, or otherwise restrict payments or the provision of other items of value that may be made to healthcare providers and other potential referral sources; impose restrictions on marketing practices; or require drug companies to track and report information related to payments, gifts, and other items of value to physicians and other healthcare providers.
Recently, states have enacted or are considering legislation intended to make drug prices more transparent and deter significant price increases, typically as consumer protection laws. These laws may affect its future sales, marketing, and other promotional activities by imposing administrative and compliance burdens.
If our operations are found to be in violation of any of the laws or regulations described above or any other applicable laws, we may be subject to penalties or other enforcement actions, including criminal and significant civil monetary penalties, damages, fines, disgorgement, imprisonment, exclusion from participation in government healthcare programs, corporate integrity agreements, suspension and debarment from government contracts, and refusal of orders under existing government contracts, reputational harm, diminished profits and future earnings, and the curtailment or restructuring of its operations, any of which could adversely affect our ability to operate our business and our results of operations. Enforcement actions can be brought by federal or state governments, or as “qui tam” actions brought by individual whistleblowers in the name of the government under the civil FCA if the violations are alleged to have caused the government to pay a false or fraudulent claim.
To the extent that any of our products are sold in a foreign country, we may be subject to similar foreign laws and regulations, which may include, for instance, applicable post-marketing requirements, including safety surveillance, anti-fraud and abuse laws, and implementation of corporate compliance programs and reporting of payments or transfers of value to healthcare professionals.
Coverage and Reimbursement
The commercial success of our product candidates and our ability to commercialize any approved product candidates successfully will depend in part on the extent to which governmental payor programs at the federal and state levels, including Medicare and Medicaid, private health insurers, and other third-party payors provide coverage for and establish adequate
reimbursement levels for our product candidates. Government authorities, private health insurers, and other organizations generally decide which therapeutics they will pay for and establish reimbursement levels for healthcare. Medicare is a federally funded program managed by CMS through local fiscal intermediaries and carriers that administer coverage and reimbursement for certain healthcare items and services furnished to the elderly and disabled. Medicaid is an insurance program for certain categories of patients whose income and assets fall below state defined levels and who are otherwise uninsured that is both federally and state funded and managed by each state. The federal government sets general guidelines for Medicaid and each state creates specific regulations that govern its individual program, including supplemental rebate programs that restrict coverage to therapeutics on the state Preferred Drug List. Similarly, government laws and regulations establish the parameters for coverage of prescription therapeutics by health plans participating in state exchanges and Tricare, the health care program for military personnel, retirees, and related beneficiaries. Some states have also created pharmacy assistance programs for individuals who do not qualify for federal programs. In the United States, private health insurers and other third-party payors often provide reimbursement for products and services based on the level at which the government provides reimbursement through the Medicare or Medicaid programs for such products and services.
In the United States, the European Union, and other potentially significant markets for our product candidates, government authorities and third-party payors are increasingly attempting to limit or regulate the price of medical products and services, particularly for new and innovative products and therapies, which often has resulted in average selling prices lower than they would otherwise be and sometimes at or below the provider’s acquisition cost. In the United States, it is also common for government and private health plans to use coverage determinations to leverage rebates from labelers in order to reduce the plans’ net costs. These restrictions and limitations influence the purchase of healthcare services and products and lower the realization on labelers’ sales of prescription therapeutics. Third-party payors are developing increasingly sophisticated methods of controlling healthcare costs. Third-party payors may limit coverage to specific therapeutic products on an approved list, or formulary, which might not include all of the FDA-approved products for a particular indication or might impose high copayment amounts to influence patient choice. Third-party payors also control costs by requiring prior authorization or imposing other dispensing restrictions before covering certain products and by broadening therapeutic classes to increase competition. Third-party payors are increasingly challenging the price and examining the medical necessity and cost-effectiveness of medical products and services, in addition to their safety and efficacy. Absent clinical differentiators, third-party payors may treat products as therapeutically equivalent and base formulary decisions on net cost. To lower the prescription cost, labelers frequently rebate a portion of the prescription price to the third-party payors. Recently, purchasers and third-party payors have begun to focus on value of new therapeutics and sought agreements in which price is based on achievement of performance metrics.
Federal programs also impose price controls through mandatory ceiling prices on purchases by federal agencies and federally funded hospitals and clinics and mandatory rebates on retail pharmacy prescriptions paid by Medicaid and Tricare. These restrictions and limitations influence the purchase of healthcare services and products. Legislative proposals to reform healthcare or reduce costs under government programs may result in lower reimbursement for its product candidates or exclusion of its product candidates from coverage. In addition, government programs like Medicaid include substantial penalties for increasing commercial prices over the rate of inflation which can affect realization and return on investment.
Private payors often rely on the lead of the governmental payors in rendering coverage and reimbursement determinations. Therefore, achieving favorable CMS coverage and reimbursement is usually a significant gating issue for successful introduction of a new product. In addition, many government programs as a condition of participation mandate fixed discounts or rebates from labelers regardless of formulary position or utilization, and then rely on competition in the market to attain further price reductions, which can greatly reduce realization on the sale.
Further, the increased emphasis on managed healthcare in the United States and on country and regional pricing and reimbursement controls in the European Union will put additional pressure on product pricing, reimbursement, and utilization, which may adversely affect its future product sales and results of operations. These pressures can arise from rules and practices of managed care groups, competition within therapeutic classes, judicial decisions and governmental laws and regulations related to Medicare, Medicaid, and healthcare reform, biopharmaceutical coverage and reimbursement policies, and pricing in general. Patients who are prescribed treatments for their conditions and providers performing the prescribed services generally rely on third-party payors to reimburse all or part of the associated healthcare costs. Sales of our product candidates will therefore depend substantially, both domestically and abroad, on the extent to which the costs of our products will be paid by health maintenance, managed care, pharmacy benefit and similar healthcare management organizations, or reimbursed by government health administration authorities, such as Medicare and Medicaid, private health insurers, and other third-party payors.
As a result of the above, we may need to conduct expensive pharmacoeconomic studies in order to demonstrate the medical necessity and cost-effectiveness of our products, in addition to the costs required to obtain the FDA approvals. Our product
candidates may not be considered medically necessary or cost-effective, or the rebate percentages required to secure coverage may not yield an adequate margin over cost. Additionally, companies are increasingly finding it necessary to establish bridge programs to assist patients access new therapies during protracted initial coverage determination periods.
Moreover, a payor’s decision to provide coverage for a product does not imply that an adequate reimbursement rate will be approved or that significant price concessions will not be required to avoid restrictive conditions. High health plan co-payment requirements may result in patients refusing prescriptions or seeking alternative therapies. Additionally, where a new indication has been approved for a drug previously approved under a different NDA, health plans may cover off-label use of the original drug, even if it cannot be marketed for the new indication. Adequate third-party reimbursement may not be available to enable us to maintain price levels sufficient to realize an appropriate return on our investment in therapeutic development. Legislative proposals to reform healthcare or reduce costs under government insurance programs may result in lower reimbursement for our products and product candidates or exclusion of our products and product candidates from coverage. The cost containment measures that healthcare payors and providers are instituting and any healthcare reform could significantly reduce our revenues from the sale of any approved product candidates. We cannot provide any assurances that we will be able to obtain and maintain third-party coverage or adequate reimbursement for our product candidates in whole or in part.
Healthcare Reform Measures
The United States and some foreign jurisdictions are considering or have enacted a number of legislative and regulatory proposals designed to change the healthcare system in ways that could affect our ability to sell our products profitably. Among policy makers and payors in the United States and elsewhere, there is significant interest in promoting changes in healthcare systems with the stated goals of containing healthcare costs, improving quality, and expanding access. In the United States, the biopharmaceutical industry has been a particular focus of these efforts and has been significantly affected by major legislative initiatives.
For example, the ACA created hybrid payment methodology for biosimilars under Medicare Part B, which covers products administered by physicians in an outpatient setting, intended to neutralize the incentive to purchase higher priced biologics reimbursed at ASP plus 6% of ASP by paying providers ASP of a biosimilar but adding the margin based on ASP of the reference biologic. More recently, the Bipartisan Budget Act extended labeler responsibility for prescription costs in the Medicare Part D coverage gap to biosimilars, which had previously been exempt.
Similarly, the American Recovery and Reinvestment Act of 2009 established funding for the federal government to compare the effectiveness of different treatments for the same illness. The Agency for Healthcare Research and Quality among other things, conducts patient-centered outcome research, develops evidence-based tools and resources on medication therapies, maintains databases of health care related data and standards, and issues periodic reports on specific studies. Although the results of the comparative effectiveness studies are not intended to mandate coverage policies for public or private payors, it is not clear what effect, if any, the organization’s research has had or will have on the sales of any product, if any such product or the condition that it is intended to treat is the subject of a study. It is also possible that comparative effectiveness research demonstrating benefits in a competitor’s product could adversely affect the sales of our product candidates. If third-party payors do not consider our product candidates to be cost-effective compared to other available therapies, they may not cover our product candidates or may severely restrict access, once approved, as a benefit under their plans or, if they do, the level of payment may not be sufficient to allow us to sell our products on a profitable basis.
Moreover, the ACA broadened access to health insurance, attempts to reduce or constrain the growth of healthcare spending, enhanced remedies against fraud and abuse, added new transparency requirements for healthcare and health insurance industries, imposed new taxes and fees on the health care industry, and imposed additional health policy reforms. The law expanded the eligibility criteria and mandatory eligibility categories for Medicaid programs, thereby potentially increasing both the volume of sales and labelers’ Medicaid rebate liability. The law also expanded the 340B discount program that mandates discounts to certain hospitals, community centers, and other qualifying providers, by expanding the categories of entities eligible to purchase under the program, although, with the exception of children’s hospitals, these newly eligible entities are ineligible to receive discounted 340B pricing on orphan therapeutics used to treat an orphan disease or condition. The ACA revised the definition of “average manufacturer price ("AMP")” for reporting purposes, which generally increased the amount of Medicaid rebates to states and created a separate AMP for certain categories of therapeutics provided in non-retail outpatient settings. The law additionally extended labeler’s Medicaid rebate liability to covered therapeutics dispensed to patients enrolled in Medicaid managed care organizations and increased the statutory minimum rebates a labeler must pay under the Medicaid Drug Rebate program. The revisions to the AMP definition and Medicaid rebate formula can have the further effect of increasing the required 340B discounts. Further, the ACA requires labelers of therapeutics, to pay 50% of the pharmacy charge to Medicare Part D patients while they are in the coverage gap, and this percentage was increased to 70% by the Bipartisan Budget Act of 2018. Finally, the ACA imposes a significant annual fee on companies that manufacture or import branded
prescription therapeutic products. Substantial new provisions affecting compliance have also been enacted through the ACA and otherwise, including the reporting of therapeutic sample distribution, which may require us to modify our business practices with healthcare practitioners. Although the ACA was recently amended to repeal the individual insurance mandate, and efforts to repeal and replace portions of the law may continue, it is likely that pressure on biopharmaceutical pricing, especially under the Medicare program, will continue, and may also increase our regulatory burdens and operating costs. Moreover, in the coming years, additional changes could be made to governmental healthcare programs that could significantly impact the success of our product candidates.
The cost of biopharmaceuticals continues to generate substantial governmental and third-party payor interest. We expect that the biopharmaceutical industry will experience pricing pressures due to the trend toward managed healthcare, the increasing influence of managed care organizations and additional legislative proposals. Our results of operations could be adversely affected by current and future healthcare reforms.
Some third-party payors also require pre-approval of coverage for new or innovative devices or therapies before they will reimburse healthcare providers that use such therapies. While we cannot predict whether any proposed cost-containment measures will be adopted or otherwise implemented in the future, the announcement or adoption of these proposals could have a material adverse effect on our ability to obtain adequate prices for our product candidates and operate profitably.
In addition, other legislative and regulatory changes have been proposed and adopted since the ACA was enacted. The Budget Control Act of 2011, as amended, created the Joint Select Committee on Deficit Reduction to recommend proposals in spending reductions to Congress. The Joint Select Committee on Deficit Reduction did not achieve its targeted deficit reduction of at least $1.2 trillion for the years 2013 through 2021, triggering the legislation’s automatic reductions to several government programs. These reductions include aggregate reductions to Medicare payments to providers of up to 2% per fiscal year. The Bipartisan Budget Act of 2018 retained the federal budget “sequestration” Medicare payment reductions of 2%, and extended it through 2027 unless congressional action is taken, and also increased labeler responsibility for prescription costs in the Medicare Part D coverage gap. The American Taxpayer Relief Act of 2012, further reduced Medicare payments to several categories of healthcare providers and increased the statute of limitations period for the government to recover overpayments to providers from three to five years. These and other healthcare reform initiatives may result in additional reductions in Medicare and other healthcare funding, which could have a material adverse effect on our financial operations. We expect that additional state and federal healthcare reform measures will be adopted in the future, any of which could limit the amounts that federal and state governments will pay for healthcare products and services, which could further limit the prices we are able to charge, or the amounts of reimbursement available, for our product candidates once they are approved.
In 2016, CMS issued a final rule regarding the Medicaid drug rebate program. The final rule, effective April 1, 2016, among other things, extended labeler rebate obligations to U.S. territories, revised the manner in which the AMP is calculated by labelers participating in the program, and implements certain amendments to the Medicaid rebate statute created under the ACA. At the state level, legislatures are increasingly passing legislation and implementing regulations designed to control pharmaceutical product pricing, including price or patient reimbursement constraints, discounts, restrictions on certain product access and marketing cost disclosure and transparency measures, and, in some cases, designed to encourage importation from other countries and bulk purchasing. The full impact of these laws, as well as other new laws and reform measures that may be proposed and adopted in the future remains uncertain, but may result in additional reductions in Medicare and other health care funding, or higher production costs which could have a material adverse effect on our customers and, accordingly, our financial operations.
There have been several recent U.S. Congressional inquiries and proposed and adopted federal and state legislation designed to, among other things, bring more transparency to drug pricing and deter price increases, review the relationship between pricing and sponsor patient programs, and reform government program reimbursement methodologies for drugs. Further, the current U.S. Presidential administration’s budget proposal for fiscal year 2020 contained proposed policy changes and further drug price control measures that could be enacted in future legislation. While any proposed measures will require authorization through additional legislation to become effective, Congress and the current U.S. Presidential administration have each indicated that it will continue to seek new legislative and/or administrative measures to control drug costs.
The Foreign Corrupt Practices Act
The Foreign Corrupt Practices Act (“FCPA”) prohibits any U.S. individual or business from paying, offering, or authorizing payment or offering of anything of value, directly or indirectly, to any foreign official, political party, or candidate for the purpose of influencing any act or decision of the foreign entity in order to assist the individual or business in obtaining or retaining business. The FCPA also obligates companies whose securities are listed in the United States to comply with accounting provisions requiring the company to maintain books and records that accurately and fairly reflect all transactions of
the corporation, including international subsidiaries, and to devise and maintain an adequate system of internal accounting controls for international operations. Activities that violate the FCPA, even if they occur wholly outside the United States, can result in criminal and civil fines, imprisonment, disgorgement, oversight, and suspension and debarment from government contracts, and refusal of orders under existing government contracts.
EMPLOYEES
We have 16 full-time employees as of March 1, 2020.
CORPORATE INFORMATION
Histogenics was originally incorporated as a Massachusetts corporation in 2000. In 2006, Histogenics underwent a corporate reorganization pursuant to which it was incorporated as a Delaware corporation. September 27, 2019, Histogenics completed its reverse merger with Former Ocugen, in accordance with the terms of the Merger Agreement by and among Histogenics, Former Ocugen and Merger Sub, pursuant to which Merger Sub merged with and into Former Ocugen, with Former Ocugen surviving as a wholly owned subsidiary of Histogenics. Following completion of the Merger, Histogenics changed its name to Ocugen, Inc.
Our principal offices are located at 5 Great Valley Parkway, Suite 160, Malvern, Pennsylvania 19355, and our telephone number is (484) 328-4701. Our website address is www.ocugen.com. Our website and the information contained on, or that can be accessed through, our website shall not be deemed to be incorporated by reference in, and are not considered part of, this Annual Report. You should not rely on any such information in making your decision whether to purchase our common stock.
AVAILABLE INFORMATION
We file annual, quarterly, and current reports, proxy statements, and other documents with the Securities and Exchange Commission ("SEC") under the Securities Exchange Act of 1934, as amended (the "Exchange Act"). The SEC maintains an internet website, www.sec.gov, that contains reports, proxy and information statements, and other information regarding issuers, including us, that file electronically with the SEC.
Copies of each of our filings with the SEC on Form 10-K, Form 10-Q and Form 8-K and all amendments to those reports, can be viewed and downloaded free of charge at our website, www.ocugen.com as soon as reasonably practicable after the reports and amendments are electronically filed with or furnished to the SEC.
Our code of ethics, other corporate policies and procedures, and the charters of our Audit Committee, Compensation Committee and Nominating/Corporate Governance Committee are available through our website at www.ocugen.com.
Item 1A. Risk Factors.
Risks Related to Our Financial Position and Capital Requirements
We have incurred significant losses from operations and negative cash flows from operations since our inception. We expect to incur losses over the next several years and may never achieve or maintain profitability.
Since inception, we have incurred significant net losses and expects to continue to incur net losses for the foreseeable future. We have not generated any revenue to date and have funded our operations to date through the sale of common stock, warrants to purchase common stock, the issuance of convertible notes, and borrowings under credit facilities. We incurred net losses of approximately $20.2 million for the year ended December 31, 2019, and $18.2 million for the year ended December 31, 2018. As of December 31, 2019, we had an accumulated deficit of $51.5 million and a cash, cash equivalents and restricted cash balance of $7.6 million.
To date, we have not commercialized any products or generated any revenues from the sale of products, and absent the realization of sufficient revenues from product sales, if any, of our current or future product candidates, if approved, we may never attain profitability in the future. To date, we have devoted substantially all of its financial resources and efforts to research and development, including preclinical studies and clinical trials. We expect that over the next several years we will continue to incur losses from operations as we increase our expenditures in research and development in connection with clinical trials and other development activities. Even if we obtain regulatory approval to market a product candidate, our future revenues will depend upon the size of any markets in which our product candidates have received approval, and our ability to
achieve sufficient market acceptance, reimbursement from third-party payors and adequate market share for our products in those markets.
We anticipate that our expenses will increase substantially as compared to prior periods as we complete our Phase 3 trial with respect to OCU300, prepare to commence Phase 1/2a trials with respect to OCU400 and OCU200, and otherwise develop and prepare for commercialization of our product candidates, as a result of increased headcount, including management personnel to support our clinical, manufacturing and commercialization activities, expanded infrastructure, increased legal, compliance, accounting and investor and public relations expenses associated with being a public company, and increased insurance premiums, among other factors.
Due to the inherently unpredictable nature of preclinical and clinical development and the numerous risks and uncertainties associated with such activities, we are unable to predict with any certainty the nature or amounts of the costs we will incur, the timelines we will require in our continued development efforts or the timing, or if, we will be able to achieve profitability.
Additionally, our expenses will also increase if, and, as we:
•continue to pursue the clinical development of OCU300, through Phase 3 clinical development, particularly if we are required by the FDA, European Medicines Agency ("EMA") or other foreign regulatory agencies to perform trials or studies in addition to those currently expected;
•initiate preclinical studies and clinical trials for any additional product candidates that we may pursue in the future, particularly if there are any delays in enrollment of patients in or completing our clinical trials or the development of our product candidates;
•seek marketing approvals for product candidates that successfully complete clinical development;
•establish sales, marketing and distribution capabilities for our product candidates for which we obtain marketing approval;
•scale up our manufacturing processes and capabilities to support our clinical trials of our product candidates and commercialization of any of our product candidates for which we obtain marketing approval;
•expand our operational, financial and management systems and increase personnel, including personnel to support our clinical development, manufacturing and commercialization efforts and our operations as a public company;
•hire additional clinical, quality control, scientific and management personnel;
•in-license or acquire the rights to other products, product candidates or technologies;
•develop, maintain, expand and protect our intellectual property portfolio; and
•increase our product liability insurance coverage as we expand our commercialization efforts.
Our ability to become and remain profitable depends on our ability to generate revenue. We do not expect to generate revenue that is sufficient to achieve profitability unless and until we obtain marketing approval for and commercializes one of our product candidates. We do not expect to commercialize any of our product candidates before 2021, if ever. Even if we do achieve profitability, we may not be able to sustain or increase profitability on a quarterly or annual basis. Our failure to become profitable or inability to remain profitable would decrease the value of the company and could impair our ability to raise capital, expand our business, maintain our research and development efforts, continue or undertake commercialization efforts, diversify our product offerings or even continue our operations. A decline in the value of the company could also cause you to lose all or part of your investment.
Our recurring operating losses have raised substantial doubt regarding our ability to continue as a going concern.
Our recurring operating losses raise substantial doubt about our ability to continue as a going concern. For the year ended December 31, 2019, we had a net loss of $20.2 million and net cash used in operating activities of $16.9 million. We have no current source of revenue to sustain our present activities, and we do not expect to generate revenue until and unless we receive regulatory approval of and successfully commercialize our product candidates. These circumstances raise substantial doubt about our ability to continue as a going concern. As a result of this uncertainty and the substantial doubt about our ability to continue as a going concern as of December 31, 2019, the report of our independent registered public accounting firm in this Annual Report on Form 10-K for the years ended December 31, 2019 and 2018 includes a going concern explanatory paragraph. Our ability to continue as a going concern is dependent upon our ability to obtain additional equity or debt financing, attain further operating efficiencies, reduce expenditures and ultimately, to generate revenue by obtaining approval of our product candidates and successfully commercializing such product candidates. The perception of our ability to continue as a
going concern may make it more difficult for us to obtain financing for the continuation of our operations and could result in the loss of confidence by investors, suppliers and employees.
We have a limited operating history and no history of commercializing pharmaceutical products, which may make it difficult for you to evaluate the success of our business to date and to assess our future viability.
We are a clinical-stage biopharmaceutical company with a limited operating history. Investment in biopharmaceutical product development is a highly speculative endeavor. Biopharmaceutical product development entails substantial upfront capital expenditures and there is significant risk that any potential product candidate will fail to demonstrate adequate efficacy or an acceptable safety profile, to gain any required regulatory approvals or to become commercially viable. To date, our operations have been limited to organizing and staffing the company, acquiring rights to intellectual property, business planning, raising capital and developing OCU300 and other product candidates. We have not yet demonstrated an ability to obtain marketing approvals, manufacture a commercial-scale product, or arrange for a third party to do so on its behalf, or conduct sales and marketing activities necessary for successful product commercialization. Consequently, any predictions you make about our future success or viability may not be as accurate as they could be if we had a longer operating history.
We have encountered, and will continue to encounter, risks and difficulties frequently experienced by growing companies in a rapidly developing and changing industry, such as the biopharmaceutical industry, including challenges in forecasting accuracy, determining appropriate investments of our limited resources, gaining market acceptance of our products, if approved, including those created using our modifier gene therapy platform, managing a complex regulatory landscape and developing new product candidates. Our current operating model may require changes in order for us to scale our operations efficiently. We will need to transition from a company with a research and development focus to a company capable of supporting commercial activities. We may not be successful in such a transition. You should consider our business and prospects in light of the risks and difficulties we face as an early-stage company focused on developing products in the fields of biopharmaceuticals and biotechnology.
We expect our financial condition and operating results to fluctuate significantly from quarter-to-quarter and year-to-year due to a variety of factors, many of which are beyond our control. Accordingly, you should not rely upon the results of any quarterly or annual periods as indications of future operating performance.
We will need substantial additional funding. If we are unable to raise capital when needed, we could be forced to delay, reduce or eliminate our product development programs or commercialization efforts.
We expect to devote substantial financial resources to our ongoing and planned product development activities, particularly as we conduct multiple clinical trials and, assuming positive results from these trials, seek marketing approval for OCU300 and continue the development of and potentially seek marketing approval for other clinical and preclinical product candidates, including OCU400, OCU410 and OCU200. As of December 31, 2019, we had cash, cash equivalents and restricted cash of approximately $7.6 million. We believe that our cash and cash equivalents will enable us to fund our operating expenses and capital expenditure requirements through mid-2020. However, we have based this estimate on assumptions that may prove to be wrong, and our operating plan may change as a result of many factors currently unknown to us.
Conducting preclinical testing and clinical trials is a time-consuming, expensive and uncertain process that takes years to complete. We may never generate the necessary data or results required to obtain regulatory approval of products with the market potential sufficient to enable us to achieve profitability. We do not expect to generate revenue from sales of any product candidates until at least 2021, if at all. Accordingly, we may need to obtain substantial additional funding in connection with our continuing operations. Our future capital requirements will depend on many factors, including:
•the progress, costs and results of our Phase 3 clinical trial for OCU300, any clinical trials for our preclinical product candidates, and any clinical activities for regulatory review of OCU300 or our other product candidates outside of the United States;
•the costs and timing of process development and manufacturing scale-up activities associated with OCU300 and its preclinical product candidates;
•the costs, timing and outcome of regulatory review of OCU300 and our preclinical product candidates;
•the costs of commercialization activities for OCU300 or our preclinical product candidates if we receive, or expect to receive, marketing approval, including the costs and timing of establishing product sales, marketing, distribution and outsourced manufacturing capabilities;
•subject to receipt of marketing approval, revenue received from commercial sales of OCU300 or our preclinical product candidates;
•our ability to establish and maintain strategic collaborations, licensing or other agreements and the financial terms of such agreements;
•the scope, progress, results and costs of any product candidates that we may derive from its OcuNanoE™ program or any other product candidates that we may develop;
•the extent to which we in-license or acquire rights to other products, product candidates or technologies; and
•the costs and timing of preparing, filing and prosecuting patent applications, maintaining and protecting our intellectual property rights and defending against any intellectual property-related claims.
Any additional fundraising efforts may divert our management from their day-to-day activities, which may adversely affect our ability to develop and commercialize our product candidates. Moreover, adequate additional financing may not be available to us on acceptable terms, or at all. If adequate funds are not available to us on a timely basis, we may be required to delay, limit, reduce or terminate preclinical studies, clinical trials or other development activities for one or more of our product candidates or delay, limit, reduce or terminate our establishment of sales and marketing capabilities or other activities that may be necessary to commercialize our product candidates.
Raising additional capital may cause dilution to stockholders, restrict our operations or require us to relinquish rights to our technologies or product candidates.
Until such time, if ever, as we can generate substantial product revenues, we expect to finance our cash needs through a combination of equity offerings, debt financings, collaborations, strategic alliances, licensing arrangements and marketing and distribution arrangements. To the extent that we raise additional capital through the sale of equity or convertible debt securities, your ownership interest will be diluted, and the terms of these securities may include liquidation or other preferences that adversely affect the rights of our stockholders. Debt financing and preferred equity financing, if available, may involve agreements that include covenants limiting or restricting our ability to take specific actions, such as incurring additional debt, making capital expenditures or declaring dividends.
If we raise additional funds through collaborations, strategic alliances, licensing arrangements or marketing and distribution arrangements, we may have to relinquish valuable rights to our technologies, future revenue streams, research programs or product candidates, or grant licenses on terms that may not be favorable to us. Such arrangements may require us to grant rights to develop and market products or product candidates that we would otherwise prefer to develop and market on our own.
Our existing and future indebtedness may limit cash flow available to invest in the ongoing needs of our business.
As of December 31, 2019, we had $1.0 million of outstanding principal borrowings under a Loan Agreement (the "EB-5 Loan Agreement") with EB5 Life Sciences, L.P. (the "Lender"), which we are required to repay on the seventh anniversary of the date of the last disbursement under the EB-5 Loan Agreement (unless terminated earlier pursuant to the terms of the EB-5 Loan Agreement). On March 26, 2020, we borrowed an additional $0.5 million under the terms and conditions of the EB-5 Loan Agreement. We are also eligible to borrow an additional $9.0 million under the EB-5 Loan Agreement, limited by the amount of funds raised by the Lender and subject to availability under the program and certain job creation requirements by it. Our obligations under this agreement are secured by substantially all of our assets other than our intellectual property. We could in the future incur additional indebtedness beyond our borrowings under the EB-5 Loan Agreement.
Our existing or future debt could have significant adverse consequences, including:
•requiring us to dedicate a substantial portion of cash flow from operations or cash on hand to the payment of interest on, and principal of, our debt, which will reduce the amounts available to fund working capital, capital expenditures, product development efforts and other general corporate purposes;
•increasing our vulnerability to adverse changes in general economic, industry and market conditions;
•subjecting us to restrictive covenants that may reduce our ability to take certain corporate actions or obtain further debt or equity financing (for instance, the EB-5 Loan Agreement includes restrictive covenants related to, among other things, the disposition of our property, the incurrence by us of any additional indebtedness and the creation by us of any liens or other encumbrances);
•limiting our flexibility in planning for, or reacting to, changes in our business and our industry; and
•placing us at a competitive disadvantage compared to our competitors that have less debt or better debt servicing options.
We intend to satisfy our current and future debt service obligations with our existing cash and funds from external sources. Nonetheless, we may not have sufficient funds or may be unable to arrange for additional financing to pay the amounts due under our existing debt. Funds from external sources may not be available on acceptable terms, if at all. In addition, a failure to comply with the covenants under the EB-5 Loan Agreement, including covenants to take or avoid specific actions as set forth above, could result in an event of default and acceleration of amounts due. If an event of default occurs and the Lender accelerates the amounts due under the EB-5 Loan Agreement, we may not be able to make accelerated payments, and the Lender could seek to enforce security interests in the collateral securing such indebtedness.
If we are unable to use carryforward tax losses or benefit from favorable tax legislation to reduce our taxes, our business, results of operations and financial condition may be adversely affected.
We have incurred significant net operating losses since our inception. As of December 31, 2019, we had federal and U.S. state net operating loss carryforwards of approximately $113.6 million and $112.4 million, respectively. If we are unable to use carryforward tax losses to reduce our future taxable income and liabilities in our business, results of operations and financial condition may be adversely affected.
Under Section 382 of the Internal Revenue Code of 1986, as amended, if a corporation undergoes an “ownership change,” which will occur if there is a cumulative change in ownership by “5-percent shareholders” that exceeds 50 percentage points over a rolling three-year period, the corporation’s ability to use its pre-change net operating loss carryforwards and other pre-change tax attributes to offset its post-change income may be limited. A corporation that experiences an ownership change will generally be subject to an annual limitation on the use of its pre-ownership change net operating losses equal to the value of the corporation immediately before the ownership change, multiplied by the long-term tax-exempt rate (subject to certain adjustments). The annual limitation for a taxable year generally is increased by the amount of any “recognized built-in gains” for such year and the amount of any unused annual limitation in a prior year. This could limit the amount of tax attributes that can be utilized annually to offset future taxable income or tax liabilities.
Recent U.S. tax legislation may materially adversely affect our financial condition, results of operations and cash flows.
Recently-enacted U.S. tax legislation has significantly changed the U.S. federal income taxation of U.S. corporations, including by reducing the U.S. corporate income tax rate, limiting interest deductions, modifying or repealing many business deductions and credits (including reducing the business tax credit for certain clinical testing expenses incurred in the testing of certain drugs for rare diseases or conditions generally referred to as “orphan drugs”), adopting elements of a territorial tax system, imposing a one-time transition tax, or repatriation tax, on all undistributed earnings and profits of certain U.S.-owned foreign corporations, revising the rules governing net operating losses and the rules governing foreign tax credits, and introducing new anti-base erosion provisions. Many of these changes are effective immediately, without any transition periods or grandfathering for existing transactions. The legislation is unclear in many respects and could be subject to potential amendments and technical corrections, as well as interpretations and implementing regulations by the Treasury and Internal Revenue Service, any of which could lessen or increase certain adverse impacts of the legislation. In addition, it is unclear how these U.S. federal income tax changes will affect state and local taxation, which often uses federal taxable income as a starting point for computing state and local tax liabilities.
While some of the changes made by the tax legislation may adversely affect us in one or more reporting periods and prospectively, other changes may be beneficial on a going forward basis. We continue to work with our tax advisors and auditors to determine the full impact that the recent tax legislation as a whole will have on us. We urge our investors to consult with their legal and tax advisors with respect to such legislation.
Risks Related to Our Business and the Development of Our Product Candidates
We are substantially dependent on the success of our product candidates and, in particular, our lead product candidate, OCU300. We cannot guarantee that our product candidates will successfully complete development, receive regulatory approval, or be successfully commercialized.
We have invested a significant portion of our efforts and financial resources in the development of our product candidates. Notwithstanding such investment, we currently have no products approved for commercial distribution and we generate no revenues from sales of any products. Our business and our ability to generate revenues in the near term depends entirely on the successful development and commercialization of our product candidates, which may never occur. Our product candidates are
susceptible to the risks of failure inherent at any stage of product development, including the appearance of unexpected or unacceptable adverse events or failure to demonstrate efficacy in clinical trials. Further, our product candidates may not receive regulatory approval even if they are successful in clinical trials, and our product candidates may not be successfully commercialized even if they receive regulatory approval.
We currently have limited experience with our product candidates. We have advanced only one product candidate, OCU300, a small molecule therapeutic currently in Phase 3 clinical development for patients with oGVHD, beyond the preclinical development stage. All of our other product candidates are in early stages of development. Accordingly, our ability to generate product revenues in the near term will depend almost entirely on our ability to successfully obtain marketing approval for and commercialize OCU300. As of March 20, 2020, the ongoing Phase 3 trials for OCU300, in which we anticipate 60 patients will be randomized in a 2:1 ratio to receive either OCU300 (brimonidine 0.18% nanoemulsion) or a placebo, has completed over 95% of our planned enrollment. We cannot assure you that we will meet our timelines for the Phase 3 clinical trials for OCU300 or for any of our other anticipated clinical trials, which may be delayed or not completed for a number of reasons.
The success of our product candidates and our ability to generate revenues from our product candidates will depend on many factors including our ability to:
•complete and obtain favorable results from our clinical and preclinical trials with respect to our product candidates;
•apply for and receive marketing approval from the applicable regulatory authorities;
•receive regulatory approval for claims that are necessary or desirable for successful marketing;
•receive approval for our manufacturing processes and third-party manufacturing facilities from the applicable regulatory authorities;
•recruit and enroll qualified patients for clinical trials with respect to our product candidates in a timely manner;
•expand and maintain a workforce of experienced scientists and others with experience in the relevant technology to continue to develop our product candidates;
•hire, train, and deploy marketing and sales representatives or contract with a third-party for marketing and sales representatives to commercialize product candidates in the United States;
•launch and create market demand for our product candidates through marketing and sales activities, and any other arrangements to promote these product candidates that we may otherwise establish;
•achieve market acceptance of our product candidates by patients, the medical community and third-party payors;
•effectively compete with other therapies and establish a market share;
•maintain a continued acceptable safety and efficacy profile of our product candidates following commercial launch;
•achieve appropriate reimbursement, pricing, and payment coverage for our product candidates;
•manufacture product candidates in sufficient quantities and at acceptable quality and manufacturing cost to meet commercial demand at launch and thereafter;
•establish and maintain agreements with wholesalers, distributors, and group purchasing organizations on commercially reasonable terms;
•pursue partnerships with, or offer licenses to, qualified third parties to promote and sell product candidates in domestic and key foreign markets where we receive marketing approval;
•develop our product candidates for additional indications or for use in broader patient populations;
•maintain patent and trade secret protection and regulatory exclusivity for our product candidates;
•qualify for, identify, register, maintain, enforce and defend intellectual property rights and claims covering our products and intellectual property portfolio; and
•not infringe on others’ intellectual property rights.
To the extent we are not able to do any of the foregoing, our business may be materially harmed. If we do not receive FDA approval for, and successfully commercialize our product candidates, we will not be able to generate revenue from these product candidates in the United States in the foreseeable future or at all.
The regulatory approval processes of the FDA and comparable foreign authorities are lengthy, time consuming and inherently unpredictable. If we are not able to obtain, or if there are delays in obtaining, required regulatory approvals, we will not be able to commercialize our product candidates as expected, and our ability to generate revenue will be materially impaired.
The research, testing, manufacturing, labeling, approval, selling, marketing and distribution of pharmaceutical products are subject to extensive regulation by the FDA and other regulatory authorities, which regulations differ from country to country. The time required to obtain approval by the FDA and comparable foreign authorities is unpredictable but typically takes many years following the commencement of clinical trials. The outcome of the approval process is inherently uncertain and depends upon numerous factors, including the substantial discretion of the regulatory authorities. This is especially true for rare and/or complicated diseases. Failure can occur at any time during the clinical trial process. We cannot predict if or when we might receive regulatory approvals for any of our product candidates currently under development. Any delay in our obtaining or our failure to obtain required approvals could materially adversely affect our ability to generate revenue from the particular product candidate, which likely would result in significant harm to our financial position and adversely impact our stock price.
Securing marketing approval requires the submission of extensive preclinical and clinical data and supporting information to regulatory authorities for each therapeutic indication to establish the product candidate’s safety and efficacy for that indication. We have limited experience in designing clinical trials and may be unable to design and execute a clinical trial to support marketing approval. Securing marketing approval also requires the submission of information about the product manufacturing process to, and inspection of manufacturing facilities and clinical trial sites by the regulatory authorities. Regulatory authorities have substantial discretion in the approval process and may refuse to accept any application or may decide that our data is insufficient for approval and require additional preclinical, clinical or other studies. The number and types of preclinical studies and clinical trials that will be required for regulatory approval also varies depending on the product candidate, the disease or condition that the product candidate is designed to address, and the regulations applicable to any particular product candidate. The FDA or other similar regulatory authorities may determine that our product candidates are not effective or only moderately effective (e.g., studies may not produce the necessary result on all study endpoints), that our studies failed to reach the necessary level of statistical significance, or that our product candidates have undesirable or unintended side effects, toxicities or other characteristics that preclude us from obtaining marketing approval or prevent or limit commercial use.
Our Phase 3 clinical program for OCU300 consists of two clinical trials evaluating OCU300. As of March 20, 2020, we achieved over 95% of planned enrollment of 60 patients in the first trial. We expect that we will be required to demonstrate effectiveness of both of the co-primary endpoints for marketing approval of OCU300 for the indication of treatment of ocular redness and discomfort in patients with oGVHD. However, the timing of the completion of the Phase 3 clinical trials for OCU300 is dependent, in part, on our ability to locate and enroll a sufficient number of eligible patients on a timely basis, as well as a sample size re-estimation based on data from the first approximately 50% of the planned sample size of 60 patients. If, moreover, OCU300 does not achieve statistical significance in both primary endpoints in our Phase 3 clinical trials, the FDA may require us to conduct additional clinical trials to support the approval of our proposed indications.
Approval policies, regulations, or the type and amount of clinical data necessary to gain approval may change during the course of a product candidate’s clinical development and may vary among jurisdictions. If such changes occur, we may be required to amend our clinical trial protocols, conduct additional studies that require regulatory or IRB approval, or such changes may otherwise cause delays in the approval of an application. If we are required to conduct additional clinical trials or other testing of our product candidates that we develop beyond those that we currently expect, we may be delayed in obtaining marketing approval for our product candidates, or not obtain marketing approval at all.
We may also experience numerous unforeseen events during, or as a result of, clinical trials that could delay or prevent our ability to receive marketing approval or commercialize our product candidates, including:
•regulators, including the FDA and the NIH, or IRBs or IBCs may not authorize us or our investigators to commence or continue a clinical trial, conduct a clinical trial at a prospective trial site, or amend trial protocols, or regulators, IRBs or IBCs may require that we modify or amend our clinical trial protocols;
•we may experience delays in reaching, or fail to reach, agreement on acceptable clinical trial contracts or clinical trial protocols with prospective trial sites and our CROs;
•the number of patients required for clinical trials of our product candidates may be larger than we anticipate, enrollment in these clinical trials may be slower than we anticipate, or participants may drop out of these clinical trials or be lost to follow-up at a higher rate than we anticipate. By example, the Phase 1/2 clinical study of brimonidine tartrate in patients with oGVHD was discontinued early due to slow enrollment;
•our third-party contractors may fail to comply with regulatory requirements or the clinical trial protocol, or meet their contractual obligations to us in a timely manner, or at all, or we may be required to engage in additional clinical trial site monitoring;
•us, the regulators, IRBs or IBCs may require the suspension or termination of clinical research for various reasons, including noncompliance with regulatory requirements or a finding that the participants are being exposed to unacceptable health risks, undesirable side effects, or other unexpected characteristics (alone or in combination with other products) of the product candidate, or due to findings of undesirable effects caused by a chemically or mechanistically similar therapeutic or therapeutic candidate;
•changes in marketing approval policies during the development period rendering our data insufficient to obtain marketing approval;
•changes in or the enactment of additional statutes or regulations;
•the cost of clinical trials of our product candidates may be greater than we anticipate or we may have insufficient funds for a clinical trial or to pay the substantial user fees required by the FDA upon the filing of a marketing application;
•the supply or quality of our product candidates or other materials necessary to conduct clinical trials of our product candidates may be insufficient or inadequate;
•we may fail to reach an agreement with regulators, IRBs or IBCs regarding the scope, design, or implementation of our clinical trials. For instance, the FDA or comparable foreign regulatory authorities may require changes to our study design that make further study impractical or not financially prudent;
•we may have delays in adding new investigators or clinical trial sites, or we may experience a withdrawal of clinical trial sites;
•patients that enroll in our studies may misrepresent their eligibility or may otherwise not comply with the clinical trial protocol, resulting in the need to drop the patients from the study, increase the needed enrollment size for the study or extend the study’s duration;
•there may be regulatory questions or disagreements regarding interpretations of data and results, or new information may emerge regarding our product candidates;
•the FDA or comparable foreign regulatory authorities may disagree with our study design, including endpoints, or our interpretation of data from preclinical studies and clinical trials or find that a product candidate’s benefits do not outweigh its safety risks;
•the FDA or comparable foreign regulatory authorities may not accept data from studies with clinical trial sites in foreign countries;
•the FDA or comparable foreign regulatory authorities may disagree with our intended indications;
•the FDA or comparable foreign regulatory authorities may fail to approve or subsequently find fault with the manufacturing processes or our contract manufacturer’s manufacturing facility for clinical and future commercial supplies;
•the data collected from clinical trials of our product candidates may not be sufficient to the satisfaction of the FDA or comparable foreign regulatory authorities to support the submission of a marketing application, or other comparable submissions in foreign jurisdictions or to obtain regulatory approval in the United States or elsewhere;
•the FDA or comparable foreign regulatory authorities may take longer than we anticipate to make a decision on its product candidates; and
•we may not be able to demonstrate that a product candidate provides an advantage over current standards of care or current or future competitive therapies in development.
Significant delays relating to any preclinical or clinical trials also could shorten any periods during which we may have the exclusive right to commercialize our product candidates or allow our competitors to bring products to market before we do. This may prevent us from receiving marketing approvals and impair our ability to successfully commercialize our product candidates and may harm our business and results of operations. In addition, many of the factors that cause, or lead to, delays in clinical trials may ultimately lead to the denial of marketing approval of any of our product candidates. If any of this occurs, our business, financial condition, results of operations, and prospects will be materially harmed.
The failure to comply with FDA and comparable foreign regulatory requirements may, either before or after product approval, if any, subject us to administrative or judicially imposed sanctions, including:
•restrictions on our ability to conduct clinical trials, including full or partial clinical holds on ongoing or planned trials;
•restrictions on our products, manufacturers or manufacturing process;
•warning letters or untitled letters alleging violations;
•civil and criminal penalties;
•injunctions;
•suspension or withdrawal of regulatory approvals;
•product seizures, detentions or import bans;
•voluntary or mandatory product recalls and publicity requirements;
•total or partial suspension of production;
•imposition of restrictions on operations, including costly new manufacturing requirements; and
•refusal to approve pending marketing applications or supplements to approved marketing applications.
Even if we were to obtain regulatory approval of a product candidate, the FDA or comparable foreign regulatory authorities may grant approval for fewer or more limited indications, populations, or uses than we request, may require significant safety warnings, including black box warnings, contraindications, and precautions, may grant approval contingent on the performance of costly post-marketing clinical trials, surveillance, restrictions on use or other requirements, including a REMS to monitor the safety or efficacy of the product, or may approve a product candidate with a label that does not include the labeling claims necessary or desirable for the successful commercialization of that product candidate. Any of these scenarios could compromise the commercial prospects for our product candidates.
If we experience delays in obtaining approval, our ability to generate revenues from that product candidate will be materially impaired. If we fail to obtain marketing approval for a product candidate, we will be prevented from commercializing the product candidate.
Our business may be adversely affected by the Coronavirus pandemic.
In December 2019, a novel strain of coronavirus, or COVID-19, was reported to have surfaced in Wuhan, China. As of March 2020, COVID-19 has spread to other countries, including the United States, and has been declared to be a pandemic by the World Health Organization. The United States has declared a National Emergency and efforts to contain the spread of COVID-19 have intensified, including severe travel restrictions imposed by the U.S. government related to China and Europe. The outbreak and any preventative or protective actions that we, our suppliers, our licensors and other collaborators or governments may take in respect of this coronavirus may disrupt our business. We are diligently working to ensure that we can operate with minimal disruption, and to mitigate the impact of the outbreak on our employees’ health and safety. However, given the interconnectivity of the global economy and the possible rate of future global transmission, the full extent to which the coronavirus pandemic could affect the global economy is unknown and its impact may extend beyond the areas which are currently known to be impacted. Any resulting financial impact will depend on future developments and cannot be reasonably estimated at this time, but may materially affect our business, financial condition and results of operations.
COVID-19 has and may continue to have an impact on ports and trade into and out of China and Hong Kong, as well as travel in the region and globally. We currently rely on CanSinoBIO, which is headquartered in Tianjin, China, for CMC development and manufacturing of clinical supplies for our gene therapy candidate, OCU400. Accordingly, there is a risk that supplies of OCU400 may be significantly delayed or may become unavailable as a result of COVID-19 and the resulting impact on CanSinoBIO’s labor force and operations and its ability to obtain the materials required for the manufacture of our clinical supplies, including impacts resulting from the Chinese government’s imposition of certain restrictions on business operations and the movement of people and goods in an effort to curtail the spread of the virus. There can be no assurance that we would be able to timely locate an alternative supplier or otherwise successfully implement any mitigation plans. Disruptions in our operations or supply chain, whether as a result of restricted travel, quarantine requirements or otherwise, could negatively impact our ability to proceed with our clinical trials, preclinical development and other activities and delay our ability to receive product approval and generate revenue.
In addition, our ongoing clinical trials for OCU300 may be affected by the COVID-19 outbreak. Clinical site initiation, patient enrollment and recruitment of clinical site investigators and staff at hospitals and medical institutions may be delayed due to prioritization of healthcare resources, such as physicians and staff, toward the COVID-19 outbreak. As COVID-19 has become a worldwide pandemic, it may delay enrollment in our clinical trials, and some patients may not be able to comply with clinical trial protocols if quarantines impede patient movement or interrupt healthcare services. Moreover, limitations on global international travel may interrupt key trial activities, including necessary interactions with regulators, ethics committees and other important agencies and contractors. We may be faced with limitations in employee resources that would otherwise be focused on the conduct of clinical trials, including because of sickness of employees or their families or the desire of employees to avoid contact with large groups of people. Any of the above could delay our clinical trials for OCU300 or prevent us from completing these clinical trials at all, and harm our ability to obtain approval for OCU300.
In addition, the continued spread of COVID-19 has led to severe disruption and volatility in the global capital markets, which could increase our cost of capital and adversely affect our ability to access the capital markets. It is possible that the continued spread of COVID-19 could cause an economic slowdown or recession or cause other unpredictable events, each of which could adversely affect our business, results of operations or financial condition.
The ultimate impact of the COVID-19 pandemic is highly uncertain and subject to change. The extent to which the coronavirus impacts our results will depend on future developments, which are highly uncertain and cannot be predicted, including new information which may emerge concerning the severity of the coronavirus, the ultimate geographic spread of the coronavirus, the duration of the outbreak, travel restrictions imposed by the United States and other countries, business closures or business disruption in the United States and other countries, a reduction in time spent out of home and the actions taken throughout the world, including in our markets, to contain the coronavirus or treat its impact. We do not yet know the full extent of potential delays or impacts on our business, our clinical trials, our preclinical development efforts, healthcare systems or the global economy as a whole. However, these effects could have a material impact on our operations, and we will continue to monitor the COVID-19 situation closely.
Data from preclinical studies and early stage clinical trials may not be predictive of success in later clinical trials.
The results of preclinical studies, preliminary study results, and early clinical trials of our product candidates may not be predictive of the results of later-stage clinical trials or the ultimately completed trial. Preliminary and final results from such studies may not be representative of study results that are found in larger, controlled, blinded, and more long-term studies. Product candidates in later stages of clinical trials may fail to show the desired safety and efficacy traits despite having progressed through preclinical studies and initial clinical trials. A number of companies have suffered significant setbacks in advanced clinical trials, notwithstanding promising results in earlier trials. In some instances, there can be significant variability in safety or efficacy results between different clinical trials of the same product candidate due to numerous factors, including changes in trial procedures set forth in protocols, differences in the size and type of the patient populations, changes in and adherence to the clinical trial protocols and the rate of dropout among clinical trial participants.
In addition, from time to time, we may publish interim, “top-line,” initial, or preliminary data from our clinical studies. Interim data from clinical trials are subject to the risk that one or more of the clinical outcomes may materially change as patient enrollment continues and more patient data becomes available. Preliminary, initial, or “top-line” data also remain subject to audit and verification procedures that may result in the final data being materially different from the preliminary data previously published. As a result, interim, “top-line”, initial, and preliminary data should be viewed with caution until the final data are available. Adverse changes between preliminary, initial, “top-line” or interim data and final data could significantly harm our business prospects.
With respect to OCU300, we have not conducted any clinical studies specifically with our proprietary nanoemulsion technology in patients with oGVHD. The formulation used in previous clinical studies conducted in patients with oGVHD is different from our proposed OCU300 nanoemulsion. The different formulation may impact the final Phase 3 clinical study results for OCU300. We have evaluated results from an investigator-led retrospective analyses of the use of brimonidine tartrate 0.15% eye drops in patients with oGVHD and an investigator-led prospective Phase 1/2 clinical trial assessing the use of 0.15% and 0.075% brimonidine tartrate eye drops in patients with oGVHD. The formulations used in these studies are different than our proposed OCU300 formulation. These studies and results are not sufficient to establish the safety and efficacy of OCU300 and the results from these studies should be viewed with caution. Additionally, these clinical studies were not powered for statistical significance due to their small sample size and the Phase 1/2 clinical study was discontinued early due to slow enrollment. These studies may not be predictive of the results of later studies conducted with the OCU300 formulation for which we intend to seek marketing approval. Moreover, although a dose ranging study was recommended but not required by FDA, we do not intend to conduct such a study and have proceeded directly into Phase 3 clinical trials. We cannot provide any assurance that
the results of our ongoing and future clinical trials will reflect favorable results obtained in prior preclinical studies or clinical trials.
The development and manufacture of biologics is a complex process and entails particular risks.
OCU200, our product candidate currently in preclinical development, is a novel biologic designed to treat retinal diseases. The process of developing and manufacturing biologics is complex, highly regulated and subject to multiple risks, and we have no experience in successfully developing, manufacturing or commercializing a biologics product. The manufacturing of biologics is highly susceptible to product loss due to contamination, equipment failure, improper installation or operation of equipment, vendor or operator error, inconsistency in yields, variability in product characteristics and difficulties in scaling the production process. Even minor deviations from normal manufacturing processes could result in reduced production yields, product defects and other supply disruptions and higher costs.
The raw materials required in our third-party vendors’ manufacturing processes are derived from biological sources. We cannot assure you that our third-party vendors have, or will be able to obtain on commercially reasonable terms, or at all, sufficient rights to these materials derived from biological sources. Such raw materials are difficult to procure and may also be subject to contamination or recall. If microbial, viral or other contaminations are discovered at the facilities of our manufacturer, such facilities may need to be closed for an extended period of time to investigate and remedy the contamination, which could delay clinical trials, result in higher costs of drug product and adversely harm our business. A material shortage, recall, or restriction on the use of biologically derived substances in the manufacture of our product candidates could adversely impact or disrupt the clinical and commercial manufacturing of our product candidates, which could materially and adversely affect our operating results and development timelines.
In addition, our biologics product candidates may expose us to additional potential product liability claims. The development of biologics products entails a risk of additional product liability claims because of the risk of transmitting disease to human recipients, and substantial product liability claims may be asserted against us as a result.
We may not be successful in our efforts to develop product candidates based on our OcuNanoE™ nanoemulsion formulation or expand the use of our OcuNanoE™ nanoemulsion formulation for treating additional diseases and conditions.
We are currently directing some of our development efforts towards developing product candidates, including our lead product candidate, OCU300, based on our proprietary OcuNanoE™ nanoemulsion formulation. We are the first company to use nanoemulsion technology in the ophthalmology space.
We expect to apply its OcuNanoE™ nanoemulsion formulation to support therapeutic interventions of other ocular diseases with the potential of improving the tear film stability and targeting of drug molecules to the specialized tissues. We have product candidates at various stages of development for treatment of eye diseases and are exploring the potential use of our OcuNanoE™ nanoemulsion formulation in other diseases. Our existing product candidates and any other potential product candidates that we identify may not be suitable for continued preclinical or clinical development, including as a result of being shown to have harmful side effects, a lack of efficacy or other characteristics that indicate that such product candidates are unlikely to be products that will receive marketing approval and achieve market acceptance.
If we do not successfully develop and commercialize our product candidates based upon our OcuNanoE™ nanoemulsion formulation, we may not be able to obtain substantial product revenues in future periods.
Our product candidates generated from our modifier gene therapy platform are based on a novel technology and face an uncertain regulatory environment, which makes it difficult to predict the time and cost of product candidate development and subsequently obtaining regulatory approval.
We anticipate that some of our product research and development efforts will be centered around our modifier gene therapy platform. The regulatory approval and successful commercialization of product candidates such as OCU400, a gene therapy designed to treat NR2E3 mutation-associated retinal degenerative disease and other IRDs, depend on the successful development of this platform. There can be no assurance that any development problems we experience in the future related to our modifier gene therapy platform will not cause significant delays or unanticipated costs, or that such development problems can be solved. The clinical trial requirements of the FDA, the EMA and other regulatory agencies and the criteria these regulators use to determine the safety and efficacy of a product candidate vary substantially according to the type, complexity, novelty and intended use and market of such product candidates. The regulatory approval process for novel product candidates
such as OCU400 can be more expensive and take longer than for other, better known or extensively studied pharmaceutical or other product candidates.
Regulatory requirements governing gene and cell therapy products have changed frequently and may continue to change in the future. For example, the FDA established the Office of Tissues and Advanced Therapies within its Center for Biologics Evaluation and Research (“CBER”) to consolidate the review of gene therapy and related products, and the Cellular, Tissue and Gene Therapies Advisory Committee to advise CBER on its review. Gene therapy clinical trials conducted at institutions that receive funding for recombinant DNA research from the United States NIH, are also subject to review by the NIH Novel and Exceptional Technology and Research Advisory Committee (“NExTRAC”), formerly the Recombinant DNA Advisory Committee, which now focuses on emerging areas of research including, but not restricted to, technologies surrounding advances in recombinant or synthetic nucleic acid research. Although the FDA decides whether individual gene therapy protocols may proceed, it is possible the NExTRAC review process, which is still being implemented, could delay the initiation of a clinical trial, even if the FDA has reviewed the trial design and details and approved its initiation. Before a clinical trial can begin at a study site, that the institution’s IRB, and its IBC, have to review the proposed clinical trial to assess the safety of the trial. In addition, adverse developments in clinical trials of gene therapy products conducted by others may cause the FDA or other regulatory bodies to change the requirements for approval of any of our product candidates.
These regulatory review committees and advisory groups and the new guidelines they promulgate may lengthen the regulatory review process, require us to perform additional studies, increase our development costs, lead to changes in regulatory positions and interpretations, delay or prevent approval and commercialization of our product candidates or lead to significant post-approval limitations or restrictions. As we advance our gene therapy product candidates, we will be required to consult with these regulatory and advisory groups, and comply with applicable guidelines. If we fail to do so, we may be required to delay or discontinue development of our gene therapy product candidates. These additional processes may result in a review and approval process that is longer than we otherwise would have expected for orphan ophthalmology product candidates. Delay or failure to obtain, or unexpected costs in obtaining, the regulatory approval necessary to bring a potential product to market could decrease our ability to generate sufficient product revenue to maintain our business.
Existing data on the safety and efficacy of gene therapy is very limited and sometimes include historically poor clinical efficacy of previous non-replicating gene therapy products. In addition, there have been publicized safety issues associated with previous gene therapy products in third-party clinical trials, including patient deaths. The results of preclinical and clinical trials performed for our product candidates will not definitively predict safety or efficacy in humans. OCU400 uses an adeno-associated virus vector. Possible serious side effects of other viral vector-based gene therapies in general include uncontrolled viral infections and the development of cancer, particularly lymphoma or leukemia. The risk of insertional mutagenesis or oncogenesis remains a significant concern for gene therapy, and we cannot provide any assurance that it will not occur in any of our planned or future clinical trials with respect to our product candidates based on our modifier gene therapy platform. There is also the potential risk of delayed adverse events following exposure to gene therapy products due to persistent biological activity of the genetic material or other components of products used to carry the genetic material. Potential procedure-related adverse reactions, including inflammation, can also occur. If any such adverse events occur during clinical trials, further advancement of such clinical trials could be halted or delayed, which would have a material adverse effect on our business and operations.
The FDA may determine that our product candidates have undesirable side effects that could delay or prevent their regulatory approval or commercialization. If such side effects are identified during the development of our product candidates, we may need to abandon our development of such product candidates.
Undesirable side effects caused by our product candidates could cause us, IRBs, and other reviewing entities or regulatory authorities to interrupt, delay, or halt clinical trials and could result in a more restrictive label or the delay or denial of regulatory approval by the FDA or other comparable foreign authorities. For example, if concerns are raised regarding the safety of one of our product candidates as a result of undesirable side effects identified during clinical or preclinical testing, the FDA may order us to cease further development or issue a letter requesting additional data or information prior to making a final decision regarding whether or not to approve the product candidate. FDA requests for additional data or information can result in substantial delays in the approval of a new product candidate.
Undesirable side effects caused by or any unexpected characteristics (alone or in combination with other products) for any of our product candidates could also result in denial of regulatory approval by the FDA or other comparable foreign authorities for any or all targeted indications or the inclusion of unfavorable information in our product labeling, such as limitations on the indicated uses or populations for which the products may be marketed or distributed, a label with significant safety warnings, including boxed warnings, contraindications, and precautions, a label without statements necessary or desirable for successful commercialization, or may result in requirements for costly post-marketing testing and surveillance, or other requirements,
including REMS, to monitor the safety or efficacy of the products. These could prevent us from commercializing and generating revenues from the sale of our product candidates.
Many compounds that initially showed promise in clinical or earlier stage testing have later been found to cause side effects that prevented further development of the compound. In addition, adverse events which had initially been considered unrelated to the study treatment may later be found to be caused by the study treatment. Moreover, incorrect or improper use of our product candidates (including use more frequently than is prescribed) by patients could cause unexpected side effects or adverse events. There can be no assurance that our product candidates will be used correctly, and if used incorrectly, such misuse could prevent its receipt or maintenance of marketing authorization, resulting in label changes or regulatory authority safety communications or warnings, or hamper commercial adoption of our product candidate, if approved, at the rate we currently expect.
While there have been a few adverse events that have occurred in the investigator-led clinical studies of brimonidine tartrate for the treatment of ocular redness and discomfort in patients with oGVHD, overall brimonidine tartrate was well-tolerated. We do not have any studies exploring long term exposure in these patient populations to brimonidine tartrate or our product candidates. Our understanding of the relationship between our product candidates and any adverse effects may change as we gather more information, and unexpected adverse effects, including serious adverse effects, may occur. We also do not have any studies demonstrating the safety profile of our other planned product candidates, which are currently in preclinical development.
If any of our product candidates are associated with serious adverse events or undesirable side effects or have properties that are unexpected, we may need to abandon development or limit development of that product candidate to certain uses or subpopulations in which the undesirable side effects or other characteristics are less prevalent, less severe or more acceptable from a risk-benefit perspective. The therapeutic-related side effects could affect patient recruitment or the ability of enrolled patients to complete the trial or result in potential product liability claims. We may also be held liable for harm caused to patients and our reputation may suffer. Any of these occurrences may significantly harm our business, financial condition, results of operations, and prospects.
If we experiences delays or difficulties in the enrollment of patients in clinical trials, our completion of clinical trials and receipt of necessary regulatory approvals could be delayed or prevented.
Identifying and qualifying patients to participate in clinical trials of our product candidates is critical to our success. The timing of our clinical trials depends on the speed at which we can recruit patients to participate in testing our product candidates. Our Phase 1/2 clinical study examining the use of brimonidine tartrate eye drops in patients with oGVHD was discontinued early due to slow enrollment, and we may experience similar difficulties in the future. If patients are unwilling to participate in our clinical trials because of negative publicity from adverse events in the industry or in the trials for other third party product candidates, or for other reasons, including competitive clinical trials for similar patient populations, the timeline for recruiting patients, conducting studies and obtaining regulatory approval of potential products may be delayed. These delays could result in increased costs, delays in advancing our product development, delays in testing the effectiveness of our product candidates or termination of the clinical trials altogether.
We or our clinical trial sites may not be able to identify, recruit and enroll a sufficient number of patients, or those with the required or desired characteristics in a clinical trial, to complete our clinical trials in a timely manner. Patient enrollment is affected by other factors including:
•the size and nature of the patient population (for instance, we are pursuing clinical trials for certain orphan indications, for which the size of the patient population is limited);
•the severity of the disease under investigation;
•the existence of current treatments for the indications for which we are conducting clinical trials;
•the eligibility criteria for and design of the clinical trial in question, including factors such as frequency of required assessments, length of the study and ongoing monitoring requirements;
•the perceived risks and benefits of the product candidate, including the potential advantages or disadvantages of the product candidate being studied in relation to other available therapies (for instance, novel therapies such as those involving our modifier gene therapy platform may suffer from negative publicity due to adverse events or other reasons);
•competition in recruiting and enrolling patients in clinical trials;
•efforts to facilitate timely enrollment in clinical trials;
•patient referral practices of physicians;
•effectiveness of publicity created by clinical trial sites regarding the trial;
•patients’ ability to comply with the specific instructions related to the trial protocol, proper documentation, and use of the product candidate;
•an inability to obtain or maintain patient informed consents;
•the risk that enrolled patients will drop out before completion or not return for post-treatment follow-up;
•the ability to monitor patients adequately during and after treatment;
•the ability to compensate patients for their time and effort; and
•the proximity and availability of clinical trial sites for prospective patients.
We may not be able to initiate or continue conducting clinical trials for our product candidates if we are unable to locate and enroll a sufficient number of eligible patients to participate in these trials as required by the FDA or similar regulatory authorities outside the United States. Our inability to enroll a sufficient number of patients for our clinical trials would result in significant delays and could require us to abandon one or more clinical trials altogether. In particular, there may be low or slow enrollment, and the studies may enroll subjects that do not meet the inclusion criteria, requiring the erroneously enrolled subjects to be excluded and the trial population to be increased. Moreover, patients in our clinical trials, especially patients in our control groups, may be at risk for dropping out of our studies if they are not experiencing relief of their disease. A significant number of withdrawn patients would compromise the quality of a study's data.
Enrollment difficulties or delays in our clinical trials may result in increased development costs for our product candidates, or the inability to complete development of our product candidates, which would cause our value to decline, limit our ability to obtain additional financing, and materially impair our ability to generate revenues.
Our development and commercialization strategy for OCU300 depends, in part, on published scientific literature and the FDA’s prior findings regarding the safety and efficacy of approved products. If we are not able to pursue this strategy, we will need to conduct additional development activities beyond what we currently plan, our development costs will increase, and we may be delayed in receiving regulatory authority approval. The submission of 505(b)(2) New Drug Applications may also subject us to the risk of patent infringement lawsuits or regulatory actions that would delay or prevent our submission of a marketing application to the FDA, or the FDA’s review and approval of our marketing applications.
The Hatch-Waxman Act added Section 505(b)(2) to the FDCA. Section 505(b)(2) permits the filing of an NDA, where at least some of the information required for approval comes from investigations that were not conducted by or for the applicant and for which the applicant has not obtained a right of reference or use from the person by or for whom the investigations were conducted. The FDA interprets Section 505(b)(2) of the FDCA, for purposes of approving an NDA, to permit the applicant to rely, in part, upon published literature and/or the FDA’s previous findings of safety and efficacy for an approved product. The FDA also requires companies to perform additional clinical trials or measurements to support any deviation from the previously approved product and to support the reliance on the applicable published literature or referenced product, referred to as bridging. The FDA may then approve the new product candidate for all or some of the label indications for which the referenced product has been approved, as well as for any new indication sought by the Section 505(b)(2) applicant, if such approval is supported by study data. The label, however, may require all or some of the limitations, contraindications, warnings or precautions or restrictions on use included in the reference product’s label, including a black box warning, or may require additional limitations, contraindications, warnings or precautions or restrictions on use.
We currently plan to pursue marketing approval for OCU300 in the United States through 505(b)(2) NDAs and will be completing bridging analyses prior to NDA submission. If the FDA disagrees with our conclusions regarding the appropriateness of our reliance on a reference listed drug or published literature or if we are not otherwise able to bridge to the reference listed drug or published literature to demonstrate that our reliance is scientifically appropriate, we could be required to conduct additional clinical trials or other studies to support our NDA, which could lead to unanticipated costs and delays or to the termination of our development program. If we are unable to obtain approval for our pharmaceutical formulations through the 505(b)(2) NDA process, we may be required to pursue the more expensive and time consuming 505(b)(1) approval process, which consists of full reports of investigations of safety and effectiveness conducted by or for the applicant.
There may also be circumstances under which the FDA would not allow us to pursue a 505(b)(2) application. For instance, should the FDA approve a pharmaceutically equivalent product to our product candidates, we would no longer be able to use the 505(b)(2) regulatory pathway. In that case, it is the FDA’s policy that the appropriate submission would be an ANDA, for a
generic version of the approved product. We may, however, not be able to immediately submit an ANDA or have an ANDA approval made effective, as we could be blocked by others’ periods of patent and regulatory exclusivity protection.
Notwithstanding the approval of a number of products by the FDA under Section 505(b)(2), pharmaceutical companies and others have objected to the FDA’s interpretation of Section 505(b)(2). If the FDA’s interpretation of Section 505(b)(2) is successfully challenged, the FDA may change our policies and practices with respect to Section 505(b)(2) regulatory approvals, which could delay or even prevent the FDA from approving any NDA that we submit pursuant to the 505(b)(2) process. It is also not uncommon for a sponsor of an approved product to file a citizen petition with the FDA seeking to delay approval of, or impose additional approval requirements for, pending competing products. If successful, such petitions can significantly delay, or even prevent, the approval of the new product. However, even if the FDA ultimately denies such a petition, the FDA may substantially delay approval while it considers and responds to the petition.
If we cannot seek approval for OCU300 through the 505(b)(2) regulatory pathway, we may need to conduct additional clinical trials, provide additional data and information and meet additional standards for regulatory approval. If this were to occur, the time and financial resources required to obtain FDA approval for OCU300, and the complications and risks associated with approval of OCU300, would likely substantially increase. Even if we are allowed to pursue the 505(b)(2) regulatory pathway to FDA approval, we cannot assure you that OCU300 will receive the requisite approvals for commercialization. Moreover, our inability to pursue a 505(b)(2) application could result in new competitive products reaching the market more quickly than our product candidates, which could hurt our competitive position and our business prospects.
Our use of the 505(b)(2) regulatory pathway may also subject us to the risk of patent infringement lawsuits or other regulatory actions that could prevent our submission of a marketing application for OCU300, or prevent the FDA making the approval of a marketing application effective. Applicants submitting NDAs under Section 505(b)(2) of the FDCA must provide a patent certification for the patents listed in the FDA’s list of Approved Drug Products with Therapeutic Equivalence Evaluations, commonly referred to as the Orange Book, for all reference listed drugs and for all brand name products identified in published literature upon which the 505(b)(2) application relies. The possible certifications are that (1) no patent information has been submitted to the FDA; (2) such patent has expired; (3) the date on which such patent expires; or (4) such patent is invalid or will not be infringed upon by the manufacture, use or sale of the drug product for which the application is submitted. If there are any listed patents for the reference listed or brand name products that we rely upon for our 505(b)(2) applications, the FDA may not approve our 505(b)(2) product candidates until all listed patents have expired, unless we challenge the listed patents through the last type of certification, also known as a paragraph IV certification, or otherwise indicates that we are not seeking approval of a patented method of use.
If we do challenge a listed patent through a paragraph IV certification, under the Hatch Waxman Act, the holder of the patents or NDAs that the 505(b)(2) application references may file a patent infringement lawsuit after receiving notice of the paragraph IV certification. Filing of a patent infringement lawsuit against the filer of the 505(b)(2) application within 45 days of the patent or NDA owner’s receipt of notice triggers a one time, automatic, 30-month stay of the FDA’s ability to make the 505(b)(2) NDA approval effective. In such a case, the FDA may not make the 505(b)(2) NDA approval effective until the earlier of 30 months from the receipt of the notice of the paragraph IV certification, the expiration of the patent, when the infringement case concerning each such patent was favorably decided in the applicant’s favor or settled, or such shorter or longer period as may be ordered by a court. Accordingly, we may invest a significant amount of time and expense in the development of one or more product candidates only to be subject to significant delay and patent litigation before such product candidates may be commercialized, if at all. In addition, a 505(b)(2) application approval may, in some cases, not be submitted, or may, in other cases, not be made effective until any existing non-patent regulatory exclusivities have expired or, if possible, are carved out from the label.
Companies that produce branded reference listed drugs routinely bring litigation against applicants that seek regulatory approval to manufacture and market new forms of their branded products. These companies often allege patent infringement or other violations of intellectual property rights as the basis for filing suit. Likewise, patent holders may bring patent infringement suits against companies that are currently marketing and selling such products. Litigation to enforce or defend intellectual property rights is often complex and often involves significant expense and can delay or prevent introduction or sale of our product candidates. If patents are held to be valid and infringed by our product candidates in a particular jurisdiction, we may be required to cease selling, relinquish or destroy existing stock, or pay monetary damages in that jurisdiction unless we can obtain a license from the patent holder. There may also be situations where we use our business judgment and decide to market and sell its approved products, notwithstanding the fact that allegations of patent infringement(s) have not been finally resolved by the courts, which is known as an “at risk launch.” The risk involved in doing so can be substantial because the remedies available to the owner of a patent for infringement may include, among other things, damages measured by the profits lost by the patent owner which may be greater than the profits earned by the infringer. In the case of willful infringement, such
damages may be increased up to three times. An adverse decision in patent litigation could have a material adverse effect on our business, financial position, and results of operations and could cause the market value of our common stock to decline.
Changes in product candidate manufacturing or formulation may result in additional costs or delay.
As product candidates are developed through preclinical studies to late-stage clinical trials toward approval and commercialization, it is common that various aspects of the development program, such as manufacturing methods, manufacturing sites, and formulation, are altered along the way in an effort to optimize processes and results. Any of these changes could cause our product candidates to perform differently and affect the results of planned clinical trials or other future clinical trials conducted with the altered materials. Such changes may also require additional testing, FDA notification, or FDA approval. For instance, the FDA may require that we conduct a comparability study that evaluates the potential differences in the product candidate resulting from the change. Delays in designing and completing such a study to the satisfaction of the FDA could delay or preclude our development and commercialization plans, and the regulatory approval of our product candidates. We may also require the repetition of one or more clinical trials, increase clinical trial costs, delay approval of our product candidates and jeopardize our ability to commence product sales and generate revenue. Any of the foregoing could limit our future revenues and growth. Any changes would also require that we devote time and resources to manufacturing development and would also likely require additional testing and regulatory actions on its part, which may delay the development of our product candidates.
We may expend our limited resources to pursue a particular product candidate or indication and fail to capitalize on product candidates or indications that may be more profitable or for which there is a greater likelihood of success.
Because we have limited financial and managerial resources, we focus on research programs and product candidates that we identify for specific indications. As a result, we may forego or delay pursuit of opportunities with other product candidates or for other indications that later prove to have greater commercial potential. Our resource allocation decisions may cause us to fail to capitalize on viable commercial products or profitable market opportunities. Our spending on current and future research and development programs and product candidates for specific indications may not yield any commercially viable products. If we do not accurately evaluate the commercial potential or target market for a particular product candidate, we may relinquish valuable rights to that product candidate through collaboration, licensing or other royalty arrangements in cases in which we would have been more advantageous for us to retain sole development and commercialization rights to such product candidate.
We may in the future conduct clinical trials for product candidates at sites outside the United States, and the FDA may not accept data from trials conducted in such locations.
We may in the future choose to conduct one or more of our clinical trials outside the United States. Although the FDA may accept data from clinical trials conducted outside the United States, acceptance of these data is subject to conditions imposed by the FDA. For example, the clinical trial must be well designed and conducted and be performed by qualified investigators in accordance with ethical principles, such as IRB or ethics committee approval and informed consent. The trial population must also adequately represent the U.S. population, and the data must be applicable to the U.S. population and U.S. medical practice in ways that the FDA deems clinically meaningful. In addition, while these clinical trials are subject to the applicable local laws (and therefore failure to comply with such laws could result in regulatory enforcement action), acceptance of the data by the FDA will be dependent upon its determination that the trials were conducted consistent with all applicable U.S. laws and regulations. If the FDA does not accept the data from any trial that we conduct outside the United States, it would likely result in the need for additional trials, which would be costly and time-consuming and could delay or permanently halt our development of the applicable product candidates.
Failure to obtain marketing approval in international jurisdictions would prevent our product candidates from being marketed abroad.
In order to market and sell our products in jurisdictions outside the United States, we must obtain separate marketing approvals in international jurisdictions and comply with numerous and varying regulatory requirements. The approval procedures vary among countries and the time required to obtain approval may differ substantially from that required to obtain FDA approval. The regulatory approval process outside the United States generally includes all of the risks associated with obtaining FDA approval. In addition, in many countries outside the United States, it is required that the product be approved for reimbursement before the product can be approved for sale in that country. Our clinical trials of our product candidates may not be sufficient to support an application for marketing approval outside the United States. Seeking foreign regulatory approval could result in difficulties and costs for us and require additional preclinical studies or clinical trials which could be costly and time consuming.
We do not have any product candidates approved for sale in any jurisdiction, including in international markets, and we do not have experience in obtaining regulatory approval in international markets. We, or any eventual collaborators, may not obtain approvals from regulatory authorities outside the United States on a timely basis, if at all. Approval by the FDA does not ensure approval by regulatory authorities in other countries or jurisdictions, and approval by one regulatory authority outside the United States does not ensure approval by regulatory authorities in other countries or jurisdictions or by the FDA. However, the failure to obtain approval in one jurisdiction may compromise our ability to obtain approval elsewhere. We may not be able to file for marketing approvals and may not receive necessary approvals to commercialize our products in any market.
Additionally, on June 23, 2016, the electorate in the United Kingdom voted in favor of leaving the European Union, commonly referred to as Brexit. On March 29, 2017, the United Kingdom formally notified the European Union of its intention to withdraw pursuant to Article 50 of the Lisbon Treaty. In October 2019, the United Kingdom and European Union agreed upon the terms of the U.K.'s withdrawal from the E.U. in the form of a Withdrawal Agreement. The Withdrawal Agreement was ratified by the U.K Parliament, and the European Parliament in Brussels, in late January 2020, with the consequence that Brexit formally occurred on January 31, 2020. An 11-month transition period will end on December 31, 2020. Since a significant proportion of the regulatory framework in the United Kingdom is derived from European Union directives and regulations, the withdrawal could materially impact the regulatory regime with respect to the approval of our product candidates in the United Kingdom or the European Union. Any delay in obtaining, or an inability to obtain, any marketing approvals, as a result of Brexit or otherwise, would prevent us from commercializing our product candidates in the United Kingdom and/or the European Union and restrict its ability to generate revenue and achieve and sustain profitability. If any of these outcomes occur, we may be forced to restrict or delay efforts to seek regulatory approval in the United Kingdom and/or European Union for our product candidates, which could significantly and materially harm our business.
We may be subject to fines, penalties, injunctions, or other enforcement actions if we are determined to be promoting the use of our products for unapproved or “off-label” uses, resulting in damage to our reputation and business.
We must comply with requirements concerning advertising and promotion for any product candidates for which we obtain marketing approval. Promotional communications with respect to therapeutics are subject to a variety of legal and regulatory restrictions and continuing review by the FDA, Department of Justice, Department of Health and Human Services’ Office of Inspector General, state attorneys general, members of Congress, and the public. When the FDA or comparable foreign regulatory authorities issue regulatory approval for a product candidate, the regulatory approval is limited to those specific uses and indications for which a product is approved. We may not market or promote them for other indications and uses, referred to as off-label uses. We further must be able to sufficiently substantiate any claims that we make for our products including claims comparing our products to other companies’ products and must abide by the FDA’s strict requirements regarding the content of promotion and advertising. While physicians may choose to prescribe products for uses that are not described in the product’s labeling and for uses that differ from those tested in clinical studies and approved by the regulatory authorities, we are prohibited from marketing and promoting the products for indications and uses that are not specifically approved by the FDA.
If we are found to have impermissibly promoted any of our product candidates, we may become subject to significant liability and government fines. The FDA and other agencies actively enforce the laws and regulations regarding product promotion, particularly those prohibiting the promotion of off-label uses, and a company that is found to have improperly promoted a product may be subject to significant sanctions. The federal government has levied large civil and criminal fines against companies for alleged improper promotion and has enjoined several companies from engaging in off-label promotion. The FDA has also requested that companies enter into consent decrees of permanent injunctions under which specified promotional conduct is changed or curtailed.
In the United States, engaging in the impermissible promotion of our products, following approval, for off-label uses can also subject us to false claims and other litigation under federal and state statutes, including fraud and abuse and consumer protection laws. Such litigation can lead to civil and criminal penalties and fines, agreements with governmental authorities that materially restrict the manner in which we promote or distribute therapeutic products and do business through, for example, corporate integrity agreements, suspension or exclusion from participation in federal and state healthcare programs, suspension and debarment from government contracts, and refusal of orders under existing government contracts. These false claims statutes include the federal civil FCA, which allows any individual to bring a lawsuit against a company on behalf of the federal government ("qui tam" action) alleging submission of false or fraudulent claims, or causing others to present such false or fraudulent claims, for payment by a federal program such as Medicare or Medicaid. If the government decides to intervene and prevails in the lawsuit, the individual will share in the proceeds from any fines or settlement funds. If the government declines to intervene, the individual may pursue the case alone. These FCA lawsuits against sponsors of drugs and biologics have increased significantly in volume and breadth, leading to several substantial civil and criminal settlements, up to $3.0 billion, pertaining to certain sales practices and promoting off-label uses. In addition, FCA lawsuits may expose sponsors to follow-on claims by private payers based on fraudulent marketing practices. This growth in litigation has increased the risk that companies
will have to defend a false claim action, and pay settlements fines or restitution, as well as criminal and civil penalties, agree to comply with burdensome reporting and compliance obligations, and be excluded from Medicare, Medicaid, or other federal and state healthcare programs. If we do not lawfully promote our approved products, if any, we may become subject to such litigation and, if we do not successfully defend against such actions, those actions may have a material adverse effect on our business, financial condition, results of operations and prospects.
In the United States, the distribution of product samples to physicians must further comply with the requirements of the U.S. Prescription Drug Marketing Act, and the promotion of biologic and pharmaceutical products are subject to additional FDA requirements and restrictions on promotional statements. If the FDA determines that our promotional activities violate our regulations and policies pertaining to product promotion, it could request that we modify our promotional materials or subject us to regulatory or other enforcement actions, including issuance of warning letters or untitled letters, suspension or withdrawal of an approved product from the market, requests for recalls, payment of civil fines, disgorgement of money, imposition of operating restrictions, injunctions or criminal prosecution, and other enforcement actions. These regulatory and enforcement actions could significantly harm our business, financial condition, results of operations, and prospects.
Even if our product candidates receive regulatory approval, we will be subject to ongoing obligations and continued regulatory review, which may result in significant additional expense.
Any product candidate for which we obtain marketing approval will be subject to extensive and ongoing requirements of and review by the FDA and other regulatory authorities, including requirements related to the manufacturing processes, post-approval clinical data, labeling, packaging, distribution, adverse event reporting, storage, recordkeeping, export, import, advertising, marketing, and promotional activities for such product. These requirements further include submissions of safety and other post-marketing information, including manufacturing deviations and reports, registration and listing requirements, the payment of annual fees, continued compliance with cGMPs or cGMP-requirements relating to manufacturing, quality control, quality assurance, and corresponding maintenance of records and documents, requirements regarding the distribution of samples to physicians and GCPs, for any clinical trials that we conduct post-approval.
Even if marketing approval of a product candidate is granted, the approval may be subject to limitations on the indicated uses and populations for which the product may be marketed or to the conditions of approval, including significant safety warnings, such as boxed warnings, contraindications, and precautions that are not desirable for successful commercialization. Any approved products may also be subject to a REMS that render the approved product not commercially viable or other post-market requirements, such as Phase 4 studies, or restrictions. If the FDA or comparable foreign regulatory authorities become aware of new safety information after approval of any of our product candidates, they may, among other actions, withdraw approval, require labeling changes or establishment of a REMS or similar strategy, impose significant restrictions on a product’s indicated uses or marketing, or impose ongoing requirements for potentially costly post-approval studies or post-market surveillance.
We and any of our collaborators, including our contract manufacturer, could be subject to periodic unannounced inspections by the FDA to monitor and ensure compliance with cGMPs and other FDA regulatory requirements. Application holders must further notify the FDA, and depending on the nature of the change, obtain FDA pre-approval for product and manufacturing changes.
In addition, later discovery of previously unknown adverse events or that the product is less effective than previously thought or other problems with our products, manufacturers or manufacturing processes, or failure to comply with regulatory requirements both before and after approval, may yield various results, including:
•restrictions on manufacturing, distribution, or marketing of such products;
•restrictions on the labeling, including restrictions on the indication or approved patient population, and required additional warnings, such as black box warnings, contraindications, and precautions;
•modifications to promotional pieces;
•issuance of corrective information;
•requirements to conduct post-marketing studies or other clinical trials;
•clinical holds or termination of clinical trials;
•requirements to establish or modify a REMS or a comparable foreign authority may require that we establish or modify a similar strategy;
•liability for harm caused to patients or subjects;
•reputational harm;
•warning, untitled, or cyber letters;
•suspension of marketing, withdrawal or recall of the products from the market;
•regulatory authority issuance of safety alerts, Dear Healthcare Provider letters, press releases, or other communications containing warnings or other safety information about the product;
•refusal to approve pending applications or supplements to approved applications that we submit;
•fines, restitution or disgorgement of profits or revenues;
•suspension or withdrawal of marketing approvals;
•refusal to permit the import or export of our products;
•product seizure or detention;
•FDA debarment, suspension and debarment from government contracts, and refusal of orders under existing government contracts, exclusion from federal healthcare programs, consent decrees, or corporate integrity agreements; or
•injunctions or the imposition of civil or criminal penalties, including imprisonment.
Any of these events could prevent us from achieving or maintaining market acceptance of the particular product candidate, if approved, or could substantially increase the costs and expenses of developing and commercializing such product, which in turn could delay or prevent us from generating significant revenues from its sale. Any of these events could further have other material and adverse effects on our operations and business and could adversely impact our stock price and could significantly harm our business, financial condition, results of operations, and prospects.
The FDA’s policies may change and additional government regulations may be enacted that could prevent, limit or delay regulatory approval of our product candidates, that could limit the marketability of our product candidates, or that could impose additional regulatory obligations on us. Changes in medical practice and standard of care may also impact the marketability of our product candidates.
We will need to obtain FDA approval of any proposed product names, and any failure or delay associated with such approval may adversely affect its business.
Any name we intend to use for our product candidates will require approval from the FDA regardless of whether we have secured a formal trademark registration from the U.S. Patent and Trademark Office (the “USPTO”). The FDA typically conducts a review of proposed product names, including an evaluation of the potential for confusion with other product names. The FDA may also object to a product name if it believes the name inappropriately implies medical claims or contributes to an overstatement of efficacy. If the FDA objects to any of our proposed product names, we may be required to adopt alternative names for our product candidates. If we adopt alternative names, we would lose the benefit of any existing trademark applications for such product candidate and may be required to expend significant additional resources in an effort to identify a suitable product name that would qualify under applicable trademark laws, not infringe the existing rights of third-parties, and be acceptable to the FDA. We may be unable to build a successful brand identity for a new trademark in a timely manner or at all, which would limit our ability to commercialize our product candidates.
In the future we may seek FDA designations to facilitate product candidate development, such as fast track or breakthrough designation. We may not receive any such designations or if we receive such designations they may not lead to faster development or regulatory review or approval and it does not increase the likelihood that our product candidates will receive marketing approval.
In the future, we may seek product designations, such as fast track or breakthrough designation, which are intended to facilitate the development or regulatory review or approval process for product candidates. Receipt of such a designation is within the discretion of the FDA. Accordingly, even if we believe one of our product candidates meets the criteria for a designation, the FDA may disagree. In any event, the receipt of such a designation for a product candidate may not result in a faster development process, review, or approval compared to product candidates considered for approval under conventional FDA procedures and does not assure ultimate marketing approval by the FDA. In addition, the FDA may later decide that the product candidates no longer meet the designation conditions, in which case any granted designations may be revoked.
OCU300 and OCU400 have received ODD from the FDA. However, there is no guarantee that we will be able to maintain this designation, receive this designation for any of our other product candidates, or receive or maintain any corresponding benefits, including periods of exclusivity.
We have obtained from the FDA Office of Orphan Products ODD for OCU300 for oGVHD and OCU400 for NR2E3 mutation-associated retinal diseases and CEP290 mutation-associated retinal diseases. We were the first company to receive ODD for oGVHD from the FDA. We may also seek ODD for its other product candidates, as appropriate. While ODD does provide us with certain advantages, it neither shortens the development time or regulatory review time of a product candidate nor gives the product candidate any advantage in the regulatory review or approval process.
Generally, if a product candidate with ODD subsequently receives marketing approval before another product considered by the FDA to be the same, for the same orphan indication, the product is entitled to a period of marketing exclusivity, which precludes the EMA or the FDA from approving another marketing application for the same drug or biologic for the same indication for a specified time period. The applicable period is seven years in the United States and 10 years in Europe. The European exclusivity period can be reduced to six years if a product no longer meets the criteria for ODD or if the product is sufficiently profitable so that market exclusivity is no longer justified.
We may not be able to obtain any future ODDs that we apply for, ODDs do not guarantee that we will be able to successfully develop our product candidates, and there is no guarantee that we will be able to maintain any ODDs that we receive. For instance, ODDs may be revoked if the FDA finds that the request for designation contained an untrue statement of material fact or omitted material information, or if the FDA finds that the product candidate was not eligible for designation at the time of the submission of the request.
Moreover, even if we are able to receive and maintain ODDs, we may ultimately not receive any period of regulatory exclusivity if our product candidates are approved. For instance, we may not receive orphan product regulatory exclusivity if the indication for which we receive FDA approval is broader than the ODD. Orphan exclusivity may also be lost for the same reasons that ODD may be lost. Orphan exclusivity may further be lost if we are unable to assure a sufficient quantity of the product to meet the needs of patients with the rare disease or condition.
Even if we obtain orphan exclusivity for any of our current or future product candidates, that exclusivity may not effectively protect the product from competition as different products can be approved for the same condition or products that are the same as ours can be approved for different conditions. Even after an orphan product is approved, the FDA can also subsequently approve a product containing the same principal molecular features for the same condition if the FDA concludes that the later product is clinically superior by means of greater effectiveness, greater safety, or providing a major contribution to patient care. The FDA may further grant ODD to multiple sponsors for the same compound or active molecule and for the same indication. If another sponsor receives FDA approval for such product before we do, we would be prevented from launching our product in the United States for the orphan indication for a period of at least seven years unless we can demonstrate clinical superiority. Moreover, third-party payors may reimburse for products off-label even if not indicated for the orphan condition.
Risks Related to the Commercialization of Our Product Candidates
We have no prior experience in the marketing, sale, and distribution of biologic and pharmaceutical products and there can be no assurance that our products, if approved, will be successfully commercialized.
We have no prior experience in the marketing, sale, and distribution of biologic and pharmaceutical products, and there are significant risks involved in the building and managing of a commercial infrastructure. The establishment and development of commercial capabilities, including compliance plans, to market any products we may develop will be expensive and time consuming and could delay any product launch, and we may not be able to successfully develop this capability. We will have to compete with other biologic, pharmaceutical and biotechnology companies to recruit, hire, train, manage, and retain marketing and sales personnel. Factors that may inhibit our efforts to commercialize our product candidates include:
•the inability to recruit, train, manage, and retain adequate numbers of effective sales and marketing personnel;
•the inability of sales personnel to obtain access to physicians or persuade adequate numbers of physicians to prescribe our product candidates;
•our inability to effectively oversee a geographically dispersed sales and marketing team;
•the costs associated with training sales and marketing personnel on legal and regulatory compliance matters and monitoring their actions;
•an inability to secure adequate coverage and reimbursement by government and private health plans;
•reduced realization on government sales from mandatory discounts, rebates and fees, and from price concessions to private health plans and pharmacy benefit managers necessitated by competition for access to managed formularies;
•the clinical indications for which the products are approved and the claims that we may make for the products;
•limitations or warnings, including distribution or use restrictions, contained in the products’ approved labeling;
•any distribution and use restrictions imposed by the FDA or to which we agree as part of a mandatory REMS or voluntary risk management plan;
•liability for sales or marketing personnel who fail to comply with the applicable legal and regulatory requirements;
•the lack of complementary products to be offered by sales personnel, which may put us at a competitive disadvantage relative to companies with more extensive product lines; and
•unforeseen costs and expenses associated with creating an independent sales and marketing organization or engaging a contract sales organization.
Should any of the foregoing occur, we may not be successful in commercializing any product candidates for which we receive marketing approval.
We face significant competition from other biologic, pharmaceutical and biotechnology companies, academic institutions, government agencies, and other research organizations. Our operating results will suffer if we fail to compete effectively.
The development and commercialization of new therapeutic products is highly competitive. We face competition with respect to our current product candidates and will face competition with respect to any product candidates that we may seek to develop or commercialize in the future, from major biologic and pharmaceutical companies, specialty biologic and pharmaceutical companies, and biotechnology companies worldwide. Potential competitors also include academic institutions, government agencies, and other public and private research organizations that conduct research, seek patent protection, and establish collaborative arrangements for research, development, manufacturing, and commercialization.
We are aware of several companies focusing on gene therapies for various indications, including Editas Medicine, Allergan, Inc., Adverum Biotechnologies, MeiraGTx, IVERIC bio, Inc., Applied Genetic Technologies Corporation and Roche Group, which acquired Spark Therapeutics, Inc. Luxturna™ (Spark Therapeutics) is currently the only gene therapy approved for an IRD in the United States, addressing only one out of 150 known mutations of the RPE65 gene. Companies that may compete with our OCU200 product candidate include the Roche Group, Regeneron Pharmaceuticals, Inc., and Novartis AG, which have marketed anti-VEGF products. We are also aware of other companies that are working on therapies for the whole eye, including Santen, Inc. and Ocular Therapeutix.
Our product candidates will target markets that are already served by a variety of competing products. Many of these existing products have achieved widespread acceptance among clinicians, patients and payors.
Our ability to compete may further be affected in many cases by insurers or other third-party payors, particularly Medicare, seeking to encourage the use of generic or biosimilar products. Many of the products that will compete with our product candidates, if approved, are available on a generic basis, and our product candidates may not demonstrate sufficient additional clinical benefits to clinicians, patients or payors to justify a higher price compared to generic products. Additional competing products are expected to become available on a generic basis over the coming years. In many cases, insurers or other third-party payors, particularly Medicare, seek to encourage the use of generic products.
Our commercial opportunities could be reduced or eliminated if our competitors develop and commercialize products that are safer, more effective, have fewer or less severe side effects, are more convenient or are less expensive than any products that we may develop. Our competitors also may obtain FDA or other regulatory approval for their products more rapidly than we may obtain approval for our products, which could result in our competitors establishing a strong market position before we are able to enter the market. They may obtain patent protection or other intellectual property rights that allow them to develop and commercialize their products before us and could limit our ability to develop or commercialize our product candidates. In addition, our ability to compete may be affected in many cases by insurers or other third-party payors coverage decisions.
Many of the companies against which we are competing or against which we may compete in the future have significantly greater financial resources and expertise in research and development, manufacturing, preclinical testing, conducting clinical
trials, obtaining regulatory approvals, and marketing approved products than we do. Mergers and acquisitions in the biologic, pharmaceutical and biotechnology industries may result in even more resources being concentrated among a smaller number of our competitors. Early stage companies may also prove to be significant competitors, particularly through collaborative arrangements with large and established companies. These third parties compete with us in recruiting and retaining qualified scientific and management personnel and establishing clinical trial sites and patient registration for clinical trials, as well as in acquiring technologies complementary to, or necessary for, our programs.
If we are unable to establish effective marketing and sales, capabilities or enter into agreements with third parties to market and sell our product candidates, if they are approved, we may be unable to generate product revenues.
We currently do not have a commercial infrastructure for the marketing, sale, and distribution of biologic and pharmaceutical products. If approved, in order to commercialize its products, we must build our marketing, sales, and distribution capabilities or make arrangements with third parties to perform these services. If we do not establish sales, marketing and distribution capabilities successfully, either on our own or in collaboration with third parties, we will not be successful in commercializing any product candidates for which we receive marketing approval.
Subject to FDA approval of any of its product candidates, we may build a commercial team of specialty sales and marketing representatives in support of OCU300 and possibly other preclinical product candidates that we develop in the United States, if and when they are approved, as well as distribution capabilities. There are risks involved with us establishing our own sales, marketing and distribution capabilities. Recruiting and training a sales force is expensive and time-consuming, particularly to the extent that we seek to commercialize any product for an indication, such as wet AMD, that has a patient population significantly larger than those addressed by its current lead product candidate, and could delay any product launch. We will be competing with many companies that currently have extensive and well-funded marketing and sales operations to recruit, hire, train and retain marketing and sales personnel. Further, we may underestimate the size of the sales force required for a successful product launch and may need to expand its sales force earlier and at a higher cost than it anticipated. If the commercial launch of our product candidates for which we recruit a sales force and establish marketing capabilities is delayed or does not occur for any reason, we would have prematurely or unnecessarily incurred these commercialization expenses. This may be costly, and our investment would be lost if it cannot retain or reposition our sales and marketing personnel.
We may also or alternatively decide to collaborate with a third-party or contract sales organization to commercialize any approved product candidates, in which event, our ability to generate product revenues may be limited. By example, we may retain commercialization rights to OCU300 or utilize a variety of collaboration, distribution and other marketing arrangements with one or more third parties to commercialize OCU300. Our product revenues and our profitability, if any, under any such third-party collaboration, distribution or other marketing arrangements are likely to be lower than if we were to market, sell and distribute OCU300 entirely ourselves. We may not be successful in entering into arrangements with third parties to sell, market and distribute its product candidates or may be unable to do so on terms that are favorable to us. In addition, we would have less control over the sales efforts of any other third parties involved in our commercialization efforts and any of them may fail to devote the necessary resources and attention to sell and market our product candidates effectively. We could also be held liable if they failed to comply with applicable legal or regulatory requirements.
In the event we are unable to develop a team of marketing and sales representatives or to establish an effective third-party contractual relationship for such services, we may not be able to commercialize our product candidates, which would limit our ability to generate product revenues. Even if we are able to effectively hire a sales force and develop a marketing and sales infrastructure, our sales force and marketing teams may not be successful in commercializing our product candidates.
If our product candidates do not achieve broad market acceptance, the revenues that we generate from their sales will be limited.
Even if our product candidates are approved by the appropriate regulatory authorities for marketing and sale, they may not gain acceptance among physicians, patients, third-party payors, and others in the medical community. Physicians are often reluctant to switch their patients and patients may be reluctant to switch from existing therapies even when new and potentially more effective or safer treatments enter the market. We have never commercialized a product candidate for any indication, and efforts to educate the medical community and third-party payors on the benefits of our product candidates may require significant resources and may not be successful. Market acceptance of our product candidates by the medical community, patients, and third-party payors will depend on a number of factors, some of which are beyond our control. If any product candidates for which we obtain regulatory approval does not gain an adequate level of market acceptance, it may not generate significant product revenues or become profitable.
We can provide no assurance that our lead product candidate, OCU300 for the treatment of oGVHD, will achieve market acceptance. While there are no drugs currently approved in the United States for treatment of oGVHD, there are several product candidates in clinical development for treatment of oGVHD in the United States. It is possible that doctors may rely on these treatments rather than OCU300, if and when it is approved for marketing by the FDA.
It is also possible that physicians may prescribe other less expensive brimonidine tartrate products off label rather that prescribe OCU300. As a result, clinicians, patients and third-party payors may choose to rely on products other than our product candidates for the treatment of ocular redness and discomfort in patients with oGVHD.
The degree of market acceptance of any of our product candidates will depend on a number of factors, including:
•the efficacy of our product candidates;
•the prevalence and severity of adverse events associated with such product candidates;
•interactions of our products with other medicines patients are taking and any restrictions on the use of our products together with other medications;
•the clinical indications for which the products are approved and the approved claims that we may make for the products;
•limitations or warnings contained in the product’s FDA-approved labeling, including potential limitations or warnings for such product candidates that may be more restrictive than other competitive products;
•changes in the standard of care for the targeted indications for such product candidates, which could reduce the marketing impact of any claims that we could make following FDA approval, if obtained;
•the relative convenience and ease of administration of such product candidates;
•cost of treatment versus economic and clinical benefit in relation to alternative treatments or therapies;
•the availability of third-party formulary coverage and adequate coverage or reimbursement by third parties, such as insurance companies and other healthcare payors, and by government healthcare programs, including Medicaid and particularly by Medicare in light of the prevalence of DED in persons over age 55;
•the price concessions required by third party payors to obtain coverage;
•the extent and strength of our marketing and distribution of such product candidates;
•the safety, efficacy, and other potential advantages over, and availability of, alternative treatments already used or that may later be approved;
•distribution and use restrictions imposed by the FDA with respect to such product candidates or to which we agree as part of a REMS or voluntary risk management plan;
•the timing of market introduction of such product candidates, as well as competitive products;
•its ability to offer such product candidates for sale at competitive prices;
•the extent of availability of generic or biosimilar versions of any products that compete with any of our product candidates and the extent to which they are offered at a substantially lower price than we expect to offer for our product candidates, if approved;
•the extent and strength of our third-party manufacturer and supplier support;
•the approval of other new products;
•adverse publicity about the product or favorable publicity about competitive products; and
•potential product liability claims.
With respect to our product candidates being developed based on our modifier gene therapy platform, market acceptance may also be constrained by ethical, social and legal concerns about gene therapy and genetic research, which could result in additional regulations restricting or prohibiting the products and processes we may use. The novelty of the technology and any negative publicity surrounding adverse events associated with gene therapy may also prevent the medical community, patients, and third-party payors from accepting gene therapy products in general, and our product candidates in particular, as medically useful, cost-effective and safe.
If the market opportunities for our product candidates are smaller than we believe, our revenue may be adversely affected, and our business may suffer.
The potential market opportunities for our product candidates are difficult to precisely estimate. Our estimates of the potential market opportunities are predicated on many assumptions, which may include industry knowledge and publications, third-party research reports, and other surveys, some of which we may have commissioned. Industry publications and third-party research, surveys and studies generally indicate that their information has been obtained from sources believed to be reliable, although they do not guarantee the accuracy or completeness of such information. While we believe these industry publications and third-party research, surveys and studies are reliable, we have not independently verified such data. In addition, while we believe that our internal assumptions are reasonable, these assumptions involve the exercise of significant judgment on the part of our management, are inherently uncertain, and the reasonableness of these assumptions has not been assessed by an independent source. If any of the assumptions proves to be inaccurate, the actual markets for our product candidates could be smaller than our estimates of the potential market opportunities, and as a result our product revenue may be limited, and it may be more difficult for us to achieve or maintain profitability.
If third-party payors do not reimburse patients for OCU300 or our other products candidates, if approved, or if reimbursement levels are set too low for us to sell our product candidates at a profit, our ability to successfully commercialize our product candidates, if approved, and our results of operations will be harmed.
Our ability to successfully commercialize OCU300 and our other product candidates, if approved, will depend in part on the extent to which coverage and adequate reimbursement for our product candidates will be available in a timely manner from third-party payors, including governmental healthcare programs such as Medicare and Medicaid, commercial health insurers and managed care organizations. This is particularly true with respect to our product candidates designed to treat DED, which is most prevalent in persons over age 55. Government authorities and other third-party payors, such as private health insurers and health maintenance organizations, determine which medications they will cover and establish reimbursement levels. Reimbursement decisions by particular third-party payors depend upon a number of factors, including each third-party payor’s determination that use of a product is:
•a covered benefit under its health plan;
•appropriate and medically necessary for the specific condition or disease;
•cost effective; and
•neither experimental nor investigational.
Obtaining coverage and reimbursement approval for our product candidates from government authorities or other third-party payors may be a time consuming and costly process that could require us to provide supporting scientific, clinical and cost-effectiveness data, including expensive pharmacoeconomic studies beyond the data required to obtain marketing approval, for the use of each product candidate to each government authority or other third-party payor. We may not be able to provide data sufficient to gain acceptance with respect to coverage and reimbursement.
Third-party payors may deny reimbursement for covered products if they determine that a medical product was not used in accordance with cost-effective diagnosis methods, as determined by the third-party payor, or was used for an unapproved indication. Third-party payors also may refuse to reimburse for procedures and devices deemed to be experimental. Third-party payors may also limit coverage to specific products on an approved list, or formulary, which might not include all of the approved products for a particular indication.
Increasingly, third-party payors are also requiring that drug companies provide them with predetermined discounts from list prices and are challenging the prices charged for medical products. These third-party payors could also impose price controls and other conditions that must be met by patients prior to providing coverage for use of our product candidates, if approved. For example, insurers may establish a “step-edit” system that requires a patient to first use a lower price alternative product prior to becoming eligible for reimbursement of a higher price product.
Third-party payors are increasingly attempting to contain healthcare costs by limiting both coverage and the level of reimbursement for medical products and services. The process for determining whether a payor will provide coverage for a product may be separate from the process for setting the price or reimbursement rate that the payor will pay for the product once coverage is approved. Levels of reimbursement may also decrease in the future, and future legislation, regulation or reimbursement policies of third-party payors may adversely affect the demand for and reimbursement available for our product candidates, which in turn, could negatively impact pricing. If patients are not adequately reimbursed for our product candidates,
if approved, they may reduce or discontinue purchases of it, which would result in a significant shortfall in achieving revenue expectations and negatively impact our business, prospects and financial condition.
Our product candidates may face competition sooner than anticipated.
Both our drug and biologic product candidates, if approved, may face competition from other products that are the same as or similar to our product candidates. If the FDA or comparable foreign regulatory authorities approve generic or similar versions of any of our product candidates that receive marketing approval, or such authorities do not grant our products appropriate periods of regulatory exclusivity before approving generic or similar versions of our products, the sales of our products could be adversely affected.
In the case of our drug product candidates, once an NDA is approved, the product will become a “reference listed drug” in the FDA’s Orange Book. Other applicants may then seek approval of generic versions of our products through submission of ANDAs in the United States. In support of an ANDA, a generic applicant would not need to conduct full clinical studies. Rather, the applicant generally must show that its product has the same active ingredient(s), dosage form, strength, route of administration, conditions of use and labeling, among other commonalities, as the reference listed drug and that the generic version is bioequivalent to the reference listed drug, meaning it is available at the site of action at the same rate and to the same extent as the reference listed drug. Generic products may be significantly less costly to bring to market than the reference listed drug and companies that produce generic products are generally able to offer them at lower prices and are generally preferred by third party payors. As a result, the FDA, the administration and Congress have recently taken steps to encourage increased generic drug competition in the market in an effort to bring down drug costs. Following the introduction of a generic drug, a significant percentage of the sales of any branded product or reference listed drug is typically lost to the generic product. Moreover, in addition to generic competition, we could face competition from other companies seeking approval of drug products that are similar to its products using the 505(b)(2) regulatory pathway. Such applicants may be able to rely on our product candidates, if approved, or other approved drug products or published literature to develop drug products that are similar to ours. The introduction of a drug product similar to our product candidates could expose us to increased competition.
Any ANDA or 505(b)(2) applicants seeking to rely upon any of our product candidates, if such product candidates are approved, would need to submit patent certification statements with their applications for any of our patents that are listed in the FDA’s Orange Book. There are detailed rules and requirements regarding the patents that may be submitted to the FDA for listing in the Orange Book. We may be unable to obtain patents covering our product candidates that contain one or more claims that satisfy the requirements for listing in the Orange Book. If one of our product candidates is approved and a patent covering that product candidate is not listed in the Orange Book, an ANDA or 505(b)(2) applicant would not have to submit a patent certification with regard to such patent to the FDA, in which case, we would not receive the protections provided by the Hatch Waxman Act.
Moreover, if an ANDA or 505(b)(2) applicant files a paragraph IV challenge to any patents that we may list in the FDA’s Orange Book and if we do not file a patent infringement lawsuit within 45 days of receiving notice of a paragraph IV certification, the ANDA or 505(b)(2) applicant would not be subject to a 30-month stay. If we did file such an action, the litigation or other proceedings to enforce or defend its intellectual property rights would likely be complex in nature, may be expensive and time consuming, may divert its management’s attention from its core business, and may result in unfavorable results that could adversely impact our ability to prevent third parties from competing with our products. Accordingly, upon approval of our product candidates We may be subject to generic competition or competition from similar products, or may need to commence patent infringement proceedings, which would divert our resources.
We currently anticipate that we may be eligible for three years of non-patent marketing exclusivity in the United States for OCU300 if it is approved. These three years, however, would only protect our modifications in formulation or approved uses in comparison to the reference listed drug, would not prevent other companies from submitting full NDAs, and would not prevent physicians from prescribing other products off-label or third-party payors from reimbursing for them.
If the FDA licenses OCU400, OCU410 or OCU200, we may face competition from biosimilar products.
The enactment of the Biologics Price Competition and Innovation Act of 2009 ("BPCIA"), as part of the ACA, created an abbreviated pathway for the approval of biosimilar and interchangeable biological products. The abbreviated regulatory pathway establishes legal authority for the FDA to review and approve biosimilar biologics, including the possible designation of a biosimilar as “interchangeable” based on its similarity to an existing brand product. As in the generic drug product space, the FDA and the administration are taking steps to encourage increased biosimilar competition in the market in an effort to bring down the cost of biologic products, including actions aimed at deterring anti-competitive business practices. If another company pursues approval of a product that is biosimilar to any biologic product for which we receive FDA approval, we may
need to pursue costly and time-consuming patent infringement actions, which may include certain statutorily specified regulatory steps before an infringement action may be brought. Biosimilar applicants may also be able to bring an action for declaratory judgment concerning our patents, requiring that we spend time and money defending the action.
Under the BPCIA, an application for a biosimilar product cannot be approved by the FDA until 12 years after the original branded product was approved under a BLA. Certain changes, however, and supplements to an approved BLA, and certain subsequent applications filed by the same sponsor, manufacturer, licensor, predecessor in interest, or other related entity do not qualify for the 12-year exclusivity period. Moreover, there have been efforts to decrease this period of exclusivity to a shorter timeframe. Future proposed budgets, international trade agreements and other arrangements or proposals may affect periods of exclusivity. Our biologic product candidates may qualify for the BPCIA’s 12-year period of exclusivity, however, there is a risk that the FDA will not consider our product candidates to be reference products for competing products, potentially creating the opportunity for biosimilar competition sooner than anticipated. Additionally, this period of regulatory exclusivity does not apply to companies pursuing regulatory approval via their own traditional BLA, rather than via the abbreviated pathway. Moreover, the extent to which a biosimilar, once approved, will be substituted for any one of our reference products in a way that is similar to traditional generic substitution for non-biological products is not yet clear, and will depend on a number of marketplace and regulatory factors that are still developing. It is also possible that payers will give reimbursement preference to biosimilars, even over reference biologics, absent a determination of interchangeability.
For certain of our drug and biologic product candidates, we may seek pediatric exclusivity, which is another type of non-patent marketing exclusivity in the United States. This is not a patent term extension, but it effectively extends the regulatory period during which the FDA cannot approve another application. We cannot provide any assurance that pediatric exclusivity will be obtained for any of our product candidates.
To the extent we do not receive any anticipated periods of regulatory exclusivity or to the extent FDA or foreign regulatory authorities approve any biosimilar, interchangeable, generic, similar, or other competing products, our business would be adversely impacted. Competition that our products may face from generic, biosimilar, interchangeable, similar, or other competing products could materially and adversely impact our future revenue, profitability, and cash flows and substantially limit our ability to obtain a return on the investments we have made in those product candidates.
If we obtain approval to commercialize our product candidates outside of the United States, a variety of risks associated with international operations could materially adversely affect our business.
If any of our product candidates are approved for commercialization, we may enter into agreements with third parties to market them on a worldwide basis or in more limited geographical regions. We expect that we will be subject to additional risks related to conducting marketing and sales activities in international jurisdictions and entering into international business relationships, including:
•different regulatory requirements for approval of drugs and biologics in foreign countries;
•the potential for so-called parallel importing, which is what happens when a local seller, faced with high or higher local prices, opts to import goods from a foreign market (with low or lower prices) rather than buying them locally;
•challenges enforcing our contractual and intellectual property rights, especially in those foreign countries that do not respect and protect intellectual property rights to the same extent as the United States;
•the need to seek additional patent approvals, licenses to patents held by third parties and/or face claims of infringing third-party patent rights;
•unexpected changes in tariffs, trade barriers and regulatory requirements;
•economic weakness, including inflation, or political instability in particular foreign economies and markets;
•compliance with tax, employment, immigration and labor laws for employees living or traveling abroad;
•foreign currency fluctuations, which could result in increased operating expenses and reduced revenues, and other obligations incident to doing business in another country;
•difficulties staffing and managing foreign operations;
•workforce uncertainty in countries where labor unrest is more common than in the United States;
•potential liability under the FCPA, the U.K. Bribery Act 2010 (the "Bribery Act") or other comparable foreign regulations;
•production shortages resulting from any events affecting raw material supply or manufacturing capabilities abroad; and
•business interruptions resulting from geopolitical actions, including war and terrorism, or natural disasters including pandemics or other outbreaks of infectious disease, earthquakes, typhoons, floods and fires.
These and other risks associated with international operations may materially adversely affect our ability to attain or maintain profitable operations.
We face potential product liability exposure, and if successful claims are brought against us, we may incur substantial liability for our product candidates and may have to limit our commercialization.
The use of our product candidates in clinical trials, and the sale of any of our product candidates for which we obtain regulatory approval, exposes us to the risk of product liability claims. Product liability claims might be brought against us by consumers, healthcare providers, pharmaceutical companies or others selling or otherwise coming into contact with our products. For example, we may be sued if any product candidate we develop allegedly causes injury or is found to be otherwise unsuitable during clinical testing, manufacturing, marketing or sale. Any such product liability claims may include allegations of defects in manufacturing, defects in design, a failure to warn of dangers inherent in the product, negligence, strict liability or a breach of warranties. Claims could also be asserted under state consumer protection acts. If we cannot successfully defend ourself against these claims, we will incur substantial liabilities or be required to limit development or commercialization of our product candidates. Even successful defense would require significant financial and management resources. Regardless of merit or eventual outcome, liability claims may result in:
•loss of revenue from decreased demand for our products and/or product candidates;
•impairment of our business reputation or financial stability;
•costs of related litigation;
•substantial monetary awards to patients or other claimants;
•exhaustion of any available insurance and our capital resources;
•diversion of management attention;
•withdrawal of clinical trial participants and potential termination of clinical trial sites or entire clinical programs;
•the inability to commercialize our product candidates;
•significant negative media attention;
•decrease in our stock price; or
•initiation of investigations, and enforcement actions by regulators; and product recalls, withdrawals, revocation of approvals, or labeling, marketing or promotional restrictions.
We currently hold $5.0 million in product liability insurance coverage in the aggregate, with a per incident limit of $5.0 million, which may not be adequate to cover all liabilities that we may incur. We may need to increase our insurance coverage as we expand our clinical trials. We will need to further increase our insurance coverage if we commence commercialization of any of our product candidates for which we obtain marketing approval. Insurance coverage is increasingly expensive. We may not be able to maintain insurance coverage at a reasonable cost or in an amount adequate to satisfy any liability that may arise. On occasion, large judgments have been awarded in class action lawsuits based on therapeutics that had unanticipated side effects. Our insurance policies also have various exclusions, and we may be subject to a product liability claim for which we have no coverage. A successful product liability claim or series of claims brought against us could cause our stock price to fall and, if judgments exceed our insurance coverage, could decrease our cash and adversely affect our business and our prospects.
Risks Related to Our Dependence on Third Parties
We rely, and expect to continue to rely, on third parties to conduct, supervise, and monitor our preclinical studies and clinical trials, and those third parties may not perform satisfactorily, including failing to meet deadlines for the completion of such trials or failing to comply with regulatory requirements.
We rely on third parties, study sites, and others to conduct, supervise, and monitor our preclinical and clinical trials for our product candidates and do not currently plan to independently conduct clinical or preclinical trials of any other potential product candidates. We expect to continue to rely on third parties, such as CROs, clinical data management organizations, medical and
scientific institutions, and clinical and preclinical investigators, to conduct our preclinical studies and clinical trials. For example, for the clinical studies completed to date concerning the use of brimonidine tartrate for the treatment of ocular discomfort and ocular redness in patients with oGVHD, we relied on an investigator to sponsor and conduct the studies. For the clinical study concerning the use of brimonidine tartrate for the treatment of the signs and symptoms of DED, while we sponsored the study, we relied on third-party vendors and investigators for the conduct of the study.
While we have agreements governing the activities of such third parties, we have limited influence and control over their actual performance and activities. Our third-party service providers are not our employees, and except for remedies available to us under our agreements with such third parties, we cannot control whether or not they devote sufficient time and resources to our ongoing clinical, non-clinical, and preclinical programs. Nevertheless, we are responsible for ensuring that each of our studies is conducted in accordance with the applicable protocol, legal, regulatory, and scientific standards and our reliance on third parties does not relieve us of our regulatory responsibilities. For example, we will remain responsible for ensuring that each of our trials is conducted in accordance with the general investigational plan and protocols for the trial. We must also ensure that our preclinical trials are conducted in accordance with GLP and under cGMP conditions, as appropriate. Moreover, the FDA and comparable foreign regulatory authorities require us to comply with GCPs for conducting, recording, and reporting the results of clinical trials to assure that data and reported results are credible and accurate and that the rights, integrity, and confidentiality of trial participants are protected. The FDA enforces these GCPs through periodic inspections of trial sponsors, principal investigators, clinical trial sites and institutional review boards.
If these third parties do not successfully carry out their contractual duties, meet expected deadlines or conduct our preclinical studies or clinical trials in accordance with regulatory requirements or our stated protocols, if they need to be replaced or if the quality or accuracy of the data they obtain is compromised due to the failure to adhere to our protocols, regulatory requirements or for other reasons:
•we or our CROs or other third-party collaborators may be subject to regulatory enforcement or other legal actions;
•the data generated in our trials may be deemed unreliable and our trials may need to be repeated, extended, delayed, or terminated;
•we may not be able to obtain, or may be delayed in obtaining, marketing approvals for our product candidates; or
•we may not be able to, or may be delayed in our efforts to, successfully commercialize our product candidates.
We cannot assure you that upon inspection by a given regulatory authority, such regulatory authority will determine that any of our clinical trials complies with the applicable regulatory requirements. To the extent we are unable to successfully identify and manage the performance of third-party service providers in the future, our business may be materially and adversely affected. As a result, our results of operations and the commercial prospects for our product candidates would be harmed, our costs could increase and our ability to generate revenues could be delayed.
Our reliance on third parties in connection with our clinical trials will entail additional risks. Our third-party service providers may have relationships with other entities, some of which may be our competitors, for whom they may also be conducting trials or other therapeutic development activities that could harm our competitive position. In addition, we will be required to report certain financial interests of our third-party investigators if these relationships exceed certain financial thresholds or meet other criteria. The FDA or comparable foreign regulatory authorities may question the integrity of the data from those clinical trials conducted by investigators who may have conflicts of interest. Lastly, we are required to register certain clinical trials and post the results of certain completed clinical trials on a government-sponsored database, ClinicalTrials.gov, within specified timeframes. Failure to do so can result in enforcement actions and adverse publicity.
Agreements with third parties conducting or otherwise assisting with our clinical or preclinical studies might terminate for a variety of reasons, including a failure to perform by the third parties. If any of our relationships with these third parties terminate, we may not be able to enter into arrangements with alternative providers or to do so on commercially reasonable terms. Switching or adding additional third parties involves additional cost and requires management time and focus. In addition, there is a natural transition period when a new third party commences work. As a result, if we need to enter into alternative arrangements, it could delay our product development activities and adversely affect our business. Though we carefully manage our relationships with its third parties, there can be no assurance that we will not encounter challenges or delays in the future or that these delays or challenges will not have a material adverse impact on our business, financial condition and prospects, and results of operations.
We also rely on other third parties to store and distribute our products for the clinical and preclinical trials that we conduct. Any performance failure on the part of its distributors could delay development, marketing approval, or commercialization of our product candidates, producing additional losses and depriving us of potential product revenue.
If we encounter difficulties in negotiating commercial manufacturing and supply agreements with third-party manufacturers and suppliers of our product candidates or any product components, our ability to commercialize our product candidates, if approved, would be impaired.
We do not manufacture any of our product candidates or any product components, and we do not currently plan to develop any capacity to do so. We expect to rely on a qualified supplier to manufacture and supply to us a minimum amount of brimonidine tartrate (the drug substance used in the manufacture of OCU300) for use in process validation campaigns and future commercial needs. We expect to rely on our qualified supplier and other third parties to manufacture clinical supplies of other product candidates and commercial supplies of all of our products, if and when approved for marketing by applicable regulatory authorities, as well as for packaging, serialization, storage, distribution and other production logistics. We, however, may not succeed in our efforts to establish manufacturing relationships or other alternative arrangements for any of our product candidates, components and programs, or may be unable to do so on commercially favorable terms. If we are unable to enter into such agreements on commercially favorable terms, our future profit margins would be adversely affected and our ability to commercialize any products that receive marketing approval on a timely and competitive basis would be impaired. As a result, our business, financial condition and results of operations would be materially adversely affected.
If the manufacturers upon whom we rely fail to produce our product candidates or components pursuant to the terms of contractual arrangements with us or fail to comply with stringent regulations applicable to biologic and pharmaceutical manufacturers, we may face delays in the development and commercialization of, or be unable to meet demand for, our product candidates and may lose potential revenues.
As with the third parties on which we rely for our clinical trial activities, we have agreements governing the activities of our manufacturers but have limited influence and control over their actual performance and activities. Our third-party manufacturers are not our employees, and except for remedies available to us under our agreements with such third parties, we cannot control whether or not they devote sufficient time and resources to its manufacturing requirements. If these third-party manufacturers do not successfully carry out their contractual duties, meet expected deadlines or manufacture our product candidates in accordance with regulatory requirements, if there are disagreements between us and such parties, clinical development or marketing approval of our product candidates could be delayed.
The manufacture of biologic and pharmaceutical products requires significant expertise and capital investment, including the development of advanced manufacturing techniques and process controls. Manufacturers of therapeutics often encounter difficulties in production, particularly in scaling up initial production. These problems include difficulties with production costs and yields, quality control, including stability of the product candidate and quality assurance testing, shortages of qualified personnel, and compliance with strictly enforced federal, state, and foreign regulations. If our manufacturers were to encounter any of these difficulties and were unable to perform as agreed, our ability to provide product candidates to patients in our clinical trials and for commercial use, if approved, would be jeopardized.
In addition, all manufacturers of our product candidates and therapeutic substances must comply with cGMP requirements enforced by the FDA that are applicable to both finished products and their active components used both for clinical and commercial supply. The FDA enforces these requirements through its facilities inspection program. Our manufacturers must be approved by the FDA pursuant to inspections that will be conducted after we submit our marketing applications to the agency. Our manufacturers will also be subject to continuing FDA and other regulatory authority inspections should we receive marketing approval. Further, we, in cooperation with our contract manufacturers, must supply all necessary chemistry, manufacturing, and control documentation to the FDA in support of a marketing application on a timely basis.
The cGMP requirements include quality control, quality assurance, and the maintenance of records and documentation. Manufacturers of our product candidates and the therapeutic substances and active pharmaceutical ingredients necessary to produce our product candidates may be unable to comply with its specifications, cGMP requirements and with other FDA, state, and foreign regulatory requirements. Poor control of production processes can lead to the introduction of adventitious agents or other contaminants, or to inadvertent changes in the properties or stability of a product candidate that may not be detectable in final product testing. If our contract manufacturers cannot successfully manufacture material that conforms to our specifications and the strict regulatory requirements of the FDA or other regulatory authorities, they will not be able to secure or maintain regulatory approval for their manufacturing facilities. Any such deviations may also require remedial measures that may be costly and/or time-consuming for us or a third party to implement and that may include the temporary or permanent suspension of a clinical trial or commercial sales or the temporary or permanent closure of a facility. Any resulting delays in obtaining products or product candidates that comply with the applicable regulatory requirements may result in delays to clinical trials, product approvals, and commercialization. It may also require that we conduct additional studies.
While we are ultimately responsible for the manufacture of our product candidates, other than through our contractual arrangements, we have little control over our manufacturers’ compliance with these regulations and standards. A failure to comply with the applicable regulatory requirements may result in regulatory enforcement actions against our manufacturers or us, including fines and civil and criminal penalties, including imprisonment, suspension or restrictions of production, injunctions, delay, withdrawal or denial of product approval or supplements to approved products, clinical holds or termination of clinical studies, warning or untitled letters, regulatory authority communications warning the public about safety issues with the product, refusal to permit the import or export of the products, product seizure, detention, or recall, operating restrictions, suits under the civil FCA, corporate integrity agreements, or consent decrees. Depending on the severity of any potential regulatory action, our clinical or commercial supply could be interrupted or limited, which could have a material adverse effect on our business.
Any problems or delays we experience in preparing for commercial-scale manufacturing of a product candidate or component, including manufacturing validation, may result in a delay in FDA approval or commercial launch of the product candidate or may impair our ability to manufacture commercial quantities or such quantities at an acceptable cost, which could result in the delay, prevention, or impairment of commercialization of our product candidates and could adversely affect our business.
We or our third-party manufacturers may also encounter shortages in the materials necessary to produce our product candidates in the quantities needed for our clinical trials or, if our product candidates are approved, in sufficient quantities for commercialization.
We or our third-party manufacturers may also encounter shortages in the raw materials, therapeutic substances, or active pharmaceutical ingredients necessary to produce our product candidates in the quantities needed for our clinical trials or, if our product candidates are approved, in sufficient quantities for commercialization or to meet an increase in demand. Such shortages may occur for a variety of reasons, including capacity constraints, delays or disruptions in the market, and shortages caused by the purchase of such materials by our competitors or others. We or our third-party manufacturers’ failure to obtain the raw materials, therapeutic substances, or active pharmaceutical ingredients necessary to manufacture sufficient quantities of our product candidates may cause the manufacturers to fail to deliver the required commercial quantities of our product candidates on a timely basis and at commercially reasonable prices. If such failure occurs, we would likely be unable to meet the demand for our products and we would lose potential revenues.
The number of available, qualified third-party manufactures is limited, and if we are compelled to locate an alternative manufacturing partner our product development activities and commercialization could be delayed and additional expense would be incurred.
There are a limited number of manufacturers that operate under cGMP regulations and that are both capable of manufacturing for us and willing to do so, and therefore our product candidates may compete with other products and product candidates for access to manufacturing facilities. Moreover, because our product candidates must be manufactured under sterile conditions, the number of manufacturers who can meet this requirement are even more limited. If our existing third-party manufacturers, or the third parties that we engage in the future to manufacture a product or component for commercial sale or for our clinical trials should cease to continue to do so for any reason (including the termination of our agreements with such manufacturers, which can occur for a variety of reasons, or the bankruptcy of such manufacturers), it would be difficult to obtain a suitable alternative manufacturer. We would likely experience delays in obtaining sufficient quantities of our product candidates for us to meet commercial demand or to advance our clinical trials while we identify and qualify replacement suppliers. Any change in our manufacturers could be costly because the commercial terms of any new arrangement could be less favorable and because the expenses relating to the transfer of necessary technology and processes could be significant.
If the FDA or a comparable foreign regulatory authority does not approve the facilities for the manufacture of our product candidates or if the FDA withdraws any such approval in the future, we may need to find alternative manufacturing facilities. Any new manufacturers would need to either obtain or develop the necessary manufacturing know-how, and obtain the necessary equipment and materials, which may take substantial time and investment. We must also receive FDA approval for the use of any new manufacturers for commercial supply. Any such developments would significantly impact our ability to develop, obtain and maintain regulatory approval for or market our product candidates, if approved.
The number of available third-party facilities may also be further limited by natural disasters, such as pandemics, floods or fire, or such facilities could face manufacturing issues, such as contamination or regulatory findings following a regulatory inspection of such facility. In such instances, an appropriate replacement third-party relationship may not be readily available to us or on acceptable terms, which would cause additional delay and increased expense and may have a material adverse effect on our business.
We may rely on third parties to perform many essential services for any products that we commercialize. If these third parties fail to perform as expected or to comply with legal and regulatory requirements, our ability to commercialize our product candidates will be significantly impacted and we may be subject to regulatory sanctions.
We may retain third-party service providers to perform a variety of functions related to the sale and distribution of our product candidates, key aspects of which will be out of our direct control. These service providers may provide key services related to warehousing and inventory control, distribution, customer service, accounts receivable management, and cash collection. If these third-party service providers fail to comply with applicable laws and regulations, fail to meet expected deadlines, or otherwise do not carry out their contractual duties to us, or encounter physical or natural damage at their facilities, our ability to deliver product to meet commercial demand would be significantly impaired and we may be subject to regulatory enforcement action.
In addition, we may engage third parties to perform various other services for us relating to pharmacovigilance and adverse event reporting, safety database management, fulfillment of requests for medical information regarding our product candidates and related services. If the quality or accuracy of the data maintained by these service providers is insufficient, or these third parties otherwise fail to comply with regulatory requirements, we could be subject to regulatory sanctions.
We may also contract with a third party to calculate and report pricing information mandated by various government programs. If a third party fails to timely report or adjust prices as required, or errors in calculating government pricing information from transactional data in our financial records, it could impact our discount and rebate liability, and potentially subject us to regulatory sanctions or FCA lawsuits.
We may seek to collaborate with third parties for the development or commercialization of our product candidates. We may not be successful in establishing or maintaining collaborative relationships, which could adversely affect our ability to develop and commercialize our product candidates.
In the future we may seek collaboration arrangements with biologic, pharmaceutical or biotechnology companies for the development or commercialization of our product candidates. We may utilize a variety of types of collaboration, distribution and other marketing arrangements with third parties to develop and commercialize our product candidates outside the United States. We may also enter into arrangements with third parties to perform these services in the United States if we do not establish our own sales, marketing and distribution capabilities in the United States or if we determines that such third-party arrangements are otherwise beneficial. We may also consider potential collaborative partnership opportunities for sales, marketing, distribution, development, or licensing or broader collaboration arrangements, including with large and mid-size pharmaceutical companies, regional and national pharmaceutical companies and biotechnology companies. We are not currently party to any such arrangement.
The success of future collaboration arrangements that we may enter into will depend heavily on the efforts and activities of our collaborators. Collaborators generally have significant discretion in determining the efforts and resources that they will apply to collaboration arrangements. Accordingly, if we do enter into any such arrangements with any third parties in the future, we will likely have limited control over the amount and timing of resources that our collaborators dedicate to the development or commercialization of our product candidates. Our ability to generate revenues from these arrangements will depend on our collaborators’ abilities and efforts to successfully perform the functions assigned to them in these arrangements. Disagreements between parties to a collaboration arrangement regarding clinical development and commercialization matters can lead to delays in the development process or commercializing the applicable product candidate and, in some cases, termination of the collaboration arrangement. These disagreements can be difficult to resolve if neither of the parties has final decision-making authority. Moreover, collaborations with biologic and pharmaceutical companies and other third parties are often terminated or allowed to expire. Any such termination or expiration would adversely affect us financially and could harm our business reputation.
We may also license the right to market and sell our product candidates under our collaborators’ labeler codes. Alternatively, we may enter into agreements with collaborators to market and sell our product candidates under our own labeler code, in which case errors and omissions by collaborators in capturing and transmitting transactional data may impact the accuracy of our government price reporting.
Any future collaborations we might enter into may pose a number of additional risks, including the following:
•collaborators may not pursue development of product candidates and commercialization of any product candidates that achieve regulatory approval or may elect not to continue or renew development or commercialization
programs based on clinical trial results, changes in the collaborators’ strategic focus or available funding, or external factors, such as an acquisition, that divert resources or create competing priorities;
•collaborators may delay clinical trials, provide insufficient funding for a clinical trial program, stop a clinical trial or abandon a product candidate, repeat or conduct new clinical trials or require a new formulation of a product candidate for clinical testing;
•collaborators could fail to make timely regulatory submissions for a product candidate;
•collaborators may not comply with all applicable regulatory requirements or may fail to report safety data in accordance with all applicable regulatory requirements, which could subject them or us to regulatory enforcement actions;
•collaborators could independently develop, or develop with third parties, products that compete directly or indirectly with our product candidates if the collaborators believe that competitive products are more likely to be successfully developed or can be commercialized under terms that are more economically attractive than ours;
•product candidates discovered in collaboration with us may be viewed by our collaborators as competitive with their own product candidates or products, which may cause collaborators to cease to devote resources to the commercialization of our product candidates;
•a collaborator with marketing and distribution rights to one or more of our product candidates that achieve regulatory approval may not commit sufficient resources to the marketing and distribution of such product candidate or product;
•disagreements with collaborators, including disagreements over proprietary rights, contract interpretation or the preferred course of development, might cause delays or termination of the research, development or commercialization of product candidates, might lead to additional responsibilities for us with respect to product candidates, or might result in litigation or arbitration, any of which would be time consuming and expensive;
•collaborators may not properly maintain or defend our intellectual property rights or may use our proprietary information in such a way as to invite litigation that could jeopardize or invalidate our intellectual property or proprietary information or expose us to potential litigation;
•collaborators may infringe the intellectual property rights of third parties, which may expose us to litigation and potential liability; and
•collaborations may be terminated for the convenience of the collaborator and, if terminated, we could be required to raise additional capital to pursue further development or commercialization of the applicable product candidates.
Collaboration agreements may not lead to development or commercialization of product candidates in the most efficient manner, or at all. If any collaborations we might enter into in the future do not result in the successful development and commercialization of product candidates or if one of our collaborators subsequently terminates our agreement with us, we may not receive any future research funding or milestone or royalty payments under the collaboration. If we do not receive the funding we expect under the agreements, our development of our product candidates could be delayed, and we may need additional resources to develop our product candidates and our product platform. All of the risks relating to product development, regulatory approval and commercialization described in this report also apply to the activities of our collaborators.
Additionally, if any future collaborator of ours is involved in a business combination, the collaborator might deemphasize or terminate development or commercialization of any product candidate licensed to it by us. If one of our collaborators terminates its agreement with us, we may find it more difficult to attract new collaborators and our reputation in the business and financial communities could be adversely affected.
Should we desire to pursue a collaboration agreement but are not able to establish collaborations, we may have to alter our development and commercialization plans and our business could be adversely affected.
For some of our product candidates, we may decide to collaborate with pharmaceutical or biotechnology companies for the development and potential commercialization of those product candidates. We face significant competition in seeking appropriate collaborators and whether we reach a definitive agreement for a collaboration will depend, among other things, upon our assessment of the collaborator’s resources and expertise, the terms and conditions of the proposed collaboration and the proposed collaborator’s evaluation of a number of factors. Those factors may include the design or results of clinical trials, the likelihood of approval by the FDA or similar regulatory authorities outside the United States, the potential market for the
subject product candidate, the costs and complexities of manufacturing and delivering such product candidate to patients, the potential of competing products, the existence of uncertainty with respect to our ownership of technology, which can exist if there is a challenge to such ownership without regard to the merits of the challenge, and industry and market conditions generally. We may also be restricted under future license agreements from entering into agreements on certain terms with potential collaborators. Collaborations are complex and time-consuming to negotiate and document. Should we desire to pursue a collaboration agreement but are unable to reach agreements with suitable collaborators on a timely basis, on acceptable terms, or at all, we may have to curtail the development of a product candidate, reduce or delay our development program or one or more of its other development programs, delay our potential commercialization or reduce the scope of any sales or marketing activities, or increase our expenditures and undertake development or commercialization activities at our own expense. If we fail to enter into collaborations and do not have sufficient funds or expertise to undertake the necessary development and commercialization activities, we may not be able to further develop our product candidates or bring them to market or continue to develop our product platform and our business may be materially and adversely affected.
Risks Related to Legal and Compliance Matters
If we fail to comply with federal and state healthcare laws, including fraud and abuse and health and other information privacy and security laws, we could face substantial penalties and our business, financial condition, results of operations, and prospects could be adversely affected.
As a biologic and pharmaceutical company, we are subject to many federal and state healthcare laws, such as the federal Anti-Kickback Statute, the federal civil and criminal FCA, the civil monetary penalties statute, the Medicaid Drug Rebate statute and other price reporting requirements, the VHCA, the HIPAA, the FCPA, the ACA, and similar state laws. We may also be subject to laws regarding transparency and patient privacy. Even though we do not and will not control referrals of healthcare services or bill directly to Medicare, Medicaid or other third-party payors, certain federal and state healthcare laws, and regulations pertaining to fraud and abuse, reimbursement programs, government procurement, and patients’ rights are and will be applicable to our business.
It is possible that governmental authorities will conclude that our business practices may not comply with current or future statutes, regulations or case law involving applicable fraud and abuse or other healthcare laws and regulations. If we or our operations are found to be in violation of any federal or state healthcare law, or any other governmental laws or regulations that applies to us, we may be subject to penalties, including civil, criminal, and administrative penalties, damages, fines, imprisonment, disgorgement, suspension and debarment from government contracts, and refusal of orders under existing government contracts, exclusion from participation in U.S. federal or state health care programs, corporate integrity agreements, and the curtailment or restructuring of our operations, any of which could materially adversely affect our ability to operate our business and our financial results. Although an effective compliance program can mitigate the risk of investigation and prosecution for violations of these laws, the risks cannot be entirely eliminated. Moreover, achieving and sustaining compliance with applicable federal and state privacy, security, reimbursement, and fraud laws may prove costly. Any action against us for violation of these laws, even if we successfully defends against it, could cause us to incur significant legal expenses and divert our management’s attention from the operation of our business.
We are subject to new legislation, regulatory proposals and healthcare payor initiatives that may increase our costs of compliance, and adversely affect our ability to market our products, obtain collaborators, and raise capital.
In the United States and some foreign jurisdictions, there have been a number of legislative and regulatory changes and proposed changes regarding the healthcare system that could prevent or delay marketing approval of our product candidates, restrict or regulate post-approval activities and affect our ability to profitably sell any products for which we obtain marketing approval. The biopharmaceutical industry has been a particular focus of these efforts and has been significantly affected by legislative initiatives. We expect that current laws, as well as other healthcare reform measures that may be adopted in the future, may result in more rigorous coverage criteria and in additional downward pressure on the price that we may receive for any approved products.
In 2010, the ACA, included provisions of importance to our business, including, without limitation, our ability to commercialize and the prices we may obtain for any of our product candidates that are approved for sale. These provisions include:
•an annual, nondeductible fee on any entity that manufactures or imports specified branded prescription drugs and biologic agents, including products approved through the 505(b)(2) regulatory pathway;
•an increase in the statutory minimum rebates a sponsor must pay under the Medicaid Drug Rebate Program;
•a Medicare Part D coverage gap discount program, in which participating sponsors must agree to offer 50% point-of-sale discounts off negotiated drug prices of drugs and biologics approved under an NDA or BLA (including drugs approved pursuant to the 505(b)(2) regulatory pathway) during the coverage gap period as a condition for the sponsors’ outpatient drugs to be covered under Medicare Part D;
•expansion of healthcare fraud and abuse laws, including the federal FCA and the federal Anti-Kickback Statute, and the addition of new government investigative powers, and enhanced penalties for noncompliance;
•extension of sponsor’s Medicaid rebate liability to managed Medicaid plans;
•expansion of eligibility criteria for Medicaid programs;
•expansion of the entities eligible for discounts under the PHSA pharmaceutical pricing program; and
•creation of a special Medicare Part B payment methodology for biosimilars approved under PHSA Section 351(k) in which providers are paid the ASP of the biosimilar plus the margin based on ASP of the reference biologic.
The ACA was recently amended to repeal the individual insurance mandate, and efforts to repeal and replace portions of the law may continue. It remains to be seen, however, whether new legislation will be enacted and, if so, precisely what any new legislation could provide and what impact it will have on the availability of healthcare and containing or lowering the cost of healthcare. For example, it is possible that any repeal and replacement initiatives, if enacted into law, could ultimately result in fewer individuals having health insurance coverage or in individuals having insurance coverage with less generous benefits. Accordingly, such reforms, if enacted, could have an adverse effect on anticipated revenue from product candidates that we may successfully develop and for which we may obtain marketing approval and may affect our overall financial condition and ability to develop or commercialize product candidates. The timing and scope of any potential future legislation to repeal and replace ACA provisions is highly uncertain in many respects.
Since the ACA was enacted in 2010, other legislative and regulatory changes have been proposed and adopted. These changes include, among other things, aggregate reductions to Medicare payments to providers of up to 2% per fiscal year, which went effective on April 1, 2013 and will remain in effect through 2024 unless additional Congressional action is taken. More recently, the Bipartisan Budget Act increased sponsor responsibility for prescription costs in the Medicare Part D coverage gap, and also extended sponsor responsibility for prescription costs in the Medicare Part D coverage gap to biosimilars, which had previously been exempt. In addition, the American Taxpayer Relief Act of 2012, among other things, further reduced Medicare payments to several providers and increased the statute of limitations period for the government to recover overpayments to providers from three to five years. CMS promulgated regulations governing sponsors’ obligations and reimbursement under the Medicaid Drug Rebate Program, and recently promulgated a regulation that limited Medicare Part B payment to certain hospitals for outpatient drugs purchased under the 340B program. To the extent that we license the right to sell a product to another entity under that entity’s labeler code, the licensee would further have healthcare reimbursement and pricing regulatory responsibilities.
We expect that current law and federal and state healthcare reform measures that may be adopted in the future, may result in additional reductions in Medicare and other healthcare funding, more rigorous coverage criteria, increased regulatory burdens and operating costs, decreased net revenue from our biologic and pharmaceutical products, decreased potential returns from our development efforts, new payment methodologies and in additional downward pressure on the price that we receive for any approved product and/or the level of reimbursement physicians receive for administering any approved product we might bring to market. Reductions in reimbursement levels may negatively impact the prices we receive or the frequency with which any products we may develop are prescribed or administered. Any reduction in reimbursement from Medicare or other government healthcare programs may result in a similar reduction in payments from private payors. The implementation of cost containment measures or other healthcare reforms may prevent us from being able to generate revenue, attain profitability or commercialize our products.
The pricing of prescription pharmaceuticals and biologics is also subject to governmental control outside the United States. In certain countries, pricing negotiations with governmental authorities can take considerable time after the receipt of marketing approval for a product. To obtain reimbursement or pricing approval in some countries, we may be required to conduct a clinical trial that compares the cost-effectiveness of our product candidates to other available therapies. If reimbursement of our products is unavailable or limited in scope or amount, or if pricing is set at unsatisfactory levels, our ability to generate revenues and become profitable could be impaired.
In addition, there have been a number of other legislative and regulatory proposals aimed at changing the biologic and pharmaceutical industry. For instance, the Drug Quality and Security Act (the “DQSA”), imposes obligations on sponsors of
biologic and pharmaceutical products related to product tracking and tracing. Among the requirements of this legislation, sponsors are required to provide certain information regarding the product to individuals and entities to which product ownership is transferred, will be required to label products with a product identifier, and are required keep certain records regarding the product. The transfer of information to subsequent product owners by manufacturers is also required to be done electronically. Sponsors are also required to verify that purchasers of the sponsors’ products are appropriately licensed. Further, manufacturers have product investigation, quarantine, disposition, and FDA and trading partner notification responsibilities related to counterfeit, diverted, stolen, and intentionally adulterated products that would result in serious adverse health consequences of death to humans, as well as products that are the subject of fraudulent transactions or which are otherwise unfit for distribution such that they would be reasonably likely to result in serious health consequences or death. Future licensees or affiliates may also have responsibilities under DQSA.
Compliance with the federal track and trace requirements may increase our operational expenses and impose significant administrative burdens. As a result of these and other new proposals, we may determine to change its current manner of operation, provide additional benefits or change our contract arrangements, any of which could have a material adverse effect on our business, financial condition, and results of operations.
Our employees, independent contractors, consultants, commercial partners, principal investigators, or CROs may engage in misconduct or other improper activities, including noncompliance with regulatory standards and requirements, which could have a material adverse effect on our business.
We are exposed to the risk of employee fraud or other misconduct. Misconduct by employees, independent contractors, consultants, commercial partners, manufacturers, investigators, or CROs could include intentional, reckless, negligent, or unintentional failures to (i) comply with FDA regulations, or other similar regulatory requirements, (ii) comply with manufacturing standards, including cGMP requirements, (iii) comply with applicable fraud and abuse laws, (iv) comply with federal and state data privacy, security, fraud and abuse and other healthcare laws and regulations in the U.S. and abroad, (v) provide accurate information to the FDA, (vi) properly calculate pricing information required by federal programs, (vii) comply with federal procurement rules or contract terms, (viii) report financial information or data accurately or (ix) disclose unauthorized activities to us. This misconduct could also involve the improper use or misrepresentation of information obtained in the course of clinical trials, which could result in regulatory sanctions and serious harm to our reputation.
It is not always possible to identify and deter this type of misconduct, and the precautions we take to detect and prevent this activity may not be effective in controlling unknown or unmanaged risks or losses or in protecting it from governmental investigations or other actions or lawsuits stemming from a failure to be in compliance with such laws or regulations.
If any such actions are instituted against us, and we are not successful in defending ourselves or asserting our rights, those actions could have a significant impact on our business and financial results, including, without limitation, the imposition of significant civil, criminal and administrative penalties, damages, monetary fines, disgorgements, possible exclusion from participation in Medicare, Medicaid and other federal healthcare programs, individual imprisonment, contractual damages, reputational harm, diminished profits and future earnings, additional reporting requirements and oversight if we become subject to a corporate integrity agreement or similar agreement to resolve allegations of non-compliance with these laws, and curtailment of our operations, any of which could adversely affect our ability to operate our business and our results of operations.
Our business and operations would suffer in the event of system failures, and we face risks related to our collection and use of data, which could result in investigations, inquiries, litigation, fines, legislative and regulatory action and negative press about our privacy and data protection practices.
Our internal computer systems and those of our CROs and other contractors and consultants are vulnerable to damage from computer viruses, unauthorized access, natural disasters, terrorism, war, and telecommunication and electrical failures. If such an event were to occur and cause interruptions in our operations, it could result in a material disruption of our product candidate development and, if such product candidates are approved, commercialization programs.
Additionally, our business processes personal data, including some data related to health. When conducting clinical trials, we face risks associated with collecting trial participants’ data, especially health data, in a manner consistent with applicable laws and regulations. We also face risks inherent in handling large volumes of data and in protecting the security of such data. We could be subject to attacks on our systems by outside parties or fraudulent or inappropriate behavior by our service providers or employees. Third parties may also gain access to the company’s systems using stolen or inferred credentials, computer malware, viruses, spamming, phishing attacks or other means, and may use such access to obtain personal data. Data breaches could subject us to individual or consumer class action litigation and governmental investigations and proceedings by federal,
state and local regulatory entities in the U.S. and by international regulatory entities, resulting in exposure to material civil and/or criminal liability. As our operations and business grow, we may become subject to or affected by new or additional data protection laws and regulations and face increased scrutiny or attention from regulatory authorities, including various domestic and international privacy and security regulations. The legislative and regulatory landscape for privacy and data protection continues to evolve. In the United States, certain states may adopt privacy and security laws and regulations that may be more stringent than applicable federal law. For example, California enacted the California Consumer Privacy Act (the “CCPA”), which took effect on January 1, 2020. The CCPA creates individual privacy rights for California consumers and increases the privacy and security obligations of entities handling certain personal data. We may also in the future be subject to data protection laws and regulations of other jurisdictions, such as the EU's General Data Protection Regulation (“GDPR”), which provides data subjects with certain rights and requires organizations to adopt technical and organizational safeguards to protect personal data. In the event that we are subject to or affected by privacy and data protection laws, including the CCPA or GDPR and other domestic or international privacy and data protection laws, we may expend significant resources to comply with such laws, and any liability from failure to comply with the requirements of these laws could adversely affect our financial condition.
We are subject to anti-corruption laws, as well as export control laws, customs laws, sanctions laws and other laws governing our operations. If we fail to comply with these laws, we could be subject to civil or criminal penalties, other remedial measures and legal expenses, be precluded from developing manufacturing and selling certain products outside the United States, which could adversely affect our business, results of operations and financial condition.
If we expand our operations outside of the United States, we must dedicate additional resources to compliance with anti-corruption laws, including the Bribery Act, the FCPA, and other anti-corruption laws that apply in countries where we do business and may do business in the future. The Bribery Act, FCPA and these other laws generally prohibit us, our officers, and our employees and intermediaries from bribing, being bribed or making other prohibited payments to government officials or other persons to obtain or retain business or gain some other business advantage.
Compliance with the FCPA, in particular, is expensive and difficult, particularly in countries in which corruption is a recognized problem. The FCPA presents particular challenges in the pharmaceutical industry, because, in many countries, hospitals are operated by the government, and doctors and other hospital employees are considered foreign officials. Certain payments to hospitals in connection with clinical trials and other work have been deemed to be improper payments to government officials and have led to FCPA enforcement actions. The FCPA also obligates companies whose securities are listed in the United States to comply with certain accounting provisions requiring the company to maintain books and records that accurately and fairly reflect all transactions of the corporation, including international subsidiaries, and to devise and maintain an adequate system of internal accounting controls for international operations.
We may in the future operate in jurisdictions that pose a high risk of potential Bribery Act or FCPA violations, and we may participate in collaborations and relationships with third parties whose actions could potentially subject us to liability under the Bribery Act, FCPA or local anti-corruption laws. We are also subject to other laws and regulations governing our international operations, including regulations administered by the governments of the United Kingdom and the United States, and authorities in the European Union, including applicable export control regulations, economic sanctions on countries and persons, customs requirements and currency exchange regulations, collectively referred to as the Trade Control laws. In addition, various laws, regulations and executive orders also restrict the use and dissemination outside of the United States, or the sharing with certain non-U.S. nationals, of information classified for national security purposes, as well as certain products and technical data relating to those products. If we expand our presence outside of the United States, it will require us to dedicate additional resources to comply with these laws, and these laws may preclude us from developing, manufacturing, or selling certain products and product candidates outside of the United States, which could limit our growth potential and increase our development costs.
If we are not in compliance with the Bribery Act, the FCPA and other anti-corruption laws or Trade Control laws, we may be subject to criminal and civil penalties, disgorgement and other sanctions and remedial measures, and legal expenses, which could have an adverse impact on our business, financial condition, results of operations and liquidity. The SEC also may suspend or bar issuers from trading securities on U.S. exchanges for violations of the FCPA’s accounting provisions. Any investigation of any potential violations of the Bribery Act, the FCPA, other anti-corruption laws or Trade Control laws by U.K., U.S. or other authorities could also have an adverse impact on our reputation, our business, results of operations and financial condition.
Risks Related to Our Intellectual Property
We may be unable to obtain and maintain patent protection for our technology and product candidates, or the scope of the patent protection obtained may not be sufficiently broad or enforceable, such that our competitors could develop and
commercialize technology and products similar or identical to ours, and our ability to successfully commercialize our technology and product candidates may be impaired.
Our success depends in large part on its ability to obtain and maintain patent protection in the United States and other countries with respect to its proprietary technology and product candidates. We have sought to protect our proprietary position by filing in the United States and in certain foreign jurisdictions patent applications related to our novel technologies and product candidates.
The patent prosecution process is expensive and time-consuming, and we may not have filed, maintained or prosecuted and may not be able to file, maintain and prosecute all necessary or desirable patents or patent applications at a reasonable cost or in a timely manner. We may also fail to identify patentable aspects of our research and development output before it is too late to obtain patent protection.
The patent position of pharmaceutical and biotechnology companies generally is highly uncertain, involves complex legal and factual questions and has in recent years been the subject of much litigation. As a result, the issuance, scope, validity, enforceability and commercial value of our patent rights are highly uncertain. Our pending and future patent applications may fail to result in issued patents in the United States or in other foreign countries which protect our technology or product candidates, or which effectively prevent others from commercializing competitive technologies and products. In addition, the laws of foreign countries may not protect our rights to the same extent as the laws of the United States, and the standards applied by the USPTO and foreign patent offices in granting patents are not always applied uniformly or predictably. For example, unlike patent law in the United States, European patent law precludes the patentability of methods of treatment of the human body and imposes substantial restrictions on the scope of claims it will grant of broader than specifically disclosed embodiments. Publications of discoveries in the scientific literature often lag behind the actual discoveries, and patent applications in the United States and other jurisdictions are typically not published until 18 months after filing, or in some cases not at all. Therefore, we cannot be certain whether we or our licensors were the first to make the inventions claimed in our owned or licensed patents or pending patent applications, or that we or our licensors were the first to file for patent protection of such inventions. Databases for patents and publications, and methods for searching them, are inherently limited so we may not know the full scope of all issued and pending patent applications. As a result, the issuance, scope, validity, enforceability and commercial value of our patent rights are uncertain. Our pending and future patent applications may not result in patents being issued which protect our technology or product candidates, in whole or in part, or which effectively prevent others from commercializing competitive technologies and products. In particular, during prosecution of any patent application, the issuance of any patents based on the application may depend upon our ability to generate additional preclinical or clinical data that support the patentability of its proposed claims. We may not be able to generate sufficient additional data on a timely basis, or at all. Moreover, changes in either the patent laws or interpretation of the patent laws in the United States and other countries may diminish the value of our patents or narrow the scope of our patent protection.
Even if our owned and licensed patent applications issue as patents, they may not issue in a form that will provide us with any meaningful protection for our proprietary technology and product candidates, prevent competitors from competing with us, or otherwise provide us with any competitive advantage. Our competitors may be able to circumvent our owned or licensed patents by developing similar or alternative technologies or products in a non-infringing manner. In particular, a competitor may develop an approach to deliver drugs through the mucus layer to the underlying target tissue that uses a different approach than our OcuNanoE™ nanoemulsion formulation, and therefore may not infringe on our patent rights.
The issuance of a patent is not conclusive as to our inventorship, ownership, scope, validity or enforceability, and our owned and licensed patents may be challenged in the courts or patent offices in the United States and abroad. Such challenges may result in loss of exclusivity or in patent claims being narrowed, invalidated or held unenforceable, in whole or in part, which could limit its ability to stop others from using or commercializing similar or identical technology and products, or limit the duration of the patent protection of our technology and product candidates. Given the amount of time required for the development, testing and regulatory review of new product candidates, patents protecting such candidates might expire before or shortly after such candidates are commercialized. As a result, our patent portfolio may not provide us with sufficient rights to exclude others from commercializing products similar or identical to ours.
Patent reform legislation could increase the uncertainties and costs surrounding the prosecution of our patent applications and the enforcement or defense of our issued patents.
On September 16, 2011, the Leahy-Smith America Invents Act, or the Leahy-Smith Act, was signed into law. The Leahy-Smith Act includes a number of significant changes to United States patent law. These include provisions that affect the way patent applications are prosecuted and may also affect patent litigation. The USPTO developed new regulations and procedures to govern administration of the Leahy-Smith Act, and many of the substantive changes to patent law associated with the Leahy-
Smith Act, and in particular, the first to file provisions, became effective on March 16, 2013. The first to file provisions limit the rights of an inventor to patent an invention if not the first to file an application for patenting that invention, even if such invention was the first invention. The Leahy-Smith Act and its implementation could increase the uncertainties and costs surrounding the prosecution of our patent applications and the enforcement or defense of our issued patents, which could have a material adverse effect on our business, financial condition, results of operations and prospects. For example, the Leahy-Smith Act created a new administrative tribunal known as the Patent Trial and Appeals Board, or PTAB, that provides a venue for companies to challenge the validity of competitor patents at a cost that is much lower than district court litigation and on timelines that are much faster. Although it is not clear what, if any, long term impact the PTAB proceedings will have on the operation of our business, the outcome of patent challenge proceedings before the PTAB since its inception in 2013 have resulted in the invalidation of many U.S. patent claims. The availability of the PTAB as a lower-cost, faster and potentially more potent tribunal for challenging patents could therefore increase the likelihood that our own patents will be challenged, thereby increasing the uncertainties and costs of maintaining, defending and enforcing them.
If we are not able to obtain patent term extension in the United States under the Hatch-Waxman Act and in foreign countries under similar legislation, thereby potentially extending the term of our marketing exclusivity for our product candidates, our business may be materially harmed.
Depending upon the timing, duration and specifics of FDA marketing approval of our product candidates, one of the U.S. patents covering each of such product candidates or the use thereof may be eligible for up to five years of patent term extension under the Hatch-Waxman Act. The Hatch-Waxman Act allows a maximum of one patent to be extended per FDA approved product to account for the patent term lost during the FDA regulatory review process. A patent term extension cannot extend the remaining term of a patent beyond a total of 14 years from the date of product approval and only those claims covering such approved drug product, a method for using it or a method for manufacturing it may be extended. Patent term extension also may be available in certain foreign countries upon regulatory approval of our product candidates. Nevertheless, we may not be granted patent term extension either in the United States or in any foreign country because of, for example, failing to exercise due diligence during the testing phase or regulatory review process, failing to apply within applicable deadlines, failing to apply prior to expiration of relevant patents or otherwise failing to satisfy applicable requirements. Moreover, the term of extension, as well as the scope of patent protection during any such extension, afforded by the governmental authority could be less than we request.
If we are unable to obtain patent term extension or restoration, or the term of any such extension is less than we request, the period during which we will have the right to exclusively market our product may be shortened and our competitors may obtain approval of competing products following our patent expiration sooner, and our revenue could be reduced, possibly materially.
It is possible that we will not obtain patent term extension under the Hatch-Waxman Act for a U.S. patent covering one of our product candidates even where that patent is eligible for patent term extension, or if we obtain such an extension, it may be for a shorter period than we had sought. Further, for our licensed patents, we do not have the right to control prosecution, including filing with the USPTO, a petition for patent term extension under the Hatch-Waxman Act. Thus, if one of our licensed patents is eligible for patent term extension under the Hatch-Waxman Act, we may not be able to control whether a petition to obtain a patent term extension is filed, or obtained, from the USPTO.
We may become involved in lawsuits to protect or enforce our patents or other intellectual property, which could be expensive, time-consuming and unsuccessful.
Competitors and other third parties may infringe, misappropriate or otherwise violate its owned and licensed patents, trade secrets, or other intellectual property. As a result, to counter infringement, misappropriation or unauthorized use, we may be required to file infringement or misappropriation claims or other intellectual property related proceedings, which can be expensive and time-consuming. Any claims we assert against perceived infringers could provoke such parties to assert counterclaims against us alleging that we infringed their patents or that our asserted patents are invalid. In addition, in a patent infringement or other intellectual property related proceeding, a court may decide that a patent of our is invalid or unenforceable, in whole or in part, construe the patent’s claims narrowly or refuse to stop the other party from using the technology at issue on the grounds that our patents do not cover the technology in question. An adverse result in any litigation proceeding could put one or more of our patents at risk of being invalidated, held unenforceable or interpreted narrowly, and could put any of our patent applications at risk of not yielding an issued patent. Furthermore, because of the substantial amount of discovery required in connection with intellectual property litigation, there is a risk that some of our confidential information or trade secrets could be compromised by disclosure during this type of litigation.
We may be subject to a third-party preissuance submission of prior art to the USPTO, or become involved in other contested proceedings such as opposition, derivation, reexamination, inter partes review, post-grant review or interference proceedings in
the United States or elsewhere, challenging our patent rights or the patent rights of others. An adverse determination in any such submission, proceeding or litigation could reduce the scope of, or invalidate, our patent rights, allow third parties to commercialize our technology or product candidates and compete directly with us, without payment to us, or result in our inability to manufacture or commercialize products without infringing third-party patent rights. In addition, if the breadth or strength of protection provided by our patents and patent applications is threatened, it could dissuade companies from collaborating with us to license, develop or commercialize current or future product candidates.
In the United States, the FDA does not prohibit clinicians from prescribing an approved product for uses that are not described in the product’s labeling. Although use of a product directed by off-label prescriptions may infringe our method-of-treatment patents, the practice is common across medical specialties, particularly in the United States, and such infringement is difficult to detect, prevent or prosecute.
Third parties may initiate legal proceedings alleging that we are infringing, misappropriating or otherwise violating their intellectual property rights, the outcome of which would be uncertain and could have a material adverse effect on the success of our business.
Our commercial success depends upon our ability to develop, manufacture, market and sell OCU300, and other product candidates and use our proprietary technologies without infringing, misappropriating or otherwise violating the intellectual property and other proprietary rights of third parties. There is a considerable amount of intellectual property litigation in the biotechnology and pharmaceutical industries. We may become party to, or threatened with, infringement litigation claims regarding our products and technology, including claims from competitors or from non-practicing entities that have no relevant product revenue and against whom our own patent portfolio may have no deterrent effect. Moreover, we may become party to future adversarial proceedings or litigation regarding our patent portfolio or the patents of third parties. Such proceedings could also include contested post-grant proceedings such as oppositions, inter partes review, reexamination, interference or derivation proceedings before the USPTO or foreign patent offices.
The legal threshold for initiating litigation or contested proceedings is low, so even lawsuits or proceedings with a low probability of success might be initiated and require significant resources to defend. Litigation and contested proceedings can also be expensive and time-consuming, and our adversaries in these proceedings may have the ability to dedicate substantially greater resources to prosecuting these legal actions than we do. The risks of being involved in such litigation and proceedings may increase as our product candidates near commercialization and as we gain the greater visibility associated with being a public company. Third parties may assert infringement claims against us based on existing patents or patents that may be granted in the future. We may not be aware of all such intellectual property rights potentially relating to our product candidates and their uses.
Thus, we do not know with certainty that OCU300 or any of our other product candidates, or our development and commercialization thereof, do not and will not infringe or otherwise violate any third party’s intellectual property.
If we are found to infringe, misappropriate or otherwise violate a third party’s intellectual property rights, we could be required to obtain a license from such third party to continue developing and marketing its products and technology. However, we may not be able to obtain any required license on commercially reasonable terms or at all. Even if we are able to obtain a license, it could be non-exclusive, thereby giving our competitors access to the same technologies licensed to us and could require us to make substantial licensing and royalty payments. We could be forced, including by court order, to cease commercializing the infringing technology or product. In addition, we could be found liable for monetary damages, including treble damages and attorneys’ fees if we are found to have willfully infringed a patent, and could be forced to indemnify our customers or collaborators. A finding of infringement could also result in an injunction that prevents us from commercializing our product candidates or forces us to cease some of our business operations, which could materially harm our business. In addition, we may be forced to redesign our product candidates, seek new regulatory approvals and indemnify third parties pursuant to contractual agreements. Claims that we have misappropriated the confidential information or trade secrets of third parties could have a similar negative impact on our business.
Obtaining and maintaining patent protection depends on compliance with various procedural, document submission, fee payment and other requirements imposed by governmental patent agencies, and our patent protection could be reduced or eliminated for non-compliance with these requirements.
Periodic maintenance, renewal and annuity fees on any issued patent must be paid to the USPTO and foreign patent agencies in several stages or annually over the lifetime of our owned and licensed patents and patent applications. The USPTO and various foreign governmental patent agencies require compliance with a number of procedural, documentary, fee payment and other similar provisions during the patent application process. In certain circumstances, we rely on our licensing partners to pay these
fees to, or comply with the procedural and documentary rules of the relevant patent agency. While an inadvertent lapse can in many cases be cured by payment of a late fee or by other means in accordance with the applicable rules, there are situations in which noncompliance can result in abandonment or lapse of the patent or patent application, resulting in partial or complete loss of patent rights in the relevant jurisdiction. Non-compliance events that could result in abandonment or lapse of a patent or patent application include failure to respond to official actions within prescribed time limits, non-payment of fees and failure to properly legalize and submit formal documents. If we or our licensors fail to maintain the patents and patent applications covering our product candidates, it would have a material adverse effect on our business.
Certain aspects of OCU300 and our other product candidates, and certain aspects of our OcuNanoE™ nanoemulsion formulation, are protected by patents exclusively licensed from other companies or institutions. If these third parties terminate their agreements with us or fail to maintain or enforce the underlying patents, or we otherwise lose our rights to these patents, our competitive position and our market share in the markets for any of our approved products will be harmed.
A substantial portion of our patent portfolio is in-licensed. As such, we are a party to license agreements and certain aspects of its business depend on patents and/or patent applications owned by other companies or institutions. In particular, we hold exclusive licenses for patent families relating to OCU300, other of our product candidates, and some aspects of our OcuNanoE™ nanoemulsion formulation.
Pursuant to the license arrangement with UIC, which relates to OCU300, we are responsible for and control patent prosecution of licensed patent families developed jointly pursuant to the license arrangement with UIC, while we and UIC are each responsible for and control patent prosecution of licensed patent families developed or held individually by us or UIC, respectively.
Pursuant to the license arrangement with CU, which primarily relates to OCU200, we are responsible for and control patent prosecution of all patent families licensed under the CU license arrangement.
Pursuant to the license arrangement with SERI, which relates to NHR genes NR1D1, NR2E3, RORA, NUPR1, and NR2C1, from and after December 19, 2017, we have the right to assume responsibility and control patent prosecution of licensed patent families relating to these NHR genes. Additionally, we are responsible for and control patent prosecution for any patent applications developed in connection with the SERI licensing arrangement filed after December 19, 2017 that are owned jointly by us and SERI or solely by us.
Our rights with respect to in-licensed patents and patent applications may be lost if the applicable license agreement expires or is terminated. We are likely to enter into additional license agreements to in-license patents and patent applications as part of the development of our business in the future, under which we may not retain control of the preparation, filing, prosecution, maintenance, enforcement and defense of such patents. If we are unable to maintain these patent rights for any reason, our ability to develop and commercialize our product candidates could be materially harmed.
Our licensors may not successfully prosecute certain patent applications, the prosecution of which they control, under which we are licensed and on which our business depends. Even if patents issue from these applications, our licensors may fail to maintain these patents, may decide not to pursue litigation against third-party infringers, may fail to prove infringement, or may fail to defend against counterclaims of patent invalidity or unenforceability.
Risks with respect to parties from whom we have obtained intellectual property rights may also arise out of circumstances beyond our control. In spite of our best efforts, our licensors might conclude that we have materially breached our intellectual property agreements and might therefore terminate the intellectual property agreements, thereby removing our ability to market products covered by these intellectual property agreements. If our intellectual property agreements are terminated, or if the underlying patents fail to provide the intended market exclusivity, competitors would have the freedom to seek regulatory approval of, and to market, products similar or identical to ours. Moreover, if our intellectual property agreements are terminated, our former licensors and/or assignors may be able to prevent us from utilizing the technology covered by the licensed or assigned patents and patent applications. This could have a material adverse effect on our competitive business position and our business prospects.
Some intellectual property which we own or have licensed may have been discovered through government funded programs and thus may be subject to federal regulations such as “march-in” rights, certain reporting requirements, and a preference for U.S. industry. Compliance with such regulations may limit our exclusive rights, subject us to expenditure of resources with respect to reporting requirements, and limit our ability to contract with non-U.S. manufacturers.
Some of the intellectual property rights that we own or licenses have been generated through the use of United States government funding and may therefore be subject to certain federal regulations under the Bayh-Dole Act. To the best of our knowledge, our intellectual property for OCU400 for the treatment of NR2E3 mutation-associated retinal degenerative disease and other retinal degenerative diseases is subject to the Bayh-Dole Act. As a result, the United States government may have certain rights to intellectual property embodied in these patents and patent applications. In general, the Bayh-Dole Act provides the U.S. government certain rights in inventions developed using a government funded program, such as U.S. government’s right to a non-exclusive, non-transferable, irrevocable worldwide license to use inventions for any governmental purpose. In addition, under the Bayh-Dole Act the U.S. government has the right to require any invention developed using U.S. government funding to be granted exclusive, partially exclusive, or non-exclusive licenses to any of these inventions to a third party if it determines that: (i) adequate steps have not been taken to commercialize the invention; (ii) government action is necessary to meet public health or safety needs; or (iii) government action is necessary to meet requirements for public use under federal regulations (also referred to as “march-in rights”). Under the Bayh-Dole Act, the U.S. government also has the right to take title to inventions developed using a U.S. government funded program, if one fails to disclose the invention to the government and fail to file an application to register the intellectual property within specified time limits. In addition, the U.S. government may acquire title to these inventions in any country in which a patent application is not filed within specified time limits. Intellectual property generated under a government funded program is also subject to certain reporting requirements. In addition, the Bayh-Dole Act requires that any products subject to the Bayh-Dole Act be manufactured substantially in the United States. However, under the Bayh-Dole Act, this manufacturing preference requirement can be waived if the owner of the intellectual property can show that reasonable efforts to manufacture the product substantially in the United States were unsuccessful or that under the circumstances domestic manufacture is not commercially feasible. Any exercise by the government of any of the foregoing rights under the Bayh-Dole Act may affect our competitive position, business, financial condition, results of operations and prospects.
If we fail to comply with our obligations in our intellectual property licenses and funding arrangements with third parties, we could lose rights that are important to our business.
Our license agreements with CU, UIC, and SERI under which we license certain of our patent rights and a significant portion of the technology for OCU300 and other product candidates, impose royalty and other financial obligations on us and other substantial performance obligations. We may also enter into additional licensing and funding arrangements with third parties that may impose diligence, development and commercialization timelines and milestone payment, royalty, insurance and other obligations on us. If we fail to comply with our obligations under current or future license and collaboration agreements, our counterparties may have the right to terminate these agreements, in which event we might not be able to develop, manufacture or market any product that is covered by these agreements or may face other penalties under the agreements. Such an occurrence could diminish the value of our products and product candidates. Termination of these agreements or reduction or elimination of our rights under these agreements may result in us having to negotiate new or reinstated agreements with less favorable terms or cause us to lose our rights under these agreements, including our rights to important intellectual property or technology.
In addition, it is possible that CU, UIC or SERI may conclude that we have materially breached the applicable license agreement and might therefore terminate the agreement, thereby removing our ability to market products covered by our license agreements with CU, UIC, or SERI, respectively. If any license agreement is terminated, or if the underlying patents fail to provide the intended market exclusivity, competitors would have the freedom to seek regulatory approval of, and to market, products similar or identical to ours. Moreover, if any of our license agreements is terminated, the counterparty and/or its assignors may be able to prevent us from utilizing the technology covered by the licensed or assigned patents and patent applications. This could have a material adverse effect on our competitive business position and our business prospects.
In addition, the agreements under which we currently licenses intellectual property or technology from third parties are complex, and certain provisions in such agreements may be susceptible to multiple interpretations. The resolution of any contract interpretation disagreement that may arise could narrow what we believe to be the scope of our rights to the relevant intellectual property or technology or increase what we believe to be our financial or other obligations under the relevant agreement, either of which could have a material adverse effect on our business, financial condition, results of operations, and prospects. Moreover, if disputes over intellectual property that we have licensed prevent or impair our ability to maintain our current licensing arrangements on commercially acceptable terms, we may be unable to successfully develop and commercialize the affected product candidates, which could have a material adverse effect on our business, financial conditions, results of operations, and prospects.
We may not be able to protect our intellectual property and proprietary rights throughout the world.
Filing, prosecuting, and defending patents on product candidates in all countries throughout the world would be prohibitively expensive, and the laws of foreign countries may not protect our rights to the same extent as the laws of the United States.
Consequently, we may not be able to prevent third parties from practicing our inventions in all countries outside the United States, or from selling or importing products made using our inventions in and into the United States or other jurisdictions. Competitors may use our technologies in jurisdictions where we have not obtained patent protection to develop their own products and, further, may export otherwise infringing products to territories where we have patent protection or licenses, but enforcement is not as strong as that in the United States. These products may compete with our products, and our patents or other intellectual property rights may not be effective or sufficient to prevent them from competing.
Many companies have encountered significant problems in protecting and defending intellectual property rights in foreign jurisdictions. The legal systems of certain countries, particularly certain developing countries, do not favor the enforcement of patents, trade secrets, and other intellectual property protection, particularly those relating to biotechnology products, which could make it difficult for us to stop the infringement of our patents or marketing of competing products in violation of our intellectual property and proprietary rights generally. Proceedings to enforce our intellectual property and proprietary rights in foreign jurisdictions could result in substantial costs and divert our efforts and attention from other aspects of our business, could put our patents at risk of being invalidated or interpreted narrowly, could put our patent applications at risk of not issuing, and could provoke third parties to assert claims against us. We may not prevail in any lawsuits that we initiate, and the damages or other remedies awarded, if any, may not be commercially meaningful. Accordingly, our efforts to enforce our intellectual property and proprietary rights around the world may be inadequate to obtain a significant commercial advantage from the intellectual property that we develop or license.
Many countries have compulsory licensing laws under which a patent owner may be compelled to grant licenses to third parties. In addition, many countries limit the enforceability of patents against government agencies or government contractors. In these countries, the patent owner may have limited remedies, which could materially diminish the value of such patent. If we or any of our licensors are forced to grant a license to third parties with respect to any patents relevant to our business, our competitive position may be impaired, and our business, financial condition, results of operations, and prospects may be adversely affected.
We may be subject to claims by third parties asserting that our employees or we have misappropriated their intellectual property or claiming ownership of what we regard as our own intellectual property.
Many of our and our licensors’ employees and contractors were previously employed at other biotechnology, medical device or pharmaceutical companies, including our competitors or potential competitors. Although we try to ensure that our employees and contractors do not use the proprietary information or know-how of others in their work for us, we may be subject to claims that these individuals or we have used or disclosed intellectual property, including trade secrets or other proprietary information, of any such employee’s former employer. Litigation may be necessary to defend against these claims.
In addition, while it is our policy to require our employees and contractors who may be involved in the development of intellectual property to execute agreements assigning such intellectual property to us, we may be unsuccessful in executing such an agreement with each party who in fact develops intellectual property that we regard as our own. Furthermore, we are unable to control whether its licensors have obtained similar assignment agreements from their own employees and contractors. Our and their assignment agreements may not be self-executing or may be breached, and we or our licensors may be forced to bring claims against third parties, or defend claims they may bring against us, to determine the ownership of what we regard as our intellectual property.
If we or our licensors fail in prosecuting or defending any such claims, in addition to paying monetary damages, we may lose valuable intellectual property rights or personnel which could have a material adverse effect on our competitive business position and prospects. Such intellectual property rights could be awarded to a third party, and we could be required to obtain a license from such third party to commercialize our technology or products, which may not be available on commercially reasonable terms or at all. Even if we are successful in prosecuting or defending against such claims, litigation could result in substantial costs and be a distraction to management.
Intellectual property litigation or other legal proceedings relating to intellectual property could cause us to spend substantial resources and distract our personnel from their normal responsibilities.
Even if resolved in our favor, litigation or other legal proceedings relating to intellectual property claims may cause us to incur significant expenses and could distract our technical and management personnel from their normal responsibilities. In addition, there could be public announcements of the results of hearings, motions or other interim proceedings or developments and if securities analysts or investors perceive these results to be negative, it could have a substantial adverse effect on the price of our common stock. Such litigation or proceedings could substantially increase our operating losses and reduce the resources available for development activities or any future sales, marketing or distribution activities. We may not have sufficient financial or other resources to conduct such litigation or proceedings adequately. Some of our competitors may be able to
sustain the costs of such litigation or proceedings more effectively than we can because of their greater financial resources and may also have an advantage in such proceedings due to their more mature and developed intellectual property portfolios. Uncertainties resulting from the initiation and continuation of patent litigation or other proceedings could have an adverse effect on our ability to compete in the marketplace.
If we are unable to protect the confidentiality of our trade secrets, our business and competitive position would be harmed.
In addition to seeking patents for our technology and product candidates, we also rely on trade secrets, including unpatented know-how, technology and other proprietary information, to maintain our competitive position. We seek to protect these trade secrets, in part, by entering into non-disclosure and confidentiality agreements with parties who have access to them, such as our employees, corporate collaborators, outside scientific collaborators, contract manufacturers, consultants, advisors and other third parties. We also enter into confidentiality and invention or patent assignment agreements with our employees and consultants. Despite these efforts, any of these parties may breach the agreements and disclose our proprietary information, including our trade secrets, and we may not be able to obtain adequate remedies for such breaches. Detecting the disclosure or misappropriation of a trade secret and enforcing a claim that a party illegally disclosed or misappropriated a trade secret is difficult, expensive and time-consuming, and the outcome is unpredictable. In addition, some courts inside and outside the United States are less willing or unwilling to protect trade secrets. If any of our trade secrets were to be lawfully obtained or independently developed by a competitor, we would have no right to prevent them, or those to whom they communicate it, from using that technology or information to compete with us. If any of our trade secrets were to be disclosed to or independently developed by a competitor, our competitive position would be harmed.
Risks Related to Employee Matters and Managing Growth
Our future success depends on our ability to retain key executives and to attract, retain and motivate qualified personnel.
We are highly dependent on the research and development, clinical and business development expertise of Shankar Musunuri, Ph.D., MBA, our Chief Executive Officer, Chairman of the Board and Co-Founder, Daniel Jorgensen, M.D., M.P.H., MBA, our Chief Medical Officer, and Rasappa Arumugham, Ph.D., our Chief Scientific Officer, as well as the other principal members of our management, scientific and clinical teams. Although we have entered into employment agreements with our executive officers, each of them may terminate their employment with us at any time. We do not maintain “key person” insurance for any of our executives or other employees.
Recruiting and retaining qualified scientific, clinical, manufacturing, legal and sales and marketing personnel will also be critical to our success. The loss of the services of our executive officers or other key employees could impede the achievement of our research, development and commercialization objectives and seriously harm our ability to successfully implement our business strategy. Furthermore, replacing executive officers and key employees may be difficult and may take an extended period of time because of the limited number of individuals in our industry with the breadth of skills and experience required to successfully develop, gain regulatory approval of and commercialize products. Competition to hire from this limited pool is intense, and we may be unable to hire, train, retain or motivate these key personnel on acceptable terms given the competition among numerous pharmaceutical and biotechnology companies for similar personnel. We also experience competition for the hiring of scientific and clinical personnel from universities and research institutions. In addition, we rely on consultants and advisors, including scientific and clinical advisors, to assist us in formulating our research and development and commercialization strategy. Our consultants and advisors may be employed by employers other than us and may have commitments under consulting or advisory contracts with other entities that may limit their availability to us. If we are unable to continue to attract and retain high quality personnel, our ability to pursue our growth strategy will be limited.
We expect to expand our development, regulatory and manufacturing capabilities and potentially implement sales, marketing and distribution capabilities, and as a result, we may encounter difficulties in managing our growth, which could disrupt our operations.
We expect to experience significant growth in the number of our employees and the scope of our operations, particularly in the areas of drug development, clinical, regulatory affairs, manufacturing, sales, marketing and distribution. To manage our anticipated future growth, we must continue to implement and improve our managerial, operational and financial systems, expand our facilities and continue to recruit and train additional qualified personnel. Our management may need to devote a significant amount of our attention to managing these growth activities. Due to our limited financial resources and our limited experience in managing such anticipated growth, we may not be able to effectively manage the expansion of our operations or recruit and train additional qualified personnel. Our inability to manage the expansion of our operations effectively may result in weaknesses in our infrastructure, give rise to operational mistakes, loss of business opportunities, loss of employees and reduced productivity among remaining employees. Our expected growth could also require significant capital expenditures and
may divert financial resources from other projects, such as the development of additional product candidates. If we are unable to effectively manage our expected growth, our expenses may increase more than expected, our ability to generate revenues could be reduced and we may not be able to implement our business strategy, including the successful commercialization of our product candidates.
Risks Related to Our Common Stock
The trading price of the shares of the our Common Stock could be highly volatile, and purchasers of the Common Stock could incur substantial losses.
Our stock price has been, and will likely continue to be volatile. The stock market in general and the market for stock of biopharmaceutical companies in particular have experienced extreme volatility that has often been unrelated to the operating performance of particular companies. As a result of this volatility, investors may not be able to sell their common stock at or above their purchase price. The market price for our common stock may be influenced by those factors discussed in this “Risk Factors” section and many others, including:
•our ability to enroll subjects in its ongoing and planned clinical trials;
•results of our clinical trials and preclinical studies, and the results of trials of our competitors or those of other companies in our market sector;
•regulatory approval of our product candidates, or limitations to specific label indications or patient populations for our use, or changes or delays in the regulatory review process;
•the level of expenses related to any of our product candidates or clinical development programs;
•regulatory developments in the United States and foreign countries;
•reports of adverse events in other of our products, competing biologics or gene therapy products;
•changes in the structure of healthcare payment systems, especially in light of current reforms to the U.S. healthcare system;
•the success or failure of our efforts to acquire, license or develop additional product candidates;
•innovations or new products developed by us or our competitors;
•announcements by us or our competitors of significant acquisitions, strategic partnerships, joint ventures or capital commitments;
•manufacturing, supply or distribution delays or shortages;
•any changes to our relationship with any manufacturers, suppliers, licensors, future collaborators or other strategic partners;
•achievement of expected product sales and profitability;
•variations in our financial results or those of companies that are perceived to be similar to ours;
•market conditions in the biopharmaceutical sector and issuance of securities analysts’ reports or recommendations;
•trading volume of our common stock;
•an inability to obtain additional funding;
•sales of our stock by insiders and stockholders or the perception that such sales could occur;
•our ability to effectively manage its growth;
•ineffectiveness of our internal control over financial reporting;
•additions or departures of key personnel, including major changes in our board or management;
•intellectual property, product liability or other litigation against us; and
•general economic, industry and market conditions other events or factors, many of which are beyond our control.
In addition, in the past, stockholders have initiated class action lawsuits against biopharmaceutical companies following periods of volatility in the market prices of these companies’ stock. Such litigation, if instituted against us, could cause us to incur
substantial costs and divert management’s attention and resources, which could have a material adverse effect on our business, financial condition and results of operations.
An active trading market for our common stock may not be sustainable. If an active trading market is not sustained, our ability to raise capital in the future may be impaired.
Following the consummation of our reverse merger, our shares of common stock continue to be listed and are trading on the Nasdaq. However, an active trading market for our shares of common stock may not be sustained. If an active market for our common stock is not sustained, it may be difficult for our stockholders to sell shares of our common stock without depressing the market price for the shares or at all. An inactive trading market may also impair our ability to raise capital to continue to fund operations by selling shares and may impair our ability to acquire other companies or technologies by using our shares as consideration.
Our failure to meet the continued listing requirements of the Nasdaq could result in a delisting of the Common Stock.
We must continue to satisfy Nasdaq continued listing requirements, including, among other things, certain corporate governance requirements and a minimum closing bid price requirement of $1.00 per share. If a company fails for 30 consecutive business days to meet the $1.00 minimum closing bid price requirement, Nasdaq will send a deficiency notice to the company, advising that it has been afforded a “compliance period” of 180 calendar days to regain compliance with the applicable requirements.
On December 27, 2019, we received a deficiency letter from the Nasdaq notifying us that, for the last 30 consecutive business days, the closing bid price for our common stock has been below the minimum $1.00 per share required for continued listing on The Nasdaq Capital Market pursuant to the minimum closing bid price requirement. The Nasdaq deficiency letter had no immediate effect on the listing of our common stock. In accordance with Nasdaq Listing Rule 5810(c)(3)(A), we have been given 180 calendar days, or until June 24, 2020, to regain compliance with the minimum closing bid price requirement by causing its stock to close above $1.00 for a minimum of 10 consecutive trading days. If we do not regain compliance with the minimum closing bid price requirement by June 24, 2020, we may be afforded a second 180 calendar day period to regain compliance. To qualify, we would be required to meet the continued listing requirement for market value of publicly held shares and all other initial listing standards for Nasdaq, except for the minimum bid price requirement. In addition, we would be required to notify Nasdaq of our intent to cure the deficiency during the second compliance period.
We can provide no assurance that we will be able to regain compliance with the minimum closing bid price requirement by June 24, 2020, or by any date, or that we will be able to remain in compliance with other Nasdaq continued listing requirements. A delisting of our common stock from Nasdaq could materially reduce the liquidity of our common stock, impairing your ability to sell or purchase shares of common Stock when you wish to do so, and could result in a corresponding material reduction in the price of our common stock. In addition, delisting could harm our ability to raise capital through alternative financing sources on terms acceptable to us, or at all, and may result in the potential loss of confidence by investors and employees. In the event of a delisting, we can provide no assurance that any action taken by us to restore compliance with listing requirements would allow the common stock to become listed again, stabilize the market price or improve the liquidity of the common stock, prevent the common stock from dropping below the Nasdaq minimum bid price requirement or prevent future non-compliance with Nasdaq’s listing requirements.
If shares of our common stock cease to be listed on a national exchange they may become subject to the “penny stock” rules of the SEC and the trading market in our securities may become limited, which will make transactions in its stock cumbersome and may reduce the value of an investment in the stock.
If shares of our common stock cease to be listed on the Nasdaq or another national exchange, they may be subject to regulation as a “penny stock” under Rule 15g-9 under the Exchange Act. That rule establishes the definition of a “penny stock,” for the purposes relevant to us, as any equity security that is no longer trading on a national exchange and has a market price of less than $5.00 per share or with an exercise price of less than $5.00 per share, subject to certain exceptions. For any transaction involving a penny stock, unless exempt, the rules require: (a) that a broker or dealer approve a person’s account for transactions in penny stocks; and (b) the broker or dealer receive from the investor a written agreement to the transaction, setting forth the identity and quantity of the penny stock to be purchased.
In order to approve a person’s account for transactions in penny stocks, the broker or dealer must: (a) obtain financial information and investment experience objectives of the person and (b) make a reasonable determination that the transactions in penny stocks are suitable for that person and the person has sufficient knowledge and experience in financial matters to be capable of evaluating the risks of transactions in penny stocks. The broker or dealer must also deliver, prior to any transaction
in a penny stock, a disclosure schedule prescribed by the SEC relating to the penny stock market, which, in highlight form: (x) sets forth the basis on which the broker or dealer made the suitability determination; and (y) confirms that the broker or dealer received a signed, written agreement from the investor prior to the transaction.
Disclosure also has to be made about the risks of investing in penny stocks in both public offerings and in secondary trading and about the commissions payable to both the broker or dealer and the registered representative, current quotations for the securities and the rights and remedies available to an investor in cases of fraud in penny stock transactions. Finally, monthly statements have to be sent disclosing recent price information for the penny stock held in the account and information on the limited market in penny stocks.
Generally, brokers may be less willing to execute transactions in securities subject to the “penny stock” rules. This may make it more difficult for investors to dispose of our common stock and cause a decline in the market value of our common stock.
If shares of our common stock cease to be listed on a national exchange, our securities will not be eligible for federal preemption rights and be subject to state “blue sky” laws which may affect our capabilities of raising capital.
Each state has its own securities laws, often called “blue sky” laws, which (i) limit sales of securities to a state’s residents unless the securities are registered in that state or qualify for an exemption from registration, and (ii) govern the reporting requirements for broker-dealers doing business directly or indirectly in the state. Before a security is sold in a state, there must be a registration in place to cover the transaction, or the transaction must be exempt from registration. The applicable broker must be registered in that state. We do not know whether securities will be registered or exempt from registration under the laws of any state. If our securities cease to be listed on the national exchange, a determination regarding registration will be made by those broker-dealers, if any, who agree to serve as the market-makers for our common stock. Registering or qualifying shares with states can be time consuming. Compliance and regulatory costs may vary from state to state and may adversely affect future financings and our ability to raise capital.
If our common stock is delisted from a national exchange, some institutional investors may not be allowed to purchase our shares and may be required to liquidate their current positions in our stock which could negatively affect the price and volatility of our shares.
Institutional investors may be restricted by their investment policies from investing in shares of companies that are not listed on a national exchange and may be required to liquidate their positions if our securities are delisted from a national exchange. Liquidations, should they occur, may increase volatility and cause wide fluctuations and further declines in the prices of our securities.
We do not currently intend to pay dividends on our common stock, and, consequently, your ability to achieve a return on your investment will depend on appreciation, if any, in the price of our common stock.
We have never declared or paid any cash dividend on our common stock. We currently anticipate that we will retain future earnings for the development, operation and expansion of our business and does not anticipate declaring or paying any cash dividends for the foreseeable future. In addition, the terms of any future debt agreements may preclude us from paying dividends. Any return to stockholders will therefore be limited to the appreciation of their stock. There is no guarantee that the common stock will appreciate in value or even maintain the price at which stockholders have purchased their shares.
Sales of a substantial number of common stock by our stockholders in the public market could cause our stock price to fall.
If our existing stockholders sell, or indicate an intention to sell, substantial amounts of common stock in the public market, the market price of our common stock could decline. We had 52.6 million shares of common stock outstanding as of December 31, 2019. Of these shares, 46.9 million shares of common stock were freely tradable, without restriction, in the public market as of December 31, 2019. Upon the expiration of lock-up agreements entered into by our directors, executive officers and certain other stockholders in connection with the reverse merger, which expiration occurred on March 25, 2020, approximately 5.7 million shares of our common stock became eligible for sale in the public market to the extent permitted by the provisions of Rule 144 and Rule 701 under the Securities Act.
If these additional shares of common stock are sold, or if it is perceived that they will be sold, in the public market, the market price of our common stock could decline, we are unable to predict the effect that sales may have on the prevailing market price of our common stock.
We will incur significant increased costs as a result of operating as a public company, and our management will be required to devote substantial time to new compliance initiatives.
We began operating as a public company as a result of the Merger. As a public company, we will incur significant legal, accounting and other expenses that we did not incur as a private company prior to the reverse merger. We are subject to the reporting requirements of the Exchange Act, which require, among other things, that we file with the SEC annual, quarterly and current reports with respect to our business and financial condition.
In addition, Sarbanes-Oxley, as well as rules subsequently adopted by the SEC and Nasdaq to implement provisions of Sarbanes-Oxley, impose significant requirements on public companies, including requiring establishment and maintenance of effective disclosure and financial controls and changes in corporate governance practices. During the period we were considered an “emerging growth company” as defined in the Jumpstart Our Business Startups Act of 2012, we were able to take advantage of certain exemptions from various reporting requirements that are applicable to public companies that are not emerging growth companies. As of December 31, 2019, we are no longer an emerging growth company, and accordingly we will no longer be able to take advantage of exemptions available by virtue of having emerging growth company status. Further, pursuant to the Dodd-Frank Wall Street Reform and Consumer Protection Act of 2010, the SEC has adopted additional rules and regulations in these areas, such as mandatory “say on pay” voting requirements that are applicable to us following its ceasing to be an emerging growth company. Stockholder activism, the current political environment and the current high level of government intervention and regulatory reform may lead to substantial new regulations and disclosure obligations, which may lead to additional compliance costs and impact the manner in which we operate our business in ways we cannot currently anticipate.
We expect the rules and regulations applicable to public companies to substantially increase our legal and financial compliance costs and to make some activities more time consuming and costly. If these requirements divert the attention of our management and personnel from other business concerns, they could have a material adverse effect on our business, financial condition and results of operations. The increased costs will increase our net loss, and may require us to reduce costs in other areas of our business or increase the prices of our products or services. For example, we expect these rules and regulations to make it more difficult and more expensive for us to obtain director and officer liability insurance, and we may be required to incur substantial costs to maintain the same or similar coverage. We cannot predict or estimate the amount or timing of additional costs we may incur to respond to these requirements. The impact of these requirements could also make it more difficult for us to attract and retain qualified persons to serve on our Board of Directors, our board committees or as executive officers.
If securities or industry analysts do not publish research or reports or publish unfavorable research or reports about our business, our stock price and trading volume could decline.
The trading market for our common stock depends in part on the research and reports that securities or industry analysts publish about us, our business, our market or our competitors. We do not currently have and may never obtain research coverage by securities and industry analysts. If no securities or industry analysts commence coverage of us, the trading price for our stock would be negatively impacted. In the event we obtain securities or industry analyst coverage, if one or more of the analysts who covers us downgrades our stock, our stock price would likely decline. If one or more of these analysts ceases to cover us or fails to regularly publish reports on us, interest in our stock could decrease, which could cause our stock price or trading volume to decline.
If we fail to maintain proper and effective internal control over financial reporting, our ability to produce accurate and timely financial statements could be impaired, investors may lose confidence in our financial reporting and the trading price of our common stock may decline.
Pursuant to Section 404 of Sarbanes-Oxley, our management is required to report upon the effectiveness of our internal control over financial reporting. Additionally, if we reach an accelerated filer threshold, our independent registered public accounting firm will be required to attest to the effectiveness of our internal control over financial reporting. The rules governing the standards that must be met for management to assess our internal control over financial reporting are complex and require significant documentation, testing and possible remediation. To comply with the requirements of being a reporting company under the Exchange Act, we will need to upgrade our information technology systems; implement additional financial and management controls, reporting systems and procedures; and hire additional accounting and finance staff. If we or, if required, our auditors are unable to conclude that our internal control over financial reporting is effective, investors may lose confidence in our financial reporting and the trading price of our common stock may decline.
We cannot assure you that there will not be material weaknesses or significant deficiencies in our internal control over financial reporting in the future. Any failure to maintain internal control over financial reporting could severely inhibit our ability to accurately report our financial condition, results of operations or cash flows. If we are unable to conclude that our internal control over financial reporting is effective, or, if applicable, if our independent registered public accounting firm determines we have a material weakness or significant deficiency in our internal control over financial reporting, investors may lose confidence in the accuracy and completeness of our financial reports, the market price of our common stock could decline, and we could be subject to sanctions or investigations by Nasdaq, the SEC or other regulatory authorities. Failure to remedy any material weakness in our internal control over financial reporting, or to implement or maintain other effective control systems required of public companies, could also restrict our future access to the capital markets.
Provisions in our charter documents and under Delaware law could discourage a takeover that stockholders may consider favorable and may lead to entrenchment of management.
Our amended and restated certificate of incorporation and amended and restated bylaws contain provisions that could significantly reduce the value of our shares to a potential acquiror or delay or prevent changes in control or changes in our management without the consent of our Board of Directors. The provisions in our charter documents include the following:
•a classified Board of Directors with three-year staggered terms, which may delay the ability of stockholders to change the membership of a majority of our Board of Directors;
•no cumulative voting in the election of directors, which limits the ability of minority stockholders to elect director candidates;
•the exclusive right of our Board of Directors, unless the Board of Directors grants such right to the stockholders, to elect a director to fill a vacancy created by the expansion of the Board of Directors or the resignation, death or removal of a director, which prevents stockholders from being able to fill vacancies on our Board of Directors;
•the prohibition on removal of directors without cause due to the classified Board of Directors;
•the ability of our Board of Directors to authorize the issuance of shares of preferred stock and to determine the price and other terms of those shares, including preferences and voting rights, without stockholder approval, which could be used to significantly dilute the ownership of a hostile acquiror;
•the ability of our Board of Directors to alter our amended and restated bylaws without obtaining stockholder approval;
•the required approval of at least 66-2/3% of the shares entitled to vote to adopt, amend or repeal our amended and restated bylaws or repeal certain provisions of our amended and restated certificate of incorporation;
•a prohibition on stockholder action by written consent, which forces stockholder action to be taken at an annual or special meeting of our stockholders;
•an exclusive forum provision providing that the Court of Chancery of the State of Delaware will be the exclusive forum for certain actions and proceedings;
•the requirement that a special meeting of stockholders may be called only by the chairman of the Board of Directors, the chief executive officer or the Board of Directors, which may delay the ability of our stockholders to force consideration of a proposal or to take action, including the removal of directors; and
•advance notice procedures that stockholders must comply with in order to nominate candidates to our Board of Directors or to propose matters to be acted upon at a stockholders’ meeting, which may discourage or deter a potential acquiror from conducting a solicitation of proxies to elect the acquiror’s own slate of directors or otherwise attempting to obtain control of us.
We are also subject to the anti-takeover provisions contained in Section 203 of the Delaware General Corporation Law. Under Section 203, a corporation may not, in general, engage in a business combination with any holder of 15% or more of its capital stock unless the holder has held the stock for three years or, among other exceptions, the board of directors has approved the transaction.
Our sixth amended and restated certificate of incorporation provides that the Court of Chancery of the State of Delaware is the exclusive forum for substantially all disputes between us and our stockholders, which could limit our stockholders’ ability to obtain a favorable judicial forum for disputes with us or our directors, officers or employees.
Our sixth amended and restated certificate of incorporation provides that, unless we consent in writing to the selection of an alternative forum, the Court of Chancery of the State of Delaware is the exclusive forum for any derivative action or proceeding brought on our behalf, any action asserting a breach of fiduciary duty, any action asserting a claim against us arising pursuant to the Delaware General Corporation Law, our amended and restated certificate of incorporation or our amended and restated bylaws, or any action asserting a claim against us that is governed by the internal affairs doctrine. This exclusive forum provision would not apply to suits brought to enforce any liability or duty created by the Securities Act or the Exchange Act or any other claim for which the federal courts have exclusive jurisdiction. These choice of forum provisions may limit a stockholder’s ability to bring a claim in a judicial forum that it finds favorable for disputes with us or our directors, officers or other employees, which may discourage such lawsuits against us and our directors, officers and other employees. By agreeing to this provision, however, stockholders will not be deemed to have waived our compliance with the federal securities laws and the rules and regulations thereunder. Furthermore, the enforceability of similar choice of forum provisions in other companies’ certificates of incorporation has been challenged in legal proceedings, and it is possible that a court could find these types of provisions to be inapplicable or unenforceable. If a court were to find the choice of forum provisions in our certificate of incorporation to be inapplicable or unenforceable in an action, we may incur additional costs associated with resolving such action in other jurisdictions, which could adversely affect our business and financial condition.
Certain of the warrants issued in the Pre-Merger Financing contain price-based adjustment provisions which, if triggered, may cause substantial additional dilution to our stockholders.
Our Series A Warrants to purchase common stock (the "Series A Warrants"), which were issued in connection with the June 2019 common stock and warrant financing entered into by Former Ocugen and Histogenics with certain accredited investors for an aggregate purchase price of $25.0 million (the "Pre-Merger Financing"), contain price-based adjustment provisions, pursuant to which the number of shares of our common stock that are issuable upon exercise of such Series A Warrants may be adjusted upward in the event of certain dilutive issuances by us. Even if our stock increases in value, the number of shares of our common stock issuable upon exercise of the Series A Warrants may still increase. The circumstances under which the number of shares of our common stock issuable upon exercise of the Series A Warrants may be adjusted upward are set forth in the Series A Warrants.
As of December 31, 2019, the holders of our Series B Warrants and Series C Warrants, which were also issued in connection with the Pre-Merger Financing, had exercised such warrants for an aggregate issuance of 40.5 million shares of our common stock. If the Series A Warrants are exercised, additional shares of our common stock will be issued, which will result in dilution to our then-existing stockholders and increase the number of shares eligible for resale in the public market. Ignoring certain blocker provisions which prevent exercises of the Series A Warrants if the exercising holder would beneficially own in excess of 4.99% or 9.99%, as applicable, of the outstanding common stock (including the common stock issuable upon such exercise), following the issuance of the maximum number of shares issuable upon exercise of the Series A Warrants, the holders of such Series A Warrants would acquire in the aggregate an additional 8.8 million shares of our common stock, representing approximately 14.3% of our total outstanding common stock following such issuance. In the event that we enter into a transaction with holders of the Series A Warrants to restructure the terms thereof, the number of shares of common stock into which such warrants are exercisable could be increased, resulting in even greater dilution to then-existing stockholders. Sales of substantial numbers of such shares in the public market could depress the market price of the common stock.
Item 1B. Unresolved Staff Comments.
None.
Item 2. Properties
Our headquarters are located in Malvern, Pennsylvania, and consist of an aggregate of approximately 8,038 square feet of leased office space under one lease that expires by February 28, 2022. We currently sublease laboratory space from another company in Malvern, Pennsylvania, pursuant to an agreement that expires on June 30, 2020.
Item 3. Legal Proceedings.
From time to time, we are subject to claims in legal proceedings arising in the normal course of its business. We do not believe that we are currently party to any pending legal actions that could reasonably be expected to have a material adverse effect on our business, financial condition, results of operations or cash flows.
Item 4. Mine Safety Disclosures.
Not applicable.
PART II
Item 5. Market for Registrant's Common Equity, Related Shareholder Matters and Issuer Purchases of Equity Securities.
Market Information
Our common stock is traded on The NASDAQ Capital Market under the symbol “OCGN.”
Stockholders
As of March 20, 2020, we had 52.6 million shares of common stock outstanding held by approximately 38 stockholders of record. The actual number of stockholders is greater than this number of record holders, and includes stockholders who are beneficial owners, but whose shares are held in “street” name by brokers and other nominees. This number of holders of record also does not include stockholders whose shares may be held in trust by other entities.
Dividend Policy
We have not declared or paid any cash dividends on our capital stock. We currently anticipate that we will retain future earnings, if any, to finance our operations and do not anticipate declaring or paying any cash dividends in the foreseeable future. As a result, we anticipate that only appreciation of the price of our common stock, if any, will provide a return to investors for at least the foreseeable future.
Unregistered Sales of Equity Securities and Use of Proceeds
During the period covered by this Annual Report, there were no sales by us of unregistered securities that were not previously reported by us in a Quarterly Report on Form 10-Q or Current Report on Form 8-K.
Securities Authorized for Issuance Under Equity Compensation Plans
Information about our equity compensation plans is incorporated herein by reference to Part III, Item 12 of this Annual Report on Form 10-K.
Share Repurchase
On October 9, 2019, we announced that our Board of Directors unanimously approved a share repurchase program authorizing the repurchase of up to $2.0 million in value of the outstanding common stock. Pursuant to this repurchase program, we plan to repurchase the common stock provided that the timing, actual number and price per share of the common stock to be purchased will be subject to management discretion and board guidance, market conditions, applicable legal requirements, including Rule 10b-18 of the Exchange Act and various other factors. In November and December 2019, we repurchased 26,500 and 95,000 shares of common stock, respectively, at an average price of $0.25 and $0.42 per share, respectively.
Item 6. Selected Financial Data
Not required for smaller reporting companies.
Item 7. Management’s Discussion and Analysis of Financial Condition and Results of Operations.
You should read the following discussion and analysis of our financial condition and results of operations in conjunction with the financial statements and the notes thereto included elsewhere in this Annual Report on Form 10-K. Some of the information contained in this discussion and analysis, including information with respect to our plans and strategy for our business and related financing, include forward-looking statements that involve risks, uncertainties and assumptions. These statements are based on our beliefs and expectations about future outcomes and are subject to risks and uncertainties that could cause our actual results to differ materially from anticipated results. We undertake no obligation to publicly update these forward-looking statements, whether as a result of new information, future events or otherwise. You should read the “Risk Factors” and “Special Note Regarding Forward-Looking Statements” sections of this Annual Report on Form 10-K for a discussion of important factors that could cause actual results to differ materially from the results described in or implied by the forward-looking statements contained in the following discussion and analysis.
On September 27, 2019, Ocugen completed its reverse merger with Ocugen OpCo Inc. (formerly known as Ocugen, Inc. (“Former Ocugen”)) in accordance with the terms of the Agreement and Plan of Merger and Reorganization, dated as of April 5, 2019, by and among Histogenics, Former Ocugen and Restore Merger Sub, Inc., a wholly owned subsidiary of Histogenics (“Merger Sub”), as amended (the “Merger Agreement”), pursuant to which Merger Sub merged with and into Former Ocugen, with Former Ocugen surviving as a wholly owned subsidiary of Histogenics (the “Merger”). Immediately after completion of the Merger, Histogenics changed its name to Ocugen, Inc. For accounting purposes, the Merger is treated as a “reverse asset acquisition” under generally acceptable accounting principles in the United States (“U.S. GAAP”) and Former Ocugen is considered the accounting acquirer. Accordingly, Former Ocugen’s historical results of operations replaced the Company’s historical results of operations for all periods prior to the Merger and, for all periods following the Merger, the results of operations of the combined company will be included in the Company’s financial statements.
Overview
We are a clinical-stage biopharmaceutical company focused on discovering, developing and commercializing transformative therapies to treat the whole eye.
Our lead product candidate, OCU300, is a small molecule therapeutic currently in Phase 3 clinical development for patients with ocular redness and discomfort stemming from ocular graft-versus-host disease (“oGVHD”). As of March 20, 2020, we had completed over 95% of planned enrollment of our Phase 3 clinical trial for OCU300. OCU300 has received Orphan Drug Designation (“ODD”) from the U.S. Food and Drug Administration (the “FDA”), and it is the first and only product candidate to receive that designation for the treatment of symptoms associated with oGVHD. oGVHD, a severe chronic autoimmune disease that occurs in up to 60% of allogeneic hematopoietic stem cell transplantation (“HSCT”) patients, can result in light sensitivity, excessive ocular redness, severe ocular pain and, ultimately, vision impairment. We estimate the current prevalence of patients suffering from oGVHD in the United States to be approximately 63,000. OCU300 is formulated using our proprietary nanoemulsion technology, OcuNanoE—Ocugen’s ONE Platform™ (“OcuNanoE™”), which we believe represents an effective drug delivery mechanism to treat ocular surface disorders. We believe that OcuNanoE™ provides additional protection to the ocular surface and the potential for enhanced efficacy compared to traditional formulations. We are the first company to use nanoemulsion technology in the ophthalmology space.
We were developing OCU310 for patients with dry eye disease, which is also formulated using OcuNanoE™. We have completed a Phase 3 clinical trial for OCU310 that was initiated in September 2018. Although the trial showed that OCU310 is safe and well-tolerated, it did not meet its co-primary endpoints for symptom and sign. We are no longer pursuing the development of this product candidate.
We are also developing a modifier gene therapy platform to generate therapies designed to fulfill unmet medical needs in the area of retinal diseases, including inherited retinal diseases (“IRDs”). Our modifier gene therapy platform is being designed to target nuclear hormone receptors (“NHRs”), which have the potential to restore homeostasis to the retina. Unlike single-gene replacement therapies, which only target one genetic mutation, we believe that our gene therapy platform, through its use of NHRs, represents a novel approach in that it may address multiple retinal diseases with one product. Our first gene therapy candidate, OCU400, received two ODDs from the FDA, one for the treatment of nuclear receptor subfamily 2 group E member 3 ("NR2E3") mutation-associated retinal diseases and the other for the treatment of centrosomal protein 290 ("CEP290") mutation-associated retinal diseases. We are planning to initiate a Phase 1/2a clinical trial for OCU400 in the next two years. Our second gene therapy candidate, OCU410, is being developed to utilize the nuclear receptor genes RAR-related orphan receptor A (“RORA”) for the treatment of dry age-related macular degeneration (“AMD”). This candidate is currently in preclinical development.
Additionally, we are conducting preclinical development for a novel biologic product candidate. OCU200 is a novel fusion protein designed to treat diabetic macular edema (“DME”), diabetic retinopathy (“DR”) and wet age-related macular degeneration (“wet AMD”). We expect to initiate a Phase 1/2 clinical trial for OCU200 within the next two years. We plan to expand the therapeutic applications of OCU200 beyond DME, DR and wet AMD to potentially include macular edema following retinal vein occlusion (“RVO”) and myopic choroidal neovascularization (“mCNV”).
We have no products approved for commercial sale and have not generated any revenue from product sales. We have never been profitable and have incurred operating losses in each year since inception. We incurred net losses of approximately $20.2 million and $18.2 million for the fiscal years ended December 31, 2019 and 2018, respectively. As of December 31, 2019, we had an accumulated deficit of $51.5 million and a cash, cash equivalents and restricted cash balance of $7.6 million. Substantially all of our operating losses resulted from expenses incurred in connection with our research and development programs and from general and administrative costs associated with our operations.
To date, we have viewed our operations and manage our business as one operating segment. As of December 31, 2019, all of our assets were located in the United States. Our headquarters and operations are located in Malvern, Pennsylvania.
Financial Operations Overview
Research and development expense
Research and development costs are expensed as incurred. These costs consist of internal and external expenses. Internal expenses include the cost of salaries, benefits and other related costs, including stock-based compensation, for personnel serving in our product development functions, as well as allocated rent and utilities expenses. External expenses include development, clinical trials, patent costs and regulatory compliance costs incurred with research organizations and other third-party vendors. License fees paid to acquire access to proprietary technology are expensed to research and development unless it is determined that the technology is expected to have an alternative future use. All patent-related costs incurred in connection with filing and prosecuting patent applications are expensed as incurred to research and development expense due to the uncertainty about the recovery of the expenditure. We record costs for certain development activities, such as clinical trials, based on our evaluation of the progress to completion of specific tasks using data such as patient enrollment, clinical site activations, or information provided to us by our vendors on their actual costs incurred. Payments for these activities are based on the terms of the individual arrangements, which may differ from the pattern of costs incurred, and are reflected in the consolidated financial statements as prepaid or accrued research and development expense, as the case may be.
We plan to incur research and development expenses for the foreseeable future as we expect to continue development and eventual commercialization of one or more of our product candidates, if approved. We anticipate that our research and development expenses will increase substantially as compared to prior periods as we complete our Phase 3 trial with respect to OCU300 and prepare to commence Phase 1/2a trials with respect to OCU400, OCU410 and OCU200, and otherwise develop and prepare for commercialization of our product candidates. At this time, due to the inherently unpredictable nature of preclinical and clinical development, we are unable to estimate with any certainty the costs we will incur and the timelines we will require in our continued development efforts.
As a result of the uncertainties discussed above, successful development and completion of clinical trials is uncertain and may not result in approved products. Completion dates and completion costs can vary significantly for each future product candidate and are difficult to predict. We will continue to make determinations as to which product candidates to pursue and how much funding to direct to each product candidate on an ongoing basis in response to our ability to enter into collaborations with respect to each product candidate, the scientific and clinical success of each product candidate as well as ongoing assessments as to the commercial potential of each product candidates.
General and administrative expense
General and administrative expense consists primarily of personnel expenses, including salaries, benefits and stock-based compensation expense, for employees in executive, accounting and other administrative functions. General and administrative expense also includes corporate facility costs, including rent and utilities, as well as legal fees related to corporate matters and fees for accounting and other consulting services.
We anticipate that our general and administrative expense will increase as a result of an expanded infrastructure and an increased headcount. We anticipate higher corporate infrastructure costs including, but not limited to accounting, legal, human resources, consulting, and investor relations fees, as well as increased director and officer insurance premiums, associated with becoming a public company. Additionally, if and when we believe a regulatory approval of a product candidate appears likely,
we anticipate an increase in payroll and expense as a result of its preparation for commercial operations, especially as it relates to the sales and marketing of our product candidates.
Change in fair value of derivative liabilities
Change in fair value of derivative liabilities includes the change in fair value each reporting period of (a) the conversion and change in control features embedded in certain convertible notes, which were required to be bifurcated and recognized at fair value, and (b) the change in the fair value of the Company's Series B Warrants that were issued in connection with a Securities Purchase Agreement entered into with certain accredited investors in June 2019. The change in fair value of derivative liabilities related to the Series B Warrants was recognized through the date the Series B Warrants were reclassified to equity. The reclassification to equity occurred once the Series B Warrants were reassessed and determined to meet the derivative scope exception related to equity indexation allowing for equity classification. See Note 10 in the notes to the consolidated financial statements included in this report for additional information. The change in fair value of derivative liabilities related to our convertible notes was recognized through the date that the notes were converted or otherwise settled. There were no derivative liabilities valued as of December 31, 2019.
Other income (expense)
Other income (expense) consists primarily of interest expense, including the amortization of debt issuance costs related to our debt and accretion of the discount created by the bifurcation of the embedded conversion features and embedded change in control features from certain of the convertible promissory notes, interest income earned on our cash and cash equivalents held with institutional banks, and foreign currency income (losses) due to exchange rate fluctuations on transactions denominated in a currency other than its functional currency.
Critical Accounting Policies and Significant Judgments and Estimates
Our consolidated financial statements are prepared in accordance with U.S. generally accepted accounting principles (“GAAP”). The preparation of our financial statements requires us to make estimates and judgments that affect the reported amounts of assets and liabilities, disclosure of contingent assets and liabilities at the date of the financial statements and the reported amounts of expenses during the reported period. We base our estimates on historical experience, known trends and events and various other factors that we believe to be reasonable under the circumstances, the results of which form the basis for making judgments about the carrying values of assets and liabilities that are not readily apparent from other sources. We evaluate our estimates and assumptions on an ongoing basis. Our actual results may differ from these estimates under different assumptions and conditions.
While our significant accounting policies are described in more detail in the notes to the consolidated financial statements appearing elsewhere in this report, we believe that the following accounting policies and estimates are those most critical to the preparation of our consolidated financial statements:
Stock-based compensation
We account for our stock-based compensation awards in accordance with the Financial Accounting Standards Board’s (“FASB”) Accounting Standards Codification (“ASC”) Topic 718, Compensation—Stock Compensation (“ASC 718”). ASC 718 requires all stock-based payments to employees, including grants of employee stock options and restricted stock units and modifications to existing agreements, to be recognized in the statements of operations based on their fair values. We use the Black-Scholes option-pricing model to determine the fair value of options granted.
Our stock-based awards are subject to service-based vesting conditions. Compensation expense related to awards to employees and directors with service-based vesting conditions is recognized on a straight-line basis based on the grant date fair value over the associated service period of the award, which is generally the vesting term.
Estimating the fair value of options requires the input of subjective assumptions, including expected life of the option, stock price volatility, the risk-free interest rate and expected dividends. The assumptions used in our Black-Scholes option-pricing model represent our best estimates and involve a number of variables, uncertainties and assumptions and the application of management’s judgment, as they are inherently subjective. If any assumptions change, our stock-based compensation expense could be materially different in the future.
These assumptions used in our Black-Scholes option-pricing model are as follows:
Expected Term. Due to the historical lack of a public market for the trading of our common stock and the lack of sufficient company-specific historical data, the expected term of employee options is determined using the “simplified” method, as prescribed in Securities and Exchange Commission's ("SEC") Staff Accounting Bulletin No. 107 (“SAB No. 107”), whereby the expected life equals the arithmetic average of the vesting term and the original contractual term of the option. The expected term of non-employee options is equal to the contractual term.
Expected Volatility. The expected volatility is based on historical volatilities of similar entities within our industry which were commensurate with the expected term assumption as described in SAB No. 107.
Risk-Free Interest Rate. The risk-free interest rate is based on the interest rate payable on U.S. Treasury securities in effect at the time of grant for a period that is commensurate with the assumed expected term.
Expected Dividends. The expected dividend yield is 0% because we have not historically paid, and do not expect for the foreseeable future to pay, a dividend on our common stock.
Stock-based compensation expense was $0.9 million and $1.1 million for the years ended December 31, 2019 and 2018, respectively. At December 31, 2019, we had $0.9 million of unamortized stock-based compensation expense related to unvested service-based stock options, which is expected to be recognized over a remaining weighted-average vesting period of 1.7 years.
Derivative liabilities
Our convertible notes contained bifurcated conversion features classified as derivative liabilities as the conversion feature does not have a fixed conversion price and conversion will be settled in a variable number of shares. Our convertible notes also contain bifurcated change in control features that were determined to be redemption features and not clearly and closely related to the debt host. We estimated the fair value of the embedded conversion and change in control features at each issuance of convertible promissory notes and at the end of each reporting period using an income approach model. Inputs into this model include the expected time until conversion or change in control and our estimates of the probability of conversion or change in control occurring. There are no such derivatives valued as of December 31, 2019, due to either the payment or conversion of the related notes.
We issued warrants to purchase common stock and we account for our warrants in accordance with FASB ASC Topic 815-40, Derivatives and Hedging — Contracts in Entity’s Own Equity (“ASC 815-40”), which is the authoritative guidance on accounting for derivative financial instruments indexed to and potentially settled in a company’s own stock. To determine whether a contract is considered indexed to the issuer’s own equity, we perform the following two-step analysis: (1) evaluate whether the contract contains any exercise contingencies and, if so, whether they disqualify the contract from being classified as equity, and (2) assess whether the settlement terms are consistent with equity classification.
We entered into a Securities Purchase Agreement with certain accredited investors, pursuant to which we issued three series of warrants, Series A Warrants, Series B Warrants and Series C Warrants. The Series A Warrants and Series C Warrants were determined to meet the criteria for equity classification. Upon the closing of the Merger, the Series B Warrants were recognized as a derivative liability as they did not meet the criteria related to equity indexation. We classified the Series B Warrants on our consolidated balance sheet as a derivative liability which was recognized at fair value at each reporting period subsequent to the initial issuance until the warrants were reclassified as equity in November 2019 following a final mark to market upon the completion of a reset period pursuant to which the number of shares of common stock underlying the Series B Warrants was increased based on the trading price for the common stock (the "Reset Period"). Changes in the fair value of derivatives were recognized as other income (expense) in the consolidated statements of operations and comprehensive loss.
We estimated the fair value of Series B Warrants using the Monte Carlo simulation model. Key fair value inputs included the starting stock price, expected stock price volatility during the Reset Period, and additional shares issued from escrow. Upon conclusion of the Reset Period, we estimated the fair value of the Series B Warrants using a Black-Scholes valuation model. The methodology for measuring fair value is sensitive to the expected stock volatility assumption input mentioned above. Inputs used in the valuation are unobservable and are therefore classified as Level 3 fair value inputs. The use of different valuation techniques or assumptions could result in materially different fair value estimates. See Note 10 in the notes to the consolidated financial statements included in this report for additional information.
Results of Operations
Comparison of the Years Ended December 31, 2019 and 2018
The following table summarizes the results of our operations for the years ended December 31, 2019 and 2018 (in thousands):
| | | | | | | | | | | | | | | | | | | | |
| | Year Ended December 31, | | | | |
| | 2019 | | 2018 | | Change |
| Operating expenses: | | | | | | |
| Research and development | | $ | 8,086 | | | $ | 10,321 | | | $ | (2,235) | |
| General and administrative | | 6,077 | | | 5,819 | | | 258 | |
| Total operating expenses | | 14,163 | | | 16,140 | | | (1,977) | |
| Loss from operations | | (14,163) | | | (16,140) | | | 1,977 | |
| Other income (expense) | | | | | | |
| Change in fair value of derivative liabilities | | (3,187) | | | 1,665 | | | (4,852) | |
| Loss on debt conversion | | (341) | | | — | | | (341) | |
| Interest income | | 1 | | | 19 | | | (18) | |
| Interest expense | | (1,768) | | | (3,751) | | | 1,983 | |
| Other income (expense) | | (785) | | | (12) | | | (773) | |
| Total other income (expense) | | (6,080) | | | (2,079) | | | (4,001) | |
| Net loss | | $ | (20,243) | | | $ | (18,219) | | | $ | (2,024) | |
Research and development expense
Research and development expense decreased by $2.2 million for the year ended December 31, 2019 when compared to the year ended December 31, 2018 primarily as a result of a net decrease in program development and clinical trial activities of $1.8 million and a net decrease of $0.4 million in other costs.
Specifically, expenses related to OCU300 decreased in 2019 by $2.0 million primarily related to preclinical and manufacturing activities in 2018. This decrease was offset by (a) a $0.2 million increase in OCU400 preclinical activities and (b) a $0.1 million net increase in OCU200 preclinical and manufacturing activities.
The $0.4 million net decrease in other research and development costs is primarily related to (a) a $0.2 million decrease in employee-related expenses due to a decrease in headcount and (b) a $0.2 million decrease in license fees associated with a license milestone achieved during 2018.
General and administrative expense
General and administrative expenses increased by $0.3 million, for the year ended December 31, 2019 when compared to the year ended December 31, 2018. The increase was primarily due to a $0.7 million increase in professional and consulting fees and a $0.3 million increase in insurance costs, which was offset by a $0.6 million decrease in employee-related expenses due to a decrease in headcount.
Change in fair value of derivative liability
The change in fair value of derivative liability was a loss of $3.2 million for the year ended December 31, 2019 compared to a gain of $1.7 million related to a change in fair value of the derivatives related to the debt instruments for the year ended December 31, 2018. The loss for the year ended December 31, 2019 primarily relates to the remeasurement of the Series B Warrant liability.
Loss on debt conversion
The loss on debt conversion of $0.3 million primarily relates to 2019 conversions of all previously-issued convertible debt.
Interest expense
Interest expense was $1.8 million for the year ended December 31, 2019 and $3.8 million for the year ended December 31, 2018. The decrease in interest expense was primarily due to the 2019 conversions of all previously-issued convertible debt.
Other expense
Other expense was $0.8 million the year ended December 31, 2019 compared to a de minimis amount for the year ended December 31, 2018. Other expense for the year ended December 31, 2019 primarily relates to equity issuance fees associated with the Series B Warrants, which were expensed as incurred.
Liquidity and Capital Resources
We have not generated any revenue to date and have primarily funded our operations to date through the sale and issuance of common stock and warrants to purchase common stock, proceeds from convertible notes payable, and debt. Specifically, since its inception and through December 31, 2019, we have raised an aggregate of $51.1 million to fund its operations, of which $39.5 million was from the sale of our common stock and warrants, $10.3 million was from the issuance of convertible notes, $1.1 million was from borrowings under the EB-5 Program, and $0.2 million from grant proceeds. As of December 31, 2019, we had $7.6 million in cash, cash equivalents and restricted cash.
Since our inception, we have devoted substantial resources to research and development and have incurred significant net losses and expect to continue to incur net losses for the foreseeable future. We incurred net losses of approximately $20.2 million and $18.2 million for the year ended December 31, 2019 and 2018, respectively. As of December 31, 2019, we had an accumulated deficit of $51.5 million. In addition, as of December 31, 2019, we had accounts payable and accrued expenses of $4.2 million and indebtedness of $1.1 million.
Although it is difficult to predict future liquidity requirements, we believe that we have sufficient cash and cash equivalents to fund our operations into mid-2020, during which time, we expect to continue our development efforts with respect to our product candidates. We will need to raise additional capital in the future to further the development and commercialization of our other product candidates. Until such time, if ever, that we generate product revenue, we expect to obtain additional financing through the issuance of our common stock, issuance of warrants to purchase company stock, through other equity or debt financings, licensing or sale of assets, or through collaborations or partnerships with other companies. We may not be able to raise additional capital on terms acceptable to us, or at all, and any failure to raise capital as and when needed could compromise our ability to execute on our business plan and cause us to delay or curtail our operations until such funding is received.
The following table shows a summary of our cash flows for the periods indicated (in thousands):
| | | | | | | | | | | |
| Year Ended December 31, | | |
| 2019 | | 2018 |
| Net cash used in operating activities | $ | (16,893) | | | $ | (11,631) | |
| Net cash used in investing activities | (2,357) | | | (77) | |
| Net cash provided by financing activities | 25,066 | | | 7,185 | |
| Net increase (decrease) in cash, cash equivalents and restricted cash | $ | 5,816 | | | $ | (4,523) | |
Operating activities
Cash used in operating activities was $16.9 million for the year ended December 31, 2019 compared with $11.6 million for the year ended December 31, 2018. The increase in cash used in operating activities relates to additional cash used for working capital purposes during 2019, including a significant decrease in accounts payable.
Investing activities
Cash used in investing activities was $2.4 million for the year ended December 31, 2019 compared with $0.1 million for the year ended December 31, 2018. The $2.3 million increase in cash used is primarily related to costs associated with the Merger.
Financing activities
Cash provided by financing activities was $25.1 million for the year ended December 31, 2019 compared to $7.2 million for the year ended December 31, 2018. This $17.9 million increase is primarily due to the $22.5 million of proceeds, which were issued in connection with the June 2019 common stock and warrant financing entered into by Former Ocugen and Histogenics with certain accredited investors for an aggregate purchase price of $25.0 million (the "Pre-Merger Financing"), $1.0 million from issuance of the stock subscription agreement, and $0.2 million from issuance of common stock for warrant exercises. These increases were partially offset by a payment of $5.3 million to settle the convertible debt and a decrease in net proceeds of $0.5 million from the issuance of convertible debt.
Indebtedness
In September 2016, pursuant to the U.S. Government’s Immigrant Investor Program, commonly known as the EB-5 program (the “EB-5 Program”), we entered into an arrangement to borrow up to $10.0 million from EB5 Life Sciences, L.P. (the “Lender”) in $0.5 million increments. Borrowings are at a fixed interest rate of 4.0% and are to be utilized in the clinical development, manufacturing, and commercialization of our products and for our general working capital needs. Outstanding borrowings pursuant to the EB-5 Program become due upon the seventh anniversary of the final disbursement. Amounts repaid cannot be re-borrowed. At December 31, 2019, there was $1.0 million of principal outstanding under the EB-5 program. Subsequent to December 31, 2019, we borrowed an additional $0.5 million under the arrangement.
Funding requirements
We expect to continue to incur significant expenses in connection with our ongoing activities, particularly as we continue research and development, including clinical development activities of our product candidates, increase our headcount and add operational, financial and information systems to execute our business plan, maintain, expand and protect our patent portfolio, contract to manufacture our product candidates, and operate as a public company.
Our future funding requirements, both near- and long-term, will depend on many factors, including, but not limited to:
•the initiation, progress, timing, costs and results of clinical trials for our product candidates;
•the outcome, timing and cost of the regulatory approval process for our product candidates by the FDA;
•future costs of manufacturing and commercialization;
•the cost of filing, prosecuting, defending and enforcing our patent claims and other intellectual property rights;
•the cost of defending intellectual property disputes, including patent infringement actions brought by third parties against us;
•the costs of expanding infrastructure and increasing headcount, as well as the higher corporate infrastructure costs associated with becoming a public company; and
•the extent to which we in-license or acquire other products, product candidates or technologies.
We believe that the existing cash and cash equivalents will be sufficient to fund our operations into mid-2020, during which time we expect to continue our development efforts with respect to our product candidates. We have based this estimate on assumptions that may prove to be wrong, and we could utilize our available capital resources sooner than we expect. Substantial additional financing will be needed to fund our operations thereafter and to commercially develop any current or future product candidates. We currently do not have any commitments to obtain additional funds and may be unable to obtain sufficient funding in the future on acceptable terms, if at all. However, our management is currently evaluating different strategies to obtain the required funding for future operations. These strategies may include, but are not limited to: public and private placements of equity and/or debt, payments from potential strategic research and development, sale of assets, and licensing and/or collaboration arrangements with pharmaceutical companies or other institutions. There can be no assurance that these future funding efforts will be successful. If we cannot obtain the necessary funding, we will need to delay, scale back or eliminate some or all of our research and development programs; consider other various strategic alternatives, including a merger or sale; or cease operations. If we cannot expand our operations or otherwise capitalize on our business opportunities because we lack sufficient capital, our business, financial condition and results of operations could be materially adversely affected.
Off-Balance Sheet Arrangements
We did not have off-balance sheet arrangements during the periods presented, and we do not currently have any off-balance sheet arrangements as defined in the rules and regulations of the SEC.
Recent Accounting Pronouncements
For a discussion of recent accounting pronouncements, see Note 2 to our consolidated financial statements included in this report.
Other Company Information
JOBS Act
On April 5, 2012, the Jumpstart Our Business Startups Act (“JOBS Act”) was enacted. Section 107 of the JOBS Act permits an “emerging growth company” or a “smaller reporting company” to delay the adoption of new or revised accounting standards until those standards would otherwise apply to private companies. We plan to avail ourselves of this exemption from new or revised accounting standards as a smaller reporting company and, therefore, we may not be subject to the same new or revised accounting standards as other public companies that are not emerging growth companies or smaller reporting companies.
For so long as we are a “smaller reporting company,” we intend to rely on exemptions relating to: (1) providing an auditor’s attestation report on our system of internal control over financial reporting pursuant to Section 404(b) of the Sarbanes-Oxley Act and (2) complying with certain requirements that may be adopted by the Public Company Accounting Oversight Board.
Although we remain a smaller reporting company, as of December 31, 2019, we are no longer an emerging growth company.
Item 7A. Quantitative and Qualitative Disclosures about Market Risk.
Not applicable.
Item 8. Financial Statements and Supplementary Data
The financial statements required by this item are set forth beginning at page F-1 of this report and are incorporated herein by reference.
Item 9. Changes in and Disagreements with Accountants on Accounting and Financial Disclosure.
Not applicable.
Item 9A. Controls and Procedures.
Evaluation of Disclosure Controls and Procedures
We have carried out an evaluation, under the supervision and with the participation of our management, including our principal executive officer and principal financial officer, of the effectiveness of the design and operation of our disclosure controls and procedures (as defined in Rules 13a-15(e) and 15d-15(e) under the Securities Exchange Act of 1934, as amended) (the “Exchange Act”), as of December 31, 2019. Based upon that evaluation, our principal executive officer and principal financial officer concluded that, as of the end of the period covered by this report, our disclosure controls and procedures are effective in ensuring that (a) the information required to be disclosed by us in the reports that we file or submit under the Exchange Act is recorded, processed, summarized and reported within the time periods specified in the SEC’s rules and forms, and (b) such information is accumulated and communicated to our management, including our principal executive officer and principal financial officer, as appropriate to allow timely decisions regarding required disclosure. In designing and evaluating our disclosure controls and procedures, our management recognized that any controls and procedures, no matter how well designed and operated, can provide only reasonable assurance of achieving the desired control objectives, and our management necessarily was required to apply its judgment in evaluating the cost-benefit relationship of possible controls and procedures.
Management’s Report on Internal Control Over Financial Reporting
Our management is responsible for establishing and maintaining adequate internal control over financial reporting. Internal control over financial reporting is defined in Rule 13a-15(f) or 15d-15(f) under the Exchange Act as a process designed by, or under the supervision of, our principal executive officer and principal financial officer and effected by our Board of Directors, management, and other personnel, to provide reasonable assurance regarding the reliability of financial reporting and the preparation of our financial statements for external reporting purposes in conformity with generally accepted accounting principles and includes those policies and procedures that:
•pertain to the maintenance of records that in reasonable detail accurately and fairly reflect the transactions and dispositions of our assets;
•provide reasonable assurance that transactions are recorded as necessary to permit preparation of financial statements in conformity with generally accepted accounting principles, and that our receipts and expenditures are being made only in accordance with authorizations of our management and directors; and
•provide reasonable assurance regarding prevention or timely detection of unauthorized acquisition, use or disposition of our assets that could have a material effect on our consolidated financial statements.
Because of its inherent limitations, internal control over financial reporting may not prevent or detect misstatements. Projections of any evaluation of effectiveness to future periods are subject to the risk that controls may become inadequate because of changes in conditions, or that the degree of compliance with the policies or procedures may deteriorate.
Under the supervision of and with the participation of our Chief Executive Officer and Chief Financial Officer, our management assessed the effectiveness of our internal control over financial reporting as of December 31, 2019 based on the criteria set forth by the Committee of Sponsoring Organizations of the Treadway Commission (COSO) in Internal Control-Integrated Framework (2013). Based on this assessment, management concluded that our internal control over financial reporting was effective as of December 31, 2019.
Changes in Internal Control Over Financial Reporting
There have been no changes in our internal control over financial reporting during our most recent fiscal quarter that has materially affected, or is reasonably likely to materially affect, our internal control over financial reporting.
Item 9B. Other Information.
Our Board of Directors has established Thursday, June 4, 2020 as the date of our 2020 Annual Meeting of Stockholders (the “2020 Annual Meeting”).
The 2020 Annual Meeting will be held at the offices of Pepper Hamilton LLP, 400 Berwyn Park, 899 Cassatt Road, Berwyn, PA 19312, at 8:00 a.m., local time. Stockholders of record at the close of business on Tuesday, April 14, 2020 will be entitled to vote at the 2020 Annual Meeting.
Because the date of the 2020 Annual Meeting has been advanced by more than 30 calendar days from the date of the preceding year’s annual meeting, in accordance with Rule 14a-5(f) under the Exchange Act, we are informing stockholders of certain dates related to the 2020 Annual Meeting.
Pursuant to Rule 14a-8 under the Exchange Act, a stockholder intending to present a proposal to be included in the proxy materials for the 2020 Annual Meeting must deliver a proposal in writing to our principal executive offices no later than a reasonable time before we begin printing and mailing the proxy materials for the 2020 Annual Meeting. According to our bylaws, a stockholder must provide notice to the our corporate secretary of proposals intended to be presented at, but not included in the proxy materials for, the 2020 Annual Meeting, including director nominations for election to our Board of Directors, in a timely manner. Under our bylaws, in order to be timely, in the event that the date of the annual meeting is advanced more than 30 days prior to or delayed more than 30 days after the anniversary of the preceding year’s annual meeting, notice by the stockholder must be delivered to us by the close of business on the later of (x) the 90th day prior to such annual meeting or (y) the 10th day following the day on which public announcement of the date of such meeting is first made.
As such, the new deadline for submission of proposals to be included in the proxy materials or otherwise to be considered at the 2020 Annual Meeting is the close of business on Monday, April 6, 2020, which we consider a reasonable time before we will begin printing and mailing proxy materials and is the 10th day following the date of filing of this Annual Report. Proposals
should be addressed to: Corporate Secretary, Ocugen, Inc., 5 Great Valley Parkway, Suite 160, Malvern, PA 19355. Any such proposal must (i) meet the requirements set forth in the rules and regulations of the SEC in order to be eligible for inclusion in the proxy materials for the 2020 Annual Meeting and (ii) contain the information specified in, and otherwise comply with, our bylaws. We may omit any proposal from the proxy materials that does not comply with the SEC’s rules.
Because of the uncertainties surrounding the impact of the COVID-19 pandemic, we are planning for the possibility that the 2020 Annual Meeting may be held solely by means of remote communication. If we take this step, we will announce the decision to do so in advance of the 2020 Annual Meeting, and details on how to participate in the webcast will be set forth in a press release issued by us and available at www.ocugen.com.
PART III
Item 10. Directors, Executive Officers, and Corporate Governance.
The information required by this Item is incorporated by reference from the discussion responsive thereto contained in the Proxy Statement for our 2020 Annual Meeting of Stockholders, which we intend to file with the SEC within 120 days of the end of the fiscal year to which this Annual Report on Form 10-K relates.
Item 11. Executive Compensation.
The information required by this Item is incorporated by reference from the discussion responsive thereto contained in the Proxy Statement for our 2020 Annual Meeting of Stockholders, which we intend to file with the SEC within 120 days of the end of the fiscal year to which this Annual Report on Form 10-K relates.
Item 12. Security Ownership of Certain Beneficial Owners and Management and Related Stockholder Matters.
The information required by this Item is incorporated by reference from the discussion responsive thereto contained in the Proxy Statement for our 2020 Annual Meeting of Stockholders, which we intend to file with the SEC within 120 days of the end of the fiscal year to which this Annual Report on Form 10-K relates.
Item 13. Certain Relationships and Related Transactions, and Director Independence.
The information required by this Item is incorporated by reference from the discussion responsive thereto contained in the Proxy Statement for our 2020 Annual Meeting of Stockholders, which we intend to file with the SEC within 120 days of the end of the fiscal year to which this Annual Report on Form 10-K relates.
Item 14. Principle Accountant Fees and Services.
The information required by this Item is incorporated by reference from the discussion responsive thereto contained in the Proxy Statement for our 2020 Annual Meeting of Stockholders, which we intend to file with the SEC within 120 days of the end of the fiscal year to which this Annual Report on Form 10-K relates.
PART IV
Item 15. Exhibits, Financial Statements
The financial statement schedules and exhibits filed as part of this Annual Report on Form 10-K are as follows:
(a)(1) Financial Statements
See “Index to Consolidated Financial Statements” beginning on page F-1 of this report.
(a)(2) Financial Statement Schedules
Financial statement schedules have been omitted because the required information is not present, not present in amounts sufficient to require submission of the schedules, or because the required information is provided in the financial statements or notes thereto.
(a)(3) Exhibits
The exhibits required to be filed as part of this report are listed in the Exhibit Index attached hereto and are incorporated herein by reference.
| | | | | | | | |
| EXHIBIT INDEX | | |
Exhibit | | Description |
| | |
| 2.1 | | | |
| | | |
| 2.2 | | | |
| | |
| 3.1 | | | |
| | |
| 3.2 | | | |
| | |
| 3.3 | | | |
| | |
| 3.4 | | | |
| | |
| 4.1* | | | |
| | |
| 4.2 | | | |
| | |
| 4.3 | | | |
| | |
| 4.4 | | | |
| | |
| 4.5 | | | |
| | |
| 4.6 | | | |
| | |
| 4.7 | | | |
| | |
| 4.8 | | | |
| | |
| 10.1 | | | |
| | |
| 10.2# | | | |
| | | | | | | | |
Exhibit | | Description |
| | | |
| 10.3# | | | |
| | |
| 10.4# | | | |
| | | |
| 10.5# | | | |
| | | |
| 10.6# | | | |
| | | |
| 10.7# | | | |
| | |
| 10.8# | | | |
| | | |
| 10.9# | | | |
| | | |
| 10.10# | | | |
| | | |
| 10.11# | | | |
| | | |
| 10.12# | | | |
| | | |
| 10.13# | | | |
| | | |
| 10.14 | | | |
| | | | | | | | |
Exhibit | | Description |
| | | |
| 10.15# | | | |
| | |
| 10.16# | | | |
| | |
| 10.17 | | | |
| | | |
| 10.18# | | | |
| | | |
| 10.19# | | | |
| | | |
| 10.20# | | | |
| | | |
| 10.21 | | | |
| | |
| 10.22 | | | |
| | | |
| 10.23 | | | |
| | | |
| 10.24 | | | |
| | | |
| 10.25+ | | | |
| | | |
| 10.26+ | | | |
| | | |
| 10.27+ | | | |
| | | |
| 10.28+ | | | Ocugen, Inc. 2019 Equity Incentive Plan (filed as Appendix A to the Registrant's Proxy Statement on Schedule 14A as filed on November 8, 2019, and incorporated herein by reference) |
| 10.29*+ | | | |
| | | |
| 10.30*+ | | | |
| | | | | | | | |
Exhibit | | Description |
| | | |
| 10.31# | | | |
| | |
| 10.32# | | | |
| | |
| 10.33 | | | |
| | |
| 10.34# | | | |
| | | |
| 10.35# | | | |
| | | |
| 10.36 | | | |
| | | |
| 10.37 | | | |
| | | |
| 10.38 | | | |
| | | |
| 10.39 | | | |
| | | |
| 10.40 | | | |
| | | |
| 10.41 | | | |
| | | |
| 10.42 | | | |
| | | |
| 10.43 | | | |
| | | |
| 10.44 | | | |
| | | |
| 10.45# | | | |
| | | | | | | | |
Exhibit | | Description |
| | | |
| 10.46+ | | | |
| | |
| 10.47+ | | | |
| | |
| 10.48+ | | | |
| | |
| 10.49+ | | | |
| | |
| 21.1* | | | |
| | |
| 23.1* | | | |
| | | |
| 31.1* | | | |
| | | |
| 31.2* | | | |
| | | |
| 32.1* | | | |
| | | |
| 101.INS* | | XBRL Instance Document |
| | |
| 101.SCH* | | XBRL Taxonomy Extension Schema Document |
| | |
| 101.CAL* | | XBRL Taxonomy Extension Calculation Linkbase Document |
| | |
| 101.DEF* | | XBRL Taxonomy Extension Definition Linkbase Document |
| | |
| 101.LAB* | | XBRL Taxonomy Extension Label Linkbase Document |
| | |
| 101.PRE* | | XBRL Taxonomy Extension Presentation Linkbase Document |
_______________________
* Filed herewith.
# Portions of this exhibit have been omitted pursuant to Item 601(b)(10)(iv) of Regulations S-K.
+ Indicates a management contract or compensatory plan or arrangement.
Item 16. 10-K Summary
Not applicable.
SIGNATURES
Pursuant to the requirements of the Securities Exchange Act of 1934, as amended, the registrant has duly caused this report to be signed on its behalf by the undersigned thereunto duly authorized.
| | | | | |
| Ocugen, Inc. |
| |
| Dated: March 27, 2020 | /s/ Shankar Musunuri, Ph.D., MBA |
| Shankar Musunuri, Ph.D., MBA Chief Executive Officer & Chairman (Principal Executive Officer) |
| |
| Dated: March 27, 2020 | /s/ Sanjay Subramanian |
| Sanjay Subramanian Chief Financial Officer (Principal Financial Officer and Accounting Officer) |
Pursuant to the requirement of the Securities Exchange Act of 1934, as amended, this Annual Report on Form 10-K has been signed by the following persons in the capacities held on the dates indicated.
| | | | | | | | | | | |
| Signature | | Title | Date |
| /s/ | | | |
| /s/ Shankar Musunuri | | Chairman, Chief Executive Officer and Director | March 27, 2020 |
| Shankar Musunuri | | (Principal Executive Officer) | |
| | | |
| /s/ Sanjay Subramanian | | Chief Financial Officer | March 27, 2020 |
| Sanjay Subramanian | | (Principal Financial and Accounting Officer) | |
| | | |
| /s/ Ramesh Kumar | | Director | March 27, 2020 |
| Ramesh Kumar | | | |
| | | |
| /s/ Junge Zhang | | Director | March 27, 2020 |
| Junge Zhang | | | |
| | | |
| /s/ Manish Potti | | Director | March 27, 2020 |
| Manish Potti | | | |
| | | |
| /s/ Uday B. Kompella | | Director | March 27, 2020 |
| Uday B. Kompella | | | |
| | | |
| /s/ Frank Leo | | Director | March 27, 2020 |
| Frank Leo | | | |
| | | |
| /s/ Suha Taspolatoglu | | Director | March 27, 2020 |
| Suha Taspolatoglu | | | |
INDEX TO CONSOLIDATED FINANCIAL STATEMENTS
OCUGEN, INC.
| | | | | | | | | | | | | | |
| | | | Page |
| | | | |
| Consolidated Financial Statements | | | | |
| | | | |
| | | | |
| | | | |
| | | | |
| | | | |
Report of Independent Registered Public Accounting Firm
To the Stockholders and the Board of Directors of Ocugen, Inc.
Opinion on the Financial Statements
We have audited the accompanying consolidated balance sheets of Ocugen, Inc. (the Company) as of December 31, 2019 and 2018, the related consolidated statements of operations and comprehensive loss, stockholders’ equity (deficit) and cash flows for the years then ended, and the related notes (collectively referred to as the “consolidated financial statements”). In our opinion, the consolidated financial statements present fairly, in all material respects, the financial position of the Company at December 31, 2019 and 2018, and the results of its operations and its cash flows for the years then ended in conformity with U.S. generally accepted accounting principles.
The Company’s Ability to Continue as a Going Concern
The accompanying consolidated financial statements have been prepared assuming that the Company will continue as a going concern. As discussed in Note 1 to the financial statements, the Company has suffered recurring losses from operations and has stated that substantial doubt exists about the Company’s ability to continue as a going concern. Management’s evaluation of the events and conditions and management’s plans regarding these matters are also described in Note 1. The consolidated financial statements do not include any adjustments that might result from the outcome of this uncertainty.
Basis for Opinion
These financial statements are the responsibility of the Company’s management. Our responsibility is to express an opinion on the Company’s financial statements based on our audits. We are a public accounting firm registered with the Public Company Accounting Oversight Board (United States) (PCAOB) and are required to be independent with respect to the Company in accordance with the U.S. federal securities laws and the applicable rules and regulations of the Securities and Exchange Commission and the PCAOB.
We conducted our audits in accordance with the standards of the PCAOB. Those standards require that we plan and perform the audit to obtain reasonable assurance about whether the financial statements are free of material misstatement, whether due to error or fraud. The Company is not required to have, nor were we engaged to perform, an audit of its internal control over financial reporting. As part of our audits we are required to obtain an understanding of internal control over financial reporting but not for the purpose of expressing an opinion on the effectiveness of the Company’s internal control over financial reporting. Accordingly, we express no such opinion.
Our audits included performing procedures to assess the risks of material misstatement of the financial statements, whether due to error or fraud, and performing procedures that respond to those risks. Such procedures included examining, on a test basis, evidence regarding the amounts and disclosures in the financial statements. Our audits also included evaluating the accounting principles used and significant estimates made by management, as well as evaluating the overall presentation of the financial statements. We believe that our audits provide a reasonable basis for our opinion.
/s/ Ernst & Young LLP
We have served as the Company’s auditor since 2018.
Philadelphia, Pennsylvania
March 27, 2020
OCUGEN, INC.
CONSOLIDATED BALANCE SHEETS
| | | | | | | | | | | |
| December 31, 2019 | | December 31, 2018 |
| Assets | | | |
| Current assets | | | |
| Cash and cash equivalents | $ | 7,444,052 | | | $ | 1,628,136 | |
| Prepaid expenses and other current assets | 1,322,167 | | | 313,499 | |
| Asset held for sale | 7,000,000 | | | — | |
| Total current assets | 15,766,219 | | | 1,941,635 | |
| Property and equipment, net | 222,464 | | | 245,788 | |
| Restricted cash | 151,016 | | | 150,477 | |
| Other assets | 667,747 | | | 116,333 | |
| Total assets | $ | 16,807,446 | | | $ | 2,454,233 | |
| Liabilities and stockholders’ equity (deficit) | | | |
| Current liabilities | | | |
| Accounts payable | $ | 1,895,613 | | | $ | 3,277,525 | |
| Accrued expenses | 2,270,045 | | | 1,402,750 | |
| Short-term debt, net | — | | | 7,483,847 | |
| Derivative liabilities | — | | | 1,741,222 | |
| Operating lease obligation | 172,310 | | | — | |
| Other current liabilities | 205,991 | | | 204,242 | |
| Total current liabilities | 4,543,959 | | | 14,109,586 | |
| Non-current liabilities | | | |
| Operating lease obligation, less current portion | 163,198 | | | — | |
| Long term debt, net | 1,072,123 | | | 1,016,727 | |
| Other non-current liabilities | 9,755 | | | 37,459 | |
| Total non-current liabilities | 1,245,076 | | | 1,054,186 | |
| Total liabilities | 5,789,035 | | | 15,163,772 | |
| Commitments and contingencies (Note 9) | | | | | |
| Stockholders’ equity (deficit) | | | |
Convertible preferred stock, $0.01 par value, 10,000,000 shares authorized, seven and zero issued and outstanding, respectively | — | | | — | |
Common stock, $0.01 par value, 200,000,000 authorized, 52,746,728 and 4,960,552 shares issued, respectively; 52,625,228 and 4,960,552 shares outstanding, respectively | 527,467 | | | 49,606 | |
Treasury Stock, at cost 121,500 and zero shares, respectively | (47,864) | | | — | |
| Accumulated other comprehensive income | — | | | 451 | |
| Additional paid-in capital | 62,018,632 | | | 18,477,598 | |
| Accumulated deficit | (51,479,824) | | | (31,237,194) | |
| Total stockholders’ equity (deficit) | 11,018,411 | | | (12,709,539) | |
| Total liabilities and stockholders’ equity (deficit) | $ | 16,807,446 | | | $ | 2,454,233 | |
See accompanying notes to consolidated financial statements.
OCUGEN, INC.
CONSOLIDATED STATEMENTS OF OPERATIONS AND COMPREHENSIVE LOSS
| | | | | | | | | | | |
| Year ended December 31, | | |
| 2019 | | 2018 |
| Operating expenses: | | | |
| Research and development | $ | 8,085,522 | | | $ | 10,321,397 | |
| General and administrative | 6,077,097 | | | 5,819,111 | |
| Total operating expenses | 14,162,619 | | | 16,140,508 | |
| Loss from operations | (14,162,619) | | | (16,140,508) | |
| Other income (expense) | | | |
| Change in fair value of derivative liabilities | (3,187,380) | | | 1,664,689 | |
| Loss on debt conversion | (341,136) | | | — | |
| Interest income | 1,214 | | | 19,213 | |
| Interest expense | (1,767,836) | | | (3,750,630) | |
| Other income (expense) | (784,873) | | | (12,428) | |
| Total other income (expense) | (6,080,011) | | | (2,079,156) | |
| Net loss | $ | (20,242,630) | | | $ | (18,219,664) | |
| Other comprehensive income (loss) | | | |
| Foreign currency translation adjustment | (451) | | | 451 | |
| Comprehensive loss | $ | (20,243,081) | | | $ | (18,219,213) | |
| | | |
| Net loss per share of common stock—basic and diluted | $ | (1.46) | | | $ | (3.67) | |
| Weighted average common shares outstanding—basic and diluted | 13,893,819 | | | 4,960,552 | |
See accompanying notes to consolidated financial statements.
OCUGEN, INC.
CONSOLIDATED STATEMENTS OF STOCKHOLDERS’ EQUITY (DEFICIT)
| | | | | | | | | | | | | | | | | | | | | | | | | | | | | | | | | | | | | | | | | | | | | |
| | | | | Common Stock | | | | Treasury Stock | | Additional Paid-in Capital | | Accumulated Other Comprehensive Income | | Accumulated Deficit | | Total |
| | | | | Shares | | Amount | | | | | | | | | | |
| Balance at December 31, 2017 | | | | | 4,960,552 | | | $ | 49,606 | | | $ | — | | | $ | 17,402,911 | | | $ | — | | | $ | (13,017,530) | | | $ | 4,434,987 | |
| Foreign currency translation adjustment | | | | | — | | | — | | | — | | | — | | | 451 | | | — | | | 451 | |
| Stock-based compensation expense | | | | | — | | | — | | | — | | | 1,074,687 | | | — | | | — | | | | 1,074,687 | |
| Net loss | | | | | — | | | | — | | | | — | | | — | | | — | | | (18,219,664) | | | (18,219,664) | |
| Balance at December 31, 2018 | | | | | 4,960,552 | | | $ | 49,606 | | | $ | — | | | $ | 18,477,598 | | | $ | 451 | | | $ | (31,237,194) | | | $ | (12,709,539) | |
| Issuance of common stock for Subscription Agreement | | | | | 80,569 | | | 806 | | | — | | | 999,194 | | | — | | | — | | | | 1,000,000 | |
| Conversion of debt | | | | | 1,125,673 | | | 11,256 | | | — | | | 13,968,532 | | | — | | | — | | | | 13,979,788 | |
| Issuance of common stock and warrants for Pre-Merger Financing | | | | | 4,385,964 | | | 43,860 | | | — | | | 13,106,596 | | | — | | | — | | | | 13,150,456 | |
Issuance of stock for reverse asset acquisition, net of $2.6 million of costs | | | | | 1,651,748 | | | 16,517 | | | — | | | 3,549,271 | | | — | | | — | | | | 3,565,788 | |
| Reclassification of Series B Warrants from liability to equity | | | | | — | | | — | | | — | | | 11,255,740 | | | — | | | — | | | | 11,255,740 | |
| Issuance of common stock for warrant exercises, net | | | | | 40,542,222 | | | 405,422 | | | — | | | (222,388) | | | — | | | — | | | | 183,034 | |
| Repurchase of treasury stock | | | | | — | | | — | | | (47,864) | | | — | | | — | | | — | | | | (47,864) | |
| Foreign currency translation | | | | | — | | | — | | | — | | | — | | | (451) | | | — | | | | (451) | |
| Stock-based compensation expense | | | | | — | | | — | | | — | | | 884,089 | | | — | | | — | | | | 884,089 | |
| Net loss | | | | | — | | | — | | | — | | | — | | | — | | | (20,242,630) | | | | (20,242,630) | |
| Balance at December 31, 2019 | | | | | 52,746,728 | | | $ | 527,467 | | | $ | (47,864) | | | $ | 62,018,632 | | | $ | — | | | $ | (51,479,824) | | | $ | 11,018,411 | |
See accompanying notes to consolidated financial statements.
OCUGEN, INC.
CONSOLIDATED STATEMENTS OF CASH FLOWS
| | | | | | | | | | | |
| Year ended December 31, | | |
| 2019 | | 2018 |
| Cash flows from operating activities | | | |
| Net loss | $ | (20,242,630) | | | $ | (18,219,664) | |
| Adjustments to reconcile net loss to net cash used in operating activities: | | | |
| Depreciation expense | 60,608 | | | 49,623 | |
| Non-cash interest expense | 1,733,521 | | | 3,750,630 | |
| Non-cash lease expense | 250,361 | | | — | |
| Change in fair value of derivative liability | 3,187,380 | | | (1,664,689) | |
| Stock-based compensation expense | 884,089 | | | 1,074,687 | |
| Conversion of convertible notes | 341,136 | | | — | |
| Other non-cash | 4,803 | | | — | |
| Changes in assets and liabilities: | | | |
| Prepaid expenses and other current assets | (1,007,367) | | | (201,861) | |
| Accounts payable and accrued expenses | (1,628,621) | | | 3,633,394 | |
| Deferred rent | — | | | 1,540 | |
| Other assets | (227,172) | | | (54,203) | |
| Lease obligations | (249,389) | | | — | |
| Net cash used in operating activities | (16,893,281) | | | (11,630,543) | |
| Cash flows from investing activities | | | |
| Purchase of property, plant and equipment | (29,446) | | | (77,414) | |
| Payment of asset acquisition costs | (2,327,273) | | | — | |
| Net cash used in investing activities | (2,356,719) | | | (77,414) | |
| Cash flows from financing activities | | | |
| Proceeds from sale of common stock for pre-merger financing | 22,546,353 | | | — | |
| Proceeds from stock subscription | 1,000,000 | | | — | |
| Purchases of treasury stock | (47,864) | | | — | |
| Issuance of common stock for warrant exercises | 183,034 | | | — | |
| Repayments of debt | (5,290,000) | | | — | |
| Proceeds from issuance of debt | 6,800,000 | | | 7,300,400 | |
| Payment of debt issuance costs | (99,202) | | | (103,925) | |
| Payments on financing leases | (25,866) | | | (11,928) | |
| Net cash provided by financing activities | 25,066,455 | | | 7,184,547 | |
| Effect of changes in exchange rate on cash | — | | | 451 | |
| Net increase (decrease) in cash, cash equivalents and restricted cash | 5,816,455 | | | (4,522,959) | |
| Cash, cash equivalents and restricted cash at beginning of period | 1,778,613 | | | 6,301,572 | |
| Cash, cash equivalents and restricted cash at end of period | $ | 7,595,068 | | | $ | 1,778,613 | |
| Supplemental disclosure of non-cash investing and financing transactions: | | | |
| Purchase of fixed assets by entering into capital lease (Note 9) | $ | — | | | $ | 63,817 | |
| Conversion of convertible notes (Note 7) | $ | 13,979,788 | | | $ | — | |
| Equity issuance costs (Note 3) | $ | 1,150,000 | | | $ | — | |
| Right-of-use asset related to operating leases | $ | 470,356 | | | $ | — | |
| Reverse asset acquisition costs (Note 3) | $ | 2,252,795 | | | $ | — | |
See accompanying notes to consolidated financial statements.
OCUGEN, INC.
NOTES TO CONSOLIDATED FINANCIAL STATEMENTS
1. Nature of Business
Ocugen, Inc. (formerly known as Histogenics Corporation), together with its wholly owned subsidiaries (“Ocugen” or the “Company”), is a clinical-stage biopharmaceutical company focused on discovering, developing and commercializing transformative therapies to treat the whole eye. The Company is located in Malvern, Pennsylvania.
Ocugen has a late-stage, Phase 3 program, OCU300, which has received Orphan Drug Designation ("ODD") from the U.S. Food and Drug Administration ("FDA"). OCU300 is a small molecule therapeutic currently in Phase 3 clinical development for patients with ocular redness and discomfort stemming from ocular graft-versus-host disease (“oGVHD”). Ocugen is the first and only company to receive ODD for the treatment of symptoms associated with oGVHD and is the only company conducting Phase 3 studies in this patient population. OCU300 is formulated using the Company’s proprietary nanoemulsion technology, OcuNanoE—Ocugen’s ONE Platform™ (“OcuNanoE™”).
Ocugen is developing a modifier gene therapy platform for unmet medical needs in the area of retinal diseases, including inherited retinal diseases (“IRDs”). Ocugen’s modifier gene therapy platform is novel in that it targets nuclear hormone receptors (“NHRs”), which have the potential to restore homeostasis to the retina and may target multiple genes that are associated with a range of IRDs. Unlike single-gene replacement therapies, which only target one genetic mutation, the Company believes that its gene therapy platform, through its targeting of NHRs, may impact multiple genes that are associated with a range of genetically diverse diseases. Ocugen’s first gene therapy candidate, OCU400, has received ODD from the FDA, for the treatment of nuclear receptor subfamily 2 group E member 3 ("NR2E3") mutation-associated retinal diseases and centrosomal protein 290 ("CEP290") mutation-associated retinal diseases. Ocugen’s second gene therapy product candidate, OCU410, is targeted for dry age-related macular degeneration (“AMD”) and is currently in preclinical development. Currently, there are no FDA-approved therapies to treat this disease.
Ocugen is also developing OCU200, a novel fusion protein for the treatment of wet AMD, diabetic retinopathy (“DR”) and diabetic macular edema (“DME”), which is in preclinical development. Ocugen expects to initiate a Phase 1/2 clinical trial for OCU200 within the next two years. Ocugen plans to expand the therapeutic applications of OCU200 beyond DME, DR and wet AMD to potentially include macular edema following retinal vein occlusion (“RVO”) and myopic choroidal neovascularization (“mCNV”).
Merger with Histogenics
On September 27, 2019, the Company completed its reverse merger with Ocugen, OpCo Inc. (formerly known as Ocugen, Inc. (“Former Ocugen”)) in accordance with the terms of the Agreement and Plan of Merger and Reorganization, dated as of April 5, 2019, by and among Histogenics, Former Ocugen and Restore Merger Sub, Inc., a wholly owned subsidiary of Histogenics (“Merger Sub”), as amended (the “Merger Agreement”), pursuant to which Merger Sub merged with and into Former Ocugen, with Former Ocugen surviving as a wholly owned subsidiary of Histogenics (the “Merger”). Immediately after completion of the Merger, Histogenics changed its name to Ocugen, Inc. and the business conducted by Ocugen, Inc. became the business conducted by Former Ocugen. Former Ocugen is deemed to be the accounting acquirer. Accordingly, the historical financial statements of Former Ocugen became the Company’s historical financial statements, including the comparative prior periods. See Note 3 for additional information.
Reverse Stock Split
In connection with, and immediately prior to the completion of the Merger, Histogenics effected a reverse stock split of the common stock, at a ratio of 1-for-60 (the ‘‘Reverse Stock Split’’). Under the terms of the Merger Agreement, the Company issued common stock to Former Ocugen’s stockholders at an exchange rate of 0.4794 shares of common stock, after taking into account the Reverse Stock Split, for each share of Former Ocugen’s common stock outstanding immediately prior to the Merger.
The capital structure, including the number of shares of common stock issued appearing in the consolidated balance sheets for the periods presented, reflects that of Ocugen. All references in the consolidated financial statements to the number of shares and per-share amounts of common stock have been retroactively restated to reflect the exchange rate.
Going Concern
The Company has incurred recurring losses and negative cash flows from operations since inception and has funded its operating losses through the sale of common stock, warrants to purchase common stock, the issuance of convertible notes, and debt. The Company incurred net losses of approximately $20.2 million and $18.2 million for the year ended December 31, 2019 and 2018, respectively, and had an accumulated deficit of $51.5 million as of December 31, 2019. As of December 31, 2019, the Company had cash, cash equivalents and restricted cash totaling $7.6 million.
The Company has a limited operating history and its prospects are subject to risks, expenses and uncertainties frequently encountered by companies in its industry. The Company intends to continue its research and development efforts for its product candidates, which will require significant funding. If the Company is unable to obtain additional financing in the future or research and development efforts require higher than anticipated capital, there may be a negative impact on the financial viability of the Company. The Company plans to increase working capital by raising additional capital through public and private placements of equity and/or debt, payments from potential strategic research and development arrangements, sale of assets, and licensing and/or collaboration arrangements with pharmaceutical companies or other institutions. Such financing may not be available at all, or on terms that are favorable to the Company. While management of the Company believes that it has a plan to fund ongoing operations, its plan may not be successfully implemented. Failure to generate sufficient cash flows from operations, raise additional capital through one or more financings, or appropriately manage certain discretionary spending could have a material adverse effect on the Company’s ability to achieve its intended business objectives.
As a result of these factors, together with the anticipated increase in spending that will be necessary to continue to develop the Company’s products, there is substantial doubt about the Company’s ability to continue as a going concern within one year after the date that these audited consolidated financial statements are issued. The audited consolidated financial statements do not contain any adjustments that might result from the resolution of any of the above uncertainties.
2. Summary of Significant Accounting Policies
Basis of Presentation and Consolidation
The accompanying consolidated financial statements included herein have been prepared in conformity with accounting principles generally accepted in the United States (“GAAP”). The consolidated financial statements include the accounts of Ocugen, Inc. and its wholly owned subsidiaries. All intercompany balances and transactions have been eliminated in consolidation. Certain prior year amounts have been reclassified to conform with current year presentation.
Foreign Currency Translation and Transactions
The assets and liabilities of the Company’s foreign subsidiary are translated into U.S. dollars based on exchange rates in effect at the end of each period. Revenues and expenses are translated at average exchange rates during the periods. Currency transaction gains or losses are included in other expenses. Gains or losses from balance sheet translation are included in accumulated other comprehensive income.
Use of Estimates
In preparing consolidated financial statements in conformity with GAAP, management is required to make estimates and assumptions that affect the reported amounts of assets and liabilities and disclosure of contingent assets and liabilities at the date of the financial statements, as well as the reported amounts of expenses during the reporting period. Due to inherent uncertainty involved in making estimates, actual results reported in future periods may be affected by changes in these estimates. On an ongoing basis, the Company evaluates its estimates and assumptions. These estimates and assumptions include those used in the estimation of clinical trial accruals and the valuation of share-based payment arrangements, warrants, and embedded conversion features on the convertible notes.
Asset Held for Sale
An asset is considered to be held for sale when all of the following criteria are met: (i) management commits to a plan to sell the asset; (ii) it is unlikely that the disposal plan will be significantly modified or discontinued; (iii) the asset is available for immediate sale in its present condition; (iv) actions required to complete the sale of the asset have been initiated; (v) sale of the asset is probable and the completed sale is expected to occur within one year; and (vi) the asset is actively being marketed for sale at a price that is reasonable given its current market value.
A long-lived asset classified as held for sale is measured at the lower of its carrying amount or fair value less cost to sell. If the long-lived asset is newly acquired, the carrying amount of the long-lived asset is established based on its fair value less cost to sell at the acquisition date. A long-lived asset is not depreciated or amortized while it is classified as held for sale, and an impairment loss would be recognized to the extent the carrying amount exceeds the asset's fair value less cost to sell.
As of December 31, 2019, Ocugen had an intangible asset held for sale acquired from Histogenics with a fair value less cost to sell of $7.0 million. See Note 3 for additional information.
Fair Value Measurements
The company follows the provisions of the Financial Accounting Standards Board’s (“FASB”) Accounting Standards Codification (“ASC”) Topic 820, Fair Value Measurements (“ASC 820”), which defines fair value as used in numerous accounting pronouncements, establishes a framework for measuring fair value and expands disclosure of fair measurements.
The estimated fair value of certain financial instruments, cash and cash equivalents, accounts payable, and accrued expenses are carried at historical cost basis, which approximates their fair values because of the short-term nature of these instruments. As of December 31, 2019 and 2018, the Company believes the fair value of the EB-5 note approximates its carrying value.
ASC 820 defines fair value as the exchange price that would be received for an asset or paid to transfer a liability (an exit price) in the principal or most advantageous market for the asset or liability in an orderly transaction between market participants on the measurement date. ASC 820 also establishes a fair value hierarchy, which requires an entity to maximize the use of observable inputs and minimize the use of unobservable inputs when measuring fair value. ASC 820 describes three levels of inputs that may be used to measure fair value:
Level 1 — quoted prices in active markets for identical assets or liabilities
Level 2 — quoted prices for similar assets and liabilities in active markets or inputs that are observable
Level 3 — inputs that are unobservable (for example cash flow modeling inputs based on assumptions)
The company had derivative instruments that were fair valued on a recurring basis using Level 3 inputs.
Financial Instruments Indexed to and Potentially Settled in Common Stock
The Company accounts for warrants in accordance with ASC Topic 815-40, Derivatives and Hedging — Contracts in Entity’s Own Equity (“ASC 815-40”), which is the authoritative guidance on accounting for derivative financial instruments indexed to and potentially settled in a company’s own stock. To determine whether a contract is considered indexed to the issuer’s own equity, the Company performs a two-step analysis:
Step 1: Evaluate whether the contract contains any exercise contingencies and, if so, whether they disqualify the contract from being classified as equity, and
Step 2: Assess whether the settlement terms are consistent with equity classification.
The Company classifies the liability-designated warrants on its consolidated balance sheets as a derivative liability which is recognized at fair value at each reporting period subsequent to the initial issuance. Changes in the fair value of derivatives are recognized as other income (expense) in the consolidated statements of operations and comprehensive loss.
Cash, Cash Equivalents and Restricted Cash
The Company considers all highly liquid investments that have maturities of three months or less when acquired to be cash equivalents. Cash and cash equivalents include bank demand deposits, marketable securities with maturities of three months or less at purchase, and money market funds that invest primarily in certificates of deposit, commercial paper and United States government and United States government agency obligations. The Company’s restricted cash balance consists of cash held to collateralize a corporate credit card account.
The following table provides a reconciliation of cash, cash equivalents, and restricted cash in the consolidated balance sheets to the total amount shown in the consolidated statements of cash flows:
| | | | | | | | | | | |
| As of December 31, | | |
| 2019 | | 2018 |
| Cash, cash equivalents and restricted cash reconciliation: | | | |
| Cash and cash equivalents | $ | 7,444,052 | | | $ | 1,628,136 | |
| Restricted cash | 151,016 | | | 150,477 | |
| Total cash, cash equivalents and restricted cash | $ | 7,595,068 | | | $ | 1,778,613 | |
Property and Equipment, Net
Property and equipment is recorded at cost. Significant additions or improvements are capitalized, and expenditures for repairs and maintenance are charged to expense as incurred. Gains and losses on disposal of assets are included in the consolidated statements of operations and comprehensive loss. Depreciation is calculated using the straight-line method and is recognized over an expected useful life of 5 years for equipment and 7 years for furniture. The total accumulated depreciation and amortization for equipment and furniture as of December 31, 2019 and 2018 was $0.1 million and $0.1 million, respectively.
Leases
The Company determines if an arrangement is a lease at inception. This determination generally depends on whether the arrangement conveys to the Company the right to control the use of an explicitly or implicitly identified fixed asset for a period of time in exchange for consideration. Control of an underlying asset is conveyed to the Company if the Company obtains the rights to direct the use of and to obtain substantially all of the economic benefits from using the underlying asset. The Company has lease agreements which include lease and non-lease components, which the Company has elected to account for as a single lease component for all classes of underlying assets. Lease expense for variable lease components are recognized when the obligation is probable.
Operating leases are included in other assets and lease obligations on the Company’s consolidated balance sheets. Operating lease right-of-use ("ROU") assets and liabilities are recognized at commencement date based on the present value of lease payments over the lease term. Operating lease payments are recognized as lease expense on a straight-line basis over the lease term. The Company primarily leases buildings (real estate) which are classified as operating leases. ASC 842 requires a lessee to discount its unpaid lease payments using the interest rate implicit in the lease or, if that rate cannot be readily determined, its incremental borrowing rate. As an implicit interest rate is not readily determinable in the Company’s leases, the incremental borrowing rate is used based on the information available at commencement date in determining the present value of lease payments.
The lease term for all of the Company’s leases includes the non-cancellable period of the lease plus any additional periods covered by either a Company option to extend (or not to terminate) the lease that the Company is reasonably certain to exercise, or an option to extend (or not to terminate) the lease controlled by the lessor. Options for lease renewals have been excluded from the lease term (and lease liability) for the majority of the Company’s leases as the reasonably certain threshold is not met.
Lease payments included in the measurement of the lease liability are comprised of fixed payments, variable payments that depend on index or rate, and amounts probable to be payable under the exercise of the Company option to purchase the underlying asset if reasonably certain.
Variable lease payments not dependent on a rate or index associated with the Company’s leases are recognized when the event, activity, or circumstance in the lease agreement on which those payments are assessed as probable. Variable lease payments include the Company's proportionate share of utilities and other operating expenses and are presented as operating expenses in the Company’s income statement in the same line item as expense arising from fixed lease payments.
Stock-based compensation
Ocugen accounts for its stock-based compensation awards in accordance with ASC Topic 718, Compensation—Stock Compensation (“ASC 718”). ASC 718 requires all stock-based payments to employees, including grants of employee stock options and restricted stock units and modifications to existing agreements, to be recognized in the statements of operations
based on their fair values. Ocugen uses the Black-Scholes option-pricing model to determine the fair value of options granted. Ocugen recognized forfeitures as they occur.
Ocugen’s stock-based awards are subject to service-based vesting conditions. Compensation expense related to awards to employees and directors with service-based vesting conditions is recognized on a straight-line basis based on the grant date fair value over the associated service period of the award, which is generally the vesting term. Stock-based awards generally vest over a one to three year requisite service period and have a contractual term of 10 years.
Estimating the fair value of options requires the input of subjective assumptions, including expected life of the option, stock price volatility, the risk-free interest rate and expected dividends. The assumptions used in Ocugen’s Black-Scholes option-pricing model represent management’s best estimates and involve a number of variables, uncertainties and assumptions and the application of management’s judgment, as they are inherently subjective. If any assumptions change, Ocugen’s stock-based compensation expense could be materially different in the future.
These assumptions used in Ocugen’s Black-Scholes option-pricing model are as follows:
Expected Term. Due to the historical lack of a public market for the trading of Ocugen common stock and the lack of sufficient company-specific historical data, the expected term of employee options is determined using the “simplified” method, as prescribed in Securities and Exchange Commission’s Staff Accounting Bulletin No. 107 (“SAB No. 107”), whereby the expected life equals the arithmetic average of the vesting term and the original contractual term of the option. The expected term of non-employee options is equal to the contractual term.
Expected Volatility. The expected volatility is based on historical volatilities of Ocugen and similar entities within Ocugen’s industry for periods commensurate with the expected term assumption.
Risk-Free Interest Rate. The risk-free interest rate is based on the interest rate payable on U.S. Treasury securities in effect at the time of grant for a period that is commensurate with the assumed expected term.
Expected Dividends. The expected dividend yield is 0% because Ocugen has not historically paid, and does not expect for the foreseeable future to pay, a dividend on its common stock.
Income Taxes
The Company is a Delaware C-Corporation. The Company recognizes deferred tax assets and liabilities for temporary differences between the financial reporting basis and the tax basis of its assets and liabilities and the expected benefits of net operating loss carryforwards. The impact of changes in tax rates and laws on deferred taxes, if any, is applied during the years in which temporary differences are expected to be settled and is reflected in the financial statements in the period of enactment. The measurement of deferred tax assets is reduced, if necessary, if, based on the weight of the evidence, it is more likely than not that some, or all, of the deferred tax assets will not be realized. The Company’s policy is to recognize interest and penalties accrued on any unrecognized tax benefits as a component of income tax expense. No interest or penalty expense was recognized during the periods presented.
The Company has assessed and concluded that there are uncertain tax positions giving rise to the unrecognized tax benefits as of December 31, 2019. The Company’s conclusions regarding uncertain tax positions may be subject to review and adjustment at a later date based upon ongoing analysis of tax laws, regulations and interpretations thereof, as well as other factors. Generally, federal, state, and local authorities may examine the Company’s tax returns for three years from the date of the filing and the current and prior three years remain subject to examination as of December 31, 2019.
Segment Information
The Company views its operations and manages its business as one operating segment, which is the development of innovative therapies to address the whole eye. As of December 31, 2019, substantially all of the Company’s assets were located in the United States.
Recently Adopted Accounting Standards
In February 2016, the FASB issued Accounting Standards Update (“ASU”) No. 2016-02, Leases (Topic 842) (“ASC 842”). In July 2018, the FASB issued ASU No. 2018-10, Codification Improvements to Topic 842, Leases (“ASU 2018-10”), which provides narrow amendments to clarify how to apply certain aspects of the new lease standard, and ASU No. 2018-11, Leases
(Topic 842)—Targeted Improvements (“ASU 2018-11”), which addressed implementation issues related to the new lease standard. These and certain other lease-related ASUs have generally been codified in ASC 842. ASC 842 supersedes the lease accounting requirements in ASC Topic 840, Leases (“ASC 840”). ASC 842 establishes a right-of-use model that requires a lessee to record a right-of-use (“ROU”) asset and a lease liability on the balance sheet for all leases. Under ASC 842, leases are classified as either finance or operating, with classification affecting the pattern of expense recognition in the income statement. The standard also requires disclosures to help investors and other financial statement users better understand the amount, timing and uncertainty of cash flows arising from leases.
The Company adopted ASC 842 on January 1, 2019 using the effective date transition method. Prior period results continue to be presented under ASC 840 based on the accounting standards originally in effect for such periods. The Company has elected certain practical expedients permitted under the transition guidance within ASC 842 to leases that commenced before January 1, 2019, including the package of practical expedients. The election of the package of practical expedients resulted in the Company not reassessing prior conclusions under ASC 840 related to lease identification, lease classification and initial direct costs for expired and existing leases prior to January 1, 2019. The adoption of ASU 2016-02 did not have a significant impact on the Company’s consolidated results of operations or cash flows. Upon adoption, the Company recognized an ROU asset and lease liability of $0.4 million and $0.4 million, respectively. See Note 9 for additional information.
Recent Accounting Pronouncements
In August 2018, the FASB issued ASU No. 2018-13, Fair Value Measurement (Topic 820): Disclosure Framework—Changes to the Disclosure Requirements for Fair Value Measurement. This standard modifies certain disclosure requirements on fair value measurements and was effective for the Company on January 1, 2020. The adoption of this standard will not have a material impact on the Company's disclosures.
In June 2016, the FASB issued ASU No. 2016-13, Financial Instruments—Credit Losses (Topic 326): Measurement of Credit Losses on Financial Instruments. The FASB subsequently issued amendments to ASU 2016-13, which have the same effective date and transition date of January 1, 2023. These standards require that credit losses be reported using an expected losses model rather than the incurred losses model that is currently used, and establishes additional disclosures related to credit risks. For available-for-sale debt securities with unrealized losses, these standards now require allowances to be recorded instead of reducing the amortized cost of the investment. These standards limit the amount of credit losses to be recognized for available-for-sale debt securities to the amount by which carrying value exceeds fair value and requires the reversal of previously recognized credit losses if fair value increases. The Company does not expect the adoption of these standards to have a material impact on its consolidated financial statements.
3. Merger and Pre-Merger Financing
Pre-Merger Financing
In June 2019, Former Ocugen and Histogenics entered into a Securities Purchase Agreement (as amended, the “Financing SPA”) with certain accredited investors (the “Investors”). Pursuant to the Financing SPA, among other things, (i) immediately prior to the Merger, Former Ocugen issued 4.6 million shares of common stock to the Investors (the “Initial Shares” and, as converted pursuant to the exchange rate in the Merger into the right to receive approximately 2.2 million shares the Company’s common stock, the “Converted Initial Shares”), (ii) immediately prior to the Merger, Former Ocugen issued and deposited 4.6 million shares of common stock into escrow on behalf of the Investors (the “Additional Shares” and, as converted pursuant to the exchange rate in the Merger, into the right to receive approximately 2.2 million shares of the Company’s common stock, the “Converted Additional Shares”) and (iii) the Company agreed to issue, on the fifth trading day following the consummation of the Merger, three series of warrants to purchase shares of the Company’s common stock (the “Series A Warrants,” the “Series B Warrants” and the “Series C Warrants” and collectively, the “Pre-Merger Financing Warrants”) in exchange for an aggregate purchase price of $25.0 million (“Pre-Merger Financing”). See Note 10 for additional information on the Pre-Merger Financing Warrants.
On October 4, 2019, the Converted Additional Shares were released from escrow to the investors because, as determined at the close of business on October 2, 2019, 80% of the volume-weighted average trading price of a share of Ocugen’s common stock as quoted on Nasdaq for the first three trading days immediately following the closing date of the Pre-Merger Financing was lower than the price paid by the Investors for the Initial Shares.
Approximately $2.5 million of the $25.0 million Pre-Merger Financing was utilized to pay transaction costs related to the Merger and the Pre-Merger Financing in the form of equity. In addition, the Company utilized $5.3 million of the Pre-Merger
Financing for the repayment of the Senior Secured Notes, as defined in Note 7. As a result, the Company received total net proceeds of $17.2 million from the Pre-Merger Financing.
The Company incurred $1.9 million in equity issuance costs related to the Pre-Merger Financing, of which $0.7 million was paid in cash and $1.2 million was paid with equity as of December 31, 2019. Approximately $1.1 million of equity issuance costs was allocated to the Series A Warrants and Series C Warrants and is included in additional paid-in capital. Approximately $0.8 million of issuance costs allocated to the Series B Warrant liability was expensed and is reflected in other income (expense) on the consolidated statements of operations and comprehensive loss for the year ended December 31, 2019.
Merger with Histogenics
On September 27, 2019, the Company completed the Merger in accordance with the terms of the Merger Agreement. The Merger was structured as a stock-for-stock transaction whereby all of Former Ocugen’s outstanding shares of common stock and securities convertible into or exercisable for Former Ocugen’s common stock were converted into the right to receive Histogenics’ common stock and securities convertible into or exercisable for Histogenics’ common stock. Immediately following the Merger, the former equity holders of Former Ocugen owned 84.25% of the outstanding capital stock of the Company, and the equity holders of the Company immediately before the Merger owned 15.75% of the outstanding capital stock of the Company, including the Initial Shares but excluding the Additional Shares and the Pre-Merger Financing Warrants pursuant to the Financing SPA.
In accordance with ASC Topic 805, Business Combinations (“ASC 805”), the Company concluded that, while Histogenics is the legal acquirer, Former Ocugen is the accounting acquirer due to the fact that (i) Former Ocugen’s shareholders have the majority of the voting rights in Ocugen, (ii) Former Ocugen holds all of the board seats of the combined company and (iii) Former Ocugen management holds all key positions in the management of the combined company. The Company has further concluded that Histogenics does not meet the definition of a business under ASC 805 due to the fact that substantially all of the fair value of the gross assets disposed of is concentrated in a single identifiable asset or a group of similar identifiable assets. Therefore, the Merger was accounted for as a reverse asset acquisition. The Company incurred $4.9 million in transaction costs related to the Merger, of which $2.6 million was paid in cash and $2.3 million was paid with equity.
Assets and liabilities of Histogenics on September 27, 2019 were as follows (in thousands):
| | | | | |
| September 27, 2019 |
| Cash and cash equivalents | $ | 302 | |
| Asset held for sale | 7,000 | |
| Accounts payable | (1,106) | |
| Net assets acquired | $ | 6,196 | |
Asset Held for Sale
In connection with the Merger, on May 8, 2019, Histogenics entered into an asset purchase agreement (the “Asset Purchase Agreement”) with Medavate Corp., a Colorado corporation (“Medavate”), pursuant to which Histogenics agreed to sell substantially all of its assets relating to its NeoCart® program, including, without limitation, intellectual property, business and license agreements and clinical trial data (the “Assets”) in return for a cash payment of $6.5 million. On September 26, 2019, the parties entered into an amendment to the Asset Purchase Agreement whereby the closing date was amended to October 4, 2019. On October 4, 2019, the parties entered into a second amendment (the “Second Amendment”) to the Asset Purchase Agreement whereby the purchase price was increased to $7.0 million under the Asset Purchase Agreement and the closing date of the Asset Purchase Agreement was revised from October 4, 2019 to two business days after Medavate obtains financing in an amount no less than the purchase price (the “Closing Date”). The Second Amendment further provides that if the Closing Date does not occur on or prior to October 31, 2019, Ocugen may choose to terminate the Asset Purchase Agreement without recourse and, if Ocugen does not terminate the Asset Purchase Agreement, the purchase price shall increase 10% per month (or any portion thereof) between October 31, 2019 and the Closing Date. The Closing Date did not occur as of December 31, 2019, Ocugen has not terminated the Asset Purchase Agreement and as of December 31, 2019, the purchase price has increased to $8.5 million.
The NeoCart® asset qualified as held for sale as of the date of the reverse asset acquisition and is carried at its original fair value less cost to sell on the consolidated balance sheet as of December 31, 2019. The NeoCart® asset held for sale was valued at the
acquisition date based on a quoted price of $7.0 million, which is an observable Level 2 fair value input. Subsequent increases in fair value are not recognized beyond the initial value at the time the asset was classified as held for sale.
MEDINET Agreement
In December 2017, Histogenics entered into the License and Commercialization Agreement (the “License Agreement”) with MEDINET Co., Ltd. (“MEDINET”) to grant MEDINET a license under certain patents, patent applications, know-how, and technology to develop and commercialize certain therapeutic products related to the NeoCart® program. As consideration for the granting of the license, MEDINET agreed to pay Histogenics a non-refundable upfront cash payment of $10.0 million which was received in January 2018. Based on the results of the NeoCart® research, Histogenics suspended the NeoCart® program. Subsequently, since MEDINET relied on the NeoCart® product to supply clinical trial patients, MEDINET suspended the development of its clinical trial. As of December 31, 2019, the contract with MEDINET was wholly unperformed. As a result of the expected sale of the NeoCart® asset, the Company does not expect to retain any future obligations related to the MEDINET agreement.
4. Net Loss Per Share of Common Stock
The following table sets forth the computation of basic and diluted earnings per share for the years ended December 31, 2019 and 2018:
| | | | | | | | | | | |
| Year ended December 31, | | |
| 2019 | | 2018 |
| Net loss—basic and diluted | $ | (20,242,630) | | | | $ | (18,219,664) | |
| Shares used in calculating net loss per common share—basic and diluted | 13,893,819 | | | | 4,960,552 | |
| Net loss per common share—basic and diluted | $ | (1.46) | | | | $ | (3.67) | |
The following potentially dilutive securities have been excluded from the computation of diluted weighted average shares outstanding, as their inclusion would have been antidilutive:
| | | | | | | | | | | |
| Year ended December 31, | | |
| 2019 | | 2018 |
| Options to purchase common stock | 731,189 | | | 632,752 | |
| Warrants | 870,020 | | | 870,020 | |
| Series A Warrants | 8,771,928 | | | — | |
| Series B Warrants | 1,000 | | | — | |
| Series C Warrants | 1,000 | | | — | |
| Total | 10,375,137 | | | 1,502,772 | |
5. License and Collaboration Agreements
Co-Development and Commercialization Agreement with CanSino Biologics
On September 27, 2019, Ocugen entered into a co-development and commercialization agreement (the “CanSinoBIO Agreement”) with CanSino Biologics Inc. (“CanSinoBIO”) with respect to the development and commercialization of the gene therapy product candidate, OCU400.
CanSinoBIO will be responsible for all the costs for chemistry, manufacturing and control development and manufacture of clinical supplies of OCU400 for all territories. CanSinoBIO will be solely responsible for all costs and expenses of its development activities in and for China, Hong Kong, Macau, and Taiwan (the "CanSinoBIO Territory") and Ocugen will be responsible for all costs and expenses of its development activities for any global location outside the CanSinoBIO Territory (the "Ocugen Territory"). CanSinoBIO will pay to Ocugen an annual royalty between mid to high-single digits based on net sales of products in the CanSinoBIO Territory, and Ocugen will pay to CanSinoBIO an annual royalty between low to mid-single digits based on net sales of products in the Ocugen Territory.
Unless terminated earlier, the CanSinoBIO Agreement will continue in force on a country-by-country and product-by-product basis until the later of (a) the expiration of the last valid claim of patent rights of Ocugen covering such product and (b) the tenth (10th) anniversary of the first commercial sale of such product in such country. The CanSinoBIO Agreement will also terminate upon the termination of the Exclusive License Agreement, dated December 19, 2017, between Ocugen and Schepens Eye Research Institute, Inc. The CanSinoBIO Agreement may be terminated by either party in its entirety upon (a) a material breach of the Agreement by the other party, (b) a challenge by the other party or any of its affiliates of any intellectual property controlled by the terminating party or (c) bankruptcy or insolvency of the other party. Within forty-five (45) days after such termination, CanSinoBIO shall provide Ocugen with a statement of the CanSinoBIO development costs and, within one (1) year after receipt of such report, Ocugen shall reimburse CanSinoBIO all such CanSinoBIO development costs.
License Agreement with the Schepens Eye Research Institute
In 2017, the Company entered into a license agreement with The Schepens Eye Research Institute (“SERI”), which granted the Company an exclusive license to develop, commercialize, and continue to secure patents for OCU400 and OCU410. This agreement is accounted for as a collaborative arrangement. In connection with acquiring the license, the Company was required to pay a license fee of $0.1 million, which was recognized in 2017. The Company will also be required to reimburse SERI for all future patent costs related to this licensed technology.
The Company is obligated to pay SERI up to $6.0 million upon the achievement of certain development and regulatory milestones. The Company is also obligated to pay SERI up to $10.1 million upon the achievement of certain commercial milestones. The Company will also pay SERI royalties in the low single digits based on net sales. No milestones or royalties were paid or incurred through December 31, 2019, as the Company has not achieved any milestones, net sales or sublicensing under this agreement. The Company may cancel the license agreement at any time with 180 days’ written notice.
In 2017, the Company also entered into a Sponsored Research Agreement with SERI under which the Company recognized approximately $0.6 million and $0.5 million as research and development expense for the year ended December 31, 2019 and 2018, respectively, for work performed under this agreement.
License Agreement with the University of Illinois
In 2016, the Company entered into a license agreement with the University of Illinois at Chicago (“UIC”), which granted the Company an exclusive license to develop, commercialize and continue to secure patents for OCU300 and OCU310. In connection with acquiring the license for OCU300 and OCU310, the Company was required to pay a signing fee of $15,000.
The Company is required to pay royalties in the low single digits to low teens to UIC based on net sales and sublicense revenues generated by OCU300 and OCU310. The Company is also required to pay minimum annual royalties to UIC, beginning with an annual payment of $20,000 on the third anniversary of the effective date of the agreement, and increasing gradually to $50,000 by the sixth anniversary and continuing through the term of the agreement. The Company is also obligated to pay UIC up to $1.3 million upon the achievement of certain development and regulatory milestones.
During 2018, the Company incurred $0.3 million in milestone payments due to achieving a milestone associated with dosing the first patient in a Phase 3 clinical trial. The Company has not achieved any other milestones, net sales or sublicensing for OCU300 or OCU310. The Company may cancel the license agreement at any time with 90 days’ written notice.
License Agreement with the University of Colorado
In 2014, the Company entered into a patent license agreement with the University of Colorado (“CU”), which granted the Company an exclusive license to develop and commercialize, and continue to secure patents for OCU200, including the ability to enforce any rights against infringement. Under the agreement, the Company assumed primary responsibility for preparing, filing and prosecuting broad patent claims for OCU200 for CU's benefit. Further, the Company assumed primary responsibility for all patent activities, including all costs associated with the perfection and maintenance of the patents for OCU200.
Pursuant to the terms of the agreement, in exchange for the licensed patents, the Company issued CU 0.1 million shares of the Company’s common stock. The agreement with CU, as amended in January 2017, obligates the Company to pay certain development and regulatory milestone fees of up to $1.5 million, royalties in the low single digits on net sales and royalties in the mid-teens on sublicense income of OCU200.
The agreement with CU calls for minimum annual royalty payments of $20,000, starting on the third anniversary of the agreement and on each annual anniversary thereafter, and after sales commence, increasing to a percentage rate in the mid-
twenties of the previous year’s royalty payment paid to CU, through the term of the agreement. Future annual royalties will be recognized in the years they are earned, per the license agreement. The Company may cancel the license agreement at any time with 60 days’ written notice.
6. Accrued Expenses
Accrued Expenses are as follows:
| | | | | | | | | | | |
| As of December 31, | | |
| 2019 | | 2018 |
| Accrued expenses: | | | |
| Research and development | $ | 271,322 | | | $ | 705,436 | |
| Clinical | 421,788 | | | 469,473 | |
| Consulting | 98,245 | | | 86,619 | |
| Employee-related | 624,420 | | | 123,372 | |
| Legal | 819,323 | | | 15,400 | |
| Other | 34,947 | | | | 2,450 | |
| Total accrued expenses | $ | 2,270,045 | | | | $ | 1,402,750 | |
7. Debt
EB-5 Loan
In September 2016, pursuant to the U.S. government’s Immigrant Investor Program, commonly known as the EB-5 program (the “EB-5 Program”), the Company entered into an arrangement (the “EB-5 Loan Agreement”) to borrow up to $10.0 million from EB5 Life Sciences, L.P. (the “Lender”) in $0.5 million increments. Borrowing may be limited by the amount of funds raised by the Lender and are subject to certain job creation requirements by the Company. Borrowings are at a fixed interest rate of 4.0% per annum and are to be utilized in the clinical development, manufacturing, and commercialization of the Company’s products and for the general working capital needs of the Company. Outstanding borrowings pursuant to the EB-5 Program, including accrued interest, become due upon the seventh anniversary of the final disbursement. Amounts repaid cannot be re-borrowed. The EB-5 note is secured by substantially all assets of the Company, except for any patents, patent applications, pending patents, patent license, patent sublicense, trademarks, and other intellectual property rights.
In 2016, $1.0 million was borrowed by the Company. Issuance costs for these borrowings totaled $0.1 million, which was recognized as a reduction to the loan balance and is amortized to interest expense over the term of the loan. See Note 12 for information regarding events subsequent to December 31, 2019.
| | | | | | | | | | | |
| As of December 31, | | |
| 2019 | | 2018 |
| Principal outstanding | $ | 1,000,000 | | | $ | 1,000,000 | |
| Plus: accrued interest | 127,777 | | | 87,222 | |
| Less: unamortized debt issuance costs | (55,654) | | | (70,495) | |
| Carrying value of debt | $ | 1,072,123 | | | $ | 1,016,727 | |
Convertible Notes
During the years ended December 31, 2019 and 2018, the Company issued convertible notes (the “Notes”) to new and existing stockholders in the Company, including Notes in the aggregate principal amount of $3.5 million to members of the Board of Directors. As of December 31, 2019, all Notes had been converted and were no longer outstanding.
At issuance, the following amounts were recorded:
| | | | | | | | | | | | | | | | | | | | | | | |
| Note Issuance Date | Note Principal Amount | | Fair Value of Embedded Derivatives | | Debt Issuance Costs | | Carrying Value upon Issuance |
| January 2018 | $ | 5,000,000 | | | $ | (2,657,711) | | | $ | (35,969) | | | $ | 2,306,320 | |
| June 2018 | 1,000,000 | | | (724,216) | | | (3,000) | | | 272,784 | |
| November 2018 | 1,150,400 | | | (21,127) | | | (50,646) | | | 1,078,627 | |
| December 2018 | 150,000 | | | (2,857) | | | (14,310) | | | 132,833 | |
| January 2019 | 450,000 | | | (182,882) | | | (29,358) | | | 237,760 | |
| February 2019 | 1,000,000 | | | (302,379) | | | (55,875) | | | 641,746 | |
| Total | $ | 8,750,400 | | | $ | (3,891,172) | | | $ | (189,158) | | | $ | 4,670,070 | |
All Notes accrued interest at a rate of 5% per annum and had scheduled maturity dates on the eighteen month anniversary of the date of the issuance of the Notes (the “Maturity Date”). If prior to the Maturity Date, there was a consummation of the sale of all or substantially all of the assets of the Company, change in control or event of default, the Notes would become due and payable at an amount equal to 1.5 times the principal amount of the Notes together with all accrued interest (the “Change in Control Feature”).
If the Company received equity financing from the issuance of stock of the Company from an investor or group of investors in a transaction or series of related transactions above a certain amount of gross proceeds, the principal amount and all interest accrued but not paid through the closing date of the qualified equity financing was to automatically convert into the same class of equity securities as those issued in the qualified equity financing ("conversion feature"). The price per share varied among the Notes ranging from a 0% to 30% discount to the lowest price per share being paid by investors in the qualified equity financing.
The Company bifurcated the Conversion Feature for the January 2018, June 2018, January 2019, and February 2019 notes and classified it as a derivative liability because the Conversion Feature does not have a fixed conversion price and conversion will be settled in a variable number of shares of common stock. There was no bifurcated Conversion Feature for the November 2018 and December 2018 notes as there is no discount to the lowest equity price triggering conversion. The Company also bifurcated the Change in Control Feature for all of the Notes because it was determined to be a redemption feature not clearly and closely related to the debt host.
The fair value of both of the embedded features was accounted for as a derivative liability and was recorded as a discount on the Notes. Inputs used in valuation were unobservable and therefore considered Level 3 in the fair value hierarchy. The debt discount is accreted into interest expense over the expected time until conversion of the Notes. The accretion amounted to $0.6 million and $3.4 million, for the year ended December 31, 2019 and 2018, respectively.
The fair value of the embedded features was classified as a liability in the Company’s consolidated balance sheets at issuance, with subsequent changes in fair value during the year ended December 31, 2019 and 2018 recorded on the Company’s consolidated statements of operations and comprehensive loss as a change in fair value of derivative liabilities.
| | | | | | | | |
| | Amount |
| Balance at January 1, 2018 | | $ | — | |
| Fair value of embedded derivatives at issuance | | 3,405,911 | |
| Change in fair value of embedded derivatives | | (1,664,689) | |
| Balance at December 31, 2018 | | $ | 1,741,222 | |
| Fair value of embedded derivatives at issuance | | 567,661 | |
| Change in fair value of embedded derivatives | | 1,319,400 | |
| Conversion and extinguishment of debt | | (3,628,283) | |
| Balance at December 31, 2019 | | $ | — | |
The Company considered several possible outcomes in the likelihood and timing of a qualified equity financing and/or a change in control occurring that would trigger conversion or redemption and believes the amounts disclosed above based on inputs utilized in the valuation were the best estimates at each valuation date.
On April 5, 2019, Former Ocugen entered into a Stock Subscription Agreement (“Subscription Agreement”) with existing investors for the sale of 0.1 million shares of common stock for $1.0 million, or $12.41 per share including the sale of 40,286 shares of common stock for $0.5 million to a member of the Board of Directors. This capital raise triggered the conversion features on the convertible debt described above. The Notes were modified to change the discount percentage from the 0% discount per the terms of the November 2018 and December 2018 Notes and the 15% discount per the terms of the January 2019 and February 2019 Notes to 30% at the time of conversion. The Company issued 1.1 million shares of common stock at $8.69 per share on the date of conversion to extinguish the debt, which resulted in a loss of $0.3 million. This non-cash conversion also resulted in an increase of $13.0 million in additional paid-in capital, which was based on the principal balance outstanding and the unpaid interest upon conversion.
Convertible Promissory Notes
On April 4, 2019, the Company issued the convertible promissory note (the “Promissory Note”) to an existing stockholder for $0.9 million at an interest rate of 5% per annum. On May 16, 2019, the Promissory Note was converted into equity. Former Ocugen issued 0.1 million shares of common stock at the conversion date to extinguish the debt at $12.41 per share. This non-cash transaction resulted in an increase of $0.9 million in additional paid-in capital, which was based on the principal balance outstanding and the unpaid interest upon conversion.
Senior Secured Convertible Notes
On May 21, 2019, the Company issued senior secured convertible notes to certain investors for $2.4 million at an original issue discount of $0.5 million, and on June 28, 2019, the Company entered into an agreement to issue additional senior secured convertible notes to the investors for $2.9 million with an original issue discount of $0.4 million (together “Senior Secured Notes”). Immediately prior to the Merger completed on September 27, 2019, the investors offset $5.3 million from the amount to be received under the Pre-Merger Financing and the Senior Secured Notes were deemed to have been repaid and cancelled. The accretion of the original issue discount to interest expense amounted to $0.8 million during the year ended December 31, 2019.
8. Stock-Based Compensation
Stock-based compensation expense for options granted are reflected in the consolidated statements of operations and comprehensive loss as follows:
| | | | | | | | | | | |
| Year Ended December 31, | | |
| 2019 | | 2018 |
| General and administrative | $ | 362,833 | | | $ | 515,160 | |
| Research and development | 521,256 | | | 559,527 | |
| Total | $ | 884,089 | | | $ | 1,074,687 | |
As of December 31, 2019, the Company had $0.9 million of unrecognized compensation expense related to options outstanding under its equity plans. This expense is expected to be recognized over a weighted average period of 1.7 years as of December 31, 2019.
Equity Plans
The Company maintains two equity compensation plans, the 2014 Ocugen OpCo, Inc. Stock Option Plan (the “2014 Plan”) and the Ocugen, Inc. 2019 Equity Incentive Plan (the “2019 Plan”, collectively with the 2014 Plan, the "Plans"), which replaced the Histogenics Corporation 2013 Equity Incentive Plan (the "2013 Plan").
On December 18, 2019, Ocugen’s stockholders approved the adoption of the 2019 Plan and the 2013 Plan was frozen. No additional awards have been or will be made under the 2013 Plan and any remaining authorized shares under the 2013 Plan will be recycled into the 2019 Plan. The 2019 Plan provides for the granting of up to 2.1 million equity awards in respect of
Ocugen’s common stock, inclusive of equity awards that were previously available for issuance under the 2013 Plan, as of December 31, 2019. Additionally, on the first business day of each fiscal year commencing on January 1, 2020, pursuant to the "Evergreen" provision of the 2019 Plan, the aggregate number of shares that may be issued under the 2019 Plan shall automatically increase by a number equal to the lesser of 4.0% of the total number of shares of Company common stock outstanding on December 31st of the prior year, or a number of shares of Company common stock determined by the Board.
As of December 31, 2019, an aggregate of 0.6 million and 0.1 million shares of Company common stock were issuable upon the exercise of outstanding stock options under the 2014 Plan and 2019 Plan, respectively.
Options to Purchase Common Stock
Weighted average assumptions utilized in the fair value calculation for options to purchase common stock as of December 31, 2019 and 2018 are as follows:
| | | | | | | | | | | |
| Year Ended December 31, | | |
| 2019 | | 2018 |
| Weighted average common stock price | $1.04 | | | $9.72 | |
| Expected option term (years) | 6.0 | | 6.0 – 10.0 |
| Weighted average expected stock price volatility | 109% | | | 85% | |
| Risk-free interest rate | 1.5% – 2.4% | | 2.3% – 3.0% |
| Expected dividend rate | —% | | | —% | |
The following table summarizes the stock option activity under the Plans:
| | | | | | | | | | | | | | | | | | | | | | | |
| Number of Shares | | Weighted Average Exercise Price | | Weighted Average Remaining Contractual Life (Years) | | Aggregate Intrinsic Value |
| Options outstanding at December 31, 2018 | 632,752 | | | $ | 5.93 | | | 7.9 | | | $ | 4,801,696 | |
| Granted | 238,761 | | | $ | 1.04 | | | | | | |
| Cancelled | (140,324) | | | $ | 4.58 | | | | | | |
| Options outstanding at December 31, 2019 | 731,189 | | | $ | 4.59 | | | 8.0 | | $ | 24,028 | |
| Options exercisable at December 31, 2019 | 385,841 | | | $ | 5.15 | | | 6.8 | | $ | 3,049 | |
| | | | | | | |
The weighted average grant date fair value of stock options granted during the year ended December 31, 2019 and 2018 was $0.84 and $7.97, respectively. The total fair value of stock options vested during the year ended December 31, 2019 was $1.0 million.
9. Commitments
Operating Leases
The Company has commitments under operating leases for certain facilities used in its operations. The Company’s leases have initial lease terms ranging from one to five years. Certain lease agreements contain provisions for future rent increases.
The components of lease expense were as follows:
| | | | | |
| Year Ended December 31, 2019 |
| Operating lease cost | $ | 250,361 | |
| Variable lease cost | 79,700 | |
| Total lease cost | $ | 330,061 | |
Supplemental balance sheet information related to leases was as follows:
| | | | | |
| December 31, 2019 |
| Right-of-use assets, net | $ | 344,574 | |
| |
| Current lease obligations | 172,310 | |
| Non-current lease obligations | 163,198 | |
| Total lease liabilities | $ | 335,508 | |
Supplemental information related to leases was as follows:
| | | | | |
| Year Ended December 31, 2019 |
| Weighted-average remaining lease terms—operating leases (years) | 2.0 |
| Weighted-average discount rate—operating leases | 7.6 | % |
Future minimum operating minimum lease payments for all leases, exclusive of taxes and other carrying charges, are approximately as follows:
| | | | | |
| For the Years Ending December 31, | Amount |
| 2020 | $ | 191,890 | |
| 2021 | 160,909 | |
| 2022 | 11,354 | |
| Total | $ | 364,153 | |
| Less: present value adjustment | (28,645) | |
| Present value of minimum lease payments | $ | 335,508 | |
The Company does not have any leases that have not yet commenced which are significant.
Financing Leases
In June 2018, the Company leased specialized research equipment under a lease classified as a financing lease. The leased equipment is included in property and equipment, net and is amortized on a straight-line basis over five years. Financing lease liabilities are included in other liabilities on the Company's consolidated balance sheets. The interest rate related to the lease obligation is 7.6% and the maturity date is July 2021.
Future minimum lease payments for all financing leases, exclusive of taxes and other carrying charges, are approximately as follows:
| | | | | |
| For the Years Ending December 31, | Amount |
| 2020 | $ | 23,856 | |
| 2021 | 9,941 | |
| Total | $ | 33,797 | |
| Less: present value adjustment | (1,851) | |
| Present value of minimum lease payments | $ | 31,946 | |
10. Warrants
Pre-Merger Financing Warrants
On September 27, 2019, Ocugen completed the Merger with Former Ocugen. Immediately prior to the Merger, Ocugen and Former Ocugen completed a previously announced private placement transaction with certain Investors pursuant to the Financing SPA, whereby, among other things, (i) Former Ocugen issued to the Investors shares of Former Ocugen’s common stock, (ii) Former Ocugen issued and deposited additional shares of Former Ocugen’s common stock into escrow, and (iii) the
Company agreed to issue on the fifth trading day following the consummation of the Merger, Series A Warrants, Series B Warrants, and Series C Warrants.
The Pre-Merger Financing Warrants are subject to blocker provisions which restrict the exercise of the Pre-Merger Financing Warrants if, as a result of such exercise, the holder, together with its affiliates would beneficially own in excess of 4.99% or 9.99% of the outstanding common stock, including the common shares issuable upon such exercise, as such percentage ownership is determined in accordance with the terms of the Pre-Merger Financing Warrants.
If Ocugen fails to issue to a holder of the Pre-Merger Financing Warrants the number of shares of common stock to which such holder is entitled upon such holder’s exercise of the such warrants, then Ocugen shall be obligated to pay the holder on each day while such failure is continuing an amount equal to 2.0% of the market value of the undelivered shares determined using any trading price of the common stock selected by the holder as in effect at any time during the period from delivery of the exercise notice until the applicable share delivery date, and if the holder purchases shares of common stock in connection with such failure, then Ocugen must, at the holder’s discretion, reimburse the holder for the cost of such shares or deliver the owed shares and reimburse the holder for the difference between the price such holder paid for such shares and the closing market price for shares of common stock on the date of exercise.
On November 5, 2019, the Company entered into an agreement with each Investor that amends the terms of each of the Pre-Merger Financing Warrants held by each such Investor (collectively, the “Warrant Amendments”). The terms of the Pre-Merger Financing Warrants and the Warrant Amendments are discussed below.
Series A Warrants
The Series A Warrants have an initial exercise price per share of $7.13, were exercisable upon issuance and have a term of 60 months from the date of issuance. The Series A Warrants are exercisable for up to 8.8 million shares of Ocugen common stock.
The Series A Warrants have an anti-dilution adjustment whereby if Ocugen issues or sells, enters into a definitive, binding agreement pursuant to which Ocugen is required to issue or sell or is deemed, pursuant to the provisions of the Series A Warrants, to have issued or sold, any common stock for a price per share lower than the exercise price then in effect (a “Dilutive Issuance”), subject to certain limited exceptions, then (i) the exercise price of the Series A Warrants shall be reduced to such lower price per share and (ii) the number of shares issuable upon exercise of the Series A Warrants shall be increased to the number of shares of common stock determined by multiplying (a) the exercise price in effect immediately prior to such Dilutive Issuance by (b) the number of shares of common stock issuable upon exercise of the Series A Warrants immediately prior to such Dilutive Issuance (without giving effect to any limitation on exercise contained therein), and dividing the product thereof by the exercise price resulting from such Dilutive Issuance.
Each Series A Warrant was amended pursuant to the Warrant Amendments such that an equity financing involving a research or non-profit foundation or organization qualified under Section 501(c) of the Internal Revenue Code of 1986, as amended, in an amount of gross proceeds not to exceed $10.0 million and closing on or prior to May 31, 2020, will be excluded from the anti-dilution adjustment, as set forth in the Series A Warrant.
Series B Warrants
The Series B Warrants have an exercise price of $0.01, were exercisable after the completion of a 10 trading-day period following the effectiveness of a registration statement covering the resale of common stock into which such warrants were exercisable and will expire on the date on which the Series B Warrants have been exercised in full (without giving effect to any limitation on exercise contained therein) and no shares remain issuable thereunder. The Series B Warrants were initially exercisable by a holder for 8.0 million shares of common stock.
Additionally, each Series B Warrant included a Reset Period pursuant to which the number of shares issuable upon exercise of the Series B Warrants shall be increased during certain Reset Periods (as defined in the Series B Warrants) pursuant to a formula based on the greater of (i) 80% of the arithmetic average of the two lowest dollar volume-weighted average prices of a share of Ocugen common stock on Nasdaq during the applicable Reset Period immediately preceding the applicable Reset Date to date and (ii) $1.00 (the “Reset Price”). Among other things, the Reset Period was triggered by the effectiveness of the registration statement covering the resale of the shares of common stock underlying the warrants (the "Registration Statement') which became effective on November 5, 2019. The Warrant Amendments provided that Series B Warrants would not be exercisable and the effectiveness of the Registration Statement would not trigger the Reset Period until the completion of a 10 trading-day period following the SEC’s declaring it effective. The Reset Period commenced on November 20, 2019. As the dollar volume-weighted average prices of Ocugen’s common stock on Nasdaq was under $1.00 for the first two trading days of
the Reset Period, the Investors elected to advance the end of the Reset Period to November 21, 2019 and the number of shares issuable upon exercise of the Series B Warrants was increased based on a Reset Price of $1.00. This reset resulted in an aggregate of 12.6 million additional shares of common stock becoming issuable upon exercise of the Series B Warrants.
Series C Warrants
The Series C Warrants were exercisable upon issuance for up to 50.0 million shares of common stock at an initial exercise price of $7.13 per share. Each of the Series C Warrants was amended pursuant to the Warrant Amendments to permit the Investors, in lieu of making any cash payment otherwise contemplated to be made to the Company upon the exercise of the Series C Warrant, to elect instead to receive upon such exercise up to 20.0 million shares of common stock. Prior to the Warrant Amendments, the Series C Warrants had permitted the exercise without any cash payment of up to 50.0 million shares of common stock in the event that the volume weighted-average price of the common stock on Nasdaq was less than or equal to $1.20 per share on any five trading days following the issuance of the Series C Warrants. The Series C Warrants will expire upon the 45th trading day immediately following the earlier to occur of (i) the date the holder can sell all shares issuable upon exercise of the Series C Warrants pursuant to Rule 144 without restriction or limitation and without the requirement to be in compliance with Rule 144(c)(1) and (ii) October 4, 2020, provided that if such date falls on a day other than a business day or on which trading does not take place on Nasdaq (a “Holiday”), the next day that is not a Holiday.
The following table summarizes the activity of the Pre-Merger Financing Warrants, including the effect of the Warrant Amendments:
| | | | | | | | | | | | | | | | | | | | | | | | | | |
| | Series A Warrants | | Series B Warrants | | Series C Warrants | | Total |
| Outstanding at January 1, 2019 | | — | | | — | | | — | | | — | |
| Issued | | 8,771,928 | | | 20,614,036 | | | 20,000,000 | | | 49,385,964 | |
| Exercised | | — | | | (20,613,036) | | | (19,999,000) | | | (40,612,036) | |
| Outstanding at December 31, 2019 | | 8,771,928 | | | $ | 1,000 | | | 1,000 | | | 8,773,928 | |
| Exercise price | | $ | 7.13 | | | $ | 0.01 | | | $ 0.00 | | | |
Accounting for the Pre-Merger Financing Warrants
Although the Pre-Merger Financing Warrants were issued on October 4, 2019, the agreement for issuance of the Pre-Merger Financing Warrants was a firm commitment reached between Ocugen and the Investors as part of the Financing SPA upon the closing of the Merger. Therefore, for accounting purposes the issuance date was determined to be the date of the Merger. As of the date of the Merger, the Series A Warrants and Series C Warrants were classified as equity and the Series B Warrants were classified as a liability on the consolidated balance sheet.
The Series B Warrants were classified as a liability as they did not meet the derivative scope exception related to equity indexation because the Reset Date was triggered on the effective date of a Registration Statement and the timing of when a Registration Statement for the underlying shares is available is not an input in an option pricing model. Series B Warrants were classified as a derivative liability in the consolidated balance sheet measured at fair value on September 27, 2019 and marked to market at September 30, 2019. Upon the completion of the Reset Period, the Series B Warrants were reassessed and determined to meet the derivative scope exception allowing for equity classification. The Series B Warrants were marked to market a final time as a change in the fair value of a derivative liability and the remaining liability balance was reclassified to equity. Subsequent to the Reset Period, almost all of the Series B Warrants were exercised for shares of common stock.
The following table provides a roll-forward of the Series B Warrant liability:
| | | | | |
| Amount |
| Balance at January 1, 2019 | $ | — | |
| Fair value at issuance (September 27, 2019) | 9,387,760 | |
| Change in fair value of embedded derivatives | 1,867,980 | |
| Amount reclassified to equity | (11,255,740) | |
| Balance at December 31, 2019 | $ | — | |
The fair value of the Series B Warrants upon issuance was calculated using a Monte Carlo simulation while estimating the stock price during the 45-day Reset Period, based on the terms described within the Financing SPA. Key fair value inputs included the starting stock price, expected stock volatility during the 45-day Reset Period, and additional shares issued from escrow. The methodology for measuring fair value was sensitive to the expected stock volatility assumption input mentioned above. The volatility used in the fair value estimate at issuance was 96.0%. Inputs used in the valuation are unobservable and are therefore classified as Level 3 fair value inputs. The fair value of the Series B Warrants upon the end of the Reset Period was based on a Black-Scholes valuation model, which is classified as Level 3 in the fair value hierarchy.
Accounting for the Warrant Amendments
The Company accounted for the Warrant Amendments as a modification by assessing whether the modification resulted in an incremental fair value of the warrants. An increase in fair value resulting from the modification may be recognized as expense in the consolidated statements of operations and comprehensive loss, whereas a decrease in fair value is not recognized. The Company determined that the modifications to the Series A Warrants and Series B Warrants were not substantive amendments that would result in an increase in fair value based on a qualitative assessment of the terms of the amendments. The Series C Warrants were determined to substantially modified. The Company estimated the fair value of the Series C Warrants immediately prior to and immediately after the modification and concluded that the fair value of the warrants decreased and therefore there was no incremental fair value to recognize resulting from the modification.
Former Ocugen Warrants
Prior to 2018, Former Ocugen issued warrants to investors of the Company pursuant to a stockholders' agreement and to two employees of the Company pursuant to their respective employment agreements. As of December 31, 2019 and 2018, 0.9 million warrants to purchase common stock were outstanding and exercisable and had a weighted average exercise price of $5.67 per share. The warrants expire between 2025 and 2027.
11. Income Taxes
For the years ended December 31, 2019 and 2018, the Company did not recognize any current or deferred income tax expense or benefit due to the current and historical losses incurred by the Company. Losses before income taxes were $20.2 million and $18.2 million for the years ended December 31, 2019 and 2018, respectively, substantially all of which were incurred in the United States.
Deferred taxes are recognized for temporary differences between the basis of assets and liabilities for financial statement and income tax purposes. The significant components of the Company’s deferred tax assets and liabilities are comprised of the following:
| | | | | | | | | | | |
| As of December 31, | | |
| 2019 | | 2018 |
| Deferred tax assets: | | | |
| Net operating loss carryforwards | $ | 31,575,288 | | | $ | 6,864,360 | |
| Capital loss carryforwards | 7,298,052 | | | — | |
| Start-up costs | 11,234,751 | | | — | |
| Accruals and reserves | 166,611 | | | 35,645 | |
| Intellectual property amortization | 555,352 | | | 121,694 | |
| Stock-based compensation expense | 1,123,100 | | | 993,234 | |
| Convertible debt | — | | | 498,236 | |
| Tax credits | 1,926,677 | | | 548,399 | |
| Lease liability | 96,895 | | | — | |
| Total deferred tax assets | 53,976,726 | | | 9,061,568 | |
| Valuation allowance | (53,877,168) | | | (9,061,568) | |
| Deferred tax assets, net of allowance | $ | 99,558 | | | $ | — | |
| | | |
| Deferred tax liabilities: | | | | | |
| Lease ROU asset | (99,558) | | | — | |
| Net deferred tax assets | $ | — | | | $ | — | |
As of December 31, 2019 and 2018, the Company had U.S. federal net operating loss ("NOL") carryforwards of $113.6 million and $23.7 million, respectively, which may be available to offset future income tax liabilities. The Tax Cut and Jobs Act, which was enacted in December 2017, will generally allow federal losses generated after 2017 to be carried over indefinitely, but will generally limit the NOL deduction to the lesser of the NOL carryover or 80% of a corporation’s taxable income. In addition, there will be no carryback for losses generated after 2017. Losses generated prior to 2018 will generally be deductible to the extent of the lesser of a corporation’s NOL carryover or 100% of a corporation’s taxable income and be available for twenty years from the period the loss was generated. The Company has federal NOLs generated after 2017 of $61.2 million, which do not expire. The federal NOLs generated prior to 2018 of $52.4 million will expire at various dates through 2037.
As of December 31, 2019 and 2018, the Company also had U.S. state NOL carryforwards of $112.4 million and $23.7 million, respectively, which may be available to offset future income tax liabilities and expire at various dates through 2039.
As of December 31, 2019 and 2018, the Company has federal tax credit carryforwards of approximately $1.6 million and $0.8 million, respectively, which are available to offset future federal tax liabilities which expire at various dates through 2039. As of December 31, 2019 and 2018, the Company has state tax credit carryforwards of approximately $0.4 million and $0.1 million, respectively, which are available to reduce future tax liabilities which expire at various dates through 2034.
The Company has recorded a full valuation allowance against its net deferred tax assets as of December 31, 2019 and 2018 because the Company has determined that is it more likely than not that these assets will not be fully realized due to the Company's history of operating losses and lack of available evidence supporting future taxable income. The Company experienced a net change in valuation allowance of $44.8 million during the year ended December 31, 2019, primarily related to the increase in NOL carryforwards. The increase in the federal and state NOL carryforwards during the year ended December 31, 2019 was primarily due to the acquired NOL carryforwards as a result of the Merger.
Under the provisions of the IRC, the NOL and tax credit carryforwards are subject to review and possible adjustment by the Internal Revenue Service and state tax authorities. Utilization of U.S. federal and state operating loss and tax credit carryforwards may be subject to a substantial annual limitation under Section 382 and Section 383 of the Internal Revenue Code of 1986, as amended, and corresponding provisions of state law, due to ownership changes that have occurred previously or that could occur in the future. These ownership changes may limit the amount of NOL and tax credit carryforwards that can be utilized annually to offset future taxable income and tax liabilities, respectively. The Company acquired a significant amount of federal and state NOL carryforwards and federal and state tax credit carryforwards as a result of the Merger. The Company
has not yet conducted a comprehensive study to assess whether a change of ownership has occurred, or whether there have been multiple ownership changes since its formation. Any limitation may result in expiration of a portion of the NOL carryforward or tax credit carryforwards before utilization, which would be offset by a change in the Company's valuation allowance. Further, until a study is completed by the Company and any limitation is known, no amounts are being presented as an uncertain tax position.
The reconciliation of federal statutory income tax to the Company's provision for income taxes is as follows:
| | | | | | | | | | | |
| As of December 31, | | |
| 2019 | | 2018 |
| Expected provision at statutory rate | 21.0 | % | | 21.0 | % |
| State tax - net of federal benefit | 5.3 | % | | 7.6 | % |
| Research and development credits | 3.2 | % | | 2.1 | % |
| Permanent differences | (8.1) | % | | (0.8) | % |
| Other | 2.9 | % | | 0.0 | % |
| Change in valuation allowance | (24.3) | % | | (29.9) | % |
| Total provision for income taxes | — | % | | — | % |
A reconciliation of the beginning and ending amount of unrecognized tax benefits is as follows:
| | | | | |
| Amount |
| Gross unrecognized tax benefits as of December 31, 2018 | $ | — | |
| Additions for tax positions taken in a prior year | 303,050 | |
| Additions for tax positions taken in the current year | — | |
| Reductions for tax positions taken in the prior year due to settlement | — | |
| Reductions for tax positions taken in the prior year due to statutes lapsing | — | |
| Gross unrecognized tax benefits as of December 31, 2019 | $ | 303,050 | |
The uncertain tax positions giving rise to the unrecognized tax benefits of $0.3 million at December 31, 2019 relate to the timing of certain income and deductions for federal income tax purposes taken by Histogenics prior to the Merger. The reversal of unrecognized tax benefits would not have any impact on the effective tax rate in future periods and is not expected to create cash tax liability.
The Company files tax returns as prescribed by the tax laws of the jurisdictions in which it operates. In a normal course of business, the Company is subject to examination by federal and state jurisdictions, where applicable. The Company’s tax years are still open under status from 2016 to present.
12. Subsequent Events
On March 26, 2020, the Company borrowed an additional $0.5 million under the terms and conditions of the EB-5 Loan Agreement. Outstanding borrowings pursuant to the EB-5 Program, including accrued interest, become due upon the seventh anniversary of the final disbursement. Following this borrowing, total principal outstanding under the EB-5 Loan Agreement is $1.5 million.